缺血性心肌病易与其他心肌病混淆 如何鉴别诊断?
59岁男性患者,因半个月前无明显诱因出现胸闷、气短、伴咳嗽入院,由超声心电图确诊为冠心病、陈旧性心肌梗死、缺血性心肌病。缺血性心肌病如何与扩张型心肌病鉴别诊断?临床中漏诊误诊的原因有哪些?详见病例要点——
病史和相关检查 患者,男性,59岁。半个月前无明显诱因出现胸闷、气短,活动耐量明显下降,气短夜间加重。平卧时有咳嗽,咯少量白色泡沫样痰。夜间有憋醒,坐起可缓解。3个月前无明显诱因出现胸骨后疼痛,持续约半天余。心电图示:Ⅰ、Ⅱ、Ⅲ、aVF、V4~V6异常Q波。
超声图片 如图2‐1‐178。
超声描述 左室下壁、后壁心肌变薄,约5mm,心肌回声增强,运动消失,其余节段心肌向心运动亦不同程度减弱,左心增大,左室略呈球形扩张,左室舒张末期内径63mm,左室泵血功能减低,左室EF32%。二尖瓣环扩张,探及中度二尖瓣反流。
超声诊断 左室下后壁心肌节段变薄、运动消失,其余节段运动减弱,符合缺血性心肌病改变,左室泵血功能减低,二尖瓣中度反流,提示乳头肌功能不全。
临床诊断 冠心病,陈旧性心肌梗死,缺血性心肌病,心功能3级。
【讨论】
缺血性心肌病是由冠心病导致的严重心肌功能障碍,由于短暂或长期的心肌缺血,导致心肌功能障碍,心肌大面积纤维化,心室扩张,临床表现为心力衰竭。

图2‐1‐178 左室长轴切面显示左心扩大,左室呈球形扩张

图2‐1‐179 左室短轴切面显示下后壁心肌明显变薄,回声增强
常见超声表现
二维超声表现为左室显著扩大,几何形变,可呈球形扩张(见图2‐1‐179),左室心肌节段变薄,回声明显增强,运动明显减弱或消失,室壁增厚率消失,并伴有左室壁普遍运动减弱和不协调,左室泵血功能明显减低(见图2‐1‐180),二尖瓣开放幅度减低。左室腔内血流速度常较缓慢,有时可见附壁血栓形成。

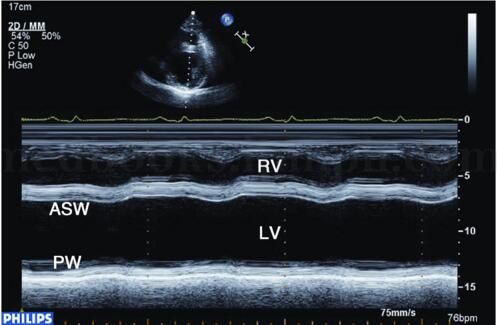
图2‐1‐180 M型超声显示左室后壁明显变薄,运动明显减弱甚至消失,前壁运动亦减弱
彩色和脉冲多普勒可探及多瓣口反流信号(图2‐1‐181)。连续多普勒测量舒张期二尖瓣血流E峰明显升高,A峰明显降低,E/A>2,EDT<140毫秒,提示左室充盈受限。连续多谱勒可探及三尖瓣反流速度加快,提示肺动脉压力升高。

图2‐1‐181 心尖四腔切面显示左室明显增大,彩色和脉冲多普勒探及二尖瓣中度反流信号(箭头)
鉴别诊断
扩张型心肌病 与缺血性心肌病同样表现为左心增大,左室呈球形扩张,左室收缩、舒张功能减低。不同点有:左室心肌无节段性变薄和回声增强,向心运动普遍减低。临床无冠心病病史,心电图和冠状动脉造影可帮助鉴别。
注意事项及误诊漏诊原因
缺血性心肌病多发生在慢性心肌缺血的病人,病程一般较长,伴有反复的心绞痛或心肌梗死病史,是冠心病终末的一种表现形式。多数病人常伴有明显的心肌功能障碍,对治疗不敏感。心脏超声检查时应注意评价室壁运动情况和运动协调性,并注意观察心腔内有无血栓形成。
来源:《超声医学》
作者:唐杰 姜玉新
参编:姚克纯 尹立雪 赵博文 张梅 王建华
页码:243-245
出版:人民卫生出版社
- 评价此内容
- 我要打分
近期推荐
热门关键词
最新会议
- 2013循证医学和实效研究方法学研讨会
- 欧洲心脏病学会年会
- 世界帕金森病和相关疾病2013年会议
- 英国介入放射学学会2013年第25届年会
- 美国血液学会2013年年会
- 美国癫痫学会2013年第67届年会
- 肥胖学会 2013年年会
- 2013年第9届欧洲抗体会议
- 国际精神病学协会 2013年会议
- 妇科肿瘤2013年第18届大会
- 国际创伤压力研究学会2013年第29届…
- 2013年第4届亚太地区骨质疏松症会议
- 皮肤病协会国际2013年会议
- 世界糖尿病2013年大会
- 2013年国际成瘾性药年会
- 彭晓霞---诊断试验的Meta分析
- 武姗姗---累积Meta分析和TSA分析
- 孙凤---Network Meta分析
- 杨智荣---Cochrane综述实战经验分享
- 杨祖耀---疾病频率资料的Meta分析
合作伙伴
Copyright g-medon.com All Rights Reserved 环球医学资讯 未经授权请勿转载!
网络实名:环球医学:京ICP备08004413号-2
关于我们|
我们的服务|版权及责任声明|联系我们
互联网药品信息服务资格证书(京)-经营性-2017-0027
互联网医疗保健信息服务复核同意书 京卫计网审[2015]第0344号




会员登录

