室间隔穿孔死亡率高 如何恰当诊断和治疗?
室间隔穿孔(ventricular septal rupture,VSR)是急性心肌梗死的并发症之一,常在起病1周内出现,穿孔平均发生时间在24小时内,而再灌注时则有所下降,但常迅速发生心力衰竭、心源性休克等,病死率高,自然预后极差,如未经外科治疗,40%的患者在穿孔后48小时内死亡,绝大多数在2个月内死亡,只有7%的患者能存活1年以上。
因此,尽早对急性心肌梗死后并发室间隔穿孔做出诊断和恰当治疗,对降低病死率有很重要的意义。现就1例急性心肌梗死后室间隔穿孔患者的临床资料简单介绍治疗经验。
患者女性,69岁,因发作性胸痛10小时,加重7小时于2011年5月10日入院,患者为休息时发作,伴有大汗、周身无力,并放射至左肩。既往高血压病史10余年,口服“北京降压0号、寿比山”治疗,血压控制可。30年前患有肺结核;20年前左髌骨骨折,无后遗症;2010年发现乙型病毒性肝炎(小三阳);无吸烟饮酒史。查体:体温36℃,脉搏62次/分,呼吸18次/分,血压101/69mmHg,精神差,双肺呼吸音清,未闻及干湿性啰音,心界不大,心率62次/分,心律不齐,可闻及期前收缩4~6次/分,未闻及杂音。余无异常。急查心电图:Ⅰ、aVL V1~V6V3R ST段弓背向上抬高;Ⅱ、Ⅲ、aVF ST段压低,T波倒置;V7~V9ST段压低。心脏彩超:EF 64.73%,左心室舒末径48mm,符合:左心室前间壁阶段性运动异常,三尖瓣轻度反流,升主动脉增宽,左心室舒张功能减低。
心梗三项:MYO 126ng/ml。行急诊CAG+PCI术,造影显示:左主干粗大,未见狭窄。前降支近段急性闭塞,左回旋支中段粥样硬化,开口狭窄30%,中段狭窄30%。右冠脉大,近段粥样硬化,管壁不光滑,未见明显狭窄。于LAD近段置入支架1枚。
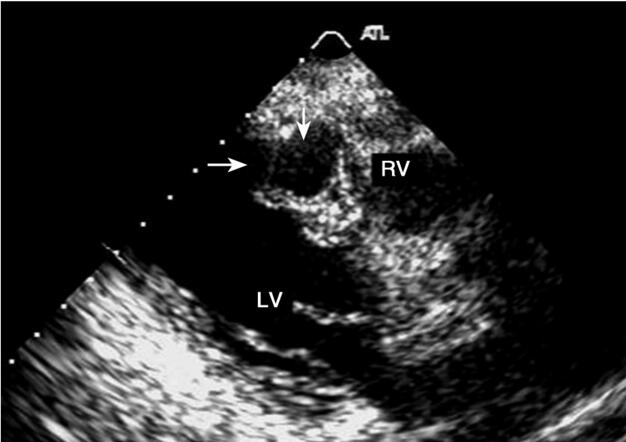
术后以“冠心病、急性心肌梗死(广泛前壁+高侧壁)、心律失常”收住CCU治疗。给予抗凝、抗血小板聚集、调脂、稳定斑块、扩冠、改善心肌微循环等对症治疗,并予替罗非班药物强化抗血小板。11日患者感胸闷、气短较前好转,但仍不能平卧。查体:BP 98/67mmHg,颈静脉充盈,双肺呼吸音粗,双中下肺可闻及少量细湿啰音,右肺呼吸音低,心界不大,心律不齐可闻及期前收缩。急查心电图:梗死对应导联ST段无明显回落 频发室性期前收缩 短阵室速。给予胺碘酮持续泵入并静脉推注硫酸镁2.5mg,但短阵室速再次出现并且为频发,给予面罩吸氧,静脉推注胺碘酮、地西泮5mg,后患者入睡。12日患者感病情好转,胸闷、气短较前减轻,可平卧,查体较前无明显改变。13日(入院第4天)突然胸闷、气短加重,双肺湿啰音较前增多,在胸骨左缘第3~4肋间出现响亮的收缩期杂音。急行床旁超声:提示广泛前壁心梗,室间隔穿孔(图1,彩图40)。
明确合并心脏室间隔穿孔后,考虑心肌梗死2周内如无严重血流动力学紊乱,暂不宜行内科封堵术或外科手术修补,心肌瘢痕尚未形成,手术风险大。故行保守治疗,予利尿剂、阿司匹林肠溶片、硫酸氯吡格雷片、β受体阻滞剂、血管紧张素转换酶抑制剂及硝酸酯类药物等治疗,2周后,患者病情好转要求出院。出院后随访1年,患者未出现明显不适。
讨论:
预防心肌梗死后室间隔穿孔主要是血运重建,故识别高危患者十分重要。心梗后室间隔穿孔常发生在初次心梗患者,主要的危险因素有:女性、高龄、高血压、不吸烟、梗死的相关血管完全闭塞、缺乏侧支循环、前壁心肌梗死、梗死1周内。穿孔部位常发生在既缺乏侧支循环,又没有缺血预适应保护的心肌组织,穿孔大小从几毫米至几厘米不等,因此对过往无心绞痛而突发心肌梗死的患者,特别是急性期未行血运重建的患者应予以注意。
室间隔穿孔先兆的临床特点是心梗患者病情逐渐恢复几天后突然出现病情恶化,以右心衰和心源性休克为主,胸痛再次发作,伴呼吸困难、恶心、呕吐等,在胸骨左缘第3~4肋间出现响亮的收缩期杂音,常伴有震颤。穿孔前的心电图可表现为:ST段抬高或压低,T波高耸或由倒置变为直立等。明确诊断主要依靠超声心动图,可清楚显示穿孔部位、大小、分流情况及心功能,并能初步预测预后。
治疗目的是减少左向右分流,增加心室排血量。内科治疗主要是维持循环和呼吸功能稳定,主要包括:利尿剂、血管扩张剂、正性肌力等药物;机械通气;主动脉内球囊反搏术(IABP)等辅助治疗。硝酸盐类等扩血管药物虽能减少破裂口处的左向右分流,提高心输出量,但可诱发低血压,而低血压时使用正性肌力药物或收缩血管药物,因左心室压力升高而增加从左向右的分流,二者可适当合用,药物治疗稳定病情是暂时的,因为室间隔破裂的范围可在无任何病情恶化迹象的情况下突然增加。本例患者穿孔后患者血流相对稳定,给予积极内科对症治疗2周后,患者病情较前明显好转,出院后随访1年,患者生活可自理。这证明针对本患者的内科保守治疗是有效的。如果急性心肌梗死后室间隔穿孔分流量较大,常在数小时或数天内迅速发展为心源性休克或心力衰竭,此时,应首选主动脉内球囊反搏术或左心室或双心室辅助装置辅助循环,同时配合上述药物以稳定病情,为进行外科手术创造条件。

图1 室间隔穿孔(箭头)RV:右心室;LV是左心室
只有采取外科手术治疗,才有可能挽救大部分患者的生命。室间隔穿孔的择期手术治疗效果较急诊手术治疗的效果有明显提高,这是因为择期手术时室间隔穿孔周围的坏死组织已纤维化,同时这类患者的血流动力学一般都较平稳。对室间隔穿孔伴严重休克者应先行内科治疗,包括药物治疗及IABP和其他辅助等,使患者的循环及重要脏器维持稳定,坚持到心梗后4~6周行手术较为安全,但如果血流动力学极不稳定者则应立即行急诊手术,目前也有人建议最佳时机是在室间隔穿孔发生后2~3周。
介入封堵术治疗主要是在外科修补术后有残余分流或慢性的室间隔穿孔。有学者认为可先行介入封堵术,即使封堵不完全也可暂时改善循环状态,为外科手术争取时间,但是如果穿孔直径较大,超过15mm者最好行外科修补术,因为如果穿孔直径太大容易出现封堵器栓塞及残余分流,封堵器直径最好比穿孔直径大10mm。如穿孔位置靠近二尖瓣、三尖瓣、心尖部、左右心室游离壁则不宜行介入封堵术,故手术前需行超声心动图明确穿孔位置及与周围心肌组织的关系。
参考文献
1.Jose L,Enrique P,Esteban L,et al.Factors related to heart rupture in acute coronary syndromes in the Global Registry of Acute Coronary Events.Europ Heart J,2010,31:1449-1456.
2.张继宗.急性心肌梗死并发室间隔穿孔研究进展.中华实用诊断与治疗杂志,2010,24(12):1151-1153.
3.Conradi L,Treede H,Brickwedel J,et al.Use of initial biventricular mechanical support in a case of post infarction ventricular septal rupture as a bridge to surgery.Ann Th orac Surg,2009,87(5):e37-e39.
4.Birn baum Y,Fishbein MC,Blanche C,et al.Ventricular septal rupture after acute myocardial infarction.N Engl J Med,2002,347(18):1426-1432.
5.Papadopoulos N,Moritz A,Dzemali O,et al.Long-term results after surgical repair of post infarction ventricular septal rupture by infarct exclusion t ech nique.Ann Thorac Surg,2009,87(5):1421-1425.
6.Lundblad R,Abdelnoor M,Geiran OR,et al.Surgical repair of postinfarction ventricular septal rupture:risk fact or so fearly and late death.J Thorac Cardiovasc Surg,2009,137(4):862-868.
7.Mehta RH,Grab JD,OpBrien SM,et al.Clinical characteristics and inhospital outcomes of patients with cardiogenic shock undergoing coronary artery by pass surgery:insights from the Society of Thoracic Surgeons National Cardiac Da abase.Circulation,2008,117(7):876-885.
8.Ozkara A,Cet in G,Mert M,et al.Postinfarction ventricular Sepal rupture:surgical intervention and risk fact or influencing hospital mortality.Acta Cardiol,2005,60(2):213-217.
9.赵燕,庞明杰,吴咏昕,等.联合介入治疗成功救治急性心肌梗死合并室间隔穿孔1例.中国当代医药,2010,17(10)108.
10.Maltais S,Ibrabim R,Basmadjan AJ,et al.Postinfarction ventricular septal defects:towards a new treatment algorithm.Ann Thorac Surg,2009,87:687-692.
来源:《心脏病学实践.2012.规范化治疗》
作者:胡大一 马长生
参编:方圻 刘力生 杜昕 乔岩 雷寒
页码:460-461
出版:人民卫生出版社
- 评价此内容
- 我要打分
近期推荐
热门关键词
最新会议
- 2013循证医学和实效研究方法学研讨会
- 欧洲心脏病学会年会
- 世界帕金森病和相关疾病2013年会议
- 英国介入放射学学会2013年第25届年会
- 美国血液学会2013年年会
- 美国癫痫学会2013年第67届年会
- 肥胖学会 2013年年会
- 2013年第9届欧洲抗体会议
- 国际精神病学协会 2013年会议
- 妇科肿瘤2013年第18届大会
- 国际创伤压力研究学会2013年第29届…
- 2013年第4届亚太地区骨质疏松症会议
- 皮肤病协会国际2013年会议
- 世界糖尿病2013年大会
- 2013年国际成瘾性药年会
- 彭晓霞---诊断试验的Meta分析
- 武姗姗---累积Meta分析和TSA分析
- 孙凤---Network Meta分析
- 杨智荣---Cochrane综述实战经验分享
- 杨祖耀---疾病频率资料的Meta分析
合作伙伴
Copyright g-medon.com All Rights Reserved 环球医学资讯 未经授权请勿转载!
网络实名:环球医学:京ICP备08004413号-2
关于我们|
我们的服务|版权及责任声明|联系我们
互联网药品信息服务资格证书(京)-经营性-2017-0027
互联网医疗保健信息服务复核同意书 京卫计网审[2015]第0344号




会员登录

