心脏静脉狭窄患者手术一波三折 电极导线断裂怎么办?
老年女性患者心慌、气短、不能平卧,入院后诊断为扩张型心肌病。经药物强化治疗后行CRT植入术,因患者心侧静脉和心后侧静脉狭窄,在使用球囊的情况下仍不能送入左室电极导线,手术失败。12日后,行心外膜左室电极导线植入术成功。3年后,患者因左室心外膜电极导线断裂入院。在这种情况下手术有什么注意事项?最终手术能否成功?详见病例要点——
患者,女,63岁,因“心慌、气短、不能平卧及双下肢浮肿3年”于2007年7月收入沈阳军区总医院心内科,经常规化验、心电图、胸部X线摄片、心脏超声检查及冠状动脉造影等检查,心电图示后QRS波130ms,心脏超声检查:左室舒张末内径68mm,左室射血分数0.36,组织超声示双心室不同步。
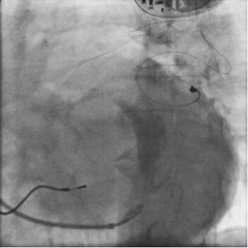
诊断:扩张型心肌病,心功能Ⅳ级。住院后经药物强化治疗,患者能平卧24小时,于2007年7月14日行CRT植入术。术中经心脏静脉造影显示心侧静脉细小,心后侧静脉和心中静脉开口狭窄伴弯曲,将0.014″宝马导丝送至心后侧静脉远端,左室电极(1056型ST. Jude Medical)不能通过近端,Sprint 1.5mm × 15mm球囊送至狭窄段,4atm~20atm扩张数次,再用Grip 2.5mm × 16mm球囊送至狭窄段,以8atm~25atm压力扩张数次,造影示狭窄段扩张,但仍不能送入左室电极导线(图3-4-13),终止手术,CRT失败。
于2007年7月26日行心外膜左室电极导线植入术,首先在导管室植入右房及右室电极导线,随后将患者用平车推进手术室,全麻下左侧第4肋间隙处切开皮肤,分离到心包壁层,切开心包壁层暴露心脏,将心外膜电极缝到左室侧壁心外膜上,测阈值1.0V,阻抗312Ω,R波振幅15mV。将导线从第4肋间隙引到皮下并固定,再通过隧道引到左胸上部,将3根电极连接在脉冲发生器上,制作囊袋,将导线及脉冲发生器埋入囊袋中(见文后彩图3-4-14)。术后优化AV及VV间期,第10天患者出院。
术后患者每6个月随访1次,起搏参数均正常,心功能状况好转。于2010年7月23日随访发现左室电极不工作,阈值和R波振幅测不出,阻抗无限大。将患者收入心内科,胸部X摄片示左室心外膜电极导线在第4肋间处断裂(图3-4-15),考虑再次手术。

图3-4-13 冠状静脉造影、球囊扩张、电极植入影像
A:心侧静脉细小、心后侧静脉开口狭窄弯曲;B:心中静脉弯曲;C:球囊扩张心后侧静脉;D:球囊扩张后推送左室电极(1056,ST. Jude Medical),仍不能送入血管远端

图3-4-15 左室电极断裂
进行第2次手术的依据:①患者在术后第3年心力衰竭加重,考虑与左室电极不起搏有关;②患者坚决否定再次心外膜植入左室电极导线的方案;③复习静脉造影片子发现心后侧静脉虽然弯曲,但PTCA导丝可以通过,将1056型(头端为1.67mm,体段为1.86mm,ST. Jude Medical)左室电极换成4193型(头端1.78mm,体段为1.33mm,Medtronic)有成功的希望。在告知患者仍可能有手术不成功的基础上,患者同意再次尝试经静脉植入左室电极,再次签署知情同意书后,于8月5日再次经静脉植入左室电极导线。术中经心脏静脉造影,首先拟把PTCA导丝送至心后侧静脉远端,但反复操作均未成功。尝试从心中静脉送入PTCA导丝成功,并将导丝通过与心后侧静脉的交通送至冠状窦内,沿导丝送入4193电极至心后侧静脉,固定电极在起搏参数最佳的位置(图3-4-16)。术后5天患者出院。
点评:
以往研究报道,78%的患者有1支心后侧静脉,96%有1支心侧静脉,心后侧静脉和心侧静脉起源于冠状静脉窦成锐角的分别为29%和23%。心后静脉和心侧静脉弯曲占15%和28%。本中心127例行冠状静脉造影发现,心侧静脉或心后侧静脉异常(细小、狭窄、扭曲、缺如)为97例(76.38%)。CARE-HF研究显示左室电极放置在心后侧静脉和心侧静脉为76%,经静脉植入CRT系统的成功率为95.6%。
首次植入成功率为86.78%,失败后进行第2或第3次尝试,成功率可增加10%以上。左室电极置入失败的原因有冠状窦插管失败,无合适的靶血管,电极在靶血管内不稳定,不能接受的阈值增高,不能耐受的膈神经刺激。本中心经静脉植入CRT系统的成功率为94.62%,靶静脉严重狭窄基本都能通过PTCA导丝,但电极导线却很难通过狭窄处,当不能通过电极导线时,可采用PTCA球囊扩张技术。然而有些狭窄处病变较硬,用PTCA球囊难以扩开,本中心仅1例用PTCA球囊扩张成功,通过左室电极导线,2例扩张不理想,反复更换球囊和逐渐增加压力(最大达20个大气压)均不能扩开狭窄病变,考虑冠状静脉狭窄的病理改变与冠状动脉不同,可能与纤维化有关。
导丝的选择对成功通过弯曲处很重要,要根据血管弯曲程度选择不同硬度的导丝,过软的导丝容易通过弯曲处,但支撑力不好,过硬的导丝支撑力好,但又不容易通过弯曲处,单导丝支撑力不够时可采用双导丝技术。
成功植入左室电极导线的第一步是冠状窦插管,冠状窦口瓣膜形成是冠状窦插管失败的主要原因,本中心冠状窦插管的成功率为99.19%。对于不能置入或无血管置入左室电极导线的患者,心外膜电极导线的植入是一种弥补措施,但不是所有患者均有心外膜电极导线植入的适应证,如高龄、心功能极差及伴有其他脏器严重病变的患者,开胸行心外膜电极导线植入风险较大。目前,应用穿房间隔技术置放左心室电极正在探讨之中。
总之,虽然冠状静脉分支的变异大,发生率高,但只要细心操作,应用不同的器械和方法,手术的成功率还是很高的,特别是首次手术失败后,总结经验进行第二次尝试是必要的,可能会得到意想不到的结果。

图3-4-16 再次经静脉植入左室电极
A:心中静脉送入PTCA导丝;B:造影显示心后侧静脉与心中静脉形成交通;C:左前斜45°,PTCA导丝从心中静脉逆向送入心后侧静脉,左室电极(4193,Medronic)通过极度弯曲处;D:后前位影像,PTCA导丝从心中静脉逆向送入心后侧静脉,左室电极通过极度弯曲处
来源:《规避陷阱:心血管疾病介入并发症防治攻略》
作者:韩雅玲 王祖禄 朱鲜阳
参编:丁世芳 王冬梅 王守力 王效增 王海昌
页码:540-542
出版:人民卫生出版社
- 评价此内容
- 我要打分
近期推荐
热门关键词
最新会议
- 2013循证医学和实效研究方法学研讨会
- 欧洲心脏病学会年会
- 世界帕金森病和相关疾病2013年会议
- 英国介入放射学学会2013年第25届年会
- 美国血液学会2013年年会
- 美国癫痫学会2013年第67届年会
- 肥胖学会 2013年年会
- 2013年第9届欧洲抗体会议
- 国际精神病学协会 2013年会议
- 妇科肿瘤2013年第18届大会
- 国际创伤压力研究学会2013年第29届…
- 2013年第4届亚太地区骨质疏松症会议
- 皮肤病协会国际2013年会议
- 世界糖尿病2013年大会
- 2013年国际成瘾性药年会
- 彭晓霞---诊断试验的Meta分析
- 武姗姗---累积Meta分析和TSA分析
- 孙凤---Network Meta分析
- 杨智荣---Cochrane综述实战经验分享
- 杨祖耀---疾病频率资料的Meta分析
合作伙伴
Copyright g-medon.com All Rights Reserved 环球医学资讯 未经授权请勿转载!
网络实名:环球医学:京ICP备08004413号-2
关于我们|
我们的服务|版权及责任声明|联系我们
互联网药品信息服务资格证书(京)-经营性-2017-0027
互联网医疗保健信息服务复核同意书 京卫计网审[2015]第0344号




会员登录

