急性心梗并发多器官功能不全 如何拯救患者于危难?
53岁男性患者,因发作性胸痛入院,此前于当地就医过程中突发意识丧失。入院后置入冠状动脉支架并药物治疗,患者仍觉胸闷。经检查,发现患者除急性心梗外还伴有急性肝功能损害、急性肾功能不全、血小板减少症等。尽管对症治疗,但入院后20小时内病情急剧恶化,多脏器严重衰竭。患者能否转危为安?对于多器官功能不全综合征应采取哪些治疗措施?详见以下病例¬——
急性心肌梗死后并发多器官功能不全(心脏、血液、肾、脑、肝、呼吸、胰腺7个系统)的诊疗救治
患者,男,53岁,因“发作性胸痛6天,加重1天”于2011年2月18日入院。患者于2011年2月12日出现劳累后心前区闷痛,于当地医院查心电图提示ST-T抬高改变。2011年2月17日下午于当地就医过程中突然意识丧失,立即给予心肺复苏,意识恢复后查心电图提示急性下壁、侧后壁心肌梗死,转至当地医院,急诊冠脉造影提示左回旋支近段100%闭塞,置入2.5mm×36mm药物洗脱支架1枚,术中出现无复流。
术后给予低分子肝素、替罗非班静脉滴入(剂量不详),患者仍觉胸闷,在持续补液及大量升压药维持下血压波动在90/60mmHg左右(心功能不全),丙氨酸氨基转移酶升高达2700U/L、总胆红素60U/L(急性肝功能损害),尿少(<25ml/h)(急性肾功能不全),双眼睑水肿,转入本院。既往否认高血压、糖尿病、脑血管病及肝病、消化性溃疡病史,平时无反酸、嗳气、呕血及黑便。无烟酒史。
查体:脉搏100次/分,呼吸21次/分,血压92/57mmHg,神志淡漠(代谢性脑病),皮肤苍白湿冷,痛苦病容,口唇肢端发绀,双眼睑水肿,球结膜水肿,前胸、前臂、腹部皮下大量瘀斑,颈静脉怒张,双肺呼吸音弱,肺底少许干湿啰音。心率100次/分,律齐,各瓣膜听诊区未闻及杂音。肝脾不大,双下肢无水肿。
入院心电图示:窦性心律,Ⅱ、Ⅲ、avF、V5~V9导联呈QS型、ST段略抬高0.1mV。心脏超声示:左心室42mm,EF 0.5,左心室下壁及后壁回声增强,运动减弱欠协调。心包腔后方0.5mm液性暗区,少量积液。
腹部超声示:脂肪肝,腹水,双侧胸腔积液。
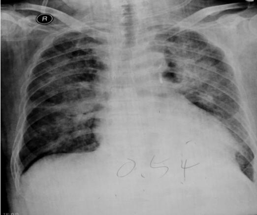
胸部X线示:肺淤血、间质性肺水肿,心脏增大,考虑心衰所致(图1-28-9)。
周围静脉压27cmH2O。血小板(PLT)47×109/L(血小板减少症),凝血酶原时间43.2秒,INR 3.6,活化部分凝血活酶时间29.1秒,凝血酶时间11.2秒,纤维蛋白原3.4g/L,D-二聚体<0.5μg/ml,抗凝血酶Ⅲ35%,pro-BNP 1620pg/ml;血气分析pH 7.1,PO 35.9mmHg,PCO 29.7mmHg,SO 53.7%,HCO− 9.7mmol/L,SBE 222 3 17.5mmol/L(呼吸衰竭);血清丙氨酸氨基转移酶最高达10 713U/L(正常值9~72U/L),血清肌酸激酶同工酶233U/L(正常值0~25U/L);血清钾5.36mmol/L(正常值3.5~5.2mmol/L),血清肌酐296µmol/L(正常值72~127µmol/L),血清总胆红素46.2µmol/L(正常值0~20.5µmol/L),血清直接胆红素22.0µmol/L(正常值0~6µmol/L);2011年3月1日查血淀粉酶289U/L(Somogyi法,正常值40~108U/L),血脂肪酶927U/L(正常值23~300U/L)(急性胰腺炎),大便潜血阴性。
初步诊断:①冠心病急性下壁、侧后壁、右室心肌梗死;心源性休克(KillipⅣ级);经皮冠状动脉支架置入术后无复流。②急性肝功能损害。③急性肾功能不全。④血小板减少症。⑤Ⅰ型呼吸衰竭。⑥代谢性酸中毒。⑦心肺复苏术后。患者入科后立即停用所有抗凝血及抗血小板药物、给予保护胃黏膜、通便、纠正酸中毒、补液、床旁主动脉内球囊反搏动术(IABP)支持,对症治疗等。但入院后20小时内病情急剧恶化,持续低血压(大剂量的升压药物维持),深静脉置管大量补液。病情危重,GRACE评分275分(提示极高危,院内死亡率可高达52%),血气分析提示严重酸中毒,肝肾功能损害加重,出现血小板进一步减少至27×109/L(图1-28-10),同时AA(花生四烯酸)诱导的血小板聚集率3.8%,ADP(二磷酸腺苷)诱导的血小板聚集率0.1%,凝血功能异常加重,提示严重多脏器衰竭。
韩雅玲院士多次查房给予系列诊治意见:①考虑INR>3.0,血小板数量、功能下降及抗凝血酶Ⅲ活性降低主要与心脏骤停及外院大量应用抗栓药物有关,不排除肝素诱发的血小板减少症,决定暂时停用全部抗血小板药。②低血压状态考虑与右室梗死有关,应大量补液及适当给予升压药物,IABP可能会导致血小板进一步降低故立即撤出。③出现意识障碍,Babinski征阳性,血清丙氨酸氨基转移酶1万以上,尿少、血清肌酐进行性增高,考虑为代谢性脑病,故早期应用持续性肾替代治疗(CRRT,共持续应用了21天)(图1-28-11),以便严格控制出入水量平衡,保证肾脏灌注量(图1-28-12)。调节体液平衡,改善肝、肾、脑功能。④有效血浆置换,以消除体内毒性产物对肝、肾、脑功能的进一步损伤(图1-28-11)。⑤血小板曾下降至18×109/L,伴血浆蛋白降低,给予2次输注新鲜血小板,间断输注血浆白蛋白,血浆蛋白和血小板逐渐恢复正常(图1-28-10)。⑥患者2月22日血小板数量有所回升后,血小板24×109/L,INR 1.42,凝血酶原时间17.0秒,活化部分凝血酶原时间>300秒,凝血酶时间>300秒,纤维蛋白原4.8g/L,给予西洛他唑口服当日晚间出现鼻出血、口腔黏膜出血及皮下大量瘀血,由于AA诱导的血小板聚集率3.8%,ADP诱导的血小板聚集率0.1%,考虑与CRRT应用过程中肝素过量有关,改用无肝素透析,此后出血逐渐停止,无脏器出血发生,故一直给予西洛他唑。⑦2月25日出现阵发性心房颤动,给予胺碘酮静脉滴注后转为窦性心律。⑧患者2月26日下午出现发热(体温38.7℃),持续6天,血液细菌培养阴性,给予美罗培南静脉滴注6天,血象逐渐恢复正常,感染控制后停用抗生素。⑨3月1日血脂肪酶及淀粉酶升高达正常值4倍以上,考虑与心源性休克导致胰腺缺血有关。按胰腺炎处理,经过胰腺炎Ⅰ、Ⅱ、Ⅲ号饮食,给予生长抑素静脉滴注,淀粉酶逐渐恢复正常(图1-28-13)。⑩住院期间出现贫血,血红蛋白最低74g/L,考虑与肝肾功能不全,营养吸收障碍有关,给予改善营养及促红细胞生成素后逐渐恢复,出院前血红蛋白101g/L。
患者共住院38天,病情痊愈。目前已随访37个月,无任何不良事件发生,生活质量很高。出院诊断:①冠心病:急性下壁、侧后壁、右室心肌梗死;心源性休克(KillipⅣ级);冠脉支架植入术后;阵发性心房颤动。②呼吸衰竭(Ⅰ型)。③急性肝功能损害。④急性肾功能不全。⑤上呼吸道感染。⑥代谢性脑病。⑦血液系统疾病:血小板减少症;贫血。⑧急性胰腺炎。⑨代谢性酸中毒。

图1-28-9 入院时胸部X线片

图1-28-10 根据血小板计数实施适度抗栓治疗及血小板输注治疗

图1-28-11 持续性肾替代治疗及血肌酐变化

图1-28-12 住院期间24小时出入量及尿量

图1-28-13 胰酶变化趋势图
点评:
本例患者在原发急性心肌梗死所致心源性休克发生后,24小时内出现了两个或更多的器官系统(心脏、肝脏及肾脏等)功能障碍,导致多器官功能不全综合征(MODS)。
本病例抢救主要关键点:①仔细观察患者生命体征,心梗后并发MODS的早期可能表现不典型,但是病情发展快,本例患者心梗后24小时内出现MODS,准确的观察是关键的,为早期采取积极有效的治疗措施,提高救治成功率提供参考依据。②完善必要、及时准确的各种化验指标及检查,预测准确。利用生化检查,心脏超声、影像方法,较早且较为准确地发现器官功能障碍。例如:中心静脉导管的监测可以显示心血管功能;血气分析可以显示肺换气功能;尿比重和血肌酐等的测定可以显示肾功能,本例患者病情危重时,根据患者的生命体征及化验单结果,每小时(甚至半个小时)严格计算患者静脉入液量、胃管入量、血液净化血液滤过速率(30~100ml/min)及体内滤出液量(30~500ml/h),自身生成尿量等,确保万无一失。因此,MODS的诊断及疗效需要临床表现和检查结果的综合分析,精细计算结果。如果不适当的处理,会掩盖病情,使病情急转恶化,危及生命。必须早发现、早正确诊治。③输血、输液、抗栓用药或CRRT、IABP等应用时机、持续时间及相关药物剂量的选择,也对MODS的预后起到至关重要的影响。本例患者入院24小时内发现血小板及凝血功能异常变化后,及时撤出IABP,减少机械及肝素对血液系统的损伤。CRRT及适时血浆置换不仅清除了体内炎症因子,维持了内环境稳定,同时补充的新鲜冰冻血浆也补充了凝血因子和新鲜血小板,这对于凝血功能异常的控制是十分必要的。联合及时补液,纠正休克、酸中毒等内稳态措施,有效保护了肝、肾、脑等重要器官,为后续治疗打好了基础。④血栓和出血的平衡,体现在恢复抗栓治疗过程的精细调节上,在血小板逐步上升后,凝血功能异常得到控制后及时依次给予小剂量磺达肝癸钠、西洛他唑、阿司匹林、氯吡格雷等,及时防止了支架内血栓及MODS引起的脏器出血所造成的危害;防止DIC的发生,体现抗栓的个体化治疗。⑤立足一元论的原发急性心肌梗死为治疗的出发点,建立整体治疗观点,兼顾各器官的特点及指标变化,综合治疗,采取果断措施。本例患者兼顾纠正低蛋白血症补充白蛋白,确保不加重心脏负荷,适当利尿及强心,保持心、肾灌注。同时,必须维持水、电解质平衡。在大量用药同时,兼顾营养支持,又不加重胰腺炎发作。改善患者营养状况,纠正贫血。积极防治呼吸道感染,积极纠正低血容量和呼吸衰竭。
诊疗体会:①处理疾病时要有全身的整体的观念,及早治疗任何一个首先发生的器官功能不全,阻断连锁反应;②多器官衰竭的治疗非常困难,此患者存在诸多治疗“矛盾”关系:器械(IABP)治疗血流动力学紊乱与机械损伤(对血小板)、支架术后抗栓治疗与出血(鼻出血、皮下出血等)、水化治疗(肾功能不全及右心室梗死治疗需要)与充血性心力衰竭加重、贫血与禁食(治疗急性胰腺炎)之间的矛盾等,都需要精准的平衡和周到地处理。因此,早期发现、准确预判和妥善处理主要和次要矛盾,以及抢救团队与相关科室扎实的临床抢救基本功和密切合作关系,是本例极其高危且病情错综复杂患者能够抢救成功的关键。
来源:《规避陷阱:心血管疾病介入并发症防治攻略》
作者:韩雅玲 王祖禄 朱鲜阳
参编:丁世芳 王冬梅 王守力 王效增 王海昌
页码:398-401
出版:人民卫生出版社
- 评价此内容
- 我要打分
近期推荐
热门关键词
最新会议
- 2013循证医学和实效研究方法学研讨会
- 欧洲心脏病学会年会
- 世界帕金森病和相关疾病2013年会议
- 英国介入放射学学会2013年第25届年会
- 美国血液学会2013年年会
- 美国癫痫学会2013年第67届年会
- 肥胖学会 2013年年会
- 2013年第9届欧洲抗体会议
- 国际精神病学协会 2013年会议
- 妇科肿瘤2013年第18届大会
- 国际创伤压力研究学会2013年第29届…
- 2013年第4届亚太地区骨质疏松症会议
- 皮肤病协会国际2013年会议
- 世界糖尿病2013年大会
- 2013年国际成瘾性药年会
- 彭晓霞---诊断试验的Meta分析
- 武姗姗---累积Meta分析和TSA分析
- 孙凤---Network Meta分析
- 杨智荣---Cochrane综述实战经验分享
- 杨祖耀---疾病频率资料的Meta分析
合作伙伴
Copyright g-medon.com All Rights Reserved 环球医学资讯 未经授权请勿转载!
网络实名:环球医学:京ICP备08004413号-2
关于我们|
我们的服务|版权及责任声明|联系我们
互联网药品信息服务资格证书(京)-经营性-2017-0027
互联网医疗保健信息服务复核同意书 京卫计网审[2015]第0344号




会员登录

