老年女性长期反复心慌 药物治疗不能控制该怎么办?
患者女性,70岁,于2012年5月21日入院。
一、主诉
反复胸闷心慌2年余。
二、病史询问
思维提示:患者为老年女性,2年来反复出现胸闷心慌症状,按常见病优先考虑的原则应将冠心病放在首位。心绞痛是由于暂时性心肌缺血引起的以胸痛为主要特征的临床综合征,稳定型心绞痛则指心绞痛发作的程度、频率、性质及诱发因素在一月内无明显变化的患者。因此,问诊目的主要围绕心绞痛的诱因和缓解因素、发病时因心肌缺血相应的临床表现、伴随症状、持续时间、相关危险因素、是否曾接受治疗及效果如何等问题展开,并兼顾重要鉴别疾病的临床表现,以寻找符合冠心病稳定型心绞痛表现的证据。
(一)问诊主要内容及目的
1.发病前是否有劳累、情绪激动、饱食或受寒等诱因?
稳定型心绞痛患者的发作常与劳力或情绪激动有关,且多发生在劳力当时而不是之后,如快速走路、爬坡、农忙时诱发,休息即可缓解。
2.发作性胸痛的部位、性质、持续时间、伴随症状?
稳定型心绞痛患者多半具有典型的胸痛部位,主要在胸骨体上段或中段之后可波及心前区,范围常不局限,常放射至左肩、左臂内侧达无名指和小指,或至颈、咽或下颌部。每次心绞痛发作的部位往往是相似的。性质常为压迫、发闷或紧缩性,有的患者仅为胸部不适,有的表现为乏力、气短,主观感觉个体差异较大。持续时间数分钟,可呈阵发性发作,一般不会超过10分钟,也不会转瞬即逝或持续数小时。患者常常不自觉停止原来的活动直至症状缓解。
3.入院前是否接受了相应检查及治疗?缓解方式是什么?效果如何?
稳定型心绞痛患者大多停下休息即可缓解,舌下含服硝酸甘油可在2~5min内迅速缓解症状。
4.既往有何种疾病,是否有冠心病相关的危险因素?
尚需了解冠心病相关的危险因素,如吸烟、血脂异常、高血压、糖尿病、肥胖、早发冠心病家族史等。
5.重要鉴别诊断涉及相关问诊要点?
稳定型心绞痛尚需与其他相关疾病相鉴别,如食管病变、胆道疾病、消化性溃疡、胸壁疾病、肺部疾病、神经官能症等。
(二)问诊结果及思维提示
患者2年前开始间断出现胸闷心慌,主要在左前胸心前区,有手掌大小范围,常放射至左肩、左臂内侧,与活动劳累、情绪激动相关联,每次持续时间约5min,休息后症状缓解。胸闷发作时曾自行服用“速效救心丸”,2~3min症状明显改善。为求进一步诊治,遂来我院。既往有高血压病史2年,最高血压160/90mmHg,未曾正规服药降压及规律检测血压,另有“血脂异常”病史2年,未经正规治疗。
思维提示:通过问诊可明确,患者为老年绝经后妇女,既往有循环及代谢性疾病,具有明确的冠心病高危因素。发作性胸痛的诱因、部位、性质、持续时间、伴随症状等符合冠心病稳定型心绞痛的特点;应在体格检查时重点注意心率、血压,心尖部是否有新发收缩期杂音等,亦需注意是否有颈动脉杂音或周围血管病变等动脉粥样硬化表现;并通过实验室检查和影像学检查寻找心肌缺血的证据。
三、体格检查
(一)重点检查内容和目的
心绞痛患者平时一般无异常体征。心绞痛发作时可有心率增快、血压升高、表情焦虑、皮肤出冷汗等。如有乳头肌缺血导致功能失调引起二尖瓣关闭不全,则可出现心尖部收缩期杂音,第二心音可有逆分裂或出现交替脉。
(二)体格检查结果及思维提示
T 36℃,R 20次/分,P 59次/分,BP 150/70mmHg。神志清楚,呼吸平稳,自动体位。胸廓对称,双侧呼吸运动一致,双肺呼吸音清。心界不大,心律齐,各瓣膜区未闻及明显病理性杂音及附加音。腹部、四肢、神经等系统检查未见异常。
思维提示:心脏检查未见异常。需进一步实验室和影像学检查并判断病情,为治疗方案提供依据。
四、实验室和影像学检查
(一)初步检查内容及目的
1.血常规、尿常规、大便常规
明确是否有感染、贫血、血小板异常或消化道出血。
2.凝血功能
明确是否有凝血功能障碍,冠脉造影前准备。
3.肝肾功能电解质心肌酶谱TnI
评价病情,明确诊断。
4.血脂血糖、甲状腺功能
明确是否有其他合并症。
5.心电图、心脏超声及胸片
明确诊断。
6.感染性疾病筛查
包括乙肝、丙肝、梅毒、艾滋病筛查,冠脉造影前准备。
(二)检查结果及思维提示
1.血常规
WBC 6.28 G/L;N 61.3%;RBC 4.36×1012/L;HGB 136g/L;PLT 259×109/L。尿常规、大便常规:正常范围。
2.凝血功能
正常范围。
3.肝肾功能电解质心肌酶谱
ALT 17U/L;AST 18U/L;BUN 5.17mmol/L;Cr 49.3μmol/L;Na 139mmol/L;K 4.2mmol/L;CK-MB 1.1ng/ml(参考值<6.6ng/ml);TnI 0.001ng/ml(参考值<0.3ng/ml)。
4.血脂、血糖、甲状腺功能
空腹血糖 5.6mmol/L;总胆固醇 4.89mmol/L;甘油三酯1.46mmol/L;HDL-C 1.36mmol/L;LDL-C 3.17mmol/L;甲状腺功能正常。
5.心电图、心脏超声及胸片
① 息时心电图:窦性心律,Tv1~v6倒置(图11-1)

图11-1 静息时ECG所见
②发作时心电图:入院后患者于病区步行活动时胸闷再发,Tv1~v6双向低平,“假性正常化”,时测TnI 0.003ng/ml(参考值<0.3ng/ml)(图11-2)。

图11-2 发作时ECG所见
③缓解时心电图:立即给予舌下含服硝酸甘油0.5mg,2~3min后症状缓解,T波恢复静息时倒置状态,第二日复查TnI 0.001ng/ml(参考值<0.3ng/ml)(图11-3)。
④心脏超声:升主动脉稍宽,左房稍大。
⑤胸片:未见明显异常。
6.感染性疾病筛查:正常范围。
思维提示:患者心肌酶谱中CK-MB及TnI 始终处于正常范围,静息心电图即有T波倒置,提示可能存在心肌缺血,而胸闷发作时心电图又出现“假性正常化”,结合患者的病史和体格检查结果,考虑“冠心病,稳定型心绞痛”的诊断,但仍需行冠状动脉造影帮助明确诊断、评价预后、指导治疗。进一步的处理应是完善稳定型心绞痛药物治疗及经皮冠状动脉介入治疗,通过治疗明确或修正诊断。
五、治疗方案及理由
(一)一般治疗:卧床休息,避免情绪紧张和焦虑,保持环境安静。如有发绀或呼吸困难则行吸氧。
(二)药物治疗:
1.即刻缓解缺血和预防严重不良反应
①硝酸酯制剂:作为内皮依赖性血管扩张剂,能够扩张冠状动脉,减少心肌需氧和改善心肌灌注。本例患者心绞痛发作时立即给予舌下含服硝酸甘油0.5mg,2~3min后症状缓解,起到即刻改善心绞痛症状的作用;长期慢性治疗则需长效硝酸酯类,如单硝酸异山梨酯,60mg,每日一次,口服。
②β受体阻滞剂:β受体阻滞剂可通过负性肌力和负性频率作用,降低心肌需氧量和增加冠状动脉灌注时间,减少心绞痛发作和增加运动耐量。用药后静息心率目标值为50~60次/分钟,本例中患者自主心率偏慢,暂不使用。
③钙拮抗剂:钙拮抗剂通过改善冠状动脉血流和减少心肌耗氧起到缓解心绞痛的作用,二氢吡啶类和非二氢吡啶类钙拮抗剂均有效益,后者更是变异型心绞痛或以冠状动脉痉挛为主的心绞痛一线药物,但不应用于严重心动过缓、高度房室传导阻滞和病态窦房结综合征的患者。合并高血压的冠心病患者可使用长效钙拮抗剂作为初始治疗药物,能够减少心绞痛发作。本例中使用硝苯地平控释片30mg,每日一次,口服。

图11-3 缓解时ECG所见
④代谢性药物:曲美他嗪通过调节心肌能源底物,抑制脂肪酸氧化,优化心肌能量代谢,改善心肌缺血,缓解心绞痛,20mg,3次/天,口服。
2.改善预后药物治疗
①阿司匹林:口服100mg/d维持,通过不可逆抑制血小板内环氧化酶-1防止血栓烷A2形成,阻断血小板聚集。
②调脂治疗:他汀类药物能有效降低TC和LDL-C浓度,从而降低心血管事件。所有冠心病稳定型心绞痛患者如无明显禁忌均应接受他汀类药物治疗,LDL-C目标值<2.6mmol/L(100mg/dl),如合并糖尿病则应使LDL-C<2.07mmol/L(80mg/dl)。本例中使用瑞舒伐他汀,10mg口服,每晚一次。具有调脂、抗炎及稳定斑块作用,改善预后,降低终点事件。
③血管紧张素转缓酶抑制剂(ACEI):培哚普利,4mg/d,口服,减少冠心病心绞痛患者的主要终点事件的危险性,如果合并糖尿病、心力衰竭或左室收缩功能不全者更应考虑使用ACEI。
六、治疗效果及思维提示
经过抗心肌缺血、抗血小板、ACEI及他汀等药物治疗,患者在住院期间仍有心绞痛发作,且发作时心电图变化特点类似,对于药物治疗不能成功控制症状,下一步需行冠脉造影甚至PCI,从而进一步印证诊断并做治疗。
七、冠状动脉造影及PCI
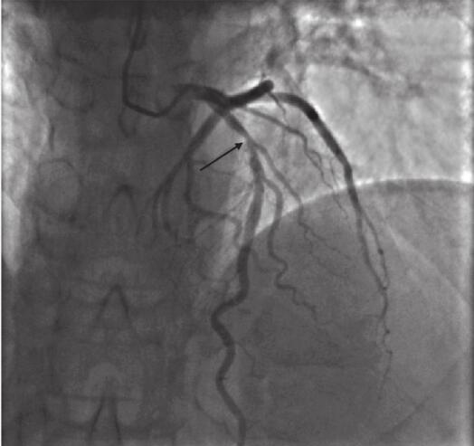
冠脉呈左冠优势型,前降支近段狭窄,程度约80%;中段狭窄,程度约30%;第二对角支开口狭窄,程度约30%。回旋支未见明显病变征象。右冠细小,近段、中段狭窄,程度约40%(图11-4)。
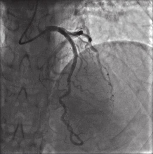
前降支近段病变处经球囊扩张后植入4.0mm×36mm支架1枚,复查造影示支架植入处无残余狭窄,血流TIMI Ⅲ级(图11-5)。

图11-4 缓解时ECG所见

图11-5 降支近段狭窄前降支PCI术后
患者的主要临床特点、检查结果均证实“冠心病 稳定型心绞痛”的诊断。
八、PCI术后调整治疗方案
(一)新方案
①阿司匹林:300mg/d,1月后减为100mg/d,长期维持;
②氯吡格雷:二磷酸腺苷(ADP)受体拮抗剂,有效减少ADP介导的血小板激活和聚集,主要用于支架植入以后或阿司匹林禁忌证患者。150mg/d,半月后减为75mg/d,维持12个月;
③培哚普利:4mg/d,口服维持;
④瑞舒伐他汀:10mg/晚,口服维持;
⑤硝苯地平控释片:30mg/d,口服维持;
⑥曲美他嗪:20mg/次,3次/天,口服维持。
(二)疗效
支架植入术后,患者未再诉胸痛不适,心率血压平稳。
九、最终诊断
1.冠心病,稳定型心绞痛,前降支支架植入术后
2.高血压病2级,极高危
3.血脂异常,高低密度脂蛋白胆固醇血症
十、对本病例的思考
1.关于稳定型心绞痛
稳定型心绞痛的诊断主要依据临床表现、体格检查、心电图和实验室检查等相关无创检查及CAG等有创检查。慢性稳定型心绞痛发作的部位、程度、性质、频率及诱发因素在数周内无明显变化。静息心电图正常不能除外冠心病心绞痛。胸痛发作时可记录到一过性ST-T改变,缓解后ST-T缺血改善;或者发作时倒置T波呈“假性正常化”,发作后恢复原倒置状态,均提示心肌缺血,并有可能是严重冠脉病变。静息心电图无明显异常者需进行心电图负荷试验。通常稳定型心绞痛检测心肌损伤标记物在正常范围。稳定型心绞痛药物治疗主要目的是预防心肌梗死和猝死,改善生存,减轻症状和缺血发作,改善生活质量。
2.血管重建治疗的选择
稳定型心绞痛是否进行血管重建需要遵循如下标准:若患者药物治疗无法成功控制症状、无创检查提示较大面积心肌存在风险、手术成功率高、相关并发症和死亡率在可接受范围内,可以考虑进行血管重建治疗。稳定型心绞痛的血管重建治疗主要包括经皮冠状动脉介入治疗(PCI)和冠状动脉旁路移植术(CABG)。PCI创伤小、恢复快、危险性相对较低。对于高危患者及单支血管病变患者,PCI缓解症状更为显著。尤其是应用药物洗脱支架减少了再狭窄风险及包括靶血管重建在内的主要负性心血管事件。CABG亦可改变中危、高危患者的预后,尤其在左主干明显狭窄或三支主要冠状动脉近段的明显狭窄情况下,选择CABG将获得更多预后获益。
来源:《心血管疾病临床诊疗思维》
作者:廖玉华
参编:程龙献 程翔 陈健 黄丹 毛晓波
页码:50-55
出版:人民卫生出版社
- 评价此内容
- 我要打分
近期推荐
热门关键词
最新会议
- 2013循证医学和实效研究方法学研讨会
- 欧洲心脏病学会年会
- 世界帕金森病和相关疾病2013年会议
- 英国介入放射学学会2013年第25届年会
- 美国血液学会2013年年会
- 美国癫痫学会2013年第67届年会
- 肥胖学会 2013年年会
- 2013年第9届欧洲抗体会议
- 国际精神病学协会 2013年会议
- 妇科肿瘤2013年第18届大会
- 国际创伤压力研究学会2013年第29届…
- 2013年第4届亚太地区骨质疏松症会议
- 皮肤病协会国际2013年会议
- 世界糖尿病2013年大会
- 2013年国际成瘾性药年会
- 彭晓霞---诊断试验的Meta分析
- 武姗姗---累积Meta分析和TSA分析
- 孙凤---Network Meta分析
- 杨智荣---Cochrane综述实战经验分享
- 杨祖耀---疾病频率资料的Meta分析
合作伙伴
Copyright g-medon.com All Rights Reserved 环球医学资讯 未经授权请勿转载!
网络实名:环球医学:京ICP备08004413号-2
关于我们|
我们的服务|版权及责任声明|联系我们
互联网药品信息服务资格证书(京)-经营性-2017-0027
互联网医疗保健信息服务复核同意书 京卫计网审[2015]第0344号




会员登录

