胸闷气短被误诊 医生怎样找出真正病因?
一般信息:女性,29岁,汉族。
主诉:胸闷、气短15个月,加重伴腹胀、双下肢肿胀1个月。
病史:患者于2008年1月开始出现劳力时胸闷、气短,未经治疗,此后上述症状反复发作。于2009年3月上述症状加重,休息时也有胸闷、气短症状,逐渐出现夜间阵发性呼吸困难和端坐呼吸。当地医院心电图显示:窦性心律,心率71次/分,V2~V6导联T波倒置。心脏彩超提示:主动脉根部内径32mm、左房内径44mm、左室舒张末内径61mm、室间隔10mm、左室后壁10mm,LVEF 32%,二、三尖瓣中度反流。左室整体室壁运动减弱,以左室游离壁的中下部及心尖部明显。于当地医院诊断为扩张型心肌病,给予ACEI、β受体阻滞剂治疗以及强心、利尿、扩血管等治疗后症状缓解出院。入院前1个月患者自行停药后胸闷、气短症状加重,并出现腹胀、食欲下降、双下肢水肿、尿量减少,服用利尿剂后能缓解。近2日患者夜间不能平卧,喉间喘鸣,咳嗽、咳白色黏痰。患者自觉症状逐渐加重,随后被家属送至北京大学航天中心医院内科急诊室。
既往史:8年前行“阑尾切除术”。否认高血压、糖尿病、心脏疾病等病史。
个人史及家族史:否认吸烟史和酗酒史。其父亲患有高血压。
体格检查:体温36.5℃、心率120次/分、呼吸28次/分、血压110/70mmHg;颈静脉显露。两肺呼吸音粗,满布干湿啰音。心界左扩,心尖搏动弥散,心音偏低,心律齐,120次/分,心尖部闻及2/6级收缩期杂音;腹平软,右肋缘下2cm可扪及肝脏下缘,质硬,无压痛,反跳痛。双下肢中度水肿,其余未见明显阳性体征。
辅助检查:血常规:白细胞5.37×109/L,中性粒细胞0.65,血红蛋白130.0g/L;血生化检查:ALT/AST 110/80U/L,BUN 3mmol/L,UA 442μmol/L,K+3.71mmol/L,血糖5.2mmol/L;血脂全套:TC 3.99mmol/L,HDL-C 0.87mmol/L;心肌梗死三项正常;NT-pro BNP:1 380pg/L。心电图:窦性心动过速,偶发室性期前收缩,心率120次/分,ptfV1<-0.04mms,V2~V6导联T波倒置。
初步诊断:扩张型心肌病,心功能Ⅳ级。
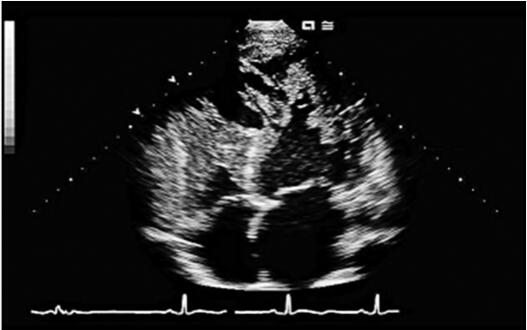
入院后诊治经过:患者收入CCU后,入院查血气分析提示低氧血症。床边胸片提示肺水肿。立即给予吸氧、心电监护,给予强心、利尿、扩血管、解痉平喘等治疗3天后症状缓解,夜间能平卧,两肺干湿啰音消失。入院后复查心脏彩超提示:主动脉根部内径33mm、左房内径45mm、左室舒张末内径59mm、室间隔10mm、左室后壁10mm,LVEF34%,二、三尖瓣中度反流。左室心尖部、前侧壁心内膜面探及多发性突入左室腔内的肌小梁,小梁之间可见深度不同的间隙,病变均累及左室游离壁的中下部,以心尖部及前侧壁为著。室间隔基本正常(图8-4-1)。MRI:左室舒张末期横径58.7mm,侧壁厚度13mm,室间隔厚度10mm,LVEF 37.2%。左室心肌存在增多粗乱肌小梁,肌小梁间可见深陷隐窝,肌小梁间隐窝与左室腔交通(图8-4-2);次日至导管室行冠状动脉造影示:左右冠状动脉均正常。综合入院后多项检查结果我们排除了冠心病、高血压性心脏病、风湿性心脏病以及心包积液等疾病,本病例科内讨论后我们考虑本病系心室肌致密化不全(NVM)引起。患者入院治疗后症状缓解,10天后出院,出院后带药:改善心室重构(培哚普利,4mg每日1次;美托洛尔6.25mg,每日2次);利尿药:氢氯噻嗪25mg,隔日1次;螺内酯20mg,隔日1次;强心药:地高辛0.125mg,每日1次;抗凝药:华法林3mg每日1次。

图8-4-1 心尖四腔观:心尖部及侧壁心内膜如厚海绵状,心尖部肌小梁粗大,小梁间隐窝明显,隐窝的血液与左心室相通
出院诊断:心室肌致密化不全(NVM),心功能Ⅱ级。
讨论:患者系典型的慢性心力衰竭的临床表现。起初表现为左心功能不全:进行性呼吸困难:包括劳力性呼吸困难,端坐呼吸和夜间阵发性呼吸困难。主要由于急性或慢性肺瘀血和肺活量减低所引起。阵发性夜间呼吸困难是左心衰竭的一种表现,患者常在熟睡中憋醒,有窒息感,被迫坐起,咳嗽频繁,出现严重的呼吸困难。最近1个月出现全心衰竭表现:右心功能不全表现也出现。①腹胀:是右心衰竭较早的症状。常伴有食欲不振、恶心、呕吐及上腹部胀痛。②尿量减少。③水肿:心力衰竭性水肿多先见于下肢,呈凹陷性水肿,重症者可波及全身,下肢水肿多于傍晚出现或加重,休息一夜后可减轻或消失。

8-4-2 上图为冠状面、下图为矢状面。可见左房、左室扩大,左室内肌小梁增粗,加深
该患者为年轻女性,以慢性心功能不全急性发作为主要表现入院,既往否认有扁桃体炎、心脏病史。查体可闻及肺部干湿啰音,心率120次/分、心音低钝、心尖部收缩期杂音,双下肢水肿。心电图的改变也提示左心房舒张末压增加,外院心脏超声亦提示心功能不全,考虑扩张型心肌病可能性大。
本病需要与以下疾病鉴别:
(一)风湿性心脏病
该患者为年轻女性,发病初期表现为左心功能不全、肺淤血,后进展为右心功能不全,在年轻人中以风湿性心脏病引起的心功能不全最多见,但该患者无扁桃体炎病史,亦无游走性关节红肿疼痛病史,无二尖瓣面容,查体未闻及二尖瓣狭窄所特有的心尖部舒张中晚期隆隆样杂音,而表现为心尖部收缩期杂音,心脏彩超亦未发现瓣膜粘连、钙化,故不支持风湿性心脏病诊断。
(二)心包积液
年轻人中结核病发病率较高,有一小部分会累及心包,如为慢性心包积液,可表现为进行性胸闷气急易误诊,可根据下列条件进行鉴别:①心脏增大,搏动减弱,病程长达半年以上者,以心肌病可能性大。②X线检查,左心室增大者,提示心肌病。③超声心动图,心脏显著增大而无液性暗区,支持心肌病。④心电图:左室高电压,左室肥厚,束支传导阻滞,异常Q波,室性心律失常等提示心肌病。⑤收缩时间间期,PEP延长,LVET缩短,PEP/LVET比值增大,支持心肌病。该患者心脏彩超已排除心包积液,故该诊断不成立。
(三)心室肌致密化不全
心室肌致密化不全(NVM)表现为渐进性心功能不全、心律失常、体循环栓塞,与扩张型心肌病十分相似。心脏彩超提示:①心外膜层薄而致密,心内膜层疏松增厚。②好发于左室心尖部、前侧壁,可波及心室壁中段,一般不累及心室基底部。③隐窝间隙有低速血流与心腔相通。④排除其他先天性或获得性心脏病。
(四)其他
1.克山病
属地方性心肌病,有一定流行地区,以学龄前儿童及生育期妇女发病较多。扩张型心肌病属散发性,以中年男性居多。患者未在克山病高发地区居住,可能性不大。
2.冠心病
患者年轻女性,无冠心病危险因素,无胸痛等症状,无心电图动态变化,冠状动脉造影正常,不支持本病。
3.高血压性心脏病
患者无高血压病史,体检血压不高,不支持本病。
根据该患者入院初期的病史、症状、体征诊断为扩张型心肌病。入院后复查心脏彩超以及磁共振发现NVM特征性表现,明确诊断NVM。心肌致密化不全的超声表现往往有心腔扩大、二尖瓣反流、左室内附壁血栓形成和弥漫性心肌运动障碍,易误诊为扩张型心肌病。但后者有一个显著特点,即超声检查下室壁多均匀变薄,内膜光滑;而心肌致密化不全的致密化心肌变薄,非致密化心肌增厚,内膜不光滑,隐窝特别明显,心内膜呈网状结构。所以通过超声检查可将二者明确鉴别诊断。此外,心肌致密化不全还需要与肥厚型心肌病、高负荷心脏病以及缺血性心肌改变相鉴别。肥厚型心肌病超声检查可有粗大的肌小梁,但缺乏深陷的隐窝;高负荷心脏病超声检查可发现肌小梁增粗,同时致密心肌也增厚;缺血性心肌改变的冠状动脉造影异常。所以,通过辅助检查能明确诊断。
心肌致密化不全可通过超声心动图检查来明确诊断。根据超声心动图的表现,可把心肌致密化不全分为左室型、右室型和双室型。左室型即心肌致密化不全所累及的心肌主要以左室壁心肌为主;右室型指累及的心肌主要是右室壁心肌;双室型是指两个心室壁心肌同时受累,都有致密化不全的表现。临床上以左室型最为多见。病变累及的节段,往往是越靠近心尖部,致密化不全越明显;它还可累及到室壁中段;一般不累及基底段。同时,心内膜的心肌比靠近心外膜的心肌非致密化更明显。超声检查可发现致密化不全的心肌表现为隆突的肌小梁与深陷的隐窝构成网状结构;而致密的心肌变薄,在超声图上表现为中低回声。隐窝内有低速的血流和心腔相通,部分患者左室内有附壁血栓。随着病程进展,患者逐渐出现心力衰竭和心脏扩大,超声会出现房室瓣反流、心腔扩大和心功能减低等表现。心肌声学造影,由于左室腔内有肌小梁突入,会出现造影缺损。
88%~94%NVM的患者有心电图异常,其中伴有束支传导阻滞者为25%~56%。迄今为止的文献报道显示,心肌致密化不全可出现多种心律失常。快速室性心律失常最为常见,患病率为37%~48%,患者常表现出心悸、晕厥。有报道,34例心肌致密化不全患者有11例出现了持续性或非持续性室速。Celiker报道的11例NVM患者中有4例发生过致命性室速或室颤,并且目前的研究显示NVM患者发生的室性心律失常药物治疗效果不佳,对于这组患者最为有效的治疗手段只能是置入ICD。心肌致密化不全在胎儿时期就可通过胎儿超声心动图被诊断,发生心肌致密化不全的胎儿或新生儿死亡率很高,主要死因为缓慢性心律失常或室性心律失常。房室传导阻滞在心肌致密化不全的患者中相对较少,但也有发生,一度、二度Ⅰ型和三度房室传导阻滞均有发生,这类患者唯一的治疗手段就是置入人工心脏起搏器。在心肌致密化不全患者中预激综合征的发生比例较高,Iehida报道27例心肌致密化不全患者中有4例伴发预激综合征,可呈显性或隐匿性。致密化不全患者伴预激综合征患者发生阵发性室上性心动过速时易发生致命性室速或室颤。
心肌致密化不全是近年来新认识的心肌病。虽发病率不如常见的心肌病高,尚未被心内科医师广泛认识,超声心动图能发现其特征性改变,有助于本病的早期发现和治疗,但因其临床预后差,治疗以常规抗凝、抗心力衰竭治疗为主伴有心律失常时可给予抗心律失常治疗,甚至置入ICD。但以上均属姑息性治疗,晚期应行心脏移植。
丁香视野
心室肌致密化不全(noncompaction of the ventricular myocardium,NVM)又称海绵状心肌或心肌窦状隙持续状态,是一种先天性心肌病。以无数突出的肌小梁和深陷的小梁隐窝为特征。早在1932年Bellet等在尸检的心脏描述了这种心肌特征,1984年Engberding报道了首例儿童患者。直到1990年Chins将具有这类特征的心肌病变命名为心肌致密化不全,1995年WHO将其归为未分类的心肌病,2006年ACC/AHA/ESC将其设为心肌病的独立类型。由此可见,心肌致密化不全作为一种新的心肌病已越来越受到人们的重视。
在心脏胚胎发育的前4周,冠状动脉循环尚未形成,心肌呈海绵样改变。心肌的血液供应由心腔内的血液经过肌小梁直接提供,到5~6周时,心肌致密化过程开始,从心外膜向心内膜,从心室基底部到心尖部,隐窝逐渐致密化形成冠状动脉循环系统。但是,当心脏发育过程中,由于基因突变使致密化过程失败,可导致小梁隐窝持续存在,肌小梁发育异常粗大。近年来的研究还发现,编码dystrobrevin与Cypher/ZASP的基因发生突变可能导致胚胎期左室致密化过程失败,继而引起NVM。而类似的基因突变也存在于扩张型心肌病中,因此这可以部分解释为何这两种心肌病临床表现如此相似。
胚胎期心肌致密化过程异常终止导致NVM,其发生机制已有报道,左心功能不全、心律失常和栓塞为本病的三大特征[1-2]。国内有研究统计近1/3的患者初始就诊时临床误诊为扩张型心肌病[3]。因为随着病程的发展NVM患者心肌供血与众多肌小梁需求的不匹配,以及肌小梁和心内膜的纤维化现象等因素都可能诱发左室功能异常。心肌致密化不全的病程迁延,临床表现各异,典型症状为心功能不全、心律失常和血栓栓塞,部分患者也可终生无任何症状。心功能不全是最为多见的就诊原因。
因病变多累及左心室,故左心衰竭症状多见。心力衰竭程度较重,心功能多为NYHA分级Ⅲ~Ⅳ级。受累心室以收缩功能障碍为主,射血分数明显减低。收缩功能障碍可能与冠状动脉微循环的异常有关。国外研究证实在60%的非致密化心肌区域,尤其是心内膜下心肌,存在低血流灌注,同时证实在非致密化心肌区域和部分致密化心肌区域存在冠状动脉血流贮备功能降低,从而也解释了室壁运动减低呈弥漫性的原因[4]。心律失常也是就诊的主要原因。本研究中,最常见各种室性快速心律失常(41%),心脏传导阻滞(35%)和心房颤动(22%)也较常见。心律失常的发生可能与肌束不规则的分支和连接,局部心肌缺血引起的组织损伤以及激动延迟等有关。由于小梁间深陷隐窝中血流缓慢,心肌收缩障碍及部分患者发生心房颤动,心腔内易形成血栓,脱落可引起相应脏器的栓塞,多发生于成年患者[5],因为病变多累及左室,故体循环栓塞如脑动脉栓塞,肠系膜动脉栓塞多见。
临床诊断现主要依靠超声心电图。根据Jenni等[6]提出的心肌致密化不全超声诊断标准:①受累心室壁呈2层,外层为变薄的致密化心肌,内层为厚而疏松的非致密化心肌。在胸骨旁短轴像中分别测量收缩末期非致密化心肌层(N)与致密化心肌层(C)的最大厚度,二者比例N/C≥2。②心腔内多发、过度隆起的肌小梁和深陷其间的隐窝,形成网状结构。③彩色多普勒可测及隐窝间有低速血流与心腔相通。有学者认为心脏MRI具有软组织分辨率高、可任意切面扫描,容易检测出隐藏在肌小梁间的血栓等优势,可作为超声检查的补充[3]。
心肌致密化不全的误(漏)诊率较高。由于多表现为心功能不全,心脏扩大,最容易被误诊为扩张型心肌病,部分患者因病变累及乳头肌,导致房室瓣膜脱垂,形成瓣膜关闭不全,被误诊为心脏瓣膜病,值得注意的是部分患者的心电图可呈现异常Q波、ST段压低、T波倒置等,酷似冠心病的改变。
目前对NVM尚无根治性办法,主要是对症治疗,包括抗心力衰竭治疗、抗心律失常药物治疗、抗凝治疗及终末期心脏移植等,但总体预后较差,顽固性心力衰竭和致死性心律失常是患者死亡的主要原因。Oechslin等[5]报道,35%的患者在随访的(44±39)个月中死亡:左室舒张末直径明显增大,NYHA分级Ⅲ~Ⅳ级,慢性心房颤动,束支传导阻滞是猝死或死亡的高危因素。
参考文献
1.Richardson P,McKenna W,Bristow M,et al.Report of the 1995World Health Organization/International Society and Federation of Cardiology Task Force on the Definition and Classification of Cardiomyopathies.Circulation,1996,93∶841-842.
2.Engberding R,Bender F.Identification of a rare congenital anomaly of the myocardium by two-dimensional echocardiography:persistence of isolated myocardial sinusoids.Am J Cardiol,1984,53∶1733-1743.
3.闫朝武,赵世华.左室心肌致密化不全的临床特征和磁共振成像表现.中华心血管病杂志,2006,12∶1081-1084.
4.Jenni R,Wyss CA,Oechslin En,et al.Isolated ventricular noncompaction is associated with coronary microcirculatory dysfunction.J Am Coll Cardiol,2002,39∶450-454.
5.Oechslin En,Attenhofer Jost CH,Rojas JR,et al.Long-term follow-up of 34adults with isolated ventricular noncompaction.A distinct cardiomyopathy with poor prognosis.J Am Coll Cardiol,2000,36∶493-500.
6.Jenni R,Oechslin E,Schneider J,et a1.Echocardiographic and pathoanatomical characteristics of isolated left ventricular noncompaction:a step towards classification as a distinct cardiomyopathy.Heart,2001,86∶666-671.
来源:《内科疑难病例 循环分册》
作者:张铭 易忠
参编:颜红兵 马长生 杨跃进 蔡兴赳 银孟卓
页码:429-435
出版:人民卫生出版社
- 评价此内容
- 我要打分
近期推荐
热门关键词
最新会议
- 2013循证医学和实效研究方法学研讨会
- 欧洲心脏病学会年会
- 世界帕金森病和相关疾病2013年会议
- 英国介入放射学学会2013年第25届年会
- 美国血液学会2013年年会
- 美国癫痫学会2013年第67届年会
- 肥胖学会 2013年年会
- 2013年第9届欧洲抗体会议
- 国际精神病学协会 2013年会议
- 妇科肿瘤2013年第18届大会
- 国际创伤压力研究学会2013年第29届…
- 2013年第4届亚太地区骨质疏松症会议
- 皮肤病协会国际2013年会议
- 世界糖尿病2013年大会
- 2013年国际成瘾性药年会
- 彭晓霞---诊断试验的Meta分析
- 武姗姗---累积Meta分析和TSA分析
- 孙凤---Network Meta分析
- 杨智荣---Cochrane综述实战经验分享
- 杨祖耀---疾病频率资料的Meta分析
合作伙伴
Copyright g-medon.com All Rights Reserved 环球医学资讯 未经授权请勿转载!
网络实名:环球医学:京ICP备08004413号-2
关于我们|
我们的服务|版权及责任声明|联系我们
互联网药品信息服务资格证书(京)-经营性-2017-0027
互联网医疗保健信息服务复核同意书 京卫计网审[2015]第0344号




会员登录

