心脏基础病变伴重症肺炎 雪上加霜给医生带来哪些挑战?
45岁男性患者因“发热、呼吸困难”在当地接受肺炎治疗,后因病情加剧转院。胸部CT提示双侧胸腔积液,诊断为重症肺炎、急性心功能衰竭,但治疗后不仅未好转反而两肺广泛感染病灶,进而出现心脏骤停,经3小时的心肺复苏,最终却未能将患者抢救过来。临床中存在重症肺炎伴严重心脏病的复杂病例,临床医师如何尽早准确地发现患者的基础心脏疾病?详见以下病例——
【病情介绍】
患者,男性,45岁。因“发热19天,胸闷、呼吸困难11天”于2011年2月22日转来笔者医院急诊。患者于19天前出现发热,咳嗽、咳痰等症状不明显,次日体温达40℃,当地医院常规处理后发热无明显缓解。8天后病情加剧,出现胸闷、呼吸困难。CT示两肺炎症,两侧胸腔积液。考虑重症肺炎而收住ICU,血培养提示金黄色葡萄球菌,给予常规剂量的亚胺培南-西司他汀钠和万古霉素治疗。4天前出现氧合下降,予气管插管、机械通气治疗,但呼吸、循环功能维持不佳而转来笔者医院。既往健康,否认慢性疾病史,吸烟每天2包,约25年,偶少量饮酒,水管工人。否认药物、食物及其他特殊过敏史。适龄结婚,育有二女及一子,妻子及儿女均健康。母亲健在且有高血压病史,家族中否认传染性、遗传性及其他特殊家族性疾病史。
体格检查:T 38.5℃,P 108次/分,R 16次/分,BP 103/55mmHg。半卧位,意识清楚,急性病容,呼吸窘迫、三凹征,经口气管插管、机械通气(FiO2 80%,PEEP 12cmH2O),脉搏氧饱和度维持在95%左右,气道内可吸出较多粉红色泡沫状痰,双肺中下野可闻及细湿啰音。心率108次/分,律齐,心尖区闻及3/6~4/6级收缩期吹风样杂音,主动脉瓣区闻及3/6级收缩期吹风样粗糙杂音。腹平软,无压痛,全腹无肌卫,肝脾肋下未触及,肠鸣音无亢进,2~3次/分,移动性浊音阴性,双下肢不肿,四肢肌力5级,其他神经系统查体未见异常。
辅助检查:复查胸部X线、CT提示双肺广泛感染伴双侧胸腔积液(图63-1、图63-2)。
入院诊断:重症肺炎,双侧胸腔积液;急性呼吸衰竭;急性心功能衰竭。

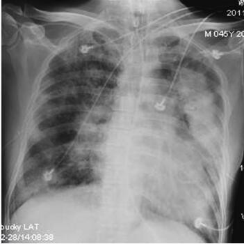
图63-1 起病第19天(入笔者医院当天)胸片提示两肺广泛感染

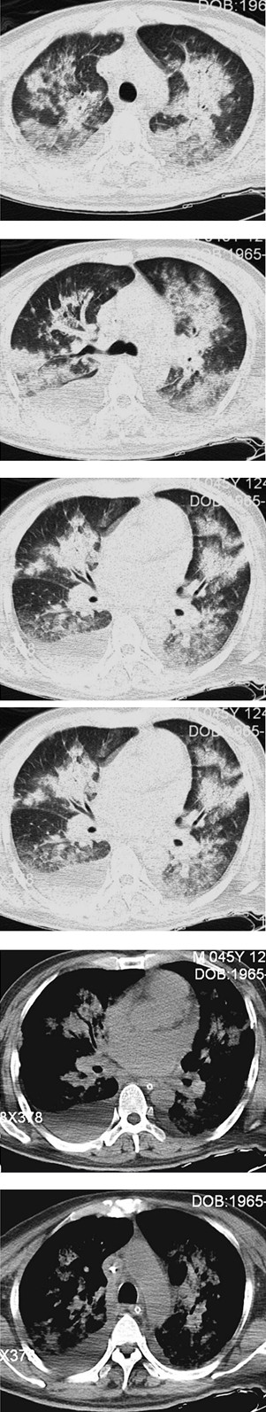
图63-2 起病第20天(入笔者医院第2天)CT提示两肺感染、渗出病变,双侧胸腔积液
诊治经过:应用亚胺培南-西司他汀钠0.5g,每8小时1次静脉滴注、利奈唑胺0.6g,每12小时1次,静脉滴注联合抗感染,纤维支气管镜反复吸痰,适当控制液体量、减轻心脏负荷治疗。床边超声心动图示主动脉瓣二叶式畸形、主动脉瓣中度狭窄伴轻度反流,左心肥大,二尖瓣中度反流,三尖瓣轻至中度反流,中度肺动脉高压,EF 55%。经治6天后患者全身毒血症状有所减轻,氧合功能改善(机械通气下FiO2 45%,PEEP 5cmH2O,SPO2 96%),全身感染及心功能相关指标较入笔者医院时好转(2月22日:WBC 16.8×109/L,CRP 75.3mg/L,NT-ProBNP 4462pg/ml;2月28日:WBC 12.7×109/L,CRP 29.8mg/L,氨基酸B型利钠肽原NT-ProBNP 2222pg/ml)。但体温仍在38.5℃左右波动,床边胸片(2月28日):两肺广泛感染病灶,较2月22日胸片似有吸收(图63-3)。

图63-3 起病第25天(入笔者医院第7天)两肺感染病灶较入笔者医院当天略见吸收
患者于3月2日晚突然出现心率上升、氧合及血压下降(P 130~180次/分、SPO2低至85%、BP低至80/50mmHg),予镇静、上调呼吸机支持力度及补液1000ml后情况缓解,当晚体温最高上升至39.2℃。3月3日血液检查见WBC、 CRP及NT-ProBNP较3天前大幅上升(WBC 15.9×109/L,CRP 106.3mg/L,NT-ProBNP 4973pg/ml)。多次血、CVP导管、胸腔积液培养结果均阴性,多次痰培养结果均示鲍曼不动杆菌(+++),仅多黏菌素敏感。复查胸部CT:双肺广泛渗出、坏死病变,较2月23日略有进展(图63-4)。

图63-4 起病第27天(入笔者医院第9天)CT示双肺广泛渗出、坏死病变有进展
3月4日体温骤高至39.5℃,两日来心率持续波动于130~140次/分,全身感染及心功能相关指标进一步上升(WBC 18.8×109/L,CRP 112.5mg/L,NT-ProBNP 6620pg/ml)。经笔者医院感染科会诊,遂加用伏立康唑0.4g,每12小时1次静脉滴注抗真菌,甲泼尼龙40mg,每日1次静脉滴注促进肺部坏死组织吸收。至傍晚患者出现心率减慢、血压下降,氧饱和度下降,予补液、强心、升压等治疗后未见好转。床边胸片:双肺广泛感染灶(图63-5)。之后出现心脏骤停,经持续近3小时的心肺复苏无效,最终死亡。

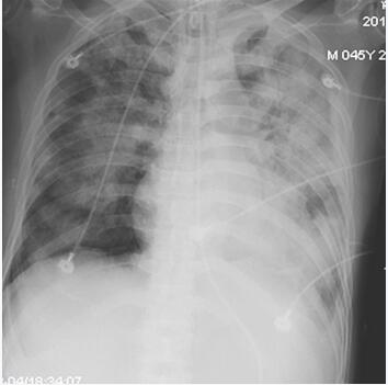
图63-5 起病第29天(入笔者医院第11天)胸片示两肺广泛感染病灶
最终诊断:重症肺炎,双侧胸腔积液;急性呼吸衰竭;二叶式主动脉瓣畸形、主动脉瓣中度狭窄,二尖瓣中度反流,三尖瓣轻至中度反流,肺动脉高压,急性心功能衰竭。
重要提示
1.中年男性,以高热急性起病,约1周后出现胸闷、呼吸困难为主要症状。
2.起病后8天转入ICU、机械通气治疗。
3.外周血白细胞总数升高、C-反应蛋白、氨基端B型利钠肽原数值增高。
4.床边超声心动示主动脉瓣二叶式畸形,主动脉瓣中度狭窄伴轻度反流,左心肥大,中度肺动脉高压,EF 55%。
5.胸部CT示双肺广泛感染、坏死、渗出病灶。
【讨论】
患者以发热起病,影像学提示双侧肺炎,1周后出现心力衰竭症状,约发病2周后因氧合下降而插管、机械通气。决定病情快速进展的主要有两方面原因:①重症肺炎直接导致氧合功能恶化;②合并心脏基础疾病:二叶式主动脉瓣畸形合并主动脉狭窄并关闭不全,因而感染诱发的心力衰竭具有难治性特点。
美国胸科协会(ATS)关于重症肺炎的界定为:主要标准有:①需要机械通气;②48小时内肺部浸润扩大≥50%;③脓毒性休克;④急性肾功能损害。次要标准为:①呼吸频率≥30次/分;②氧合指数PaO2/FiO2<250;③病变累及双肺或多肺叶;④收缩压<90mmHg;⑤舒张压<60mmHg。符合1条主要标准或者2条次要标准即可诊断。我国的诊断标准与此大致相同。该患者肺部疾病情况自发病起进展迅速,高热伴全身毒血症状,呼吸衰竭,依靠机械通气,合并血流感染,符合典型重症肺炎的诊断标准。当地治疗根据血培养金黄色葡萄球菌,血流感染应首先考虑肺源性,采用亚胺培南-西司他汀钠联合万古霉素,已实现了常见细菌性肺炎的广谱覆盖。患者转入笔者医院后,笔者医院继续采用亚胺培南-西司他汀钠,而将万古霉素改为利奈唑胺。针对阳性球菌,万古霉素与利奈唑胺均为广谱敏感药物,两者治疗MRSA肺炎的价值大致等同,而利奈唑胺对患者肾功能无明显影响。入笔者医院6天后患者的感染、心功能及全身情况有所好转,表现为最高体温下降,呼吸困难缓解,呼吸机支持力度下降,气道内粉红色泡沫痰明显减少,血检相关指标改善(2月22日:WBC 16.8×109/L,CRP 75.3mg/L,NT-ProBNP 4462pg/ml;2月28日:WBC 12.7×109/L,CRP 29.8mg/L,NT-ProBNP 2222pg/ml),2月28日胸片提示右肺渗出病灶有少量吸收,说明抗感染方案有一定效果。但3月2日晚至3月3日的临床所见提示出现了感染的再次加剧,不得不考虑真菌感染、血流感染反复或新致病菌性院内感染。
参照近年来国外权威文献,2008年EORTC/MSG共识组对侵袭性真菌病定义的最新修订,临床拟诊肺部真菌感染主要依据宿主因素与临床表现。本例中患者本身不具备典型的宿主因素,入笔者医院前曾在当地医院应用过1周左右的广谱抗生素与相关ICU治疗,可以说具备一定的医源性宿主因素,但不甚强烈。次要的肺部影像学特征该患者还是具备两项,即:①肺部感染的症状与体征;②经积极抗生素治疗96小时后发热等感染控制无效。以上分析说明,入笔者医院时对患者作出侵袭性肺部真菌感染的拟诊依据并不十分充分,把握不足,所以在一开始未采取抗真菌的经验性治疗,而在2月22日到2月28日之间患者的感染与全身毒血症状又有所控制,这又支持既有的抗生素方案。但考虑3月2日晚出现的临床感染情况加重,不得不考虑是否存在真菌感染的问题。由于笔者医院检查手段所限,未进行GM试验,但考虑到患者存在医源性宿主因素(广谱抗生素应用、ICU治疗,曾有深静脉置管、胸腔置管等导管留置,机械通气等),同时具有3月2日后患者出现缺氧加剧、肺部影像学进展等临床新发特征改变,依据临床特征和宿主因素,同时参考笔者医院感染科的会诊意见,作出基于临床拟诊级别的经验性抗真菌治疗,考虑到患者的病情急剧进展,血流动力学不稳定,参照指南,抗真菌用药的选择可能以伏立康唑或卡泊芬净为宜。
出现二次血流感染,则病情往往急剧进展,临床有效干预困难,患者预后大多很差。若考虑到新发的VAP,该患者入院后多次经床边纤维支气管镜采集的下呼吸道标本经培养均提示鲍曼不动杆菌感染,且系多重耐药菌株,仅对多黏菌素敏感。笔者医院系本地区的大型三甲医院,近两年经笔者医院感染科采集资料显示,鲍曼不动杆菌在笔者医院临床ICU科室痰培养阳性率居首位。属非发酵菌的鲍曼不动杆菌系条件致病菌,在ICU患者中极易定植,但仅其中某一部分才考虑感染。目前临床上区别鲍曼不动杆菌的定植还是感染较困难,至今国内外尚缺乏统一、有效的依据,而一旦考虑感染,往往是多种耐药菌株或广泛耐药菌株,国内目前还缺乏针对性的敏感抗生素治疗手段,往往临床只能依靠选择含舒巴坦的酶抑制剂药物,同时结合纤维支气管镜的物理引流、免疫增强制剂(胸腺素和免疫球蛋白)、营养支持(后者在本例我们已经开展实施)。依据国内最新的专家共识,本例患者机械通气,3月2日后感染加剧,体温骤升、氧合下降,可针对鲍曼不动杆菌进行治疗。考虑到笔者医院尚无法提供多黏菌素,若要进行治疗,可考虑采用较大剂量的含舒巴坦的酶抑制剂药物,临床常用的如头孢哌酮-舒巴坦钠等。
主动脉二叶式畸形为先天性主动脉瓣狭窄的主要原因,临床病理生理主要表现为左心室壁代偿性向心肥厚以提高左心收缩力而维持左心排血量,造成左心室顺应性降低、左心室舒张末期压增高、左心房代偿性肥厚。本例患者超声心动图提示EF 55%,说明左心射血功能正常,左心房肥厚明显,心房径达4.45cm。说明患者主要存在左心系统舒张受限,肺静脉和毛细血管床内血管压力增高,发生肺水肿。在临床治疗上,主要是通过严格制订补液方案、小剂量利尿的方法有效控制前负荷,同时一定程度上控制感染后,患者心力衰竭有所控制。重症感染本身需要积极的液体治疗,而感染又导致肺微循环障碍和广泛毛细血管渗漏,血管外液体偏多,这进一步加剧了左心负荷与肺动脉高压、肺循环淤血。关键的是此类患者补液量的安全窗口很小,即使是单位时间内的补液量稍多,心功能也会迅速恶化,该患者最终死于严重感染和心力衰竭。在心脏基础疾病伴重症感染患者的治疗上,如何制订合理的液体治疗方案,尽量减少液体治疗对心脏负荷的影响是关键和难题,有待临床进一步实践。另外,患者入院后超声心动提示心脏各瓣膜完整、未发现赘生物,不支持感染性心内膜炎的诊断。
【专家析评】
重症肺炎的救治本身就是对临床医师的一个重大挑战,再合并严重心脏基础病变,更是提高了救治的难度。本例救治的经验教训在于:①临床医师如何尽早准确地发现患者的基础心脏疾病。当今虽然拥有各种高精尖的医疗仪器设备,但最基本的体格检查仍然具有不可替代的价值,本例的心脏听诊就能提供很有价值的线索。在急危重症救治的实践中,轻视体格检查的现象并不少见。②面对泛耐药细菌感染,在缺乏有效抗生素的背景下,人类还有什么可以作为最后的防线?临床医师是否需要深思平时的抗生素使用习惯呢?合理应用抗生素必须确切付诸于每一次的临床实践中。③危重患者的救治必须从整体考虑,要在重症感染的充分液体复苏和心脏疾病的容量负荷控制之间寻找一个动态的平衡点,这正是医学的艺术性所在。这需要临床医师充分掌握患者的病理生理特点,具有丰富的临床经验和高度的责任心。
参考文献
1. Niederman MS,Mandell LA,Anzueto A,et al. Guidelines for the management of adults with community-acquired pneumonia.Diagnosis,assessment of severity,antimicrobial therapy,and prevention. Am J Respir Crit Care Med,2001,163(7):1730-1754.
2. 陆再英,钟南山.内科学.第7版.北京:人民卫生出版社,2009.
3. Catherine L,Arnold B. Clinical Practice Guidelines by the Infectious Diseases Society of America for the Treatment of Methicillin-Resistant Staphylococcus Aureus Infections in Adults and Children. Clin Infect Dis,2011,52:1-38.
4. Ben DP,Tomas JW. Revised Definitions of Invasive Fungal Disease from the EORCT/MSG Consensus Group. Clin Infect Dis,2008,46:1813-1821.
5. Tomas JW,Elias J. Treatment of Aspergillosis:Clinical Practice Guidelines of the Infectious Diseases Society of America. Clin Infect Dis,2008,46:327-360.
6. 中华内科杂志编辑委员会.侵袭性肺部真菌感染的诊断标准与治疗原则(草案).中华内科杂志,2006,45(8):697-700.
7. 陈佰仪,何礼贤,胡必杰,等.中国鲍曼不动杆菌感染诊治与防控专家共识.中华医学杂志,2012,92(2):76-82.
来源:《急诊临床病案评析:感染与心血管性疾病》
作者:陈旭岩 王仲
参编:缪心军 于学忠 田英平 刘青
页码:367-374
出版:人民卫生出版社
- 评价此内容
- 我要打分
近期推荐
热门关键词
最新会议
- 2013循证医学和实效研究方法学研讨会
- 欧洲心脏病学会年会
- 世界帕金森病和相关疾病2013年会议
- 英国介入放射学学会2013年第25届年会
- 美国血液学会2013年年会
- 美国癫痫学会2013年第67届年会
- 肥胖学会 2013年年会
- 2013年第9届欧洲抗体会议
- 国际精神病学协会 2013年会议
- 妇科肿瘤2013年第18届大会
- 国际创伤压力研究学会2013年第29届…
- 2013年第4届亚太地区骨质疏松症会议
- 皮肤病协会国际2013年会议
- 世界糖尿病2013年大会
- 2013年国际成瘾性药年会
- 彭晓霞---诊断试验的Meta分析
- 武姗姗---累积Meta分析和TSA分析
- 孙凤---Network Meta分析
- 杨智荣---Cochrane综述实战经验分享
- 杨祖耀---疾病频率资料的Meta分析
合作伙伴
Copyright g-medon.com All Rights Reserved 环球医学资讯 未经授权请勿转载!
网络实名:环球医学:京ICP备08004413号-2
关于我们|
我们的服务|版权及责任声明|联系我们
互联网药品信息服务资格证书(京)-经营性-2017-0027
互联网医疗保健信息服务复核同意书 京卫计网审[2015]第0344号




会员登录

