冠脉分叉病变合并糖尿病 选择哪种介入策略?
男性,67岁。
【主诉】
反复胸闷痛11年,加重2天。
【现病史】
患者于1999年因劳累后出现心前区闷痛不适,持续数小时,至我院就诊,查心电图考虑心肌梗死,入住我院治疗期间,上述症状发作曾伴有意识丧失,经抢救后恢复好转,后行冠脉造影明确冠心病三支病变,当时未行PCI 治疗。内科保守治疗出院后,患者仍间有胸闷发作,劳累、遇寒后加重,每次持续3~5分钟,经休息或含服硝酸甘油后缓解,后患者定期门诊随诊治疗。2010年10月份患者因上述症状加重在外院住院治疗,查冠脉CT提示:冠脉三支及左主干多发钙化斑块并显著狭窄,陈旧性心肌梗死。胸片提示:肺部感染,左心功能不全。心脏彩超提示:EF:52%,高血压性心脏病、冠心病,主动脉硬化。动态心电图提示:频发室性期前收缩。经药物治疗后好转出院。2010年12月患者胸闷痛再次发作,持续时间约10分钟,自行含服硝酸甘油及丹参滴丸后症状缓解,遂至广东省中医院ICU 住院治疗。
【既往史】
高血压史11年,最高血压200/100mmHg,现自服“倍他乐克”、“海捷亚”控制血压,血压波动于160/90 mmHg 左右。“2 型糖尿病”11年,现自行注射“胰岛素”,血糖控制情况不详。
【个人史】
有吸烟史,约1 包/天,已戒烟10 余年,喜食肥甘厚腻,无饮酒史。
【查体】
T:36℃,R:18次/分,BP:130/75mmHg,P:75次/分。双肺呼吸音清,未闻及干湿啰音。心前区无隆起,无抬举性心尖搏动,心界稍大,心率75次/分,律齐,各瓣膜听诊区未闻及病理性杂音。心界叩诊稍向左下扩大,余未见异常。双下肢无水肿。舌质暗红,苔薄,脉细数。
【辅助检查】
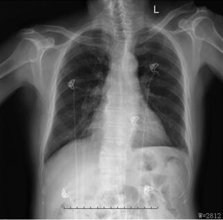
血常规:Hb:106g/L,HCT:32.5%;急诊生化:K+:5.87 mmol/L,Gl u:8.1mmol/L,Urea:19.09 mmol/L,Cr:245μmol/L;凝血:FIB:5.94g/L;BNP:384.2pg/ml;肌钙蛋白:0.159μg/L。心肌酶:肌酸激酶同工酶:31 U/L。心脏彩超:EF:25%,心脏考虑高血压并左室心肌多节段缺血性改变,左心泵血功能较差,轻度二尖瓣反流和主动脉瓣反流(二漏主漏)。胸片如图058‐1 所示。
【入院诊断】
中医诊断:胸痹(气阴两虚,痰瘀阻络)。西医诊断:①冠心病(左主干+三支病变,陈旧性心肌梗死);②高血压3 级(极高危组);③高血压性心脏病;④2 型糖尿病。
【治疗经过】
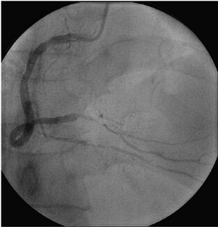
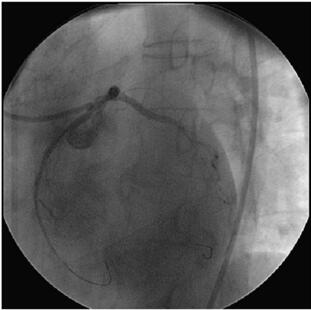
冠状动脉造影(图058‐2、图058‐3)多体位造影显示:冠脉呈右冠优势型,L M开口见90%局限性狭窄;LAD 管壁不光滑,近段见90%局限性狭窄,D1 开口后次全闭塞,中段见85%弥漫性病变,远端血流TI MI 3 级;LCX 管壁不光滑,远端90%局限性狭窄,OM1分叉处Ⅰ型分叉病变,最窄处约80%,远端血流TI MI 3 级;RCA 管壁欠光滑,远段见85%偏心性狭窄,PDA 开口前分叉病变,最窄处约95%,远端血流TI MI 3 级。

图058‐1 胸片结果

图058‐2 冠状动脉造影

图058‐3 冠状动脉造影

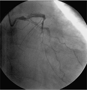
图058‐4 导丝进入LAD、LCX 远端
L AD 行PCI 术(图058‐4~图058‐7):送入7F XB 3﹒5 指引导管至左冠口,根据此前造影影像,循管送入Runthrough NS 导丝至LAD 远端,再送入Fiel der 导丝至LCX 远端,沿L AD导丝送入1.5mm×15mm 球囊(Ryujin)定位于LAD 中段病变处,以20at m×20s 多次扩张,循管送入2.5mm×33mm 药物支架(Firebird 2)定位于LAD 中段病变处,以(8~10)at m×10s释放,复查造影见病变覆盖良好,局部无残余狭窄,再送入3.0mm×13mm 药物支架(Firebird 2)定位于LAD 中段病变处,以18at m×180s 释放,两支架部分重叠,复查造影见病变覆盖良好,局部无残余狭窄,沿LAD 导丝送入3.0mm×18mm 药物支架(Firebird 2)定位于LAD 近中段病变处,以18at m×20s 释放,复查造影见病变覆盖良好,局部无残余狭窄,再送入3.5mm×29mm药物支架(Firebird 2)定位于L AD 开口后,以12at m×16s 释放,复查造影见病变覆盖良好,局部无残余狭窄,循管送入另一条Runthrough NS 导丝替换原LCX 导丝,沿LCX 导丝送入3.5mm×23mm 药物支架(Firebird2),支架跨越L M‐LCX 病变,以(12~14)at m×14s 释放,支架球囊定位于支架前后,以(12~14)at m×18s 多次后扩张,沿LAD 导丝送入4.0mm×12mm 球囊(Monorail),沿LCX 导丝送入3.5mm×12 mm 球囊(Monorail),同时以12at m 行Balloon Kissing 两次,复查造影(图058‐8~图058‐10)见病变覆盖良好,局部无残余狭窄,远端血流TI MI 3 级。

图058‐5 LAD 中段支架植入后

图058‐6 LAD 开口后支架植入术后

图058‐7 LCX 开口后支架植入术后

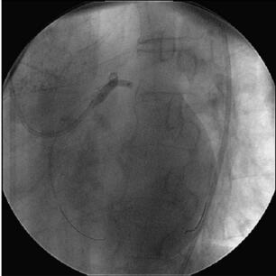
图058‐8 植入术后造影
入院后患者胸闷心悸,气短乏力,动则益甚,咳嗽咯痰,痰色白质黏,声息低微,面色白,舌淡红,伴瘀点,苔薄白,脉虚细涩。辨证为气阴两虚,痰瘀内阻,治以益气养阴,活血化痰通络,方药如下:

图058‐9 对吻扩张

图058‐10 手术结束
丹参20g 砂仁(后下)5g 麦冬15g 五味子5g
茯苓15g 法夏15g 枳实10g 陈皮10g
生姜10g 桃仁10g 太子参20g 北芪30g
炙甘草5g
同时予通冠胶囊(由黄芪、丹参等组成,广东省中医院制剂,每粒0.5g),3 粒/次,3次/日。上方两剂后咳嗽咯痰减少,精神好转,但夜眠较差,予上方加夜交藤30g、合欢皮20g、珍珠母20g 养心安神,服至出院。出院后口服阿司匹林、氯吡格雷的基础上,长期加服通冠胶囊。门诊随访期间未见不良心血管事件发生。
【讨论】
分叉病变是冠脉介入治疗中最具挑战性的病变类型之一。与其他类型的冠脉病变相比,冠脉介入治疗分叉病变的技术难度较大,手术要求较高;同时由于受到斑块移位的影响,边支闭塞等并发症的发生率较高;而分叉病变即使选用药物涂层支架,冠脉介入治疗术后的再狭窄率尤其是边支血管的再狭窄率仍然较高;另外,分叉病变介入治疗的支架血栓发生率也较高,正是这些因素的存在极大地影响了冠脉分叉病变患者介入治疗的临床效果[1]。
一、本例患者PCI 策略
(一)冠脉搭桥还是PCI
患者为左主干+三支病变患者,属介入高危患者。病变特征虽然是冠脉搭桥的适应证,但是患者合并糖尿病10 余年,L AD、LCX、RCA 血管多发性弥漫、钙化病变,搭桥获益亦不明显。而根据ARTSⅡ研究[2]:临床入选糖尿病多支血管病变使用Cypher 支架介入治疗患者607例,与ARTSⅠ研究中接受CABG 组605例患者相比较,观察随访一年二者疗效相似,差别无统计学意义。但是介入组的靶血管重建率高于搭桥组(8.5%vs﹒4﹒1%)。所以对于糖尿病多支血管病变的患者指南建议倾向CABG,但是对于DES,二者疗效相同。根据指南推荐对于糖尿病合并多支血管病变应用DES 进行PCI 是一种可以选择的治疗。所以根据临床研究结果以及结合患者的实际情况(冠脉病变特征+患者拒绝搭桥,要求PCI 治疗),给其行PCI 治疗[3]。
(二)糖尿病患者的PCI
对于糖尿病合并冠心病的患者常出现弥漫性血管病变、多支血管病变、小血管病变左主干病变以及侧支循环较差等特征。对于此类患者不管是PCI 还是CABG 的效果都较非糖尿病患者差,并发症和死亡率较非糖尿病患者高。对于高危及中高危患者合并UA/NSTE MI,早期PCI 的获益程度与非糖尿病患者相似。本例患者糖尿病史11年,再狭窄是最主要的危险因素。治疗方面,抗凝、抗血小板聚集并使用替罗非班(欣维宁)强化治疗,中药以益气活血,化痰通络为治法。随访至今,未见并发症的发生。
二、分叉病变的PCI 策略选择
(一)分叉病变分型
处理分叉病变首先要对病变类型予以评判,如真性分叉还是假性分叉,分叉角度等。临床常见分型如下:Duke 分型、Safian 分型、Lefevre 分型、Medina 分型、Movahed 分型。其中临床上最为常用是Lefevre 提出的分型标准。虽然各种不同的分型系统各有特点,但是需要指出任何分叉病变分型都不能完全反映临床实际情况,具体治疗方法的选择还必须结合患者的临床表现和病变特征。
(二)分叉病变治疗策略[4]
术者必须首先仔细分析冠状动脉造影图像,并且对下列问题做到心中有数:①边支管径是否大,是否重要?②边支和主支角度是否较大?③边支开口或近段是否有明显病变?④边支是否较难进入?⑤患者是否高危?边支是否相对重要?⑥主支是否狭窄较重且有较大斑块负荷?如果得到肯定回答,通常会选择相对安全的策略。有时候治疗策略可能会因为预扩张后的结果而有所变化。分叉病变预扩张需要注意如下问题:多数情况下,主支扩张前,需要边支保护;主支扩毕需要评价边支情况;仅当边支有病变或者主支扩张后边支出现严重受累才考虑边支扩张。
上述步骤处理完毕,就需要考虑应用简单策略还是复杂策略,也就是单支架治疗主支血管还是应用双支架同时治疗主支和分支问题。根据近年临床试验和实践经验,目前对于分叉病变的处理倾向于简单策略。
(三)分叉病变处理基本技术
选择合适的投照体位能够较好地展示边支血管开口与主支的解剖关系,对于术者选择最佳的治疗方案以及术中球囊、支架的精确定位有非常重要的意义。通常情况下,选择RA O 10°~15°+Cranial 25°结合L AO 45°+Caudal 25°位作为处理前降支‐对角支病变时的参考体位;处理回旋支‐钝缘支病变时,建议选择RAO30°+Caudal 25°结合LAO45°+Caudal 25°位;而在处理右冠远端分叉病变时,选择AP+Cranial 25°位有利于清楚地显示病变的情况。
由于处理分叉病变时,有可能需要同时置入两个球囊或支架来处理病变,因此以前常选用7F 以上的导引导管以方便输送器械,但6F 大腔导引导管(如Medtronic 公司的Launcher)的问世,允许同时置入两个小外径球囊(如Maverick、Sprinter 等球囊)完成对吻扩张的操作,这为经桡动脉途径进行冠脉介入治疗提供了便利的条件。
(四)分叉病变处理技术
分叉病变处理的方法和策略目前有很多,其具体应用要由术者根据实际情况选择。下面对于常见的方法和临床应用结果作简单介绍。
1﹒必要性支架术(provisional T stenting)
相比于其他处理分叉病变的支架术而言,必要性支架术是操作最为简单的术式,其特点是手术并发症少、成功率较高且术后靶病变血运重建的发生率低。同时,必要性支架术选择6F导引导管即可满足操作的要求,非常适合经桡动脉途径的冠脉介入治疗。
2﹒改良T 技术
边支支架难以做到精确定位是传统T 支架术的技术难题,由于无法避免边支开口部的“区域丢失”现象,传统T 支架术的边支再狭窄率及术后的靶病变血运重建率均较高。改良T技术与传统T 技术的区别在于主支支架于边支支架扩张后释放,因此改良T 技术容许边支支架少部分突入主支,这样可以在一定程度上解决传统T 技术不易精确定位的难题。
3﹒Crush/Mini‐Crush/Reverse Crush 支架术
Crush 技术问世与药物涂层支架的广泛应用有关。药物支架能够显著地降低分叉病变再狭窄的发生率,但采用传统的支架术(如T 支架术,Y 支架术等)可能会造成主边支支架间隙的出现,从而影响了药物支架的作用效果。Crush 技术是Colombo 发明的一种处理分叉病变的新方法,其特点是能够保证支架充分覆盖边支开口,避免“区域丢失”现象的发生。Crush 技术适用于成角小于70°的病变。
Reverse Crush 技术主要用于必要性支架术,尤其适用于Y 形分叉病变的处理,当主支放置支架并行对吻扩张后,边支情况不理想,此时可选择Reverse Cr ush 技术在边支置入支架。因此这一技术通常应用于补救性分支血管置入支架。
4﹒Culotte 技术
Culotte 支架术的要点在于主支和边支均置入支架,两支架近端环形重叠。Culotte 技术的特点类似于Crush 技术,即支架能够完全覆盖边支开口部,且该技术适用范围较广,适合于不同角度分叉病变的处理。
5﹒DK Crush 技术
DK Cr ush 技术又称为Sleeve 技术,由于此项技术不需要同时送入两个支架,导引导管只需要能容纳1个球囊和支架即可,所以选择6F 导引导管即可完成操作。此操作类似Balloon Crush 技术,不过其在主支支架释放前行一次对吻球囊扩张,从而增加双支架术最终球囊扩张的成功率。
参考文献
[1] 吴雪峰,钱菊英.冠状动脉分叉病变的药物支架治疗进展.中国介入心脏病学杂志,2010,8(18):225‐227 .
[2]Patrick W,Serruys MD,Yoshinobu Onuma MD,et al .5‐Year Clinical Outcomes of the ARTS Ⅱ(Arterial Revasculariza tion Therapies Study Ⅱ)of the Sirolimus‐Eluting Stent in the Treat ment of Patients With Multivessel De Novo Coro nary Artery Lesions .JACC,2010,11(5):1‐10 .
[3] 中华医学会心血管病分会.经皮冠状动脉介入指南(2009).中华心血管病杂志,2009,37(1):4‐25 .
[4] 周玉杰.冠脉分叉病变介入治疗的进展及处理策略选择.第十届南方国际心血管病学术会议纪要(2008).
来源:《心脏病学实践2011---中西医结合卷》
作者:胡大一 马长生 王显
参编:赵海滨 陈可冀 陈凯先 张伯礼 朱海燕
页码:183-188
出版:人民卫生出版社
- 评价此内容
- 我要打分
近期推荐
热门关键词
最新会议
- 2013循证医学和实效研究方法学研讨会
- 欧洲心脏病学会年会
- 世界帕金森病和相关疾病2013年会议
- 英国介入放射学学会2013年第25届年会
- 美国血液学会2013年年会
- 美国癫痫学会2013年第67届年会
- 肥胖学会 2013年年会
- 2013年第9届欧洲抗体会议
- 国际精神病学协会 2013年会议
- 妇科肿瘤2013年第18届大会
- 国际创伤压力研究学会2013年第29届…
- 2013年第4届亚太地区骨质疏松症会议
- 皮肤病协会国际2013年会议
- 世界糖尿病2013年大会
- 2013年国际成瘾性药年会
- 彭晓霞---诊断试验的Meta分析
- 武姗姗---累积Meta分析和TSA分析
- 孙凤---Network Meta分析
- 杨智荣---Cochrane综述实战经验分享
- 杨祖耀---疾病频率资料的Meta分析
合作伙伴
Copyright g-medon.com All Rights Reserved 环球医学资讯 未经授权请勿转载!
网络实名:环球医学:京ICP备08004413号-2
关于我们|
我们的服务|版权及责任声明|联系我们
互联网药品信息服务资格证书(京)-经营性-2017-0027
互联网医疗保健信息服务复核同意书 京卫计网审[2015]第0344号




会员登录

