临床遇到特殊非典型急性心梗 如何巧避陷阱?
急性心肌梗死(acute myocardial infarction,AMI)是心肌缺血性坏死,在冠状动脉病变的基础上发生冠状动脉血供急剧减少或中断,使相应的心肌严重而持久地急性缺血,导致心肌坏死。因其病情凶险、病死率高,长期以来一直是心血管内科医师在急诊工作中重视的问题。及时、正确的诊断并采取有效的治疗对降低病死率,改善预后至关重要。
急性心肌梗死典型临床表现已为临床医师所熟知,但以少见甚至罕见的首发症状发病的病例,临床上若无警惕,很易造成误诊、误治,使患者失去最佳抢救时机,甚至导致患者死亡。典型心肌梗死发作表现为胸骨后压榨性或紧缩性疼痛,结合心电图等检查诊断并不困难,但非典型心绞痛患者延误诊断亦非少见。在老年急性心肌梗死患者中,非典型心绞痛是较为明显的特点之一。
患者男性,68岁,工程师。
一、主诉
心悸2个月,呼吸困难2天。
二、病史询问
(一)初步诊断思路及问诊目的
患者的心悸、呼吸困难是主诉中表达的主要症状。心悸是许多疾病的常见症状。因此,首先在病史询问中要考虑心悸、呼吸困难两者间有无关联,是否由于心脏疾病所致。这两个症状相伴随时,老年人最常见的疾病是心力衰竭或快速型心律失常等。还要考虑是否与肺源性疾病相关。问诊主要目的是将主要鉴别诊断的疾病与上述症状相关的特点在问诊中区分开,寻找符合疾病表现的证据。
(二)问诊主要内容及目的
1. 诱因、持续时间、发病特点、缓解方式
(1)心悸:劳累后出现心悸常见器质性心脏病,阵发性心悸多见于心律失常,呼吸道感染后心悸、气短常为肺源性。休息后缓解见于心功能不全。
(2)突发呼吸困难:许多老年人都有轻度气短的症状,但对于突然出现的呼吸困难要高度重视,除外心血管以及肺源性急症。
(3)心悸在前,突然出现呼吸困难,咳大量白色泡沫样痰,不能平卧,要考虑急性左心功能不全。
2. 伴随症状
(1)大汗伴心悸:
是心血管急症的一种特征性症状,大量冷汗,为剧烈胸痛、交感神经兴奋引起,如无痛性AMI患者大量冷汗,须注意合并泵衰竭或心源性休克。
(2)腹痛、恶心、呕吐:
有的患者仅表现为腹痛、恶心、呕吐等胃肠道症状:有严重胸痛症状的心肌梗死患者约半数可出现恶心、呕吐等胃肠道症状,尤其多见于下壁心肌梗死,可能的原因是梗死心肌反射性激惹迷走神经所致。部分患者发生难以控制的呃逆。
(3)发热:
于起病后2~3日始,多为38℃以下,一般不超过38.5℃,持续l周左右自动退热,使用抗生素无效,为坏死心肌吸收热。
(4)胸痛:
是AMI中最早出现、最为突出的症状,约见于70%以上的患者,胸痛的典型部位在胸骨后或心前区,可向左肩、左臂、后背部位放射。少数患者胸痛位于上腹部、剑突处、下颌、颈部或牙齿。胸痛的性质为压榨性、压迫样疼痛或紧缩感,常伴有出汗、烦躁、濒死感。胸痛持续时间较长,多持续30分钟以上,甚至长达数小时,含服硝酸甘油和休息常不能缓解。有的患者可在几天内有多次胸痛发作,难以确定心肌梗死发作于哪一次。少数患者无明显胸痛症状,尤其见于老年人以及糖尿病、服β受体阻滞剂、伴AMI严重并发症的患者。
3. 既往史
询问并记录与本患者主症相关的慢性疾病,有无高血压、冠心病、糖尿病等,还要询问与本病相关的服药史。
(三)问诊结果及思维提示
1. 问诊结果
(1)现病史:
68岁,男性。诊断高血压20年,糖尿病10年,不规律用药治疗,病情不稳定。2个月前出现心悸,以活动后明显伴乏力,无明显胸痛,无体重下降。无夜间憋醒。2天前突发呼吸困难,不能平卧,咳嗽,咳大量白色泡沫样痰,无肢体活动不便。
(2)既往史:
糖尿病10年,高血压20年,最高200/120mmHg。无药物过敏史。有长期大量吸烟史。
(3)家族史:
有糖尿病家族史。
2. 思维提示
(1)既往有20年的高血压病史,未规律降压治疗。根据问诊,认为以下症状符合高血压病情进展的临床表现:急性左心功能不全:心悸、突发呼吸困难。但患者同时有糖尿病、吸烟、老龄男性等冠心病危险因素,是否为不典型冠心病的特殊类型也需要鉴别。
(2)对问诊中的以下症状表现要做鉴别诊断:心悸,是否伴有水肿,需鉴别有无心血管疾病的慢性心功能不全;血压升高异常伴呼吸困难,是否有动脉夹层的可能。
(3)吸烟多年,老年男性,有多年糖尿病病史,是否有急性肺间质病变或急性肺动脉栓塞的肺源性疾病的可能。
三、体格检查
(一)重点检查内容及目的
1. 包括与心肌梗死相关的体征、和上述鉴别诊断相关的征象。
2. 该患者近来心悸,应对引起心悸的不同病因进行分析,必须注意有无黑矇、晕厥等伴有血流动力学异常的心律失常,也要顾及左心功能状态。
3. 呼吸困难与体位是否有关,以判断心源性或肺源性,发作时肺部体征。
4. 心律、心音以及是否有心脏杂音、额外心音,如心包摩擦音。
5. AMI患者的体征根据梗死大小及有无并发症而差异很大,梗死范围小且无并发症者可完全无异常体征;梗死范围大者常出现异常体征。
(1)一般表现:多数患者有焦虑和痛苦状态,合并心力衰竭时呈半坐位或端坐呼吸。有休克时可表现为低血压、皮肤湿冷,常伴烦躁不安。
(2)血压和心率:发病0.5小时内,患者呈自主神经功能失调,前壁心肌梗死多表现为交感神经活动亢进,心率增快,血压可升至160/100m m Hg。下壁心肌梗死多表现为副交感神经活动亢进,心动过缓、血压下降。以后的血压和心率变化与梗死范围及有无并发症有关,急性大面积前壁心肌梗死出现血压明显下降,甚至休克。过去有高血压的患者,相当多的一部分未使用降压药物,在心肌梗死后血压降至正常,但其中约2/3的患者在梗死后3~6个月血压又可再升高。
(3)心脏体征:如梗死范围大、多次梗死并有高血压或心力衰竭,心脏可向左扩大。在前壁心肌梗死的早期,由于梗死面心肌无收缩功能,因此,触诊可发现该处收缩期有轻微的向外膨出,即反常搏动,可在几日或几周内消失。心脏听诊可能有以下改变:
1)心动过速或心动过缓。
2)心肌梗死早期,较多的患者可出现各种心律失常,其中以期前收缩最常见。
3)第一心音、第二心音常减弱,是心肌收缩力减弱或血压下降所致,以发病的最初几日最明显。
4)第四心音在发病1周内可见于绝大多数梗死患者,是左心室顺应性降低所致。随着心肌梗死好转,第四心音减弱或消失。如第四心音持续存在,可能预后较差。
5)第三心音发生较少,提示左心衰竭或可能有室壁瘤形成。
6)心包摩擦音多出现于发病的2~5天内,约见于10%~15%的患者,多是较广泛的透壁性心肌梗死,梗死处有纤维蛋白性心包炎。如心包摩擦音持续存在或在发病后期出现,应考虑为梗死后综合征的可能。
7)杂音,伴发乳头肌功能失调致二尖瓣关闭不全时,心尖区可出现收缩期杂音,杂音具有易变的特点,随心功能改变,杂音响度和性质略有变化。AMI发病2~3天内,如突然出现响亮的收缩期杂音伴有临床情况恶化,常提示有室间隔穿孔,或严重的乳头肌功能不全,或腱索断裂。
(二)体格检查结果及思维提示
1. 检查结果
T 37.4℃,BP 146/76mmHg,P 28次/分。神志清,双瞳孔等大等圆,对光反射存在,全身皮肤无黄染,眼睑无水肿,口唇发绀;颈软,颈静脉未见怒张,四肢动脉及双颈动脉搏动好;双肺呼吸音粗,双肺中下野可闻及湿啰音,心率114次/分,律齐,各瓣膜区未闻及杂音;腹平软,肝、脾肋下未触及,移动性浊音阴性;双下肢无水肿,病理反射未引出。
2. 思维提示
(1)提示心功能不全的证据:血压高、心率快、端坐呼吸、心界大;双肺中下野有湿啰音。
(2)提示右心功能不全的证据:无颈静脉充盈,无双下肢水肿。
(3)特殊临床表现:心音低钝、奔马律、心包摩擦音。
(4)要区别引起高血压的原因,注意双上肢血压是否对称。
四、实验室和影像学检查
(一)初步检查内容及目的
1. 证实急性心功能不全的最可靠证据心脏超声、BNP水平。
2. 血气分析以及生化检查(血离子、血糖、血脂、心肌酶以及TNI)。
3. 提供右心功能不全证据(肘静脉压、心功能参数)及导致右心功能不全的病因。
4. 心电图了解心率、心律和缺血的改变(STEMI或NSTEMI)。
目前,临床上根据ST段改变将AMI分为ST段抬高型AMI(STEMI)和非ST段抬高型AMI(NSTEMI),这两类AMI的处理策略大不相同。
(1)急性ST段抬高型心肌梗死的典型心电图改变
1)T波改变:在冠状动脉闭塞的极早期,表现为高尖T波或原为倒置的T波突然变直立。以后抬高的ST段恢复,直立的T波逐渐倒置,由浅变深,一般在3~6周T波倒置最深,有时形成冠状倒置的T波,随后T波逐渐变浅,最后可恢复直立,部分患者可持续不恢复。
2)ST段抬高:ST段抬高与直立的T波形成单向曲线,这种改变常在发病后0.5小时、数小时甚至十几小时出现,是心肌损伤的表现。一般几天内可恢复至等电位线,少数可延迟至2周左右。
3)异常Q波:它的出现是由于心肌坏死所致,多在心肌梗死数小时到48小时内出现,一旦出现大多永久存在,少数患者Q波在数周、数月,甚至数年后消失。
(2)心肌梗死分期:根据心电图的变化规律可将心肌梗死分为4期:
1)超急性期:约在梗死后数分钟至数小时,表现为高尖T波。
2)急性期:梗死后数小时至数天,从ST段抬高开始,至ST段恢复到等电位线。
3)亚急性期:从ST段恢复到等电位线开始,直至倒置的T波恢复正常或恒定的倒置T波。
4)陈旧期:梗死后数月至数年,倒置T波恢复或长期无变化,多数留有异常Q波。
(3)心肌梗死定位:根据特征性改变的导联可判断梗死部位。心电图导联V1、V2、V3有特征性的动态改变表明前间壁心肌梗死;V5、V6、V7动态改变表明前侧壁心肌梗死;V1、V2、V3、V4、V5动态改变表明广泛前壁心肌梗死;V8、V9(V1、V2、V3导联可见R波高)动态改变表明正后壁心肌梗死;Ⅱ、Ⅲ、aVF动态改变表明下壁心肌梗死;Ⅰ、aVL动态改变表明高侧壁心肌梗死;V3R、V4R、V5R ST段动态抬高表明右心室心肌梗死。
(4)非ST段抬高型心肌梗死心电图:只在梗死相关导联出现ST段明显下移,伴有或随后出现T波倒置。ST-T改变一般持续数日,T波有演变过程。在心电图上,非ST段抬高型心肌梗死不容易与严重心肌缺血相鉴别,需结合临床症状及血清心肌损伤标记物结果作出诊断。
5. 胸部CT或胸片检查。
(二)检查结果
1. BNP
3200pmol/L。
2. 血常规
WBC 11.6×109/L,GR 61%,Hb 135g/L,PLT 178×109/L。
3. 血生化
血钾3.7mmol/L,空腹血糖7.8mmol/L,血脂正常,ALT 41U/L,AST 229U/L,Scr 133.9mol/L,BUN 6.24mmol/L,CK 441U/L,CK-MB 83U/L,TnI 15.2ng/ml。
4. 心电图(ECG)
窦性心律,120次/分,V2~V6导联ST段下移0.2mV。
5. 超声心动图
左心房(LA)42m m,左心室(LV)55m m,EF 40%,左心室前壁室壁运动减低。
6. 右肘静脉压
100mmH2O,压迫肝脏后上升10mmH2O。
7. 血气分析
PO2 51mmHg,PCO2 28mmHg,pH 7.44。
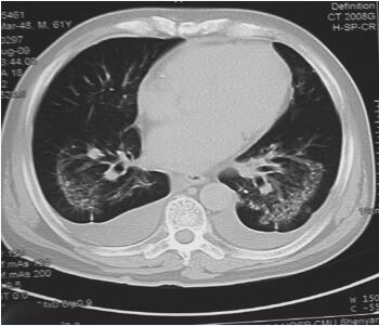
8. 胸部CT
提示急性肺水肿。入院当天胸部CT见图2-2,入院第3天胸部CT见图2-3。

图2-2 胸部CT检查(入院当天)
五、目前诊断
冠心病
急性心肌梗死(NSTEMI)Killip Ⅱ级急性左心衰竭Ⅰ型呼吸衰竭
高血压3级(极高危险组)糖尿病
AMI的诊断标准:
2006年全球心肌梗死工作组(ESC/ACC/ AHA/EHS/WHO)对急性心肌梗死的定义标准:检测到心肌坏死的生化标记物(最好是cTn)升高超过正常值的99%百分位数,有心肌缺血的证据并有以下情况之一:①缺血性症状;②新发生心肌缺血的心电图改变(新发生的ST段改变或新的LBB);③心电图上病理性Q波形成;④新发生的存活心肌的丢失或节段性室壁运动异常的影像学证据;⑤心脏猝死,有心肌缺血的症状和新出现的ST段抬高或新的LBBB;⑥PCI有关的冠状动脉缺血事件伴有心肌生化标记物超过正常值3倍;⑦CABG有关的冠状动脉缺血事件伴有心肌生化标记物超过

图2-3 胸部CT检查(入院第3天)
正常值5倍;⑧无心肌生化标记物结果情况下,新发生的存活心肌的丢失的影像学证据伴心肌缺血症状;⑨尸解病理发现急性心肌梗死。
六、治疗方案的选择
(一)急性心肌梗死的治疗原则
1. 及早发现,迅速救治。
2. 密切监护,及时发现和处理致命性心律失常。
3. 迅速止痛,减少心肌耗氧量,防止梗死面积扩大。
4. 维持血流动力学稳定。
5. 尽早再灌注治疗,挽救濒死心肌、缩小梗死面积。
6. 积极抗凝、抗血小板、抗心肌缺血及调脂治疗。
7. 及时发现和处理各种并发症。
8. 积极尽早进行二级预防。
(二)该患者的治疗计划
转入CCU,立即给予吗啡5mg静脉推注,正压面罩辅助通气,呋塞米静脉推注减轻心脏负荷,并静脉应用异山梨酯扩张冠状动脉、减轻心脏负担,同时给予氯吡格雷75mg/d,阿司匹林300mg/d以及阿托伐他汀、贝那普利、低分子肝素等药物治疗后,病情平稳好转,入院第2天行冠状动脉造影,提示前降支次全闭塞,并置入支架2枚。继续巩固治疗7天后出院。
1. 一般治疗
(1)持续心电、
血压和血氧饱和度监测,建立静脉通道。
(2)卧床休息:
可降低心肌耗氧量,减少心肌损害。对血流动力学稳定且无并发症的AMI患者一般卧床休息1~3天,对病情不稳定及高危患者卧床时间可适当延长。
(3)吸氧:
AMI患者初起即使无并发症,也应给予鼻导管吸氧,以纠正因肺淤血和肺通气/血流比例失调所致的中度缺氧。在严重左心衰竭、肺水肿和合并机械并发症的患者,多伴有严重低氧血症,需面罩加压给氧或气管插管并机械通气。
(4)镇痛:
AMI时,剧烈胸痛使患者交感神经过度兴奋,心动过速、血压升高,心肌收缩功能增强,从而增加心肌耗氧量,并易诱发快速性室性心律失常。应迅速给予有效镇痛剂。首选吗啡3mg静脉注射,必要时每5分钟重复1次,总量不宜超过15mg/d。吗啡既有强镇痛作用,还有扩张血管,从而降低左心室前后负荷和心肌耗氧量的作用,副作用有恶心、呕吐、低血压和呼吸抑制。
(5)饮食和通便:
AMI患者需禁食至胸痛消失,然后给予流质、半流质饮食,逐步过渡到普通饮食。所有AMI患者均应使用缓泻剂,以防止便秘时排便用力导致心脏破裂或引起心律失常、心力衰竭。
2. 再灌注治疗
早期再灌注治疗是STEMI首要的治疗措施,开始越早,效果越好,它能使急性闭塞的冠状动脉再通,恢复心肌灌注,挽救濒死心肌。缩小梗死面积,从而能保护心功能、防止泵衰竭、减少病死率。再灌注治疗方法包括溶栓治疗、急诊经皮冠状动脉介入(急诊PCI)和急诊冠状动脉搭桥术(急诊CABG)。本例患者为NSTEMI,危险分层评估为极高危险,应尽早介入治疗。
3. 药物治疗
(1)硝酸酯类药物:
AMI早期通常给予硝酸甘油静脉滴注24~48小时。对AMI伴再发性心肌缺血、充血性心力衰竭或需处理的高血压的患者更为适宜。静脉滴注硝酸甘油应从低剂量开始,即10μg/min,可酌情逐渐增加剂量,每5~10分钟增加5~10μg,直至症状控制、血压正常,动脉收缩压降低10mmHg或高血压患者动脉收缩压降低30mmHg,为有效治疗剂量。在静脉滴注过程中如果出现明显心率加快或收缩压<90mmHg,应减慢滴注速度或暂停使用。
(2)β受体阻滞剂:
在无该药禁忌证的情况下应尽早常规应用。若发病早期因禁忌证未能使用β受体阻滞剂,应在随后时间内重新评价使用β受体阻滞剂的可能性。常用的β受体阻滞剂为美托洛尔、比索洛尔。用药需严密观察,使用剂量必须个体化。在较急的情况下,如前壁AMI伴剧烈胸痛或高血压,β受体阻滞剂亦可静脉使用。β受体阻滞剂治疗的禁忌证:心率<60次/分;动脉收缩压<90m m Hg;中重度左心衰竭(≥KillipⅢ级);二、三度房室传导阻滞;严重慢性阻塞性肺疾病或哮喘急性发作。相对禁忌证:哮喘病史;周围血管疾病;2型糖尿病。
(3)抗血小板治疗:
冠状动脉内斑块破裂诱发局部血栓形成是导致AMI的主要原因。在急性血栓形成中,血小板活化起着十分重要的作用,抗血小板治疗已成为AMI的常规治疗,溶栓前即应使用。阿司匹林、氯吡格雷(clopidogrel)和血小板糖蛋白Ⅱb/Ⅲa受体拮抗剂是目前临床上常用的抗血小板药物。
阿司匹林通过抑制血小板内的环氧化酶使凝血烷A2(血栓素A2,TXA2)合成减少,达到抑制血小板聚集的作用。阿司匹林300mg,维持量75~162mg/d。
氯吡格雷是新型ADP受体拮抗剂,主要抑制ADP诱导的血小板聚集。如阿司匹林有禁忌证,应改用氯吡格雷,首剂300mg,维持量75m/d。接受心导管检查或介入治疗者,在应用阿司匹林的基础上需加用氯吡格雷。
血小板糖蛋白Ⅱb/Ⅲa受体拮抗剂是目前最强的抗血小板聚集的药,能阻断纤维蛋白原与GPⅡb/Ⅲa受体结合,即阻断血小板聚集的最终环节。目前主要用于急诊PCI中。一方面,对血栓性病变或支架置入后血栓形成有较好的预防作用,另一方面,能够减少心肌无复流面积,改善心肌梗死区心肌再灌注。急诊PCI前是否常规应用GPⅡb/Ⅲa受体拮抗剂目前尚有争议。
(4)抗凝治疗:
目前主张对所有AMI患者只要无禁忌证,均应给予抗凝治疗,它可预防深静脉血栓形成和脑栓塞,还有助于梗死相关冠状动脉再通并保持其通畅。抗凝剂包括肝素、低分子肝素、水蛭素和华法林。
目前临床常用低分子肝素。低分子肝素为普通肝素的一个片段,平均分子量约在4000~6500之间,其抗因子Ⅹa的作用是普通肝素的2~4倍,但抗因子Ⅱa的作用弱于后者。低分子肝素具有应用方便、不需监测凝血时间、出血并发症低等优点,目前除急诊PCI术中外,均可替代普通肝素。
4. 预后评估
评价AMI患者近期预后的主要观察指标为住院病死率,主要与梗死面积大小、侧支循环的建立与否、治疗是否及时等密切相关。能否尽早使梗死相关血管充分而持续再灌注,减少梗死面积,是改善AMI近期预后的关键。
(1)影响AMI患者长期预后的因素很多,主要包括左心室功能状况、是否存在残存心肌缺血及心肌电生理稳定性。此外,患者的年龄、心肌梗死前病史及入院时的临床特征也可影响预后。决定AMI后死亡率的最重要因素是左心室功能损伤的程度,许多其他危险因素至少其中一部分是由左心室功能紊乱的程度所决定。存在左心功能衰竭的临床体征(如第三心音奔马律)是心肌梗死后预后不良的有力预测因素。左心室射血分数(LVEF)可以作为最简单的预测生存的指标。一般通过超声心动图、左心室造影及血池显影而测定。AMI的左心室收缩功能与梗死的范围直接相关。
(2)有无残存心肌缺血是影响AMI患者预后的另一重要因素。有证据表明AMI后存在严重心肌缺血者第1年死亡率为20%。而AMI后无静息心绞痛但在运动时可诱发心绞痛的患者第1年的死亡率为15%。冠状动脉病变程度与患者的预后密切相关,累及左主干、多支冠状动脉病变者预后差。国外研究报道,在5年随访期(平均21个月),有3支冠状动脉病变同时伴左心功能不全者病死率至少为单支病变且左心室功能正常者的10倍。
(3)AMI后心肌电生理稳定性也是影响预后的重要因素。多个研究发现心肌梗死24小时后出现频发或复杂的室性心律失常是第1年高死亡率的独立危险因素。室性心律失常与左心室功能不良关系密切,左心室功能降低越显著,室性心律失常的出现越频繁。患者最常见的死亡形式即在左心室功能不良的基础上出现室性心律失常而发生猝死。
(4)AMI患者年龄与预后有关,年龄越大,年死亡率越高。>80岁的AMI患者,第1年的病死率高达50%。
一般来说,患者存在梗死后心绞痛或无症状性心肌缺血、充血性心力衰竭或已知LVEF≤0.4,这类患者再梗死和心力衰竭的危险性很高,应建议行冠状动脉造影,以决定是否行PCI或CABG;如AMI 48小时后有持续性室速或心室颤动,这类患者心源性死亡的危险性增加,应考虑行电生理检查和治疗;对AMI后无并发症的患者,应在出院前行症状限制性心电图运动试验或核素运动心肌显像,如发现运动后心肌缺血,应行冠状动脉造影检查,以便决定是否行血管再通术。
5. 出院后随访
(1)药物治疗
1)调脂药:首选他汀类调脂药,治疗目标是使原有的LDL-C水平降低80mg/dl。
2)β受体阻滞剂:所有AMI患者应在发病后数天内开始治疗,并长期服用β受体阻滞剂。
3)阿司匹林:75~100mg/d,长期服用。
4)氯吡格雷:接受心导管检查或介入治疗者,在应用阿司匹林的基础上需加用氯吡格雷,置入裸支架者至少应用3~6个月,置入药物涂层支架者应用12个月。
5)ACEI:对年龄<75岁、梗死面积大或前壁梗死、有明显心力衰竭或左心室收缩功能显著受损而收缩压>100mmHg的患者应长期服用ACEI。对于梗死面积小或下壁梗死无明显左心室功能障碍的患者不推荐长期应用。对ACEI不耐受、有心力衰竭临床或放射学征象、左心室射血分数<0.40的患者应改用ARB长期治疗。
(2)定期检查项目与时间
1)心电图:3~6个月检查一次心电图,如有心前区疼痛应及时到医院检查。
2)血脂、血糖及肝肾功能。
(3)出院后注意事项
1)低脂饮食,适当锻炼、戒烟、限酒、保持心理平衡。
2)坚持服药。
3)应积极治疗作为冠心病危险因素的血脂异常和高血压(目标:<140/90mmHg,糖尿病或肾病患者<130/80mmHg),严格控制糖尿病(目标:HbA1C<7.0%)。
七、临床特殊案例的思考
(一)症状、心电图改变不典型
部分AMI患者临床症状不典型或心电图改变不典型,临床上应十分警惕,防止漏诊。
1. 症状不典型
(1)疼痛部位不典型:
少数患者可以上腹部、颈部、咽部、下颌或牙齿等放射部位疼痛为主,因此,若无上述部位局部相应的病症或既往史中有体力活动相关的上述部位疼痛等应警惕AMI的可能。
(2)无痛性心肌梗死:
部分患者临床上无明显疼痛,特别是老年患者或糖尿病患者,因此,如发生原因不明的胸闷伴恶心、呕吐、出汗;突然出现左心衰竭或严重心律失常;原有高血压者突然血压显著下降或出现休克;突然出现抽搐、意识障碍等,应想到AMI的可能,应及时做心电图、血清心肌损伤标记物检测。
2. 心电图改变不典型
(1)约20%~35%的AMI患者心电图无异常Q波出现,此时诊断主要依靠系列心肌损伤标记物检查及ST段、T波动态演变。
(2)如合并左束支传导阻滞、预激综合征或多次梗死的患者,可掩盖或不出现心肌梗死的典型心电图改变,这些患者如疑似AMI,应行系列心肌损伤标记物检查。
(二)临床上特殊非典型心肌梗死
1. 以心力衰竭为首发症状的心肌梗死
由心肌梗死时心肌收缩力显著减弱或收缩不协调等所致。患者既往有高血压、冠心病病史,突然出现严重的呼吸困难、咳嗽,严重者出现肺水肿,易误诊为其他心脏病引起的心力衰竭,多见于下壁或广泛前壁心肌梗死。
2. 以休克为首发症状的心肌梗死
由心肌梗死时心排血量急剧下降,神经反射引起周围血管扩张所致。多为中年以上,既往有高血压、冠心病病史,突然出现烦躁不安、面色苍白、皮肤湿冷、脉搏细弱、血压下降、尿量减少、神志不清等,极易误诊为休克。
3. 以突然晕厥、血压低、心率减慢为首发症状的心肌梗死
由迷走神经张力过高,或缺氧使窦房结功能低下,或窦房结、房室结病变,使传导功能受影响所致。心电图除心肌梗死改变外,同时存在窦性心动过缓、房室传导阻滞。此型多见于下壁心肌梗死。
4. 无痛性心肌梗死
由冠状动脉突然闭塞,使其供血范围的心肌立即发生坏死,尚未释放出足量的致痛代谢产物;或由冠状动脉狭窄,闭塞逐渐发生,产生了良好的侧支循环所致。另外,老年人交感神经痛觉纤维病变,使痛觉传入冲动受阻,加上老年人脑动脉硬化,供血不足,对痛觉的敏感性降低,可以不产生典型的胸骨后或心前区疼痛。无痛性心肌梗死多见于老年人,表现为疲劳感、心前区不适、胸闷等。
5. 以胃肠道反应为首发症状的心肌梗死
由心肌病变引起反射性迷走神经对胃肠道的刺激作用所致。临床上出现与饮食无关的恶心、呕吐、腹胀、剑突下或中上腹疼痛,特点为阵发性,无压痛及肌紧张。多见于下壁或前壁心肌梗死,易误诊为急性胃炎、急性肠炎、溃疡病穿孔、胆囊炎和急性胰腺炎。
6. 其他
有的表现为咳嗽,易误诊为肺或支气管炎症;有的表现为风湿症;还有的疼痛放射到咽部、牙齿、下颌,但无相应部位的体征,均应想到心肌梗死的可能。
因此,在临床工作中,对疑似,但不能确认的病例,应多次重复心电图检查,以避免漏诊。虽然AMI发病最初几小时出现超急期改变,但并非每个患者都能检测到。这些患者常在若干小时后心电图才出现特征性改变,心电图做得太早就会看不到。另外,具有特征性的损伤型ST段抬高多在第1周内完全消失,如不及时记录,ST段的变化就会遗漏,这时只能靠T波的演变来诊断。这些均说明多次重复心电图检查,对心电图演变动态观察的重要性。不能单凭一两次心电图无典型改变就轻易否定AMI的诊断。鉴于少数心肌梗死为不典型临床表现,故凡中年以上,既往有高血压、糖尿病、高血脂等病史者,若出现下列表现之一,应警惕有心肌梗死的发生:①突然出现急性左心衰竭;②突然出现休克;③出现心前区不适;④突然出现原因不明的血压下降;⑤出现与饮食无关的恶心、呕吐、上腹痛等消化道症状,不能用急性胃炎、急性肠炎等疾病解释,应及时检查心电图和心肌生化标志物(如心肌肌钙蛋白cTnI),以免漏诊。
来源:《内科学》
作者:康健
参编:马晓伟 于晓松 张锦 黎毅敏 于婧
页码:64-73
出版:人民卫生出版社
- 评价此内容
- 我要打分
近期推荐
热门关键词
最新会议
- 2013循证医学和实效研究方法学研讨会
- 欧洲心脏病学会年会
- 世界帕金森病和相关疾病2013年会议
- 英国介入放射学学会2013年第25届年会
- 美国血液学会2013年年会
- 美国癫痫学会2013年第67届年会
- 肥胖学会 2013年年会
- 2013年第9届欧洲抗体会议
- 国际精神病学协会 2013年会议
- 妇科肿瘤2013年第18届大会
- 国际创伤压力研究学会2013年第29届…
- 2013年第4届亚太地区骨质疏松症会议
- 皮肤病协会国际2013年会议
- 世界糖尿病2013年大会
- 2013年国际成瘾性药年会
- 彭晓霞---诊断试验的Meta分析
- 武姗姗---累积Meta分析和TSA分析
- 孙凤---Network Meta分析
- 杨智荣---Cochrane综述实战经验分享
- 杨祖耀---疾病频率资料的Meta分析
合作伙伴
Copyright g-medon.com All Rights Reserved 环球医学资讯 未经授权请勿转载!
网络实名:环球医学:京ICP备08004413号-2
关于我们|
我们的服务|版权及责任声明|联系我们
互联网药品信息服务资格证书(京)-经营性-2017-0027
互联网医疗保健信息服务复核同意书 京卫计网审[2015]第0344号




会员登录

