席汉综合征患者突发意识不清 原来是没做这件事…
45岁女性,咳嗽、咳痰3天,遂至笔者医院就诊。经治疗后患者症状无明显改善,且入院当日上午突发神志不清,呼之不应。查体发现患者,皮肤湿冷,血糖低至测不出。患者27年前被诊断为席汉综合征,这次突发意识不清,竟是未做这件事……
【一般情况】
女,45岁,汉族,无业。
【主诉】
咳嗽、咳痰3天,突发神志不清4小时。
【病史摘要】
患者3天前受凉后出现咳嗽,咳痰,痰量不多,伴有发热(具体情况不详),进食后感恶心,曾呕吐胃内容物。至本市医院就诊,胸片检查示左下肺炎,考虑肺部感染,予阿莫西林‐克拉维酸钾及补液对症治疗。但患者症状无明显改善,入院当日上午8时许突发神志不清,呼之不应,无抽搐,无大小便失禁。至笔者医院急诊,查体发现患者深度昏迷,皮肤湿冷,血糖低至测不出,头颅CT未见明显异常,收入ICU监护治疗。近期患者进食减少,睡眠尚可,大小便情况未有特殊异常。27年前因产后出血诊断为席汉综合征,多次于外院就诊,长期服用泼尼松,甲状腺素片,后停用,未定期复查甲状腺功能。
【查体】
T37.0℃,P110次/分,R24次/分,BP100/70mmHg,不能言语,点头状呼吸,推床推入病房,查体不合作,满月脸,向心性肥胖,全身皮肤黏膜无黄染,可见紫纹,体毛稀疏,双瞳孔等大等圆,直径约2.0mm,对光反射灵敏,额纹、鼻唇沟基本对称,气管居中,甲状腺不大,双肺呼吸音粗,左下肺可闻及少量湿性啰音,心率110次/分,律齐,各瓣膜听诊区未闻及明显杂音,腹平软,肝脾肋下未触及,移动性浊音阴性,双侧腱反射对称(++),双侧病理征(-),脑膜刺激征(-)。
【辅助检查】
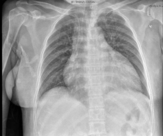
急诊生化:ALT710.7U/L,AST2585.7U/L;U REA4.9mmol/L,CREA97μmol/L,UA337μmol/L,K+3﹒54mmol/L。尿常规隐血+++。便常规无异常。血常规:WBC16.57×199/L,N89.9%。BNP>9000pg/ml,尿渗透压222mOsm/(kg•H2O)。凝血:D‐二聚体6593ng/ml,APTT58.9秒,PT 38﹒7秒。甲状腺功能:FT31﹒03pg/ml,T43﹒36μg/dl,FT40﹒388ng/dl,T30﹒408nmol/L,TSH0.12μIU/ml。血清泌乳素测定0.22ng/ml,血清促卵泡刺激素测定1.00IU/L,雌二醇测定15pg/ml,睾酮测定0.01ng/ml,孕酮测定0.15ng/ml,血清促黄体生成素测定0.19MIU/ml。皮质醇节律(0点、8点、16点):1002nmol/L、413.4nmol/L、1391nmol/L;ACTH(0点、8点、16点):74.1pg/ml、41.6pg/ml、47.2pg/ml。心电图检查见图1。心脏彩超:LVDd60mm,EF 46%,左心房、左心室增大,心包积液(少量)。胸片(2011‐7‐3)检查见图2。

图1 窦性心律,Ⅰ、Ⅱ、V4~V6导联T波倒置,肢体导联低电压

图2 双肺纹理增多,心影增大
【初步诊断】
垂体危象,席汉综合征,休克代偿期,急性肝肾功能损害,肺部感染。
【诊治过程】
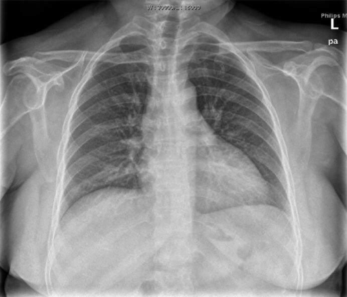
入院后于ICU予重症监护,抗感染、激素替代、多巴胺及多巴酚丁胺强心、升压以及维持水、电解质、酸碱平衡等对症支持治疗,以及气管插管呼吸机辅助通气、营养支持治疗。于6月30日患者出现2次室颤,经除颤、激素替代、纠正电解质紊乱等治疗均抢救成功。患者自主呼吸逐步恢复。于7月3日拔除气管插管。多次查脑钠肽>9000pg/ml。胸片提示心影明显增大。患者有甲状腺功能减退,但考虑患者急性心力衰竭很严重,ICU医师因担心补充甲状腺素后引起心功能恶化,转入CCU继续治疗。根据甲状腺功能调整糖皮质激素以及甲状腺素片用量,根据血压情况调整降压用药,因此类患者易发生栓塞事件,予低分子肝素抗凝治疗。患者病情逐步稳定。2011‐9‐13复查心脏彩超:LAD40mm,LVDd50mm,EF 55%。左心房、左心室稍大;左心室舒张功能减退。出院后2011年11月复查胸片见图3。

图3 心影明显缩小
【最终确诊】
甲状腺功能减退性心肌病、心功能Ⅳ级、席汉综合征、垂体危象。
【相关最新指南及诊治进展】
席汉综合征是一百多年前由Sheehan发现的一种综合征,当产后发生大出血,休克时间过长,就可造成脑腺垂体功能减退的后遗症,表现为消瘦、乏力、脱发、畏寒、闭经、乳房萎缩等,严重者可致死,临床称为席汉综合征。脑腺垂体分泌很多促激素,如促性腺激素、促甲状腺素、促肾上腺皮质激素、泌乳素、生长激素等。脑腺垂体与下丘脑之间有门静脉联系,接受下丘脑分泌的神经多肽物质。产后大出血容易引起这些门静脉发生血栓,最终导致脑腺垂体发生坏死,各种促激素水平大大降低,于是发生甲状腺、肾上腺皮质、卵巢等功能减退,甚至出现前面所讲的各种症状,这是一种严重的疾病,重要的是预防产后出血,一旦产后大出血,就应及时补充循环血容量,避免休克的发生。
本患者原来即患有席汉综合征,垂体功能减退,在全垂体功能减退症的基础上,各种应激,如感染、败血症、腹泻、呕吐、失水、饥饿、寒冷、急性心肌梗死、脑血管意外、手术、外伤、麻醉及使用镇静药、安眠药、降糖药等均可诱发垂体危象。本次发病考虑由感染诱发。垂体危象临床表现分为以下几类:①高热型(>40℃);②低温型(<30℃);③低血糖型;④低血压、循环虚脱型;⑤水中毒型;⑥混合型。各种类型可伴有相应的症状,突出表现为消化系统、循环系统和神经精神方面的症状,诸如高热、循环衰竭、休克、恶心、呕吐、头痛、神志不清、谵妄、抽搐、昏迷等严重垂危状态。本例患者以低血糖为表现来就诊。
治疗处理:首先给予静脉推注50%葡萄糖液40~60ml以抢救低血糖,继而补充10%葡萄糖盐水,每500~1000ml中加入氢化可的松50~100mg静脉滴注,以解除急性肾上腺功能减退危象。有循环衰竭者按休克原则治疗,有感染败血症者应积极抗感染治疗,有水中毒者主要应加强利尿,可给予泼尼松或氢化可的松。低温与甲状腺功能减退有关,可给予小剂量甲状腺激素,并用保暖毯逐渐加温。禁用或慎用麻醉剂、镇静药、催眠药或降糖药等。
患者的心力衰竭为长期甲状腺功能减退引起甲状腺功能减退性心脏病所致。感染诱发心力衰竭急性发作。甲状腺功能减退性心脏病是由于甲状腺素合成、分泌不足或生物效应不足而引起心肌收缩力减弱,心排血量和外周血流量减少等引发的一系列症状和体征的内分泌紊乱性心脏病。因甲状腺本身疾病引起的功能减退称原发性甲状腺功能减退或甲状腺性甲状腺功能减退,占甲状腺功能减退的90%~95%。缘于垂体及下丘脑病变的甲状腺功能减退系中枢性甲状腺功能减退或继发性与三发性甲状腺功能减退。该患者属席汉综合征继发性甲状腺功能减退。治疗主要是控制急性心力衰竭的同时补充糖皮质激素及甲状腺激素。甲状腺功能减退所致心脏扩大,治疗主要以补充甲状腺素为主,随着甲状腺功能逐渐恢复,心脏也会逐渐回缩,该患者出院后仍坚持服用甲状腺激素,心功能保持良好,复查胸片心影已恢复正常大小。
(环球医学编辑:余霞霞)
来源:《心血管临床特殊病例剖析》
作者:布艾加尔.哈斯木 孟晓萍
页码:238-244
出版:人民卫生出版社
- 评价此内容
- 我要打分
近期推荐
热门关键词
最新会议
- 2013循证医学和实效研究方法学研讨会
- 欧洲心脏病学会年会
- 世界帕金森病和相关疾病2013年会议
- 英国介入放射学学会2013年第25届年会
- 美国血液学会2013年年会
- 美国癫痫学会2013年第67届年会
- 肥胖学会 2013年年会
- 2013年第9届欧洲抗体会议
- 国际精神病学协会 2013年会议
- 妇科肿瘤2013年第18届大会
- 国际创伤压力研究学会2013年第29届…
- 2013年第4届亚太地区骨质疏松症会议
- 皮肤病协会国际2013年会议
- 世界糖尿病2013年大会
- 2013年国际成瘾性药年会
- 彭晓霞---诊断试验的Meta分析
- 武姗姗---累积Meta分析和TSA分析
- 孙凤---Network Meta分析
- 杨智荣---Cochrane综述实战经验分享
- 杨祖耀---疾病频率资料的Meta分析
合作伙伴
Copyright g-medon.com All Rights Reserved 环球医学资讯 未经授权请勿转载!
网络实名:环球医学:京ICP备08004413号-2
关于我们|
我们的服务|版权及责任声明|联系我们
互联网药品信息服务资格证书(京)-经营性-2017-0027
互联网医疗保健信息服务复核同意书 京卫计网审[2015]第0344号




会员登录

