中年男子反复胸闷气喘还时不时跛行 可能不单是心脏病…
56岁男性,近1年来常反复胸闷、气喘,休息后症状能改善。近2个月来步行10~20分钟即感左下肢小腿痛,休息3~5分钟腿痛症状消失。经查体及辅助检查,最终诊断为……
【一般情况】
男,56岁,汉族。
【主诉】
反复胸闷、气喘1年,间歇性跛行2个月。
【病史摘要】
患者近1年来常于体力活动时出现发作性胸闷、气喘,休息后症状能改善。近2个月来步行10~20分钟即感左下肢小腿痛,休息3~5分钟腿痛症状消失。既往有高血压、糖尿病病史7年。腔隙性脑梗死病史2年。吸烟20余年,每天40支,饮酒20余年,每天1斤白酒。父亲、母亲均有高血压、糖尿病病史。
【查体】
BP150/80mmHg,颈无抵抗,双肺呼吸音粗糙,右下肺闻及湿啰音,心率87次/分,律绝对不齐,第一心音强弱不等,未闻及病理性杂音和心包摩擦音,腹软,移动性浊音阴性,双下肢无水肿,双侧足背动脉搏动减弱,双下肢局部皮温下降,皮肤脱屑。
【辅助检查】
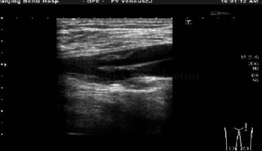
血、便常规正常。尿常规:尿蛋白+++,尿糖++。生化:血K+3﹒33mmol/L,TG12.37mmol/L,LDL 0﹒82mmol/L,ALT93.9U/L,GGT173U/L,CK310U/L。凝血功能:APTT23.5秒,PT10秒。糖化血红蛋白8.2%。心电图提示心房颤动,Ⅰ、Ⅱ、aVL、V4~V6导联T波倒置。胸片提示双肺纹理增多。颈动脉彩超:双侧颈动脉硬化伴斑块形成(硬斑),左侧颈动脉内中膜增厚约1.8mm。心脏彩超:LAD 44mm,LVDd57mm,IVS14mm,LVPW13mm,EF61%,左心房、左心室增大,高血压性心脏病改变,左心室舒张功能减退。双下肢动脉造影示左股深动脉近端闭塞,右股深动脉多处狭窄,最重处达80%。下肢血管彩超见图1。肢体动脉硬化检查见图2。

图1 下肢血管彩超:双侧下肢动脉血管内膜病变并管腔狭窄伴多发斑块

图2 肢体动脉硬化检测:右脚ABI0.73,左脚ABI0.55,中度下肢动脉疾病
【初步诊断】
高血压3级(极高危)、高血压性心脏病、心房纤颤、心功能Ⅱ~Ⅲ级、下肢动脉疾病(PAD)、2型糖尿病、脑梗死。
【诊治过程】
入院后给予阿司匹林100mg,每天1次抗血小板;氨氯地平10mg,每天1次;贝那普利10mg,每天1次降压;阿托伐他汀20mg,每天1次调脂;胰岛素降糖治疗。
【相关最新指南及诊治进展】
研究表明,心脑血管疾病死亡占全球人口死亡构成已从20世纪90年代的1/4增至目前的1/3,可以说动脉粥样硬化性疾病已成为人类的第一杀手。
动脉粥样硬化是发生在全身动脉系统的一个共同病理过程,冠状动脉粥样硬化导致一系列疾病,从稳定或不稳定型心绞痛到非Q波心肌梗死或Q波心肌梗死到心脏猝死;脑部动脉粥样硬化导致短暂性脑缺血发作或缺血性脑卒中;外周动脉粥样硬化可以无症状,或导致间歇跛行或严重的下肢缺血。
动脉粥样硬化形成的病理生理过程具有广泛的相似性,一个血管床的动脉粥样硬化病变的形成意味着其他部位动脉已经受到相似病理过程的影响,无论临床症状明显与否。因此,一个患者如果在一次血管事件中存活,在同一血管或其他血管再次发生事件的危险明显升高,如在心肌梗死患者出院的第一年发生再梗死的可能性为10%。以后发生再梗死的可能性为5%,在10年期间,所有患心肌梗死的患者,有16%~24%的患者发生短暂脑缺血发作或缺血性脑卒中。
外周血管疾病(peripheral arterial disease,PAD)是系统性动脉粥样硬化疾病的一种表现,虽然大多数PAD患者没有症状,但他们发生心肌梗死和脑卒中的危险明显增高,并且10年内的死亡危险为非PAD患者的6倍,15年后间歇性跛行患者的存活率大概为22%,而非间歇性跛行患者存活率为78%。
PAD是一种逐渐加重的慢性疾病,因其严重程度不同而表现各异,轻者无任何症状,中等程度者表现为静息痛或活动时疼痛、酸胀不适或感觉异常,重者可出现下肢缺血性坏死。早期发现和早期治疗可以逆转或明显延缓疾病的发展,到了晚期则需要进行手术治疗,极严重者可能需要截肢,而且,外周血管疾病患者发生心脑血管疾病及死亡的危险是正常人的数倍。
PAD是常见病、多发病,在人群中的发病率随年龄增长而增加,65岁以上者可达20%,然而PAD患者中只有10%有症状,这就使PAD难以得到早期诊断和治疗,国外大量研究表明PAD患者死于心脑血管病的可能性远高于截肢。因为PAD常无症状,存在PAD危险因素的人们(吸烟者,糖尿病患者,高血压和高龄者)可从筛查和早期发现中获益。
尽管外周血管疾病有发生心血管事件高风险和高死亡率,但目前医师及患者对外周血管疾病的认识还远远不够。西北大学的Mary Mc Dermott等发现PAD患者对他们的心血管危险的认识不如冠心病患者或无动脉粥样硬化者。大量资料提示患者的知识和态度影响预防性治疗,作者调查PAD、冠心病或无动脉粥样硬化临床表现者,了解他们对日后心血管病和脑卒中、死亡危险的认识。观察对象分为3组:(1)ABI正常,无临床动脉粥样硬化表现(n=142)者;(2)PAD,ABI<0.90,无其他动脉粥样硬化表现(n=136);(3)冠心病患者,ABI正常和心脏病史者(n=70)。结果3组的观察对象都认为冠心病患者发生MI、脑卒中、死亡的危险高于PAD;认为PAD发生脑卒中或死亡的危险极高的PAD患者仅及冠心病患者一半;相信PAD患者降胆固醇获益者亦较少。据此McDermott呼吁加强对PAD患者关于日后心血管高危的宣教。统计显示,目前中国60岁以上老年人口为1.34亿,占总人口的10%以上;65岁以上的人口超过9400万,占总人口的7%以上。由于动脉粥样硬化缺乏有效筛检工具而至少25%的老年人死于动脉硬化及其相关疾病。
踝臂指数(ankle‐brachial index,ABI)是指踝动脉压与肱动脉压(收缩压)的比值,它诊断PAD的敏感性高达90%以上,而且没有创伤,快捷、有效,以前该指标用于反映患肢缺血程度的轻重。但最近ABI作为动脉粥样硬化的一种无创测量手段正受到越来越多的关注。美国糖尿病协会(ADA)2003年12月发表了第一个关于糖尿病外周动脉病(PAD)的诊疗指南,该指南建议所有年龄≥50岁的糖尿病患者都应接受ABI等筛查,有吸烟、高血压、高血脂或糖尿病病史>10年等危险因素的50岁以下患者也应考虑接受ABI筛查;如果ABI检查结果正常,建议患者每5年复查一次。国外大规模的人群调查显示:低ABI值就像血脂、冠状动脉钙化积分、C‐反应蛋白一样是冠心病的一个高危险因素。ABI指数与单独的传统危险因素相比是心血管事件的良好预测因子,其操作简单、准确,能够用于冠心病的常规筛查。在美国动脉粥样硬化预防第五次会议上,ABI被认为是预测冠心病的一种手段。在特定人群,特别是>50岁或在传统危险因素评价基础上的高危心血管疾病人群,ABI是一种有效的辅助检查手段,与ABI正常的男性相比,低ABI的男性患心脏病的风险增加2倍,患脑卒中的风险增加4倍。
为改善对PAD认识不足和治疗不利的现状,已由专家小组撰写了倡议提案,即“外周动脉疾病检测和管理的关键问题:赶快行动起来”,积极防治PAD可降低动脉血栓事件,该倡议提案概述了在预防动脉血栓栓塞性疾病联合工作中的5项关键措施,即针对目前PAD在诊断和治疗方面的不足必须解决的问题:①提高临床医师和患者对PAD及其后果(心肌梗死、卒中、血管死亡)的认识;②通过改善患者对症状的认识,提高对症状性PAD的诊断率;③发起对PAD高危患者,尤其是对吸烟和糖尿病人群的普查工作;④提高对已经诊断为PAD患者的治疗率;⑤提高高危人群的早期检出率。
PAD是患者处于威胁生命的心脑血管事件危险之中的可靠警告信号;患者和医师都很容易忽视PAD,所以需要评价患者是否有症状或具备PAD的相关危险因素;及早强化治疗可以帮助PAD患者免受日后心肌梗死和卒中之苦;ABI是动脉粥样硬化的一种无创测量手段。
借用胡大一老师的一段话作为本段的总结:“我多年来思考并日益坚信,人体血管和心脏是个整体,心脏科、内分泌科、神经科、肾内科和血管外科医师,虽然我们工作在不同的岗位,但我们应团结在一起,形成一个团队,共同对付一个共同的敌人——以动脉粥样硬化为主线的心脏和血管疾病,共同制订心脏和周围血管的干预对策,为每一个具体患者提供最佳治疗方案”。
(环球医学编辑:余霞霞)
来源:《心血管临床特殊病例剖析》
作者:布艾加尔.哈斯木 孟晓萍
页码:267-273
出版:人民卫生出版社
- 评价此内容
- 我要打分
近期推荐
热门关键词
最新会议
- 2013循证医学和实效研究方法学研讨会
- 欧洲心脏病学会年会
- 世界帕金森病和相关疾病2013年会议
- 英国介入放射学学会2013年第25届年会
- 美国血液学会2013年年会
- 美国癫痫学会2013年第67届年会
- 肥胖学会 2013年年会
- 2013年第9届欧洲抗体会议
- 国际精神病学协会 2013年会议
- 妇科肿瘤2013年第18届大会
- 国际创伤压力研究学会2013年第29届…
- 2013年第4届亚太地区骨质疏松症会议
- 皮肤病协会国际2013年会议
- 世界糖尿病2013年大会
- 2013年国际成瘾性药年会
- 彭晓霞---诊断试验的Meta分析
- 武姗姗---累积Meta分析和TSA分析
- 孙凤---Network Meta分析
- 杨智荣---Cochrane综述实战经验分享
- 杨祖耀---疾病频率资料的Meta分析
合作伙伴
Copyright g-medon.com All Rights Reserved 环球医学资讯 未经授权请勿转载!
网络实名:环球医学:京ICP备08004413号-2
关于我们|
我们的服务|版权及责任声明|联系我们
互联网药品信息服务资格证书(京)-经营性-2017-0027
互联网医疗保健信息服务复核同意书 京卫计网审[2015]第0344号




会员登录

