小男孩活动后胸闷气短还晕厥2次 心脏MRI检查发现大问题
12岁患儿,主因“活动后胸闷气短,晕厥2次”就诊。心脏MRI检查发现问题不简单。
【主诉】
患者男,12岁。主因“活动后胸闷气短,晕厥2次”就诊。
【临床资料】
磁共振成像参数应用1.5T场强的MRI仪(Magnetom Sonata,Siemens),患者取仰卧位,头先进,32通道心脏表面线圈,心电门控,采用黑血脉冲序列获得体轴横断位图像,然后行四腔心、两腔心长轴和两腔心短横断位梯度回波电影、静息态心肌灌注采用两腔心短轴和四腔心层面,应用钆喷酸葡胺对比剂,按0.2mmol/kg体重注射。灌注扫描的对比剂流率为5ml/s,总量8ml。延迟强化扫描注射对比剂的流率为2ml/s,总量14ml。通常在心肌灌注扫描后8~10分钟进行延迟扫描。整个心脏MRI检查方案见表1。影像学检查见图1。
表1 心脏MRI检查方案



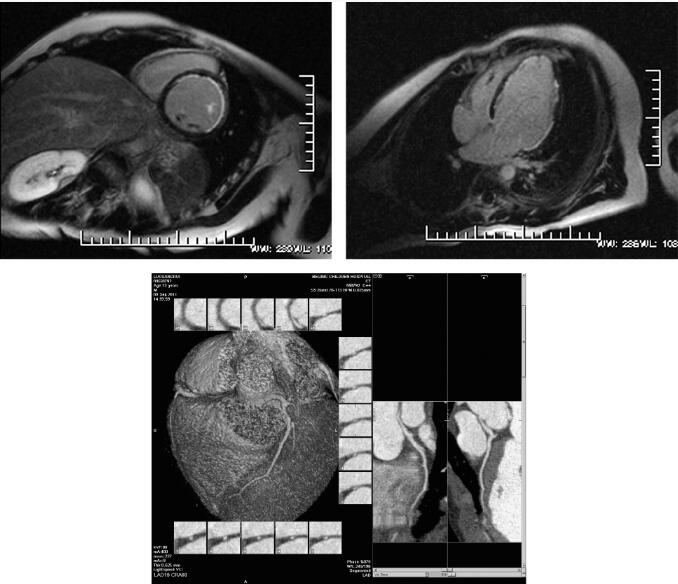
图1 冠状动脉左主干起源于右窦
冠状动脉CTA:左主干起自右窦,走形于右室流出道与主动脉之间,前降支走形于前室间沟;管壁规则,左主干管腔受压,余前降支管腔通畅,未见明显狭窄或扩张改变。
【诊断】
MRI表现:心内结构未见明显异常,左室增大;心脏电影显示左室前壁、侧壁及心尖节段运动减低,各瓣膜收缩舒张未见明显异常,未见返流信号;心肌静息灌注显像见左室前壁、侧壁及心尖心内膜下灌注减低,心肌延迟强化序列显示对应节段延迟强化。
【鉴别诊断】
1.病毒性心肌炎系病毒感染引起的心肌炎症,病理上出现局灶性心肌间质心肌细胞浸润和心肌纤维变性、坏死或溶解改变。心脏MRI延迟增强的主要表现为心肌内多发局灶性强化,不沿冠状动脉节段支配区分布。
2.冠状动脉粥样硬化性心脏病心脏MRI表现为心肌节段性运动减弱,心肌灌注缺损,心肌延迟强化主要位于心内膜下区域;患者多为成年人,CTA通常有冠状动脉斑块,管腔狭窄或闭塞。
【专家点评】
冠状动脉起源异常是指冠状动脉起始、走行或分布异常的先天性变异,是导致年轻人猝死的病因之一,以右冠状动脉起源异常为常见。年轻患者出现冠状动脉支配区心肌缺血,应怀疑本症,冠状动脉CTA或MRA可以确定诊断。
冠状动脉起源异常可引猝死,称之为恶性冠状动脉起源异常,主要特点是冠状动脉受压或血氧分压降低,引起相应支配区心肌缺血,甚至梗死,急性期在T2WI表现为高信号,而慢性心肌纤维化则表现为心肌灌注减低,延迟强化为高信号。
(范占明)
(环球医学编辑:余霞霞)
来源:《磁共振成像对比剂的临床应用》
作者:李坤成
页码:250-251
出版:人民卫生出版社
- 评价此内容
- 我要打分
近期推荐
热门关键词
最新会议
- 2013循证医学和实效研究方法学研讨会
- 欧洲心脏病学会年会
- 世界帕金森病和相关疾病2013年会议
- 英国介入放射学学会2013年第25届年会
- 美国血液学会2013年年会
- 美国癫痫学会2013年第67届年会
- 肥胖学会 2013年年会
- 2013年第9届欧洲抗体会议
- 国际精神病学协会 2013年会议
- 妇科肿瘤2013年第18届大会
- 国际创伤压力研究学会2013年第29届…
- 2013年第4届亚太地区骨质疏松症会议
- 皮肤病协会国际2013年会议
- 世界糖尿病2013年大会
- 2013年国际成瘾性药年会
- 彭晓霞---诊断试验的Meta分析
- 武姗姗---累积Meta分析和TSA分析
- 孙凤---Network Meta分析
- 杨智荣---Cochrane综述实战经验分享
- 杨祖耀---疾病频率资料的Meta分析
合作伙伴
Copyright g-medon.com All Rights Reserved 环球医学资讯 未经授权请勿转载!
网络实名:环球医学:京ICP备08004413号-2
关于我们|
我们的服务|版权及责任声明|联系我们
互联网药品信息服务资格证书(京)-经营性-2017-0027
互联网医疗保健信息服务复核同意书 京卫计网审[2015]第0344号




会员登录

