36岁女子高血压伴头晕、双下肢水肿长达2年 MRI检查后发现…
36岁女性,主因“高血压伴头晕、双下肢水肿2年”就诊。经磁共振成像检查,该患者被诊断为……
【主诉】
患者女,36岁。主因“高血压伴头晕、双下肢水肿2年”就诊。
【临床资料】
磁共振成像检查:应用1.5T高场强MRI仪(Magnetom Sonata,Siemens),16通道体部表面线圈,患者取仰卧位,头先进,黑血、true-FISP脉冲序列获得体轴横断、斜矢状位平扫,然后再行主动脉CE-MRA扫描,应用钆喷酸葡胺对比剂,按0.2mmol/kg体重剂量、流率为3.5ml/s经静脉注射对比剂。心脏MRI检查方案见表1。影像学检查见图1。

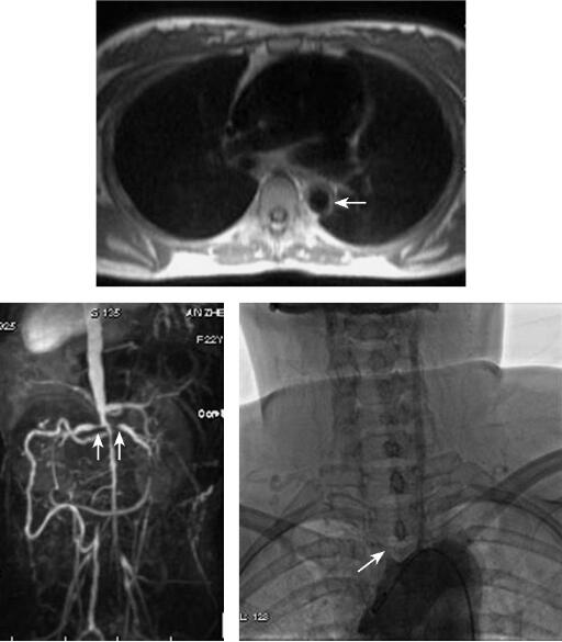
图1 大动脉炎
表1 心脏MRI检查方案

【诊断】
MRI表现:MR黑血序列可见胸主动脉管壁增厚,管壁不规则。MRA:胸主动脉中远段管壁不规则,腹主动脉下段管腔闭塞,腹腔干、肠系膜上动脉、双肾动脉开口处管腔重度狭窄。
头颈部DSA:头臂血管仅见出左颈总动脉,且近段部重度狭窄,右颈总动脉起始部鼠尾样狭窄闭塞;左锁骨下动脉闭塞,未见显影。
【鉴别诊断】
1.动脉粥样硬化临床多见于老年男,病变广泛,受累血管管壁增厚,管腔极不规则,常伴管壁钙化和管腔狭窄。
2.主动脉缩窄为先天性病变,主要累及主动脉峡部或降主动脉,病变较局限,主动脉管壁无增厚。
3.纤维肌性结构不良主要累及肾动脉,病理基础是中膜发育异常,导致肾动脉串珠样改变。而大动脉炎累及肾动脉开口处及近心端,管壁增厚,呈不规则狭窄。
【专家点评】
大动脉炎的病因仍然不清楚,多数人认为是一种自身免疫性疾病,部分患者血浆中可检测出抗主动脉抗体。受累血管全层显著纤维化及中层致密炎性细胞浸润为其主要病理特点。本病好发于年轻女,常累及多支血管,好发于主动脉主干及一级分支血管开口,临床表现取决于血管炎所在部位和病变严重的程度。
大动脉炎的MRI特点:受累血管管壁环形增厚,急性期T2WI显示病变为高信号。CEMRA显示主动脉以及一级分支开口部重度狭窄,多呈对称性狭窄。
(范占明)
(环球医学编辑:余霞霞)
来源:《磁共振成像对比剂的临床应用》
作者:李坤成
页码:253-254
出版:人民卫生出版社
- 评价此内容
- 我要打分
近期推荐
热门关键词
最新会议
- 2013循证医学和实效研究方法学研讨会
- 欧洲心脏病学会年会
- 世界帕金森病和相关疾病2013年会议
- 英国介入放射学学会2013年第25届年会
- 美国血液学会2013年年会
- 美国癫痫学会2013年第67届年会
- 肥胖学会 2013年年会
- 2013年第9届欧洲抗体会议
- 国际精神病学协会 2013年会议
- 妇科肿瘤2013年第18届大会
- 国际创伤压力研究学会2013年第29届…
- 2013年第4届亚太地区骨质疏松症会议
- 皮肤病协会国际2013年会议
- 世界糖尿病2013年大会
- 2013年国际成瘾性药年会
- 彭晓霞---诊断试验的Meta分析
- 武姗姗---累积Meta分析和TSA分析
- 孙凤---Network Meta分析
- 杨智荣---Cochrane综述实战经验分享
- 杨祖耀---疾病频率资料的Meta分析
合作伙伴
Copyright g-medon.com All Rights Reserved 环球医学资讯 未经授权请勿转载!
网络实名:环球医学:京ICP备08004413号-2
关于我们|
我们的服务|版权及责任声明|联系我们
互联网药品信息服务资格证书(京)-经营性-2017-0027
互联网医疗保健信息服务复核同意书 京卫计网审[2015]第0344号




会员登录

