咳嗽咳痰还胸痛?幸好问题不大
50岁男性患者,主因“咳嗽、咳痰、胸痛”就诊。经查体、实验室检查和MRI检查,发现该患者患有……
【主诉】
患者男,50岁。主因“咳嗽、咳痰、胸痛”就诊。
【临床资料】
1.查体
体温37.0℃,脉搏73次/分,呼吸21次/分,血压135/89mmHg,患者一般情况可,神清,查体合作,对答正确,颈软,气管居中,双肺呼吸音清,左下肺闻及实音,心界略增宽。
2.实验室检查
血常规白细胞13.89×109/L,中性粒细胞百分率73.4%,淋巴细胞百分率15.8%,单核细胞百分率10.6%,中性粒细胞绝对值10.4×109/L,单核细胞绝对值1.63×109/L,红细胞4.39×1012/L,血红蛋白138g/L,血小板401×109/L。尿常规、粪常规和血生化检查均未见异常改变。凝血酶原时间13.21秒,凝血酶时间13.91秒,纤维蛋白原5.91g/L。血pH=7.43,氧分压124mmHg,二氧化碳分压21mmHg,血氧饱和度94%~100%。血电解质检查,血钠147mmmol/L;血钙0.95mmol/L。HIV-抗体、梅毒螺旋体特异性抗体和快速血浆反应素试验均为阴性。MRI表现见图1。

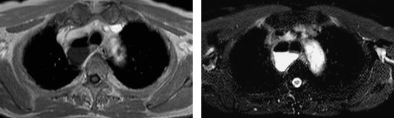
图1 右肺尖支气管囊肿
【诊断】
右肺尖支气管囊肿
【鉴别诊断】
在囊性病变鉴别方面不存在很大困难,仅当合并感染时,需要与肺脓肿或肿块样肺癌伴空洞鉴别,肺脓肿追溯病史常常可以有阳性发现,肺癌伴空洞常常以厚壁偏心空洞为特征。
【专家点评】
MRI对于含水量高的囊性病变显示效果极佳。支气管源性囊肿是指先天性的呼吸系统发育异常所引起的一种囊性肿物,又称支气管囊肿。按发病部位分为肺内型、纵隔型和异位型。囊肿较小时,可无任何临床表现;当囊肿增大或合并感染时,可对周围组织产生压迫症状或出现感染症状。
在磁共振图像上支气管囊肿表现为边缘清晰的薄壁囊腔,囊内气液含量差异带来影像表现不同,液体成分表现为典型的T1WI均匀低信号,T2WI均匀高信号,增强扫描不强化,囊壁不强化。
(邢彦粉 杨洋 孙希文)
(环球医学编辑:余霞霞)
来源:《磁共振成像对比剂的临床应用》
作者:李坤成
页码:249-250
出版:人民卫生出版社
- 评价此内容
- 我要打分
近期推荐
热门关键词
最新会议
- 2013循证医学和实效研究方法学研讨会
- 欧洲心脏病学会年会
- 世界帕金森病和相关疾病2013年会议
- 英国介入放射学学会2013年第25届年会
- 美国血液学会2013年年会
- 美国癫痫学会2013年第67届年会
- 肥胖学会 2013年年会
- 2013年第9届欧洲抗体会议
- 国际精神病学协会 2013年会议
- 妇科肿瘤2013年第18届大会
- 国际创伤压力研究学会2013年第29届…
- 2013年第4届亚太地区骨质疏松症会议
- 皮肤病协会国际2013年会议
- 世界糖尿病2013年大会
- 2013年国际成瘾性药年会
- 彭晓霞---诊断试验的Meta分析
- 武姗姗---累积Meta分析和TSA分析
- 孙凤---Network Meta分析
- 杨智荣---Cochrane综述实战经验分享
- 杨祖耀---疾病频率资料的Meta分析
合作伙伴
Copyright g-medon.com All Rights Reserved 环球医学资讯 未经授权请勿转载!
网络实名:环球医学:京ICP备08004413号-2
关于我们|
我们的服务|版权及责任声明|联系我们
互联网药品信息服务资格证书(京)-经营性-2017-0027
互联网医疗保健信息服务复核同意书 京卫计网审[2015]第0344号




会员登录

