32岁女子活动后胸闷气短且发绀数年 曾患自发性血胸
32岁女性,因活动后胸闷气短、发绀8年就诊,2年前曾患左侧自发血胸。该患者患有……
【主诉】
患者女,32岁。主因“活动后胸闷气短、发绀8年”就诊,2年前曾患左侧自发血胸。
【临床资料】
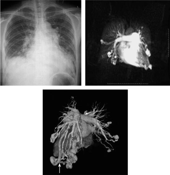
磁共振成像参数:所用设备、线圈、脉冲序列和检查方法均与例3相同。心脏MRI检查方案见表1。影像学检查见图1。
表1 心脏MRI检查方案


图1 肺动静脉瘘
【诊断】
X线平片表现:双肺纹理粗重,可见多个大小不等结节影,边界较清楚,密度均匀,心影增大,右侧膈面模糊,肋膈角消失。
肺动脉MRA表现:双肺内可见多个血管团,并可见供血动脉和粗大的引流静脉,部分瘤体有共同供血动脉或共同的引流静脉。
肺动脉CTA:所见与MRA相同。
【鉴别诊断】
1.肺动脉瘤肺动脉局限性扩张,扩张的瘤体不与肺静脉相通,肺动脉瘤内常有附壁血栓形成。
2.肺内软组织肿块MRI平扫可能与本病混淆,但是增强扫描病灶强化程度远不如肺动静脉瘘。
【专家点评】
肺动静脉瘘是肺动脉与肺静脉直接相通而引起的血流短路,导致右向左分流,多为先天性。本病有遗传倾向,根据输入血管的来源,病理上主要分为两型:①Ⅰ型:肺动脉与肺静脉直接交通,患者可有活动后呼吸困难、心慌、气短、发绀、杵状指、胸痛和红细胞增多等临床表现;②Ⅱ型:体循环与肺循环直接交通,若肺动静脉畸形破裂,患者可出现咯血。
Ⅰ型肺动静脉瘘在胸部X线片上的典型表现为单发或多发结节,大小不等,边界清楚锐利,病灶可有浅分叶,密度均匀,常见一条或数条粗大引流血管通向肺门,透视下可见病灶搏动。MRI可见血管呈流空信号,具有一定的诊断特异性。CE-MRA显示肺动静脉瘘病灶、供血动脉和引流静脉更清楚。
(范占明)
(环球医学编辑:余霞霞)
来源:《磁共振成像对比剂的临床应用》
作者:李坤成
页码:254-256
出版:人民卫生出版社
- 评价此内容
- 我要打分
近期推荐
热门关键词
最新会议
- 2013循证医学和实效研究方法学研讨会
- 欧洲心脏病学会年会
- 世界帕金森病和相关疾病2013年会议
- 英国介入放射学学会2013年第25届年会
- 美国血液学会2013年年会
- 美国癫痫学会2013年第67届年会
- 肥胖学会 2013年年会
- 2013年第9届欧洲抗体会议
- 国际精神病学协会 2013年会议
- 妇科肿瘤2013年第18届大会
- 国际创伤压力研究学会2013年第29届…
- 2013年第4届亚太地区骨质疏松症会议
- 皮肤病协会国际2013年会议
- 世界糖尿病2013年大会
- 2013年国际成瘾性药年会
- 彭晓霞---诊断试验的Meta分析
- 武姗姗---累积Meta分析和TSA分析
- 孙凤---Network Meta分析
- 杨智荣---Cochrane综述实战经验分享
- 杨祖耀---疾病频率资料的Meta分析
合作伙伴
Copyright g-medon.com All Rights Reserved 环球医学资讯 未经授权请勿转载!
网络实名:环球医学:京ICP备08004413号-2
关于我们|
我们的服务|版权及责任声明|联系我们
互联网药品信息服务资格证书(京)-经营性-2017-0027
互联网医疗保健信息服务复核同意书 京卫计网审[2015]第0344号




会员登录

