老奶奶多种心肺病缠身 该如何治疗?
老奶奶10年前间断出现咳嗽、咳痰,间歇给予静脉用药,每月1~3次。5年前再发,伴咯血,于笔者医院呼吸科住院治疗,诊断为支气管扩张,出院后长期口服大环内酯类抗生素,咳嗽、咳痰好转。2年前活动后气促,上至2楼时即气促,休息后减轻。半月前双下肢水肿,气促明显,治疗后好转。3天前患者症状再发加重,伴发绀、意识淡漠,于急诊就诊。
【病情介绍】
患者,女性,60岁。因“咳嗽、咳痰10年,气促2年,水肿半月,加重3天”于2011年4月7日入急诊病房。10年前间断出现咳嗽、咳痰,间歇给予静脉用药,每月1~3次。5年前再发,伴咯血,于笔者医院呼吸科住院治疗,诊断为支气管扩张,出院后长期口服大环内酯类抗生素,咳嗽、咳痰好转。2年前活动后气促,上至2楼时即气促,休息后减轻。高枕卧位,半月前双下肢水肿,气促明显,治疗后好转。3天前患者症状再发加重,伴发绀、意识淡漠,于急诊就诊。血气分析示pH 7.21,PaCO2 106mmHg,PaO2 44mmHg,予毛花苷丙、呋塞米静脉推注,头孢他啶、洛贝林、尼可刹米治疗,效果欠佳入院。既往史:患者20年前患肺结核,已愈,治疗情况不详。
体格检查:T 36.0℃,P 80次/分,R 26次/分,BP 129/76mmHg。神志淡漠,定向力、计算力差,高枕卧位;正力体型;全身皮肤黏膜发绀;颈静脉充盈;双眼球结膜水肿;胸廓无畸形,左侧触诊语颤增强,叩诊呈实音,左肺呼吸音低,可闻及中量湿啰音,右肺呼吸音粗,可闻及中量湿啰音;心界向右扩大,心率146次/分,节律绝对不齐,S1强弱不等,心尖区、肺动脉瓣、第二主动脉瓣听诊区可闻及3/6级收缩期杂音;腹部未见异常。双下肢轻度凹陷性水肿。
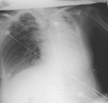
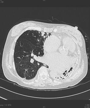
辅助检查:血常规:WBC 7.98×109/L,Hb 130g/L,PLT 173×109/L,N 75.4%。凝血:PT 14.6秒,APTT 28.7秒,Fbg 2.75mg/dl,D-二聚体364μg/L。胸片见图1,胸部CTA见图2。超声心动图示心房增大,肺动脉高压,PASP 51mmHg,主动脉硬化、瓣膜钙化并狭窄及反流,三尖瓣中重度关闭不全、左心室收缩功能正常。腹部B超示肝静脉及下腔静脉增宽,注意排除右心功能不全可能;门静脉主干增宽,未见血栓;肝周少量积液。

图1 胸片示左肺不张或硬变,纵隔左移,肺内结构观察欠清;右上肺纤维增殖性结核灶;右下肺纹理稍增多、模糊,考虑少许支气管周围炎

图2 4月7日胸部CTA示左侧毁损肺并肺动脉高压,右肺中叶纤维增殖钙化性结核灶,右肺炎症
入院诊断:慢性肺源性心脏病,右肺中叶动静脉瘘,心房颤动,心功能Ⅳ级;Ⅱ型呼吸衰竭;支气管扩张并感染;陈旧性肺结核。
诊治经过:入院后给予头孢哌酮-他唑巴坦、阿奇霉素抗感染;乌司他丁200000U,每天2次抗感染;肝素33mg,每日1次抗凝血;丹参川芎嗪改善循环;地高辛0.125mg强心;氢氯噻嗪25mg,每日1次和螺内酯20mg,每日1次利尿;地塞米松5mg抗感染,共用3天。同时给予间断无创通气改善肺通气。4月7日18时患者神志清醒,气促好转,皮肤黏膜无发绀。血气分析:pH 7.489,PaCO2 65mmHg,PaO2 70mmHg。改用鼻导管内低流量吸氧。4月10日患者少咳,痰少,双肺少许湿啰音。4月11日患者无明显咳嗽,双肺未闻及啰音,血气分析:pH 7.373,PaCO2 77mmHg,PaO2 75mmHg。血APTT 28.4秒。4月7日痰细菌培养结果示铜绿假单胞菌。4月13日给予出院,出院后家庭氧疗,沙美特罗-替卡松(舒利迭)雾化,继续口服红霉素125mg,每日1次,氨溴索、地高辛0.125mg每日1次强心、氢氯噻嗪25mg,每日1次和螺内酯20mg,每日1次利尿。出院后随诊2周,患者无不适,出院1周后可自行散步。
最终诊断:慢性肺源性心脏病,右肺中叶动静脉瘘,心房颤动,心功能Ⅳ级;Ⅱ型呼吸衰竭;支气管扩张并感染;陈旧性肺结核。
重要提示
1.中年女性,肺结核性支气管扩张后并发慢性肺源性心脏病。
2.血气分析和胸部CTA提示双肺毁损严重,通气功能受损明显;存在慢性肺源性心脏病、心功能差。急性发作时给予敏感抗生素抗感染、抗凝、氧疗,必要时机械通气,疗效好。
3.恢复期给予家庭氧疗、小剂量口服红霉素效果好。
【讨论】
该病例是肺结核性支气管扩张导致的慢性肺源性心脏病,这类病例在临床上并不少见,其特点是病程反复,治疗棘手,急性发作时病情危重且不容易缓解。结核性支气管扩张是一种特殊临床类型,结核导致肺组织破坏严重、纤维组织增生明显,支气管不可逆地扩张,气流受限,随着病程的发展,并发慢性肺源性心脏病,尤其见于毁损肺患者。与非结核性支气管扩张不同的是,这种患者的呼吸道气流受限往往不可逆,这就导致了该病病情反复、治疗棘手、急性发作时不容易缓解。
肺部感染往往是急性发作的诱因,也是加重心功能不全的原因。因此,急性发作时抗生素的选择为第一关键因素。该患者由于感染导致疾病急性发作,外院给予头孢他啶后效果欠佳,入院后选用头孢哌酮-他唑巴坦及阿奇霉素,用药3天后患者咳嗽、咳痰明显减少。在痰病原菌结果未回复的情况下,根据经验选择上述两种抗生素的原因是:①导致支气管扩张感染加重期的主要病原菌为革兰阴性杆菌,其中以铜绿假单胞菌占首位,占全部致病菌的56.1%。在痰液和血液细菌培养结果未回复之前,选择的抗生素的抗菌谱必须覆盖铜绿假单胞菌。该病例选择头孢哌酮-他唑巴坦,患者症状明显改善,痰细菌培养结果证实有铜绿假单胞菌感染,继续原方案抗感染后取得良好效果。对铜绿假单胞菌敏感的抗生素还有哌拉西林、头孢吡肟、碳青霉烯类、氨基糖苷类,临床上可以根据患者的特点进行选择。②支气管扩张合并感染时铜绿假单胞菌极易形成生物膜,该生物膜为铜绿假单胞菌耐药的机制之一。大环内酯类抗生素(如红霉素、罗红霉素、阿奇霉素)能抑制生物膜的形成。大环内酯类抗生素与上述抗生素联合应用不仅能减少铜绿假单胞菌耐药的产生,还能增强上述抗生素的疗效。因此,根据经验,该患者入院后选用头孢哌酮-他唑巴坦联合阿奇霉素的方案抗感染,从该患者的治疗效果上也证实了该方案有效。
急性发作时,患者往往合并严重的呼吸衰竭(多合并Ⅱ型呼吸衰竭)和心功能不全,因此急性期的综合治疗也不可忽视。综合治疗包括:①纠正缺氧:合并Ⅱ型呼吸衰竭的患者吸入氧浓度需控制在35%以下,如果呼吸衰竭未得到改善,需改用机械通气。该患者给予无创呼吸机通气,呼吸衰竭改善明显,但在感染未能有效控制之前,停用呼吸机后呼吸衰竭再次加重,因此间断使用无创通气,既能缓解呼吸衰竭,又能防止呼吸机依赖的发生。若有无创通气禁忌证,或无创通气治疗后无好转或二氧化碳潴留进一步加重,需改用有创通气帮助患者度过急性期,为治疗患者争取时间。②抗感染治疗:该患者入院后给予3天小剂量地塞米松,目的是对抗炎症因子。炎症因子是导致肺血管痉挛及结构改变的重要环节,抗感染治疗可以改善肺血管狭窄和肺动脉高压。短时间应用小剂量糖皮质激素改善肺血管痉挛。③抗凝治疗:由于患者肺动脉有微血栓形成及血液黏稠度增加,近年来研究发现抗凝治疗取得良好的疗效。肝素不仅可以减少血液黏滞性,还可以降低痰液的黏稠度,解除气道痉挛。常用25~100mg肝素加入葡萄糖溶液或生理盐水溶液中每日静脉缓慢滴注,同时需要监测凝血功能。④抗心力衰竭治疗:轻度心力衰竭给予吸氧,改善呼吸功能,控制呼吸道感染后,症状可以减轻或消失。但对上述治疗后无好转的患者,或较重的患者需要抗心力衰竭治疗。常用药物有利尿剂、ACEI和地高辛。洋地黄类药物需慎用,患者常合并缺氧、低钾血症等情况,用量常为正常剂量的1/3~1/2。
患者出院后给予长期家庭氧疗,能有效地解除因慢性缺氧而导致的肺血管痉挛及阻止肺动脉高压的进展。另外,氧疗的另一个疗效是能降低血细胞比容,其可以通过降低肺血管阻力来改善右心室功能。出院后长期口服小剂量红霉素可以防止铜绿假单胞菌生物膜的形成,减少铜绿假单胞菌耐药的发生。
【专家析评】
慢性肺源心脏病合并心力衰竭治疗不易,临床上采用了很多方法,目前普遍认为应采取综合治疗措施。积极治疗原发疾病、消除诱因和控制性吸氧是治疗慢性肺源性心脏病心力衰竭的基础。但部分患者给予上述治疗后效果欠佳。抗凝治疗可以提高疗效。常用的抗凝药物有肝素和低分子肝素。肝素不仅有抗凝集和抗血栓的作用,使肺细小动脉原位血栓形成减少,改善微循环灌注,从而降低肺动脉压、改善心肺功能;还可防止血小板释放5-羟色胺等递质,抑制补体系统及白细胞趋化性,中和炎症因子,保护血管内皮细胞,有抗感染、抗变态反应、增强吞噬细胞吞噬异物作用,从而抑制气道炎性反应;缓解支气管痉挛,改善平滑肌的痉挛状态,使缺氧得到改善,进一步降低肺动脉压,改善呼吸功能和低氧血症。在治疗过程中需监测凝血功能。
慢性肺源性心脏病抗心力衰竭的治疗没有统一的方案,需要根据患者的情况灵活调整治疗方案。利尿剂的使用目的是减少液体潴留,对于有液体潴留或以往有液体潴留的患者均应该使用。ACEI可以减轻肺动脉高压,减少右心负荷,应用于慢性肺源性心脏病合并高血压的患者。洋地黄类药物需慎用。
参考文献
1.陈灏珠.实用内科学.第13版.北京:人民卫生出版社,2010.
2.崔莉.支气管扩张患者病原菌的分布及药物敏感性分析.广州医药,2010,41(2):45-47.
3.罗志扬,甄国粹,张培芳,等.支气管扩张患者感染加重期的病原菌分布及耐药性.中国综合临床,2005,21(5):404-405.
4.张石江,王虹,解卫平.肺动脉高压治疗学.南京:江苏科学技术出版社,2007.
5.段斌.慢性心源性心脏病并心力衰竭综合治疗综述.中国医药指南,2010,8(4):75-76.
(环球医学编辑:余霞霞)
来源:《急诊临床病案评析:感染与心血管性疾病》
作者:陈旭岩 王仲
页码:146-149
出版:人民卫生出版社
- 评价此内容
- 我要打分
近期推荐
热门关键词
最新会议
- 2013循证医学和实效研究方法学研讨会
- 欧洲心脏病学会年会
- 世界帕金森病和相关疾病2013年会议
- 英国介入放射学学会2013年第25届年会
- 美国血液学会2013年年会
- 美国癫痫学会2013年第67届年会
- 肥胖学会 2013年年会
- 2013年第9届欧洲抗体会议
- 国际精神病学协会 2013年会议
- 妇科肿瘤2013年第18届大会
- 国际创伤压力研究学会2013年第29届…
- 2013年第4届亚太地区骨质疏松症会议
- 皮肤病协会国际2013年会议
- 世界糖尿病2013年大会
- 2013年国际成瘾性药年会
- 彭晓霞---诊断试验的Meta分析
- 武姗姗---累积Meta分析和TSA分析
- 孙凤---Network Meta分析
- 杨智荣---Cochrane综述实战经验分享
- 杨祖耀---疾病频率资料的Meta分析
合作伙伴
Copyright g-medon.com All Rights Reserved 环球医学资讯 未经授权请勿转载!
网络实名:环球医学:京ICP备08004413号-2
关于我们|
我们的服务|版权及责任声明|联系我们
互联网药品信息服务资格证书(京)-经营性-2017-0027
互联网医疗保健信息服务复核同意书 京卫计网审[2015]第0344号




会员登录

