燃气中毒猛于虎!老奶奶一氧化碳中毒后诱发心衰
91岁女性,入院前2.5小时被家人发现意识不清,当时呼吸困难明显,无抽搐,由120急诊送医院。于急诊抢救室立即给予氧气吸入、吸痰、解痉治疗,但氧饱和度急剧下降至40%~50%,立即给予气管插管,球囊辅助通气收入急诊ICU。
【病情介绍】
患者,女性,91岁。因“被人发现意识不清伴呼吸困难2.5小时”于2011年4月3日入院。入院前2.5小时被家人发现意识不清,当时呼吸困难明显,无抽搐。不伴有发热,无两便失禁;由120急诊送医院。于急诊抢救室立即给予氧气吸入、吸痰、解痉治疗,但氧饱和度急剧下降至40%~50%,立即给予气管插管,球囊辅助通气收入急诊ICU。询问病史时提供家中有煤气管道泄漏。患者既往有心力衰竭病史10年,否认高血压、糖尿病病史。
体格检查:T 36.2℃,P 126次/分,R 20次/分,BP 140/76mmHg。意识为呼之不应,刺激有反应,简易呼吸器入病房,体型消瘦,皮肤黏膜无黄染,浅表淋巴结未触及;双瞳孔等大,直径3.0mm,对光反射存在。口唇发绀,颈软,气管居中,颈静脉充盈,无明显怒张。胸廓无畸形,两侧呼吸动度一致,听诊呼吸音粗,可闻及散在干湿啰音。心前区无隆起,心率126次/分,律不整,有期前收缩,心音弱,无病理性杂音,心界大;腹部查体无阳性体征;四肢轻度水肿,无自主活动;脊柱肛门等无异常;神经系统检查生理征及病理征均未引出。
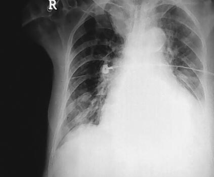
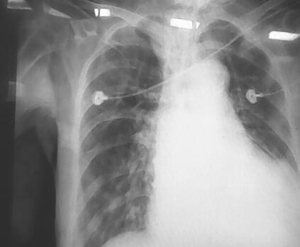
辅助检查:血气分析:pH 7.154,PCO2 38.7mmHg,PO2 88.3mmHg,COHb 27.8%,O2Hb 69.1%;电解质:钠147mmol/L,钾3.6mmol/L;血常规:WBC 18.71×109/L,N 89.24%,Hb 141g/L,PLT 177×109/L;D-二聚体896μg/L;生化指标:BUN 9.1mmol/L,Cr 88μmol/L,CK 178IU/L,CK-MB 14μg/L,Tn-i 1.52μg/L,BNP 14557.7pg/ml。心电图:房颤,ST-T改变;胸片:支气管炎,右下肺及左上肺炎症,右侧胸膜肥厚,心影增大(图1)。

图1 支气管炎,右下肺及左上肺炎症,右侧胸膜肥厚,心影增大
入院诊断:重度一氧化碳中毒,Ⅰ型呼吸衰竭,双肺炎症(吸入性),急性心肌损害,急性左心衰竭,心功能不全Ⅳ级,房颤。
入院后立即气管插管,呼吸机辅助通气,心电、血压、氧饱和度监测,积极控制感染:头孢唑肟2.0g,每12小时1次;解痉、化痰,改善通气,改善心功能,强心、利尿、硝酸酯类扩血管治疗。经呼吸机治疗,很快意识好转,但是心功能没有明显恢复,心肌标志物检查一直在升高,TnI最高在33.8μg/L,BNP最高在17807pg/ml,呼吸机撤机困难,在呼吸机给予SIMV方式后出现急性左心衰竭,心源性休克,血压降至71/39mmHg,立即给予血管活性药物调整血压。4月10日患者体温开始升高,双肺痰鸣音增加,痰量增加,并为黄痰,胸部X线片见图2,痰涂片为革兰阳性球菌,革兰阴性球菌和革兰阳性杆菌,痰培养多次为鲍曼不动杆菌,属多重耐药型。经调整抗生素后体温逐渐好转,痰量减少,同时血中WBC在10×109/L左右,而且逐渐下降,中性粒细胞75%左右,逐渐准备撤机,胸部X线片见图3。但是患者在撤机过程中多次发作心力衰竭,出现咳粉红色泡沫样痰,同时血BNP指标逐渐上升,最高达45445.4pg/ml。4月17日将呼吸机调为机控A/C方式后逐渐好转。于4月29日行气管切开术。此时痰培养汇报均为鲍曼不动杆菌和铜绿假单胞菌,体温在38℃左右,双肺仍有大量痰鸣音、湿啰音,胸部X线片见图4,心率102次/分,血BNP 11969.6pg/ml,WBC 9.23×109/L,N 77.41%,根据药敏结果更换抗生素为头孢哌酮-舒巴坦钠3.0g,每8小时1次,联合口服米诺环素100mg,每天2次治疗,患者体温逐渐恢复,心率下降至60次/分左右,症状逐渐缓解(胸部X线片见图5)。血BNP降至6995pg/ml。但是呼吸机一直不能撤离。在抗感染的同时一直给予扩血管、利尿、改善心肌血供、改善心功能治疗,给予米力农、心钠素治疗,心力衰竭症状明显缓解,但是撤机仍然困难。终因高龄,全身状态差,出现尿路感染。尿培养、痰培养多次出现念珠菌生长(光滑念珠菌为主),尿中出现屎肠球菌生长2次。肾功能逐渐下降,血Cr最高至114μmol/L。并出现高热,白细胞升高,贫血(胸部X线片见图6)。将抗生素改为美罗培南加利奈唑胺及伏立康唑,症状逐渐改善,肾功能恢复正常,血常规正常,体温恢复正常。

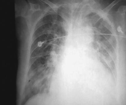
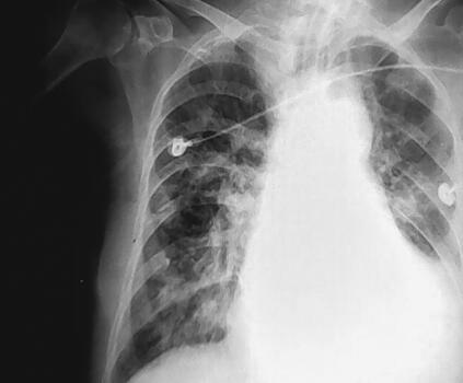
图2 心力衰竭有所缓解,但右肺炎症增多

图3 炎症有所吸收,但出现少许胸腔积液

图4 炎症明显增多,肺淤血也加重

图5 炎症与肺淤血均明显减轻

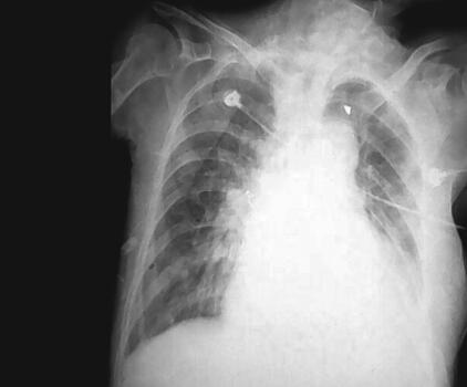
图6 肺淤血加重,胸片炎症影明显有模糊感
最终诊断:重度一氧化碳中毒,急性心肌损害,急性左心衰竭,心功能Ⅳ级,房颤。Ⅰ型呼吸衰竭,双肺炎症(细菌合并真菌),尿路感染。
转归:体温正常,肾功能正常。意识清晰,呼吸机在逐步撤机过程中,胸部X线片见图7。血BNP 3246pg/ml(图7)。

图7 炎症、淤血减轻,少量胸腔积液
重要提示
1.老年、女性、高龄。
2.原有慢性心力衰竭病史,否认高血压、糖尿病等。
3.明确一氧化碳中毒史,入院时昏迷,呼吸浅促,氧饱和度低。血气分析示COHb 27.8%,O2Hb 69.1%,D-二聚体896μg/L,心肌标志物示CK 178IU/L,CK-MB 14μg/L,TnI 1.52μg/L,BNP 14557.7pg/ml。
4.心电图Af、ST-T改变,胸片示双肺弥漫性渗出,心影增大。
5.呼吸机撤离困难,反复发作急性心力衰竭。
【讨论】
一氧化碳中毒主要损害的脏器是大脑和心脏,主要因为一氧化碳的中毒机制以机体组织和细胞缺氧为主。机体对缺氧最敏感的部位是大脑和心脏。一氧化碳中毒的症状与大脑缺氧程度有关,开始可能表现为头晕、头痛,逐渐出现意识不清,可以出现血流动力学改变,严重者出现多脏器衰竭。中毒的程度临床上由检测COHb的浓度可以确定。COHb浓度在10%~30%为轻度,30%~50%为中度。50%以上为重度。本患者入院时的COHb为27.8%,却诊断为重度是由于患者在送急诊时已经撤离污染空气,而且是吸高浓度氧的状态,COHb已经部分解离。目前研究表明,急性一氧化碳中毒引起脑损伤为主的占80%左右,而心肌损害为主只有15%左右。心肌损害原因同样是缺氧所致。由于组织缺氧,心肌细胞内ATP严重耗竭,Na+-K+-ATP酶运转不灵,导致Na+蓄积于心肌细胞内,引起心肌细胞水肿,同时缺氧导致酸性代谢物质增加,使细胞通透性增加,细胞间质水肿,微循环障碍,引起心肌损害。由于心肌细胞受损,心肌标志物会升高,心电图会有ST-T改变或心律失常。但是没有动态演变,要同急性心肌梗死相鉴别。而且急性一氧化碳中毒的中重度会出现心肌损害,轻度一般不会出现,同时心肌损害程度与中毒程度成正比。
但是由于心肌损害诱发心力衰竭导致需要呼吸机辅助通气的病例比较少见,本患者主要原因是高龄、各脏器功能差,同时原有心力衰竭病史,心功能基础差,因此心肌损害加重原有心功能损害,导致患者出现顽固性心力衰竭。在心力衰竭基础上感染,再次加重心力衰竭,形成恶性循环,导致患者不能撤机。呼吸机待机时间长,诱发呼吸机相关性肺炎,感染进一步升级为泛耐药菌株与真菌感染,使临床治疗上难度加大。
【专家析评】
本患者的感染有几个阶段:
1.入院当时,意识障碍导致误吸诱发的炎症,此时细菌类型以革兰阴性杆菌与厌氧菌为主。给予第三代头孢菌素经验性治疗。
2.1周后,患者由于撤机困难反复出现心力衰竭,此时对于患者最佳方法是气管切开,加强护理,但是由于患者本身年龄大,家属不同意切开,故而感染出现反复,此时患者是呼吸机相关性肺炎(VAP),还是以革兰阴性杆菌为主,但是出现一定的耐药性,给予第四代头孢菌素。
3.VAP中期以鲍曼不动杆菌及铜绿假单胞菌为主,而且此时多为多重耐药,特别是碳青霉烯类耐药更多见,而头孢哌酮-舒巴坦钠敏感性要好些,特别是舒巴坦,故而此患者舒巴坦用量比较足,当然患者高龄,各个脏器均有不同程度的破坏,还要监测肾功能和肝功能及凝血机制。
4.VAP后期容易感染革兰阳性球菌,特别是MRSA、MRSE、MRSCN等,同时应用大量广谱抗生素,呼吸机长时间使用,患者脏器功能退化,低蛋白等,真菌会由定植转为主要致病菌,但是肾功能不全,建议最好应用口服伏立康唑。本例抗生素应用基本是明确的,也是有效的。
现阶段,抗生素有滥用的趋势,许多没有明确感染迹象的患者被应用了抗生素,使抗生素耐药率明显升高。因此抗生素的规范应用非常重要。抗生素的应用要强调有的放矢,和充分恰当的起始治疗。
参考文献
1.陈灏珠.实用内科学.第11版.北京:人民卫生出版社,2002:767.
2.庞继恩,高光凯,刘松,等.心脏肌钙蛋白I对急性CO中毒伴有心肌损伤诊断价值的探讨.中国现代医学杂志,2002,12(6):9.
3.马凡西.急性一氧化碳中毒心肌损害的探讨.实用医技杂志,2008,15(9):9343.
(环球医学编辑:余霞霞)
来源:《急诊临床病案评析:感染与心血管性疾病》
作者:陈旭岩 王仲
页码:329-333
出版:人民卫生出版社
- 评价此内容
- 我要打分
近期推荐
热门关键词
最新会议
- 2013循证医学和实效研究方法学研讨会
- 欧洲心脏病学会年会
- 世界帕金森病和相关疾病2013年会议
- 英国介入放射学学会2013年第25届年会
- 美国血液学会2013年年会
- 美国癫痫学会2013年第67届年会
- 肥胖学会 2013年年会
- 2013年第9届欧洲抗体会议
- 国际精神病学协会 2013年会议
- 妇科肿瘤2013年第18届大会
- 国际创伤压力研究学会2013年第29届…
- 2013年第4届亚太地区骨质疏松症会议
- 皮肤病协会国际2013年会议
- 世界糖尿病2013年大会
- 2013年国际成瘾性药年会
- 彭晓霞---诊断试验的Meta分析
- 武姗姗---累积Meta分析和TSA分析
- 孙凤---Network Meta分析
- 杨智荣---Cochrane综述实战经验分享
- 杨祖耀---疾病频率资料的Meta分析
合作伙伴
Copyright g-medon.com All Rights Reserved 环球医学资讯 未经授权请勿转载!
网络实名:环球医学:京ICP备08004413号-2
关于我们|
我们的服务|版权及责任声明|联系我们
互联网药品信息服务资格证书(京)-经营性-2017-0027
互联网医疗保健信息服务复核同意书 京卫计网审[2015]第0344号




会员登录

