老爷爷高血压合并急性心衰 如何在控制心衰的同时积极降压?
72岁男性,因血压升高20余年,活动后气促1年,加重2小时就诊。该患者呼吸困难的罪魁祸首是……
患者男性,72岁。因血压升高20余年,活动后气促1年,加重2小时就诊。患者20年前因“头晕”发现血压升高,最高200/100mmHg,后间断服用降压药(硝苯地平片及复方利血平氨苯蝶啶片),未正规监测血压及诊治。1年前开始出现活动后气促,并逐渐出现双下肢水肿,无胸闷胸痛,无心悸,至当地医院就诊,考虑诊断为心力衰竭,予以控制血压、心力衰竭的药物治疗后好转出院(具体不详)。出院后未继续服用住院期间药物,重新改为之前降压药物,仍有气促、头晕、间断下肢水肿等情况。3天前受凉后出现咳嗽、咳白色泡沫痰,自行服用感冒药治疗,症状好转不明显,活动耐量较前减退。2小时前患者因情绪激动而出现呼吸困难加重,不能平卧,无胸痛、心悸,急诊就诊。
患者自患病以来,饮食尚可,睡眠、精神欠佳,大小便无异常,体重无明显改变。
【既往史、个人史、家族史】
否认糖尿病病史,其余无特殊。无吸烟、饮酒史。母亲患有高血压病,父母均已过世。
【体格检查】
P 102次/min,BP 175/105mmHg,R 36次/min。端坐位,口唇略发绀,心律齐,心脏不大,A2增强,各瓣膜区未闻及明显杂音。双肺底可闻及细湿啰音,下肢轻度水肿。
【辅助检查】
血常规示:WBC 10.11×109/L,中性粒细胞百分比78%。尿常规、粪便常规及肝肾功能、血脂、电解质未见明显异常。
心电图(图1):窦性心动过速,左室高电压。
心肌标志物及BNP测定:肌红蛋白及肌酸激酶同工酶MB(CK-MB)未见升高,肌钙蛋白T 21.2ng/L,NT-pro BNP 5 462ng/L。血气示:pH 7.323,氧分压 58mmHg,二氧化碳分压 28mmHg,氧饱和度 89%,乳酸(Lac)2.3mmol/L。

图1 心电图示窦性心动过速,左室高电压
【初步诊断】
1. 急性左心衰竭。
2. Ⅰ型呼吸衰竭。
3. 肺部感染。
4. 高血压病3级、很高危。
【诊治经过】
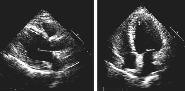
安置心电监护,给予吗啡3mg静推镇静,呋塞米20mg静推利尿,静脉泵入硝普钠控制血压,无创呼吸机辅助通气纠正低氧,给予哌拉西林舒巴坦(3g/次,1次/12h)抗感染治疗。多次复查心电图未见ST-T动态变化,心肌标志物未见明显升高。完善超声心动图(图2):LA 40mm,LV 55mm,IVS 12mm,LVPV 12mm,AAO 32mm,EF 50%;左心稍增大,左室轻度肥厚,左室收缩功能测值稍减低。

图2 超声心动图检查
病情稳定后,加用培哚普利8mg/d,琥珀酸美托洛尔缓释片47.5mg/d,呋塞米20mg/d,螺内酯20mg/d,控制血压于130/80mmHg以下,停用抗感染药物,好转出院。
患者在上级医院治疗稳定后,转至社区医院继续随访。监测血压、心率、体重,定期复查肝肾功能、血脂、电解质、心电图、超声心动图。继续目前药物治疗,控制血压130/80mmHg以下。
【修正诊断】
1. 急性左心衰竭。
2. Ⅰ型呼吸衰竭。
3. 肺部感染。
4. 高血压病3级、很高危。窦性心律,左室肥厚。
【讨论】
1.该患者呼吸困难的主要原因是什么
呼吸困难是指患者主观感到空气不足、呼吸费力,客观上表现为呼吸运动用力,严重时可出现张口呼吸、鼻翼扇动、端坐呼吸,甚至发绀、辅助呼吸肌参与呼吸运动,并且可有呼吸频率、深度、节律的改变。呼吸系统疾病和心血管系统疾病均可导致呼吸困难。该患者有20年高血压病史,长期血压控制欠佳,近1年出现活动耐量下降及间断双下肢水肿等心功能不全的表现,存在心脏基础疾病。近3天在感染及情绪激动等诱发因素的作用下,出现活动耐量下降及端坐呼吸,双肺底可闻及细湿啰音,BNP升高明显,考虑心源性呼吸困难。
2.患者超声心动图提示射血分数正常,是否可以诊断心力衰竭
心力衰竭是多种原因导致心脏结构和/或功能的异常改变,使心室收缩和/或舒张功能发生障碍,从而引起的一组复杂临床综合征,主要表现为呼吸困难、疲乏和液体潴留(肺淤血、体循环淤血及外周水肿)等。根据左心室射血分数(left ventricular ejection fraction,LVEF),心力衰竭分为射血分数降低的心力衰竭(heart failure with reduced ejection fraction,HFrEF,LVEF<40%)、射血分数保留的心力衰竭(heart failure with preserved ejection fraction,HFpEF,LVEF≥50%)及射血分数中间值的心力衰竭(heart failure with mid-range ejection fraction,HFmrEF,LVEF 40%~49%)。该患者存在心力衰竭的症状和体征,超声心动图示左室肥厚,EF 50%,合并BNP升高,并排除了其他引起症状的病因,可诊断射血分数保留的心力衰竭(HFpEF)。
3.该患者发作急性心力衰竭的诱发因素有哪些
有基础心脏病的患者,心力衰竭症状多由各种因素诱发。
(1)感染:
呼吸道等部位感染是心衰最常见、最重要的诱因。
(2)心律失常:
房颤是诱发心力衰竭最常见的心律失常,其他各型快速性心律失常和严重缓慢性心律失常也可诱发心力衰竭。
(3)血容量增加:
钠盐摄入过多,静脉液体输入过多及过快和妊娠等。
(4)情绪激动或过度体力消耗:
如暴怒和分娩等。
(5)治疗不当或原有心脏病加重:
停用降压药、利尿剂或风湿性心脏瓣膜病出现风湿活动。
肺部感染和情绪激动是该患者心力衰竭加重的诱发因素。
4.急性心力衰竭的治疗流程
(1)控制基础病因和矫治引起心力衰竭的诱因:应用静脉和/或口服降压药物控制高血压;选择有效抗菌药物控制感染;积极治疗各种影响血流动力学的快速性或缓慢性心律失常;应用硝酸酯类药物改善心肌缺血。糖尿病伴血糖升高者应有效控制血糖水平,又要防止低血糖。
(2)缓解各种严重症状
1)低氧血症和呼吸困难:给予吸氧。
2)胸痛和焦虑:应用吗啡。
3)呼吸道痉挛:应用支气管解痉药物。
4)瘀血症状:利尿剂有助于减轻肺瘀血和肺水肿,亦可缓解呼吸困难。
(3)稳定血流动力学状态,维持收缩压≥90mmHg:纠正和防止低血压可应用各种正性肌力药物和/或血管收缩药物。血压过高者的降压治疗可选择血管扩张药物。
(4)纠正水、电解质紊乱和维持酸碱平衡。
(5)保护重要脏器,如肺、肾、肝和大脑,防止功能损害。
(6)降低死亡风险,改善近期和远期预后。
5.高血压合并急性心力衰竭的血压管理及药物选择
临床特点是血压升高,以左心衰竭为主,发展迅速。需在控制心力衰竭的同时积极降压,主要静脉给予袢利尿剂和血管扩张药,包括硝酸甘油、硝普钠或乌拉地尔。在初始1小时内平均动脉压的降低幅度不超过治疗前水平的25%,2~6小时内降至160/100~110mmHg,24~48小时内使血压逐渐降至正常。
6.高血压合并HFpEF的血压管理
病因大多为高血压,在心力衰竭症状出现后仍可伴高血压。ACEI(不能耐受者可使用ARB)、β受体阻滞剂和醛固酮受体拮抗剂并不能降低此类患者的死亡率和改善预后,但用于降压治疗仍值得推荐,也是安全的。如仍未能控制高血压,推荐应用氨氯地平、非洛地平。不推荐应用α受体阻滞剂、中枢性降压药。有负性肌力效应的CCB如地尔硫和维拉帕米不能用于HFrEF,但对于HFpEF患者,仍可能是安全的。
【小结】
患者系72岁老年男性,起病急,病程长。血压升高20年,最高200/100mmHg,未规律治疗。1年前开始出现活动后气促,间断下肢水肿,未规律用药。3天前受凉后出现活动耐量减退,2小时前患者情绪激动后出现呼吸困难加重,不能平卧来院就诊。查体可见明显肺循环、体循环瘀血。心电图示左室高电压,未见ST-T动态变化。超声心动图示左室肥厚,未见EF降低。考虑为高血压心脏损害、射血分数保留的心力衰竭。此次心力衰竭急性发作考虑与感染及情绪激动相关。给予急诊救治后,需予以长期规范化药物治疗并控制其他危险因素,避免心脏损伤进一步加重及再次急性心力衰竭发作。
(魏欣 王斯)
参考文献
1. 中国高血压防治指南修订委员会, 高血压联盟 (中国), 中华医学会心血管病学分会中国医师协会高血压专业委员会, 等. 中国高血压防治指南 (2018年修订版)[J]. 中国心血管杂志, 2019, 24 (1): 24-56.
2. 中华医学会心血管病学分会心力衰竭学组, 中国医师协会心力衰竭专业委员会中华心血管病杂志编辑委员会. 中国心力衰竭诊断和治疗指南2018 [J]. 中华心血管病杂志, 2018, 46 (10): 760-789.
3. 中国医师协会急诊医师分会, 中国心胸血管麻醉学会急救与复苏分会. 中国急性心力衰竭急诊临床实践指南 (2017)[J]. 中华急诊医学杂志, 2017, 26 (12): 1347-1357.
(环球医学编辑:余霞霞)
来源:《社区高血压病例精粹》
作者:陈晓平
页码:11
出版:人民卫生出版社
- 评价此内容
- 我要打分
近期推荐
热门关键词
最新会议
- 2013循证医学和实效研究方法学研讨会
- 欧洲心脏病学会年会
- 世界帕金森病和相关疾病2013年会议
- 英国介入放射学学会2013年第25届年会
- 美国血液学会2013年年会
- 美国癫痫学会2013年第67届年会
- 肥胖学会 2013年年会
- 2013年第9届欧洲抗体会议
- 国际精神病学协会 2013年会议
- 妇科肿瘤2013年第18届大会
- 国际创伤压力研究学会2013年第29届…
- 2013年第4届亚太地区骨质疏松症会议
- 皮肤病协会国际2013年会议
- 世界糖尿病2013年大会
- 2013年国际成瘾性药年会
- 彭晓霞---诊断试验的Meta分析
- 武姗姗---累积Meta分析和TSA分析
- 孙凤---Network Meta分析
- 杨智荣---Cochrane综述实战经验分享
- 杨祖耀---疾病频率资料的Meta分析
合作伙伴
Copyright g-medon.com All Rights Reserved 环球医学资讯 未经授权请勿转载!
网络实名:环球医学:京ICP备08004413号-2
关于我们|
我们的服务|版权及责任声明|联系我们
互联网药品信息服务资格证书(京)-经营性-2017-0027
互联网医疗保健信息服务复核同意书 京卫计网审[2015]第0344号




会员登录

