宋兰:纵隔感染性疾病的放射影像学表现
纵隔感染是指发生于纵隔结缔组织或淋巴组织的弥漫性蜂窝组织炎性改变,可分为:急性纵隔炎、慢性纵隔炎及纵隔脓肿。临床上可出现发热、寒战、白细胞增高等严重中毒症状,甚至可发生休克,还可出现胸骨后胸痛、吞咽困难等症状;如累及喉返神经可出现声音嘶哑;如压迫上腔静脉可出现颜面水肿、颈静脉怒张等。
一、急性纵隔炎
多由链球菌和葡萄球菌感染所致。主要病因(约90%)为食管穿孔或破裂后感染,其他原因包括口咽部及颈深部化脓性感染下行进入纵隔,邻近组织如肺、胸膜、心包等化脓性感染直接蔓延,腹膜后感染向上扩散至纵隔,医源性损伤或并发症,其他部分感染血行扩散及胸部贯通伤等。食管穿孔引起的纵隔炎常并发胸腔积液,以左侧多见,并可迅速发展成脓胸。若同时有空气进入纵隔可并发纵隔气肿或脓气胸,气体还可沿疏松结缔组织形成皮下气肿。早期局限性病变可无任何X线检查表现,病变进一步发展,X线检查可表现为纵隔影增宽、边缘模糊,有时可见纵隔内气体影并蔓延至颈部;短期内X线检查动态复查可见病变变化较快;CT检查可清晰显示纵隔内软组织弥漫性浸润及纵隔内气体影,并可见纵隔内及胸膜下正常脂肪线影模糊或消失,提示炎性渗出;MRI检查炎性病变及渗出液在T1WI上呈低信号,T2WI上呈高信号,还可显示纵隔内血管受压、狭窄等改变。
二、慢性纵隔炎
少见,多由组织胞浆菌病、结核感染所致,也可由急性纵隔炎发展而成,常见于前纵隔,病理上主要表现为肉芽肿、纤维化或两者并存,可分为纤维性纵隔炎(硬化性纵隔炎)和肉芽肿性纵隔炎。影像学大多表现为纵隔内肿块影和周围组织如气管、食管和血管的包绕压迫性改变(图1)。

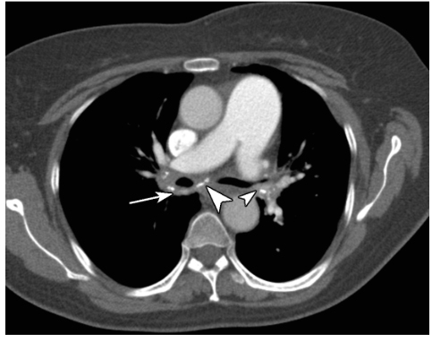
图1 慢性纵隔炎
患者,女,59岁,胸部CT增强扫描纵隔窗示纵隔隆突下及双肺门区多发软组织密度影(白箭),内伴多发斑点状钙化(白箭头),病变包绕双侧支气管及肺动脉;肺动脉主干增宽,提示肺动脉高压。
三、纵隔脓肿
纵隔脓肿是一种发展迅速的致死性疾病,病死率高达40%~50%。纵隔中上段脓肿形成主要是牙源性感染、咽旁隙及咽后隙感染下行或是上段食管损伤及中上纵隔感染本身引起;下纵隔脓肿形成主要源于下段食管损伤,常并发单侧或双侧胸腔感染。纵隔脓肿X线检查可表现为向一侧或双侧纵隔突出的阴影,若与气管或食管相通则可出现气-液平面;CT可清晰显示纵隔脓肿的部位、范围、脓肿壁、气-液平面及其与周围结构的关系,增强扫描可见脓肿壁强化(图2);MRI增强检查亦可见脓肿壁明显强化。

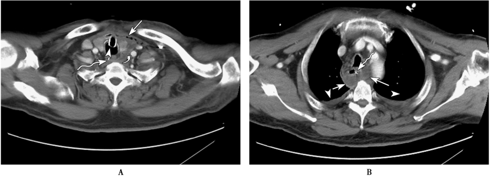
图2 纵隔脓肿
患者,男,58岁,发热1周。A.胸部CT增强扫描纵隔窗示甲状腺左叶左旁与左侧颈总动脉间(白弯箭)液性渗出影,纵隔内多发游离气体密度影(白箭),气管(白箭头)及食管内(波浪箭)分别见插管影;B.胸部CT增强扫描纵隔窗示食管左侧及后方(白箭)包裹性液性渗出影,囊壁轻度强化,食管内(波浪箭)见置管影,双侧胸腔内少量积液(白箭头)。
慢性纵隔炎有时需与纵隔肿瘤相鉴别,通常各纵隔区肿瘤各具其病理及形态学特点,而纵隔炎症范围较广泛并缺乏肿瘤特点。
知识来源
人卫知识数字服务体系
作者:宋兰,北京协和医院
专家简介
宋兰,北京协和医院放射科主任助理,副主任医师,北京医学会放射学分会心胸学组委员,中国医学影像技术研究会咨询工作委员会秘书。2005年7月毕业于中国协和医科大学临床医学八年制专业,获得博士学位,同年进入北京协和医院放射科工作。目前主要从事呼吸系统肿瘤、感染性疾病、肺栓塞、胸部疑难杂症和肺间质病变的影像诊断工作。
- 评价此内容
- 我要打分
近期推荐
热门关键词
最新会议
- 2013循证医学和实效研究方法学研讨会
- 欧洲心脏病学会年会
- 世界帕金森病和相关疾病2013年会议
- 英国介入放射学学会2013年第25届年会
- 美国血液学会2013年年会
- 美国癫痫学会2013年第67届年会
- 肥胖学会 2013年年会
- 2013年第9届欧洲抗体会议
- 国际精神病学协会 2013年会议
- 妇科肿瘤2013年第18届大会
- 国际创伤压力研究学会2013年第29届…
- 2013年第4届亚太地区骨质疏松症会议
- 皮肤病协会国际2013年会议
- 世界糖尿病2013年大会
- 2013年国际成瘾性药年会
- 彭晓霞---诊断试验的Meta分析
- 武姗姗---累积Meta分析和TSA分析
- 孙凤---Network Meta分析
- 杨智荣---Cochrane综述实战经验分享
- 杨祖耀---疾病频率资料的Meta分析
合作伙伴
Copyright g-medon.com All Rights Reserved 环球医学资讯 未经授权请勿转载!
网络实名:环球医学:京ICP备08004413号-2
关于我们|
我们的服务|版权及责任声明|联系我们
互联网药品信息服务资格证书(京)-经营性-2017-0027
互联网医疗保健信息服务复核同意书 京卫计网审[2015]第0344号




会员登录

