张波教授:呼吸系统重症感染的超声诊断
过去含气组织通常被认为不属于超声的检查范围,但近年来,肺的超声检查取得了很大进展,越来越多的超声医师及重症医师开始尝试运用超声来观察气胸、肺实变、肺不张等多种征象,取得了很好的临床效果。在呼吸系统感染的情况下,超声的作用也从过去仅仅用于了解可能伴随的胸腔积液发展到了对肺实质自身炎症情况的判断,尽管肺部超声的应用较其他脏器而言仍然在初级阶段,但是也已经日渐成为了肺部感染的诊断及随访观察中胸片及CT的重要补充手段。
一、肺部超声检查基础
1.探头的选择
综合肺组织距离体表的深度、肋间隙探查的方便程度,以及检查条件的易获得性,通常采用2~5MHz的用凸阵探头,这一用途广泛的探头在任何大型或便携超声仪器都会配置。当然在有条件的某些科室,如果能够配备5~11Hz的微凸探头也能更方便地进行肺超声检查。
2.检查条件设置的注意事项
(1)调节深度及聚焦按钮以确保感兴趣区在聚焦范围内。
(2)关掉谐波成像。因为超声对肺的观察大部分是基于超声经过含气肺组织时形成的伪像,而谐波会导致相应的伪像减弱或消除。
3.重要检查位点
肺脏的表面积很大,且有肋骨的遮挡,并不具备全方位探查的条件,但是考虑到重症肺部感染性疾病往往呈弥漫性的改变,病变波及范围通常较大,因此,急诊床旁肺超声方案(bedside lung ultrasound in emergency,BLUE)在急重症床旁超声的临床实践中得到了推广应用。为了检查的标准化及可重复性,可以按照BLUE方案中规定的BLUE点来放置超声探头,但是需要注意的是,在情况紧急、敷料或监护电极遮挡等情况下,也可以在邻近部位灵活放置探头,同样可以达到检查目的。
(1)前BLUE点的确定
前BLUE点包括上BLUE点和下BLUE点,以经右侧胸壁检查为例,双手平放胸前,上方(左)手的第五指紧靠患者锁骨,指缘在胸骨正中水平,下方(右)手的第五指大约在肺的下前缘(膈线),腕关节重叠于腋前线。此时,上BLUE点位于左手三、四指间,下BLUE点靠近男性成人乳头,大约位于右手掌中点(图1)。为了方便临床应用,简化的BLUE方案通常只纳入2个前BLUE点的检查。

图1 肺超声时BLUE点的确定
(2)膈肌点
探头放置于腋中线与膈肌线的交点。
(3)PLPAS点
通常称为后侧壁肺泡胸膜综合征(posterolateral alveolar and/or pleural syndrome,PLAPS)点,实际应用中可简单理解为腋后线和膈线水平的交点,是了解胸腔积液和肺实变的重要位置。
4.正常肺部超声表现
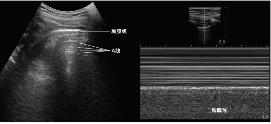
超声声束在正常含气肺组织表面发生强散射。肺部病变的情况下(肺组织的气液比例发生变化),会形成特征性的超声伪像,肺部超声正是主要基于这些在肺组织病理情况下对新出现的超声伪像进行诊断(图2)。

图2 正常肺组织超声
正常肺组织超声图像显示清晰的胸膜线、A线及胸膜滑动征,M型超声提示胸膜线以下区域呈均匀的“海岸征”
(1)胸膜线
正常情况下呈线状强回声,因为脏壁两层胸膜正常情况下紧邻,这条亮线反映的实际是胸壁软组织与肺组织之间的界面。
(2)A线
与胸膜线平行的数条高回声伪影,属于混响伪像。提示肺内含有气体。
(3)胸膜滑动征
脏壁两层胸膜在呼吸过程中相对移动,在M型超声上表现为“海岸征”。
二、肺炎的超声诊断
(一)肺炎的临床病理
肺炎的基本病理表现包括肺间质组织的水肿、渗出液充填肺泡、炎症透过脏层胸膜侵入胸膜腔导致胸腔积液,部分情况下由于渗出导致胸膜的炎性粘连。
(二)肺炎的超声诊断
1.肺炎的超声征象
(1)肺滑动消失
部分肺炎患者由于渗出导致炎性粘连,超声上表现为肺滑动的消失。该表现在弥漫性肺炎和ARDS中较常见。
(2)B征象
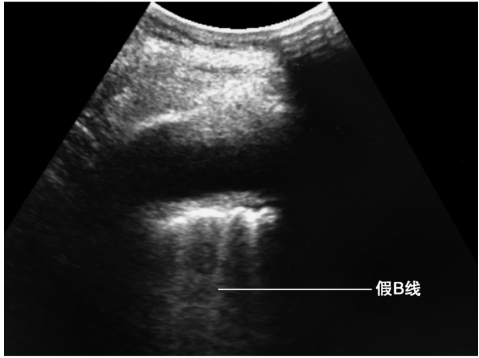
B线是起自胸膜线与之垂直地随肺滑动而运动的高回声亮线,伴有“彗星尾”征,反映了其周边肺组织内的特殊的“液-气混合状态”,同一切面出现3条以上B线提示肺间质综合征的存在(图3)。因为肺炎病灶在肺内往往并不呈对称分布,因此可以表现为肺叶之间或同一肺叶内部不同区域分别存在B征象和A线(即残留有正常肺组织的区域)。需要注意的是,当有胸腔积液时,类似的高回声亮线起自肺表面,该伪像称为假B线,并不能作为反映肺实变的可靠依据(图4)。

图3 B线

图4 假B线
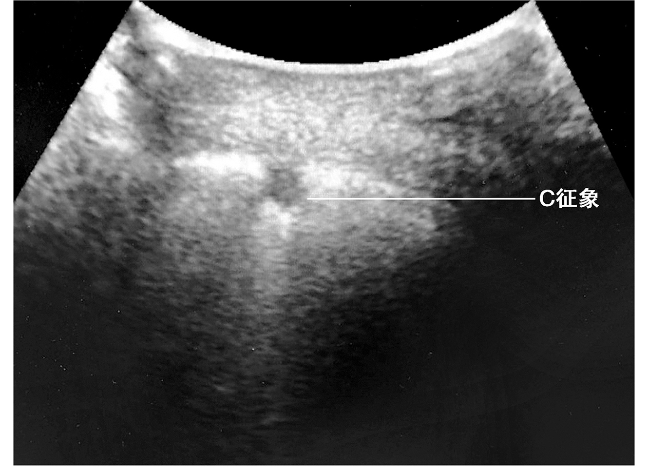
(3)C征象
提示前胸壁的局灶性肺实变(图5)。血行播散的重症肺炎往往可以见到弥漫分布的C线。

图5 C征象
肺炎患者,前胸壁出现的局灶性肺泡塌陷,肺表面的高回声亮线呈弧形凹陷,即C征象
(4)胸腔积液
肺炎时可发生渗出性的胸腔积液,如果胸腔积液量少,则超声有可能只在PLAPS点探查到液平面。而炎性渗出时间稍长则可以形成胸膜腔内的包裹性积液(图6)。

图6 肺炎患者的胸腔包裹性积液
肺炎患者的胸腔积液,可见胸膜腔内液性暗区内的中等回声分隔,是炎性渗出持续导致的胸膜粘连带
2.重症肺炎的超声鉴别诊断
通常情况下,肺炎和气胸、慢性阻塞性肺气肿或哮喘等呼吸系统疾病的临床表现有明显差异,不易混淆,但在急性重症呼吸困难时,借助简便的BLUE方案能更快速地判断呼吸困难的原因,诊断准确率可达90%以上(图7)。

图7 BLUE方案流程图用于肺炎的鉴别诊断
知识来源
人卫知识数字服务体系
作者:张波教授,北京协和医院
专家简介
张波,药剂科主任,主任药师,研究生导师。主要从事慢性病和感染性疾病的药物治疗、罕见病药学服务、药物不良反应及药物相互作用鉴别、药动学/药效学研究和药事管理等工作。
- 评价此内容
- 我要打分
近期推荐
热门关键词
最新会议
- 2013循证医学和实效研究方法学研讨会
- 欧洲心脏病学会年会
- 世界帕金森病和相关疾病2013年会议
- 英国介入放射学学会2013年第25届年会
- 美国血液学会2013年年会
- 美国癫痫学会2013年第67届年会
- 肥胖学会 2013年年会
- 2013年第9届欧洲抗体会议
- 国际精神病学协会 2013年会议
- 妇科肿瘤2013年第18届大会
- 国际创伤压力研究学会2013年第29届…
- 2013年第4届亚太地区骨质疏松症会议
- 皮肤病协会国际2013年会议
- 世界糖尿病2013年大会
- 2013年国际成瘾性药年会
- 彭晓霞---诊断试验的Meta分析
- 武姗姗---累积Meta分析和TSA分析
- 孙凤---Network Meta分析
- 杨智荣---Cochrane综述实战经验分享
- 杨祖耀---疾病频率资料的Meta分析
合作伙伴
Copyright g-medon.com All Rights Reserved 环球医学资讯 未经授权请勿转载!
网络实名:环球医学:京ICP备08004413号-2
关于我们|
我们的服务|版权及责任声明|联系我们
互联网药品信息服务资格证书(京)-经营性-2017-0027
互联网医疗保健信息服务复核同意书 京卫计网审[2015]第0344号




会员登录

