一例神经纤维瘤病1型合并GIST诊治经验分享
神经纤维瘤病1型(neurofibromatosis type 1,NF1),或者称为von recklinghausen病,是一种常染色体显性遗传疾病。这类疾病的患者体内容易生成各种类型的肿瘤,其中也包括胃肠间质瘤(gastrointestinal stromal tumor,GIST)。NF1的患者合并GIST主要发生在十二指肠、空肠和回肠,多原发、基因突变为c-KIT和PDGFRA野生型是其最为显著的特点。
【病例摘要】
患者,女性,51岁,于2018年1月因“体检发现胆囊结石半年余”就诊于浙江大学医学院附属邵逸夫医院。患者平素无腹痛、腹胀、呕血、黑便和体重下降。
既往史及家族史
既往体健,否认食物及药物过敏史;2016年8月因颈部神经鞘瘤在浙江大学医学院附属邵逸夫医院行手术切除,术后病理为:(左侧颈部)神经鞘瘤,免疫组织化学染色S-100(+),CD34(-)。家族中无类似病史。
体格检查
视诊腹部平坦,未见胃肠型及蠕动波;全腹部无压痛,无反跳痛,无肌紧张,触诊未触及肿块;叩诊无移动性浊音;听诊肠鸣音正常。
辅助检查
血常规、血生化、相关肿瘤标志物:未见明显异常。
大便常规:隐血+++↑。
肝胆B超:胆囊充满型结石,慢性胆囊炎。
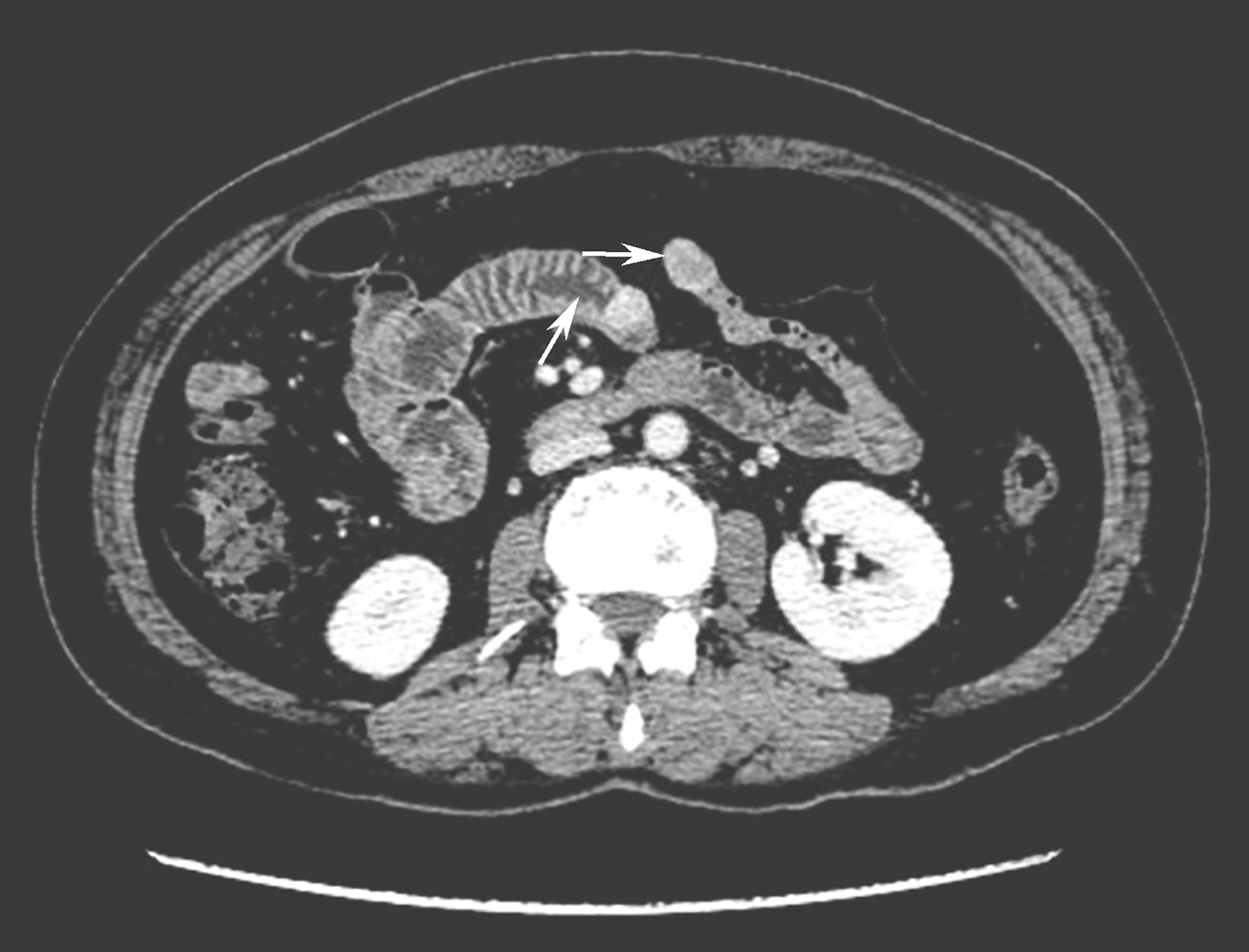
全腹部增强CT:①胆囊多发结石,胆囊炎;②小肠多发结节,富血供,需考虑胃肠间质瘤、神经鞘瘤或血管球瘤等可能;③降主动脉旁结节,考虑神经源性肿瘤;④双下腹壁皮下结节,请结合临床(图1)。
上腹部MRI平扫+磁共振胰胆管成像(magnetic resonance cholangiopancreatography,MRCP)(图2):①胆囊多发结石,胆囊炎;②腹膜后主动脉右旁结节占位,神经鞘瘤可能。

图1腹部CT提示小肠多发富血供结节
引自:胃肠间质瘤典型病例诊治与解析.第1版.ISBN:978-7-117-30146-6.主编:陶凯雄 曹 晖

图2MRCP提示主动脉右侧结节
A.T1;B.T2。
引自:胃肠间质瘤典型病例诊治与解析.第1版.ISBN:978-7-117-30146-6.主编:陶凯雄 曹 晖
腰椎MRI平扫(图3):①腰椎退行性改变,L3/L 4、L4/L5椎间盘变性膨出,L5/S1椎间盘变性突出,后方椎管变窄;②S1腰化可能,L5椎体局部黄髓化;③约T11~T12水平脊柱前缘占位,神经源性肿瘤首先考虑;④骶尾部后方肌肉信号影,请结合临床。
肠镜:所见回肠末段,结肠、直肠黏膜未见明显异常。
胃镜:慢性浅表-萎缩性胃炎,胃体胃角胃窦为主;十二指肠球部炎症。

图3腰椎MRI提示胸椎前方结节
引自:胃肠间质瘤典型病例诊治与解析.第1版.ISBN:978-7-117-30146-6.主编:陶凯雄 曹 晖
初步诊断
1.小肠多发肿物,GIST?
2.胆囊结石伴慢性胆囊炎
3.神经鞘瘤?
4.颈部神经鞘瘤术后
5.慢性浅表萎缩性胃炎
6.十二指肠球部炎症
【治疗过程】
(一)病例分析
患者为中年女性,既往有颈部神经鞘瘤病史。此次CT发现小肠多发富血供肿物。大便隐血+++。其他检查无明显异常。由于胃镜和肠镜排除了胃、十二指肠球部及降部、结直肠引起消化道出血的情况,故可能因小肠肿瘤引起。对于多原发的GIST的治疗,NCCN、ESMO和国内指南均未给出明确的答案。在经过科室内部讨论以及和家属深入交流后决定行手术探查。
(二)治疗方案
入院评估身体基本情况,明确无手术禁忌证后,患者接受了腹腔镜探查,胆囊切除术+多发小肠肿瘤切除术。术中见胆囊正常大小,壁略有增厚,与周围组织稍粘连。小肠浆膜面可见多发肿块,主要位于近段空肠,边界清楚。腹腔内腹膜、大网膜、盆腔和肝脏未见明显肿块。具体肿块位置为:距离屈氏韧带10cm(直径1.5cm)、20cm(直径0.4cm)、30cm(直径0.8cm)、110cm(直径0.6cm)、115cm(直径1.5cm)、170cm(直径 1.5cm)、180cm(直径0.5cm)、190cm(直径0.3cm)、200cm(直径0.4cm)。由于为多发肿块,所以术中采用小肠局部切除缝合,未采用小肠肠段切除,手术过程顺利。
(三)术后病理及基因检测
详细病理结果见图4。

图4术后病理检测详细结果
引自:胃肠间质瘤典型病例诊治与解析.第1版.ISBN:978-7-117-30146-6.主编:陶凯雄 曹 晖
基因检测:c-KIT野生型;PDGFRA野生型;BRAF野生型;SDHA野生型;SDHB野生型;SDHC野生型;SDHD 野生型;NF1(100%)外显子 18,c.2034G>A,p.P678P;NF1(47%)外显子 7,c.702G>A,p.L234L;NF1(41%),外显子 2,c.611G>C。
【预后】
患者术后7天顺利出院。患者术后未进行靶向药物治疗,定期随访。截至2018年9月,患者无明显不良反应,胸部CT和全腹部CT未见GIST复发迹象。
知识来源
人卫知识数字服务体系
- 评价此内容
- 我要打分
近期推荐
热门关键词
最新会议
- 2013循证医学和实效研究方法学研讨会
- 欧洲心脏病学会年会
- 世界帕金森病和相关疾病2013年会议
- 英国介入放射学学会2013年第25届年会
- 美国血液学会2013年年会
- 美国癫痫学会2013年第67届年会
- 肥胖学会 2013年年会
- 2013年第9届欧洲抗体会议
- 国际精神病学协会 2013年会议
- 妇科肿瘤2013年第18届大会
- 国际创伤压力研究学会2013年第29届…
- 2013年第4届亚太地区骨质疏松症会议
- 皮肤病协会国际2013年会议
- 世界糖尿病2013年大会
- 2013年国际成瘾性药年会
- 彭晓霞---诊断试验的Meta分析
- 武姗姗---累积Meta分析和TSA分析
- 孙凤---Network Meta分析
- 杨智荣---Cochrane综述实战经验分享
- 杨祖耀---疾病频率资料的Meta分析
合作伙伴
Copyright g-medon.com All Rights Reserved 环球医学资讯 未经授权请勿转载!
网络实名:环球医学:京ICP备08004413号-2
关于我们|
我们的服务|版权及责任声明|联系我们
互联网药品信息服务资格证书(京)-经营性-2017-0027
互联网医疗保健信息服务复核同意书 京卫计网审[2015]第0344号




会员登录

