一例伴发肾癌的GIST的诊治经验分享
胃肠间质瘤(gastrointestinal stromal tumor,GIST)作为消化系统中较常见的软组织来源肿瘤,其伴发其他恶性肿瘤的概率并不低,根据美国得克萨斯大学MD安德森肿瘤中心(The University of Texas MD Anderson Cancer Center)的大样本长期随访数据,20%左右的GIST患者在其病程中会合并其他肿瘤的发生。非家族性或综合征型GIST与其他恶性肿瘤同时存在的情况仍较为少见,需要在诊断和治疗中特别关注。肾癌是GIST伴发肿瘤中特殊的一类,近年来有研究证实两者的发病机制与治疗均有一定联系,故分享并讨论此特殊病例。
【病例摘要】
患者,女性,55岁,于当地医院行MRI检查提示:胃小弯侧后方团块状异常信号灶,考虑肿瘤性病变(胃肠间质瘤可能?);右肾实质内小团块状异常信号,考虑肿瘤性病变。为求进一步诊治,于2017年7月以“发现胃占位病变,肾占位病变6天”就诊于华中科技大学同济医学院附属协和医院。
既往史及家族史
既往2型糖尿病病史,口服药物控制,自述血糖控制尚可;否认药物过敏史;家族中无类似病史。
体格检查
生命体征平稳。腹部平坦,未见胃肠型及蠕动波。腹部无明显阳性体征。
辅助检查
血常规:白细胞 9.3×109/L,红细胞 4.20×1012/L,血红蛋白 127g/L,血小板 194×109/L。
血生化:总胆红素 13.4µmol/L,谷丙转氨酶 19U/L,谷草转氨酶 16U/L,总蛋白 64.4g/L,白蛋白 35.3g/L,肌酐 58.8µmol/L,尿素氮 6.39mmol/L,钠 141.0mmol/L,钾 4.11mmol/L,氯 106.4mmol/L,空腹血糖 7.91mmol/L↑。
肿瘤标志物:未见异常。
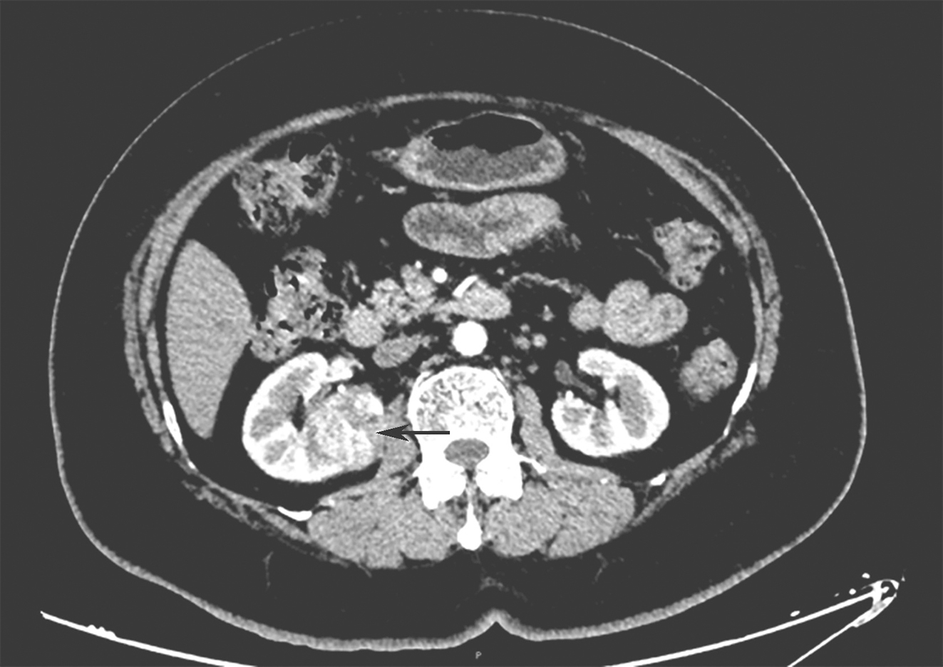
全腹、盆腔平扫加增强CT:①胃窦后上壁见类圆形肿块影:5.7cm×4.0cm×4.6cm,增强扫描渐进性强化,其内见低密度无强化影:胃肠间质瘤可能(图1)。②右肾中部3.4cm×3.7cm肿块影,增强扫描强化不均,延迟期强化程度减低,肾脏恶性肿瘤性病变可能(图2)。胰腺、脾脏、左肾及膀胱未见明显异常密度影,双侧附件区未见明显异常结节影(图 3)。

图1腹部增强CT示胃窦后壁类圆形肿块(冠状位)

图2腹部增强CT示右肾中部肿块(横断位)

图3腹部增强CT同时显示两处肿瘤
肾脏ECT:双肾血流灌注大致正常,肾小球滤过功能轻度降低,左、右肾GFR分别约为32.6ml/min和32.9ml/min。
超声胃镜:胃体小弯近胃窦见一半球状隆起,超声下病变处低回声,固有肌层起源,内可见无回声区,边界清楚,腔内外生长,切面大小4.9cm×3.8cm,弹性成像质地偏硬(图4)。腹部B超示:右肾见片状低回声影,边界欠清,直径2.2cm。

图4胃镜提示胃占位病变
A.胃占位位置;B.胃占位层次
初步诊断
1.胃占位病变:胃肠间质瘤?
2.右肾占位性病变
3.2型糖尿病
【治疗过程】
(一)病例分析
患者体检行MRI发现胃及右肾占位。入院后行腹部增强CT,考虑胃部病变为胃肠间质瘤,右肾占位性质待查。为进一步评价胃部占位病变的性质,再行超声胃镜,超声胃镜提示胃肠间质瘤可能性大。考虑GIST肿瘤的生物学特点与转移的常见部位,初步评估肾脏占位并非胃肠间质瘤的转移或浸润,肾脏原发肿瘤可能性大。请泌尿外科会诊,考虑肾脏病变近肾门,应行肾癌根治术,切除患侧肾脏。为保证术后患者生存质量,行肾脏ECT评价对侧肾脏功能。患者一般情况较好,ECOG评分0分,ASA分级2级,同时患者患糖尿病,分次手术不利于患者伤口愈合。综合考虑,拟同期行两处病变切除。
(二)治疗方案
于2017年7月行“腹腔镜下腹腔探查术+胃肿瘤切除术+右肾癌根治术”,腹腔镜术中所见:胃窦后壁可及一直径约5cm的肿物,右肾可及一直径3cm质硬肿物,邻近肾门。手术过程顺利。
(三)术后病理及基因检测
术后病理:
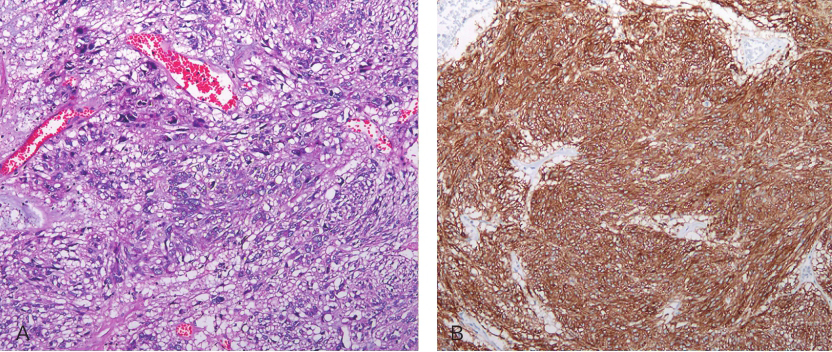
1.(胃)黏膜下胃肠间质瘤伴局灶坏死、囊性变;切缘未见肿瘤组织累及,肿瘤大小:7cm×6cm×4cm,核分裂象<5个/50HPF,改良NIH危险度分级:中危。
免疫组织化学染色:CD117(+),CD34(+),DOG-1(+),SMA(-),S-100(-),Ki-67(Li:约 3%)(图5)。
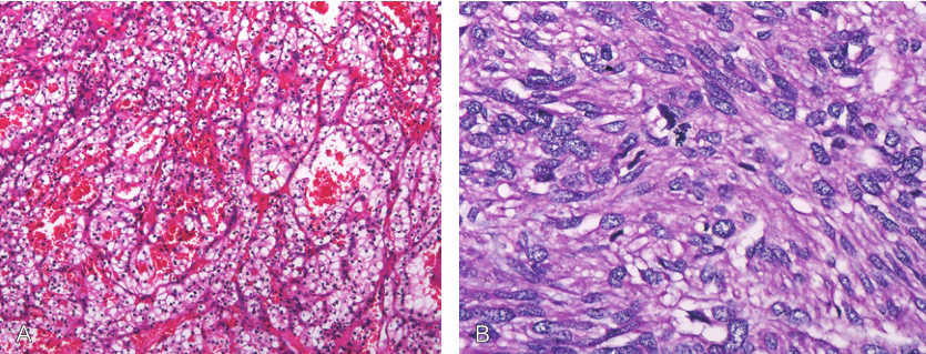
2.(右侧)透明细胞性肾细胞癌(核仁分级:2/4级),输尿管断端、肾门管腔、肾盂及肾周脂肪囊切片上未见癌组织累及(图6)。

图5GIST免疫组织化学染色
A.HE染色;B.CD117染色

图6肾透明细胞癌免疫组织化学染色
A.HE染色;B.核分裂象
【预后】
术后3天行肠内营养,7天拔除引流管,术后常规抗凝。12天患者恢复良好出院,术后根据《中国胃肠间质瘤诊断治疗共识(2017年版)》推荐患者行基因检测,因经济原因患者出院后未行靶向治疗。术后规律随访,复查影像学显示17个月患者无病生存。
知识来源
人卫知识数字服务体系
- 评价此内容
- 我要打分
近期推荐
热门关键词
最新会议
- 2013循证医学和实效研究方法学研讨会
- 欧洲心脏病学会年会
- 世界帕金森病和相关疾病2013年会议
- 英国介入放射学学会2013年第25届年会
- 美国血液学会2013年年会
- 美国癫痫学会2013年第67届年会
- 肥胖学会 2013年年会
- 2013年第9届欧洲抗体会议
- 国际精神病学协会 2013年会议
- 妇科肿瘤2013年第18届大会
- 国际创伤压力研究学会2013年第29届…
- 2013年第4届亚太地区骨质疏松症会议
- 皮肤病协会国际2013年会议
- 世界糖尿病2013年大会
- 2013年国际成瘾性药年会
- 彭晓霞---诊断试验的Meta分析
- 武姗姗---累积Meta分析和TSA分析
- 孙凤---Network Meta分析
- 杨智荣---Cochrane综述实战经验分享
- 杨祖耀---疾病频率资料的Meta分析
合作伙伴
Copyright g-medon.com All Rights Reserved 环球医学资讯 未经授权请勿转载!
网络实名:环球医学:京ICP备08004413号-2
关于我们|
我们的服务|版权及责任声明|联系我们
互联网药品信息服务资格证书(京)-经营性-2017-0027
互联网医疗保健信息服务复核同意书 京卫计网审[2015]第0344号




会员登录

