一例GIST辅助治疗期间发生疾病进展病例诊治经验分享
原发性胃肠间质瘤(gastrointestinal stromal tumor,GIST)经过外科根治性切除术后,病理学根据原发肿瘤大小、核分裂象多少、原发部位以及术前/术中有无破裂等因素,依据相应的标准进行术后复发风险的评估。《中国胃肠间质瘤诊断治疗共识(2017年版)》,对于复发风险高危或中危的原发性GIST患者,建议术后进行3年或1年的伊马替尼辅助治疗。一般认为,辅助治疗期间发生肿瘤复发转移的概率较低,大概在10%左右,所以对于辅助治疗期间复发的这一类病例更加值得研究和探讨。
【病例摘要】
患者,男性,60岁,于2017年4月因“反复上腹部隐痛半月余”就诊于当地医院。患者腹痛无明显诱因,持续5min左右可自行缓解。后病程中患者解黑便一次,为柏油样便,量约100ml。当地医院血常规提示“血红蛋白76g/L,白细胞计数和血小板计数正常”;腹部B超和腹部增强CT均提示“胰头区域病变,考虑胰腺或十二指肠来源可能性大,病灶部分组织与下腔静脉壁分界不清”。患者遂转来浙江大学医学院附属邵逸夫医院就诊。
既往史及家族史
既往有高血压病史,口服厄贝沙坦氢氯噻嗪和硝苯地平降压,血压控制良好。否认药物过敏史;父母已故,生前体健,家族中无类似病史。
体格检查
生命体征平稳,皮肤黏膜无黄染,睑结膜苍白。腹部平坦,未见胃肠型及蠕动波。上腹部轻度压痛,未触及包块,无反跳痛,无肌紧张;肠鸣音正常。
辅助检查
血常规:白细胞7.4×109/L,红细胞3.23×1012/L↓,血红蛋白78g/L↓,血小板176×109/L,中性粒细胞百分比71.4%,淋巴细胞百分比22.8%。
血生化:未见异常。
肿瘤标志物:AFP 2.99µg/L,CEA 3.52µg/L,CA125 16.39U/ml,CA19-9 13.08IU/ml。
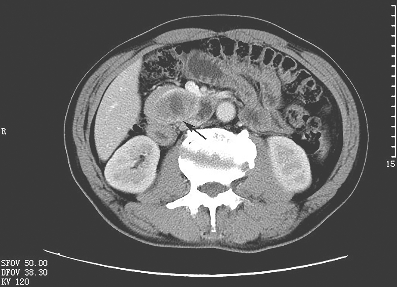
上腹部增强CT(图1):胰腺钩突部软组织肿块,约4.2cm×4.6cm,内见低密度无强化区,余实性部分欠均匀明显强化,压迫十二指肠水平段。肝右叶钙化结节,约1.3cm×0.8cm,另肝脏多发小囊性病灶。胆管未见扩张,胆囊不大,壁不厚,内未见明显异常密度。脾大小正常,密度均匀。双肾囊性病灶,肾上腺未见异常。后腹膜主动脉旁未见肿大淋巴结。影像诊断:①胰腺钩突部肿块,恶性首先考虑;②肝右叶钙化结节,肝脏、双肾多发小囊肿。

图1腹部CT扫描提示十二指肠降部和胰腺钩突部之间肿物
初步诊断
1.腹腔肿物:胰腺肿瘤?十二指肠GIST?
2.肝脏多发性囊肿;肝脏钙化灶
3.双肾多发性囊肿
4.中度贫血
5.高血压
【治疗过程】
(一)病例分析
患者为男性,以“腹痛和消化道出血”就诊。目前诊断考虑:上腹部肿物,位于十二指肠降部、水平部和胰腺钩突之间。由于此处十二指肠和胰腺血供来源相同,故无法通过血供来源判断肿瘤。患者一般情况良好,原发肿瘤评估可切除,应行外科手术治疗。从手术方式考虑,肿瘤距离十二指肠乳头很近(小于3cm),与胰腺头部、钩突部关系密切,甚至胰腺来源可能性更大,决定行“腹腔镜辅助胰十二指肠切除术”。
(二)治疗方案
于2017年4月11日行“腹腔镜辅助胰十二指肠切除术”,术中所见:“腹腔内无腹水,腹膜、小肠系膜、大网膜及肝脏表面未见明确转移结节。肿瘤位于胰腺钩突部,向外向下压迫十二指肠,内侧压迫肠系膜上静脉和门静脉。胆总管、胰管不扩张”。手术在腹腔镜下完成切除后,行辅助切口进行消化道重建(胰胃吻合、胆肠吻合、胃肠吻合)。术后恢复基本顺利,未出现2级以上术后并发症,术后19天出院。
(三)术后病理及基因检测
标本大小:胃段长5.5cm,小肠长24.5cm,胰腺大小9.2cm×7.5cm×3.5cm,胆管长约3.7cm;
肿瘤部位:距下切缘9.5cm处;
肿瘤大小:5.1cm×4.4cm;
组织学类型:胃肠间质瘤,高危(改良NIH危险度分级),核分裂象2~4个/50HPF(两次复核);
切缘:上下切缘、胰腺切缘及胆总管切缘均阴性;
淋巴结:胃旁(0/1)、胰腺旁(0/6)及十二指肠旁(0/2)(共计9枚淋巴结)均未见肿瘤转移;
免疫组织化学染色:CD117(+),CD34(+),DOG-1(+),SMA(-),S-100(-),desmin(-),Ki-67(Li>20%)
基因检测:c-KIT基因外显子9发现插入性突变,11、13、17以及PDGFRA基因外显子12、18均未发现已知突变。
【预后】
患者术后1个月后开始接受伊马替尼辅助治疗,400mg/d,同时行基线CT扫描。随访计划为术后每3~6个月一次。患者服药期间,出现1级颜面部水肿,1级腹泻,未发现其他副作用。
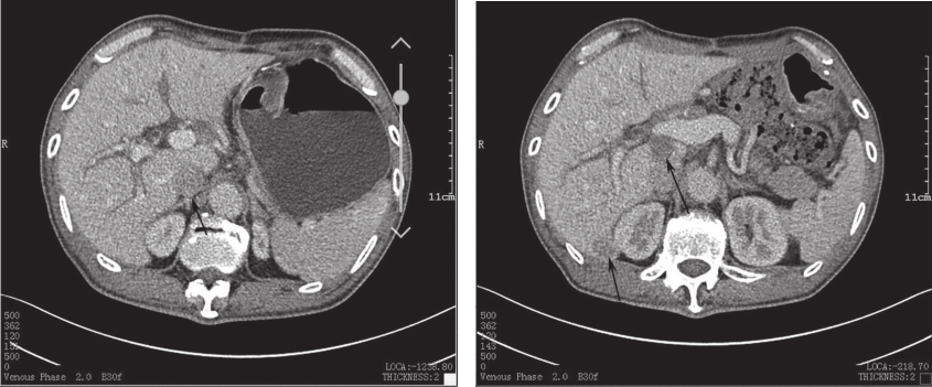
除基线CT外,患者至2018年10月共进行了3次全腹部增强CT扫描,分别在术后6个月、术后12个月和术后18个月。患者术后第18个月CT(图2)扫描复查发现“肝脏Ⅵ段和尾状叶新发结节,直径为1.9cm和2.5cm,考虑转移,余腹腔情况大致同前”,考虑十二指肠GIST术后辅助治疗期间复发,无复发生存时间为18个月。经过权衡,患者后续治疗选择伊马替尼加量至600mg/d,效果在评估中。

图2患者术后12个月和18个月的CT对比图
知识来源
人卫知识数字服务体系
- 评价此内容
- 我要打分
近期推荐
热门关键词
最新会议
- 2013循证医学和实效研究方法学研讨会
- 欧洲心脏病学会年会
- 世界帕金森病和相关疾病2013年会议
- 英国介入放射学学会2013年第25届年会
- 美国血液学会2013年年会
- 美国癫痫学会2013年第67届年会
- 肥胖学会 2013年年会
- 2013年第9届欧洲抗体会议
- 国际精神病学协会 2013年会议
- 妇科肿瘤2013年第18届大会
- 国际创伤压力研究学会2013年第29届…
- 2013年第4届亚太地区骨质疏松症会议
- 皮肤病协会国际2013年会议
- 世界糖尿病2013年大会
- 2013年国际成瘾性药年会
- 彭晓霞---诊断试验的Meta分析
- 武姗姗---累积Meta分析和TSA分析
- 孙凤---Network Meta分析
- 杨智荣---Cochrane综述实战经验分享
- 杨祖耀---疾病频率资料的Meta分析
合作伙伴
Copyright g-medon.com All Rights Reserved 环球医学资讯 未经授权请勿转载!
网络实名:环球医学:京ICP备08004413号-2
关于我们|
我们的服务|版权及责任声明|联系我们
互联网药品信息服务资格证书(京)-经营性-2017-0027
互联网医疗保健信息服务复核同意书 京卫计网审[2015]第0344号




会员登录

