一例D842V突变型胃肠间质瘤的诊治经验分享
PDGFRA基因位于人类第4号染色体上,属于Ⅲ型酪氨酸激酶受体家族。D842V突变是PDGFRA基因编码活化环结构域的第18号外显子(Exon18)上的一种点突变,会导致PDGFRA结构异常,进而致使其下游信号通路的传导出现异常,最终导致GIST的发生。D842V突变是PDGFRA基因最常见的一种突变形式,约占所有胃肠间质瘤(GIST)患者的6%。与其他突变类型相比,D842V突变的GIST患者在疾病的发生发展和治疗过程中有其独特之处,需要引起临床医师的着重关注。
【病例摘要】
患者,男性,55岁,2018年7月11日无明显诱因出现中腹部剧烈刀割样疼痛,伴有坠胀感,遂就诊于当地医院。当地医院行腹部超声检查,提示:中上腹腔巨大团块影。患者为求进一步治疗,于7月12日就诊于我院胃肠外科,门诊以“腹部包块待查”收治入院。
既往史及家族史
既往高血压病史10余年,最高血压约为170/90mmHg,使用药物控制良好,其余系统无特殊。30年前因扁桃体炎行扁桃体切除术。无输血史,否认食物药物过敏。父母已逝,家族中无类似病史。
体格检查
患者呈急性面容,皮肤黏膜苍白,未见黄疸,浅表淋巴结未触及肿大,双下肢不肿。腹部饱满,可见手术瘢痕,无静脉曲张,未见胃肠型及蠕动波;腹部稍硬,有压痛但无反跳痛,中上腹可触及一形状不规则的较大肿物,质地稍硬,大小不易估计,活动性差;肝脾肋下未触及;Murphy征(-),移动性浊音(-);肠鸣音约6次 /min。
辅助检查
血常规:白细胞 11.87×109/L↑,红细胞 4.42×1012/L,血红蛋白 151g/L,血小板220×109/L,中性粒细胞百分比 71.60%,淋巴细胞百分比 19.40%。
血生化:空腹血糖6.91mmol/L↑,总蛋白及白蛋白水平正常,肝肾功能及电解质未见异常。
超敏C反应蛋白:29.54mg/L↑。
肿瘤标志物:糖类抗原72-4 9.93U/ml↑,余未见异常。
凝血功能:未见异常。
腹主动脉CTA:①腹主动脉轻度粥样硬化表现;腹主动脉主干可见钙化及非钙化斑块,管腔轻度狭窄;主要分支(腹腔干、肠系膜上动脉及肾动脉)未见明显狭窄或局限性扩张。②胃体大弯侧可见不均质肿块,大小约12.4cm×5.9cm×16.4cm,与胃体分界不清;胃左、胃右及胃网膜右动脉似发出分支供血上述肿块,动脉期肿块内可见迂曲增粗血管显影,并与胃右静脉相连通,胃右静脉增粗,门静脉部分早期显像,提示动静脉瘘。
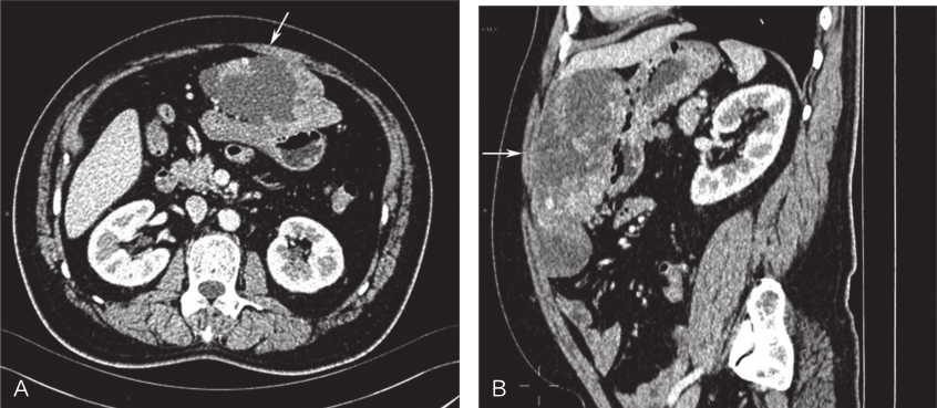
全腹部及盆腔增强CT:①中上腹腔见一大小约12.4cm×5.9cm×16.4cm不规则软组织肿块影,增强扫描呈明显不均匀强化,胃左、胃右动脉及胃网膜右动脉似发出分支供血上述肿块,动脉期肿块内可见迂曲增粗血管显影,并与胃右动脉相连通,胃右静脉增粗,门静脉部分早期显像,提示动静脉瘘,肿块局部与胃大弯侧胃壁及邻近肠管分界欠清,其周围脂肪间隙清晰,未见明显肿大淋巴结,上述多考虑为肿瘤性病变:胃肠间质瘤?②肝脏、胆囊、脾脏、胰腺及双肾未见明显异常密度影;③乙状结肠冗长;④膀胱充盈良好,壁尚光滑;⑤腹腔及腹膜后未见明显肿大淋巴结(图1)。

图1术前全腹部及盆腔增强CT
A.横断位;B.矢状位
电子胃镜:胃底部散在糜烂,胃窦部可见多发糜烂,余未见明显异常(图2)。
电子结肠镜:未见明显异常。
初步诊断
1.腹部包块:(胃)胃肠间质瘤?
2.高血压病2级 很高危
3.腹主动脉轻度粥样硬化
4.浅表糜烂性胃炎

图2电子胃镜检查
【治疗过程】
(一)病例分析
患者为中年男性,以急性刀割样腹痛起病,既往有10余年的高血压病史,需要警惕腹主动脉瘤,入院后遂急诊行腹部CTA检查,排除了腹主动脉瘤破裂可能。腹部增强CT提示患者中上腹腔有一大小约12.4cm×5.9cm×16.4cm肿物,与胃关系密切,考虑为(胃)胃肠间质瘤。行电子胃镜检查,提示患者胃腔内仅有部分糜烂。建议患者取活检以明确病变性质,患者拒绝。
该肿块位于胃大弯侧,虽体积较大,但并未侵及周围脏器,经评估后预计可获得完整切除,切除后造成严重并发症的风险也较低,遂决定行手术切除。由于患者为“熊猫血”,血型比较少见,应当在做好充分准备后尽早手术,避免肿瘤破裂造成出血和播散。手术切除肿瘤后,再根据病理检查结果及基因检测结果指导术后辅助靶向治疗。
(二)治疗方案
进行充分的术前准备后,于2018年7月20日行剖腹探查,术中发现腹腔内粘连严重,上腹部可见一大小约16cm×18cm的囊实性肿物,形状不规则,与胃窦大弯侧及大网膜关系密切,但未侵犯其他脏器。在松解腹腔内粘连,充分暴露肿块后,行胃部分切除术,完整切除肿块。术中出血约50ml,手术过程顺利(图3)。

图3大体标本
A.大体图;B.剖开图
(三)术后病理及基因检测
术后病理:(胃)胃肠间质瘤伴囊性变。细胞形态为上皮样细胞-梭形细胞混合型。肿瘤最大径19cm,核分裂象0~1个/50HPF,改良NIH危险度分级:高危。手术切缘未见肿瘤细胞累及。
免疫组织化学染色:CD117(-),CD34(+),DOG-1(+),SMA(-),S-100(-),SDHB(+),Ki-67(Li<2%)。
基因检测:PDGFRA基因外显子18发生突变,突变类型为c.2525A>T(p.D842V)(图 4)。

图4基因检测
【预后】
患者术后恢复顺利,于术后第10天出院。出院后即开始使用达沙替尼50mg/d至今。期间出现轻度眶周水肿等不良反应,患者可耐受。截至2019年4月,随访9个月,患者未出现肿瘤复发及转移迹象(图5)。

图5术后复查CT未见肿瘤复发及转移
A.横断位;B.冠状位
【经验与体会】
在GIST患者中,约有5%~15%伴有PDGFRA基因突变,而D842V突变是PDGFRA基因最常见的一种突变形式。大部分D842V突变的患者在分子表型上也表现为CD117阳性,但少部分表现为CD117弱阳性、部分阳性或阴性。2018版《ESMO/EURACAN临床实践指南》及《中国胃肠间质瘤诊断治疗共识(2017年版)》均指出,对于 CD117(-)、DOG-1(+)的患者,建议行KIT/PDGFRA基因突变检测以明确诊断。本例患者术后病理免疫组织化学染色示CD117(-)、DOG-1(+),为进一步明确诊断并指导术后靶向治疗,遂建议患者基因检测。最终证实其为PDGFRA基因18外显子的D842V突变。
D842V突变引起酪氨酸激酶受体的活化环结构改变,使得伊马替尼无法结合到酪氨酸激酶上,不能抑制其活性,因此这一类患者对于伊马替尼原发耐药。国内外指南均指出,对于D842V突变的患者,不建议术后使用伊马替尼辅助治疗。但是仍有一些研究报道,伊马替尼对于部分D842V突变的患者是有一定效果的。
Sheima Farag等认为GIST并非单克隆的肿瘤,D842V突变的患者也可能携带有PDGFRA基因的其他突变形式,如D842Y、D842删失突变等,这些突变对于伊马替尼是敏感的。因此,他们主张对于晚期的D842V突变的GIST患者,在缺乏有效治疗措施的时候,可以尝试使用伊马替尼等TKI药物进行治疗。
达沙替尼是第二代的酪氨酸激酶抑制剂,可有效抑制编码酪氨酸激酶的BCR-ABL和SRC基因家族,并且对c-KIT和PDGFRA基因也具有一定的抑制作用。有研究表明,达沙替尼用于伊马替尼和舒尼替尼治疗失败的GIST病例,6个月的无复发生存率为21%,证实其对部分伊马替尼耐药的患者是有效的。病例1中患者出院后即开始服用达沙替尼治疗,治疗效果目前仍在进一步观察当中。舒尼替尼系多靶点药物,在作用机制上不仅能够通过抗血管形成发挥间接抗肿瘤作用,还可以直接抑制肿瘤细胞增殖,广泛应用于多种实体瘤。病例2患者临床获益与文献报道不符,可能与舒尼替尼的直接抑制肿瘤细胞增殖作用,或抗血管生成治疗后肿瘤微环境的免疫表型转化有关。
值得注意的是,近年来,针对D842V突变的靶向药物的研究取得了较大进展。ripretinib(DCC-2618)是一种新型的广谱KIT/PDGFRA抑制剂,研究表明,ripretinib血药浓度≥100mg/dl时,对于多线治疗耐药的GIST患者有效,并且患者具有良好的耐受性。avapritinib是D842V突变GIST药物治疗领域的另一关注焦点,作为一种广谱KIT/PDGFRA的抑制剂,avapritinib的作用靶点是上述基因的激酶活化环区域。Ⅰ期试验结果显示,avapritinib用于治疗15例PDGFRA突变患者和13例c-KIT突变GIST患者,分别有14例和5例出现了影像学可评估的病灶缩小,并且患者表现出较好的耐受性。提示avapritinib可能对PDGFRA突变患者有卓越的疗效,预示着其良好的应用前景。
【专家点评】
D842V突变是PDGFRA基因最常见的一种突变形式,约占到所有PDGFRA基因突变的60%。与KIT基因突变的GIST患者不同,D842V突变型GIST几乎只发生于胃,肿瘤细胞通常表现为上皮样形态,核分裂象常较少。而且,原发性D842V突变患者对TKI类药物耐药,就使得这一部分患者并不能从伊马替尼等靶向治疗中获益。D842V突变患者耐药性的深入分子机制目前尚不十分明确。目前D842V突变的GIST患者的首选治疗策略仍是手术完整切除,不建议术后给予伊马替尼辅助治疗。新型KIT/PDGFRA抑制剂avapritinib 在PDGFRA基因D842V突变的晚期GIST治疗中取得了卓越疗效,有望成为治疗D842V突变型GIST的一线药物。此外,备受关注的VOYAGER研究初步显示在avapritinib对比瑞戈非尼三线或四线治疗转移性GIST,avapritinib组未能达到优效的PFS(中位PFS 4.2 vs 5.6个月),但获得了更高的客观缓解率(17% vs 7%)。进一步的数据需要等待后续的发布。
知识来源
人卫知识数字服务体系
- 评价此内容
- 我要打分
近期推荐
热门关键词
最新会议
- 2013循证医学和实效研究方法学研讨会
- 欧洲心脏病学会年会
- 世界帕金森病和相关疾病2013年会议
- 英国介入放射学学会2013年第25届年会
- 美国血液学会2013年年会
- 美国癫痫学会2013年第67届年会
- 肥胖学会 2013年年会
- 2013年第9届欧洲抗体会议
- 国际精神病学协会 2013年会议
- 妇科肿瘤2013年第18届大会
- 国际创伤压力研究学会2013年第29届…
- 2013年第4届亚太地区骨质疏松症会议
- 皮肤病协会国际2013年会议
- 世界糖尿病2013年大会
- 2013年国际成瘾性药年会
- 彭晓霞---诊断试验的Meta分析
- 武姗姗---累积Meta分析和TSA分析
- 孙凤---Network Meta分析
- 杨智荣---Cochrane综述实战经验分享
- 杨祖耀---疾病频率资料的Meta分析
合作伙伴
Copyright g-medon.com All Rights Reserved 环球医学资讯 未经授权请勿转载!
网络实名:环球医学:京ICP备08004413号-2
关于我们|
我们的服务|版权及责任声明|联系我们
互联网药品信息服务资格证书(京)-经营性-2017-0027
互联网医疗保健信息服务复核同意书 京卫计网审[2015]第0344号




会员登录

