姜玉新、夏宇:甲状腺疾病的影像学诊断——超声
一、超声简介
超声是甲状腺疾病最常用的、首选的影像学检查方法,具有便捷、实时、无辐射等特点,在浅表器官中分辨力很高,可测量甲状腺大小,显示其形态是否规则,包膜是否完整,结构是否均匀,内部有无结节以及结节的数量、部位、大小、形态、物理性质等,彩色多普勒血流显像还可显示其血供情况以推断其功能状态。通过定期复查以观察病灶的动态变化,对生长过速或有恶性倾向的病灶可引导穿刺活检,以了解其良恶性质。此外,对于甲状腺周边的组织结构、包括颈部淋巴结、肌肉、血管等,超声也能够清晰显示。因此,近年来超声在甲状腺成像中得到广泛认可,超声引导下介入也发展迅速。超声的不足之处在于操作者依赖性很强、受骨骼及气体影响有时显示病变困难。
二、正常甲状腺超声表现
甲状腺位于下颈部,位置浅表,表面被覆中高回声皮肤与低回声肌肉。超声横切面时,甲状腺腺体呈蝶形双叶中等回声结构,左右叶对称,包膜完整,峡部多连接于左右叶腺体下三分之一;纵切面扫查时,左右侧叶呈锥体状结构。甲状腺腺体实质呈均匀中等回声,峡部后方为气管,呈弧形强回声,气管后方为颈椎椎体。判断甲状腺实质的回声水平时,主要以胸锁乳突肌为参照物,正常腺体回声高于肌肉回声,呈均匀细密点状;判断甲状腺结节的回声时,应与正常部分的甲状腺实质回声比较。正常甲状腺腺体内的彩色多普勒血流信号呈散在点状分布,上下极可见较大的动静脉。甲状腺后方外侧为颈总动脉和颈内静脉,左叶腺体后方、气管旁常可显示食管。
三、异常甲状腺超声表现
(一)甲状腺增大
正常甲状腺侧叶上下径4~6cm,前后径1.5~2cm,左右径2.0~2.5cm,峡部前后径多小于0.3cm,上下径变异较大,前后径变异较小。超声多以前后径作为判断甲状腺是否肿大的重要指标,前后径大于2cm为可疑甲状腺肿大,大于2.5cm则明确为甲状腺肿大。
(二)甲状腺未发育、甲状腺发育不良、甲状腺异位
超声可以观察甲状腺体积有无减小以及腺体轮廓是否对称,但超声诊断甲状腺异位难度较大,甲状腺异位通常由核医学显像发现。
(三)甲状舌管囊肿
甲状舌管囊肿偶然发现时均需进行超声评价,甲状舌管囊肿超声常表现为内部有散在点状回声的囊性结构,很少为单纯性囊肿,点状低回声多为上皮细胞分泌的蛋白样物质(图1)。甲状舌管囊肿继发感染或出血时内部回声可以更加复杂,囊壁可以增厚,可以出现内部分隔。如果囊内出现有血供的实性回声,应考虑实性成分为异位腺体或甲状舌管肿瘤可能。

图1颈部正中纵切面:甲状腺峡部上方无回声(箭头所示),内部回声复杂,可见散在点状及絮状回声
(四)桥本甲状腺炎
桥本甲状腺炎超声表现为甲状腺弥漫性增大,以前后径改变最为明显,峡部明显增厚。腺体包膜清晰完整,回声弥漫性不均减低(图2)。腺体内可见多个由淋巴组织、残余滤泡和上皮组织形成的无占位效应的低回声小结节。腺体广泛纤维化后体积可缩小。甲状腺下极附近淋巴结增大对于诊断有参考价值。

图2颈部正中横切面:甲状腺腺体回声不均匀,峡部增厚,可见多个无占位效应的低回声小结节(箭头所示),T:气管
(五)Graves病
甲状腺呈弥漫性、对称性增大,包膜规则。腺体回声因病程和治疗情况而有所不同。未经治疗者,腺体回声均匀减低,少数呈散在、局灶性减低;病程长及反复发作者,腺体回声正常或稍强。腺体内可见多个管状无回声区(血管扩张)。彩色多普勒显示甲状腺内血流信号极为丰富,呈“火海征”(图3)。频谱多普勒可见甲状腺上、下动脉血流速加快,收缩期峰值流速多超过70cm/s(正常为30cm/s)(图4)。

图3右侧颈部纵切面:甲状腺右叶腺体血流信号丰富,呈“火海征”

图4与图3同一患者,右侧甲状腺上动脉收缩期峰值流速高达140cm/s
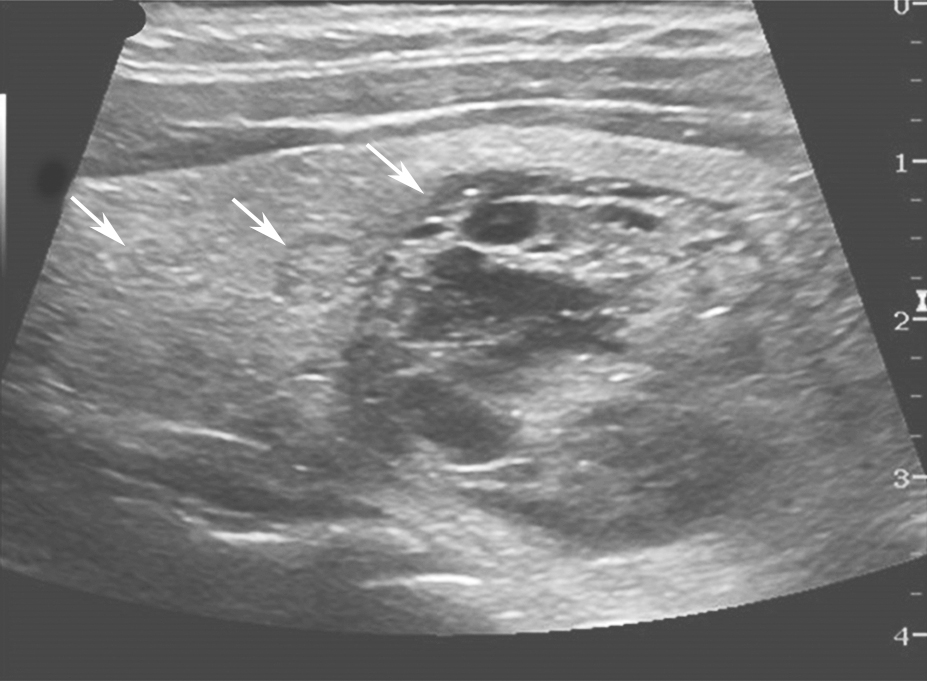
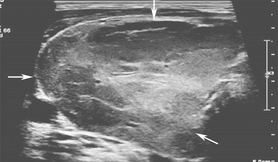
(六)亚急性甲状腺性炎
亚急性甲状腺炎超声表现为腺体内片状低回声,边界模糊,内可有散在的稍强点状回声,探头挤压时有压痛(图5)。低回声以外腺体彩色多普勒血流信号基本正常,低回声内部血流信号轻度增加或无明显增加,周边无明显血管绕行,部分低回声内部可显示正常甲状腺血管穿行。患者可伴有颈淋巴结增大。

图5颈部正中偏右侧横切面:甲状腺右叶饱满,可见片状低回声,边界模糊(箭头所示)R-CCA:右侧颈总动脉,T:气管
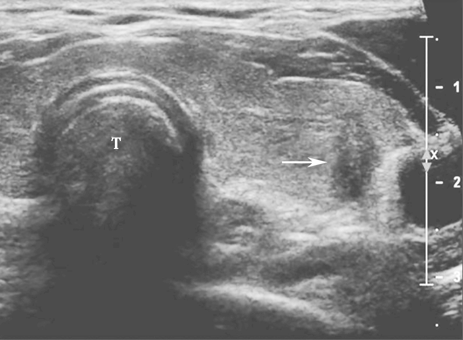
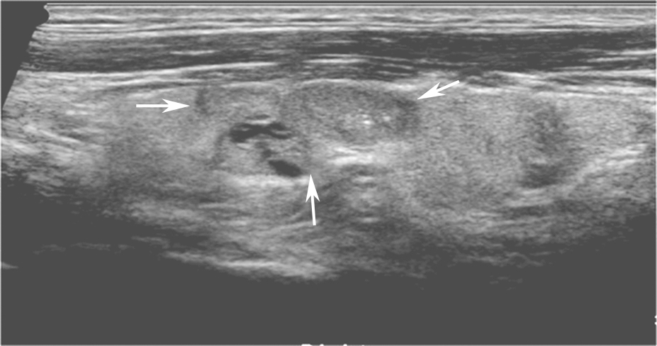
(七)结节性甲状腺肿
结节性甲状腺肿可见纤维化表现,部分可发生钙盐沉积形成粗大钙化。超声上腺体正常大小或不对称性增大,表面不平整。腺体内见单个或多个回声不一结节,内可有囊性变及纤维带样回声,可伴有形态不等粗大强回声钙化。结节内血供状态不等,有的内部血流丰富,甚至呈彩球状;有的以囊性变、坏死等退化表现为主,内部没有或仅有少许血流信号(图6)。

图6右侧颈部纵切面:甲状腺右叶腺体内可见多个大小不等、回声不一结节(箭头所示),最大者内可见囊性成分
(八)甲状腺腺瘤
甲状腺腺瘤超声上表现为圆形或椭圆形中等回声或低回声,多伴薄声晕,肿物长轴常与腺体的长轴平行,较大者易合并囊性变、出血或坏死,内可有不规则无回声区、钙化灶或浓缩胶质,浓缩胶质表现为点状强回声后方伴“彗星尾”征,此为良性结节的特征性表现。多数腺瘤内部可见丰富规则的血流信号,周边常见较为完整的环绕血管(图7、图8)。

图7颈部正中偏左横切面:甲状腺左叶中等回声,形态规则、边界清晰,伴薄声晕(箭头所示)。T:气管;L-CCA:左侧颈总动脉

图8颈部正中偏左横切面(与图3-3-7同患者、同切面):中等回声可见丰富规则彩色多普勒血流信号(箭头所示)
(九)甲状腺乳头状癌
甲状腺乳头状癌多表现为低回声或极低回声,形态多不规则,边界不清,纵横比大于1,可伴有微小钙化,同时可伴有颈部异常淋巴结(图9、图10)。需要注意的是,上述任何一种征象均不为恶性结节所独有,因此需要综合分析判断。

图9颈部正中偏左横切面:甲状腺左叶可见极低回声(箭头所示),形态多不规则,边界不清,纵横比大于1,内可疑点状强回声(微小钙化)T:气管

图10颈部正中偏右横切面:甲状腺右叶可见低回声(箭头所示),形态多不规则,边界不清,内可见点状强回声(微小钙化)。T:气管;R-CCA:右侧颈总动脉
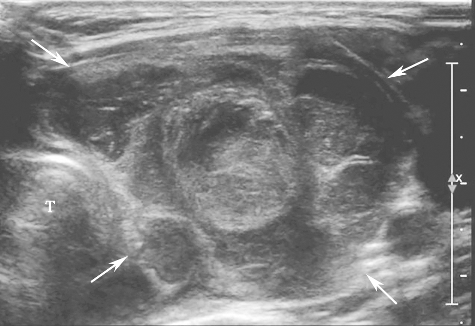
(十)甲状腺滤泡癌
甲状腺滤泡癌和滤泡腺瘤在超声上鉴别有一定困难,即使是FNA细胞学也很难鉴别。但有报道认为:与甲状腺乳头状癌不同,甲状腺滤泡癌常为等回声或高回声,微小钙化很少见,病变多伴有厚薄不一的低回声晕或者局部低回声晕。彩色多普勒血流信号丰富也是该类病变的特点之一(图11、图12)。

图11右侧颈部纵切面:甲状腺右叶中部中等回声(箭头所示):内部回声不均伴厚薄不一低回声晕

图12右侧颈部纵切面(与图3-3-11同患者、同切面):中等回声彩色多普勒血流信号丰富而杂乱
(十一)甲状腺髓样癌
甲状腺髓样癌超声上多为不规则低回声实性结节,内部回声不均,部分病例可伴有囊性成分,髓样癌丰富的血流信号是其超声主要特点。约1/3的髓样癌超声表现不典型,除了血供丰富表现外,类似良性结节(图13、图14)。

图13左侧颈部纵切面:甲状腺左叶中部中低回声(箭头所示),分叶状,可见囊性成分及点状强回声(微小钙化)

图14左侧颈部纵切面(与图3-3-13同患者、同切面):甲状腺左叶中部中低回声内部彩色多普勒血流信号丰富而杂乱
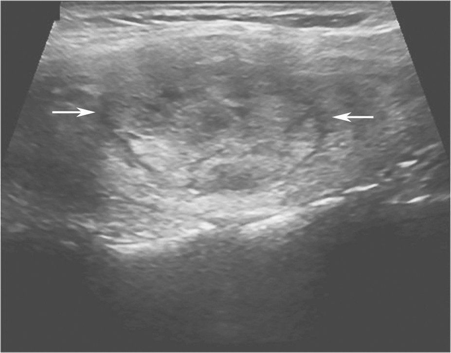
(十二)甲状腺未分化癌
甲状腺未分化癌超声特点为体积较大、边界不清、形态不规则,肿瘤平均长径可达4cm,低回声为主,等回声少见,病变内部常可见液化坏死及粗大钙化,结节内部彩色多普勒血流信号丰富而杂乱(图15),此外,未分化癌局部或者远处转移常见,转移淋巴结内部常伴有液化坏死。

图15颈部正中偏左横切面:甲状腺左叶可见不均匀低回声,形态不规则,边界模糊(箭头所示)
(十三)甲状腺淋巴瘤
甲状腺淋巴瘤超声表现多样,可大致分为结节型、弥漫型、混合型。结节型多见,多为极低回声,边界清楚,后方回声增强,呈“假囊征”,钙化或液化很少出现,有时低回声可呈“蜂窝状”改变;弥漫型表现为双侧叶肿大,内部为极低回声,肿瘤和甲状腺组织的分界无法识别;混合型表现为多个极低回声病灶,不均分布在腺体内(图16)。上述各型共同特点为病变呈极低回声,后方回声增强,病灶内部血流信号丰富(图17,图18)。

图16颈部正中偏右横切面:甲状腺右叶极低回声,占据整个腺体(箭头所示)

图17颈部正中偏右横切面:极低回声内可见丰富杂乱彩色多普勒血流信号

图18颈部正中偏右横切面:甲状腺右叶粗针组织活检,箭头所示为穿刺针回声
(十四)甲状腺癌淋巴结转移
典型甲状腺癌淋巴结转移的超声征象包括:类圆形、淋巴门结构消失、皮质内团状高回声区、微小钙化灶、囊性变,不规则血流信号等(图19,图20)。淋巴门结构消失这一特征的灵敏度高,但特异度较低;而微钙化及囊性变等特征的特异度最高,但灵敏度较低。

图19颈右侧横切面:甲状腺乳头状癌患者,颈部侧方Ⅳ区可见囊实性混合回声(箭头所示),实性成分偏心分布,内可见点状回声,手术证实为颈侧方淋巴结转移
图20颈左侧纵切面:甲状腺乳头状癌患者,颈部侧方Ⅳ区淋巴结皮髓质分界不清(箭头所示),部分淋巴结内可见团状高回声,手术证实为颈侧方淋巴结转移
超声对于中央组淋巴结转移敏感度只有50%左右。超声对于颈侧方淋巴结转移的敏感度较高,可达90%左右。超声颈部淋巴结有无异常对甲状腺手术方式选择非常重要,因此,术前超声除了对可疑淋巴结进行分区定位外,还应尽可能描述颈侧方淋巴结与颈部大血管的关系,必要时体表标注。
四、甲状腺结节超声读图要点
甲状腺结节内微小钙化和胶质钙化有时难以区别,重点在于观察结节是囊性还是实性,以及是否存在“彗星尾征”伪像,胶质钙化通常为囊性,并且同时有“彗星尾征”。
甲状腺乳头状癌有时会有囊性成分,容易误诊为复杂囊肿,需要注意观察实性部分的血供及实性成分的位置,偏心分布的实性成分不能大意。
甲状腺癌颈部淋巴结转移有时会误认为是腺体边缘的结节,实时观察并挤压有助于鉴别。
有时甲状腺肿瘤为弥漫性,容易误诊为腺体弥漫性病变。因此,在弥漫性病变背景下要观察血供是否规则,周边是否有正常腺体组织回声,以及颈部淋巴结是否异常增大。
五、甲状腺结节超声分类系统概述
超声在甲状腺结节诊治中的主要作用为筛查、诊断、随访、引导穿刺活检。针对甲状腺结节分类及管理的指南有几个,目前国际上多参考2015年美国甲状腺协会(American Thyroid Association,ATA)颁布的《成人甲状腺结节和分化型甲状腺癌的管理指南》作为细针穿吸活检(Fine Needle Aspiration,FNA)适应证参考依据,具体指征主要根据甲状腺结节超声风险分层及结节大小制订。
六、超声引导甲状腺细针穿吸活检和粗针组织活检
超声引导下细针穿刺活检(fine needle aspiration,FNA)是国际公认的甲状腺结节最准确、最安全、也是最常用的病理学诊断方法。粗针穿刺活检(core needle biopsy,CNB)多在临床考虑病变为甲状腺淋巴瘤或未分化癌的情况下才使用,此方法敏感性及阳性预测值高于FNA。
七、甲状腺超声成像进展
甲状腺超声成像的进展主要有超声造影及超声弹性成像两个方面。
甲状腺的弹性成像技术主要有应变弹性成像和剪切波弹性成像两种技术,都是通过评价组织硬度判断组织的良恶性。应变弹性成像技术探头需要垂直轻度压放病变区域皮肤,利用弹性图像反映组织的应变。剪切波弹性成像技术不用加压,探头垂直接触皮肤即可,通过直接测量剪切波速度反映组织硬度。目前普遍认为弹性成像独立诊断价值有限,可以作为常规超声的补充,但并不能取代常规超声。甲状腺峡部结节、甲状腺结节内部钙化和囊性成分均可能对弹性成像的诊断结果有影响,需在诊断中加以注意。
甲状腺超声造影提取了造影剂微泡产生的背向散射和非线性谐波信号,实现了结节及腺体的微血管实时灌注显像,目前的应用主要有以下几方面:①甲状腺结节消融治疗前后应用:消融前通过超声造影评估甲状腺结节内部血管走行,规划穿刺路径;消融术后使用超声造影评估消融范围判断疗效;②引导对甲状腺结节内有血供的增强区域进行活检,有助于提高活检的阳性率;③鉴别常规超声难以区分的甲状腺良、恶性结节,如良性结节囊性成分吸收后改变与恶性结节。
八、超声引导下甲状腺热消融进展
超声引导下甲状腺热消融是在实时超声引导下,借助射频、微波或激光产生的热效应对甲状腺病变进行体内原位灭活以达到局部根治的技术手段。由于损伤小、恢复快、美观效果好,近年来在部分甲状腺良性结节、部分低危甲状腺微小乳头状癌及颈部转移淋巴结中有一定的应用,其中以射频消融相关的研究最为多见。
热消融前需完成一系列评估,包括通过超声评估结节的位置、大小、声像图特征,了解患者颈部放射治疗史、甲状腺癌家族史、凝血功能及重要脏器功能,行FNA取得结节病理学结果。消融时应注意避开重要的神经及血管,必要时使用水隔离带技术进行神经及血管保护。热消融并发症方面,少部分患者治疗后会出现出血、疼痛,极少数患者会有喉返神经或喉上神经损伤,出现声带麻痹、声音嘶哑的情况,但绝大多数患者3~6个月内可恢复。
但至今为止,热消融对甲状腺微小乳头状癌治疗的有效性还没有积累到足够的循证医学证据,故热消融技术的应用要做到充分的知情同意以及对指征的严格把控。
知识来源
人卫知识数字服务体系
作者:姜玉新,夏宇,中国医学科学院北京协和医院超声科
专家简介
姜玉新,北京协和医院超声医学科主任医师、教授、博士生导师。长期在医疗第一线工作,多年来主要承担疑难病例的超声会诊工作,解决了大量院内外疑难病例诊断问题。医疗与临床研究工作主要方向:超声造影、乳腺癌早期诊断、甲状腺结节超声诊断、血管与妇产科超声。主要研究成果:乳腺病变高频超声与超声引导术前定位,早期诊断、定位引导准确切除亚临床性乳腺癌,该方法使乳腺癌患者的预后明显改善。甲状腺、甲状旁腺疾病超声引导介入诊断与治疗工作。率先在国内开展了肝脏、肾脏、乳腺、甲状腺超声造影研究,建立相关方法,在常规彩色多普勒超声鉴别困难的恶性肿瘤诊断方面有进展。
夏宇,主任医师,教授,博士生/临床博士后导师。擅长甲状腺甲状旁腺超声、介入超声、全外显子测序、分子成像、人工智能。
- 评价此内容
- 我要打分
近期推荐
热门关键词
最新会议
- 2013循证医学和实效研究方法学研讨会
- 欧洲心脏病学会年会
- 世界帕金森病和相关疾病2013年会议
- 英国介入放射学学会2013年第25届年会
- 美国血液学会2013年年会
- 美国癫痫学会2013年第67届年会
- 肥胖学会 2013年年会
- 2013年第9届欧洲抗体会议
- 国际精神病学协会 2013年会议
- 妇科肿瘤2013年第18届大会
- 国际创伤压力研究学会2013年第29届…
- 2013年第4届亚太地区骨质疏松症会议
- 皮肤病协会国际2013年会议
- 世界糖尿病2013年大会
- 2013年国际成瘾性药年会
- 彭晓霞---诊断试验的Meta分析
- 武姗姗---累积Meta分析和TSA分析
- 孙凤---Network Meta分析
- 杨智荣---Cochrane综述实战经验分享
- 杨祖耀---疾病频率资料的Meta分析
合作伙伴
Copyright g-medon.com All Rights Reserved 环球医学资讯 未经授权请勿转载!
网络实名:环球医学:京ICP备08004413号-2
关于我们|
我们的服务|版权及责任声明|联系我们
互联网药品信息服务资格证书(京)-经营性-2017-0027
互联网医疗保健信息服务复核同意书 京卫计网审[2015]第0344号




会员登录

