-
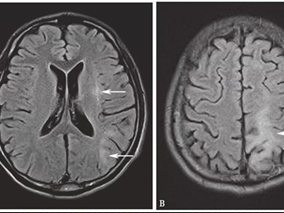
男41岁,因右侧肢体活动不灵、反应迟钝20余天,加重…
环球医学资讯
2016年07月06日
点击量:272
1小时条评论【病例资料】 患者,男性,41岁,商人。因右侧肢体活动不灵、反应迟钝20余天,加重5天于2010年8月23日收入院。 现病史:患者1个月前患感冒,伴腹泻、发热、恶心、呕吐,给予抗生素静脉滴注3天后症状好转。20多天前活动中突觉右侧肢体活动不灵,走路时身体向右侧倾...
-
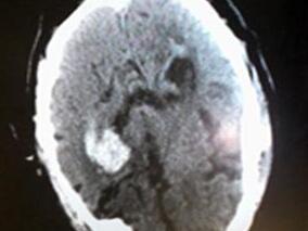
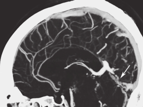
华法林联用低分子肝素钙致患者脑出血一例
环球医学资讯
2016年06月27日
点击量:3215
1小时条评论【病例摘要】 老年男性患者因肺栓塞使用华法林、低分子肝素钙治疗,华法林剂量从3mg逐渐增至5.25mg,低分子肝素钙首剂量4100IU后使用6150IU,q12h皮下注射。19天后患者出现喷射性呕吐,头颅CT示脑出血,破入脑室,出血量约30ml,凝血检查示国际标准化比值为1.92。...
-
男45岁,因左侧肢体乏力1天就诊
环球医学资讯
2016年06月27日
点击量:306
1小时条评论患者男性,45岁,2009年2月15日来诊。 一、主诉 左侧肢体乏力1天。 二、病史询问 思维提示 患者中年男性,主诉中以肢体乏力为主症,主要考虑神经系统病变。问诊主要围绕神经系统症状展开,同时需要考虑是否合并其他疾病,包括急性脑血管病常见并发症应激性溃疡...
-
女66岁,因发作性精神恍惚,胡言乱语,双上肢摸索6…
环球医学资讯
2016年06月22日
点击量:270
1小时条评论【病历摘要】 患者,女,66岁。主因发作性精神恍惚,胡言乱语,双上肢摸索6个月,加重半个月就诊。患者于6个月前下午(玩麻将时)突然出现精神恍惚,胡言乱语,2~3秒后症状消失,此后经常发作,并出现双上肢不自主摸索,近半个月发作频繁,每天发作40 余次,夜间...
-
男52岁,主因饮酒后精神异常2天入院
环球医学资讯
2016年06月22日
点击量:248
1小时条评论【病历摘要】 患者,男性,52岁,主因精神异常2天,于2006年11月14日入院。患者3天前饮酒(3人喝2斤白酒),2天前患者饮酒后出现躁动、少语、对他人的话无反应、不进食,伴呕吐数次,可正常行走,无大小便失禁,来笔者医院急诊就诊。 既往史:饮酒史30年,一般每天...
-
女20岁,因头痛呕吐9天,意识障碍5天以静脉窦血栓形…
环球医学资讯
2016年06月13日
点击量:249
1小时条评论一、病历摘要:患者女性,20岁,主因头痛、呕吐9天,意识障碍5天于2006年7月30日以静脉窦血栓形成收入神经内科重症监护病房(N‐ICU)。患者入院前9天外出游玩回家后感头痛,随后呕吐10余次,进食后明显,不伴发热、精神异常、肢体活动障碍等。按中暑口服药物未见明...
-
女72岁,因发作性双眼向右侧凝视12天,左侧肢体抽动…
环球医学资讯
2016年06月13日
点击量:639
1小时条评论患者女性,72岁,主因发作性双眼向右侧凝视12天,左侧肢体抽动1周于2005年12月30日收入院。患者入院前12天无明显诱因反复出现发作性双眼向右侧凝视、头向右侧扭转,每天发作数次,每次持续不到30秒,未到医院就诊。5天后发作时伴左侧肢体抽动,左上肢屈曲,左下肢强...
-
女40岁,因3天前头外伤后心悸、胸闷、恶心就诊
环球医学资讯
2016年06月06日
点击量:209
1小时条评论患者,女性,40岁,因3天前头外伤后心悸、胸闷、恶心,于2008年9月25日11:20到笔者医院急诊科就诊。 2008年9月22日20:00患者右侧头部及眼部拳击伤,头痛、头晕,无昏迷,就诊于外院,经头颅CT(门诊及住院共2次)诊断为右眼眶内侧壁骨折,内直肌挫伤,右筛窦内渗...
-
男53岁,因间断发热伴体重下降2个月就诊
环球医学资讯
2016年06月06日
点击量:213
1小时条评论者,男性,53岁,主因间断发热伴体重下降2个月于2004年8月15日首次来笔者医院急诊就诊。 患者自2004年6月无明显诱因出现午后发热,体温波动于38.5~39℃,最高为39℃,伴畏寒和食欲下降,晨起体温正常。无咳嗽、咳痰,无腹痛、腹泻以及尿频、尿急等症状,无盗汗、皮...
-
女33岁,四肢麻木无力、言语不清2个月
环球医学资讯
2016年05月27日
点击量:518
1小时条评论【病例资料】 患者,女性,33岁。因四肢麻木无力、言语不清2个月于2012年5月10日收入院。 现病史:患者2个月前出现双手及双膝关节以下麻木、无力,行走不稳,言语不清,反应迟钝。偶有头痛、呕吐、饮水呛咳。无头晕、耳鸣,无发热、抽搐。当地医院就诊,头颅CT检查...










会员登录

