-
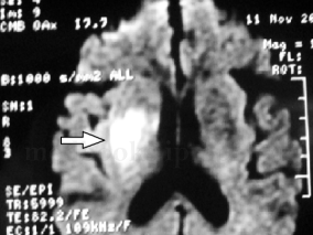
女65岁,左利手,左侧肢体无力5h
环球医学资讯
2016年05月27日
点击量:781
1小时条评论【病例摘要】 患者,女性,65岁,左利手。以左侧肢体无力5h主诉于2009年11月10日入院。 患者约5h 前做家务时突然出现左侧上下肢无力,不能独立行走,在家人的搀扶下可以行走,不能持物,伴轻度头昏及言语不清。无头痛,无恶心及呕吐,无意识障碍,无精神异常,无抽...
-
脑出血后伴顽固性呃逆药物治疗经典案例
环球医学资讯
2016年05月25日
点击量:702
1小时条评论一、病史摘要 患者男性,64岁。 主诉:头痛、头晕呕吐,意识不清3天。 现病史:入院前3天无明显诱因出现头痛,为全头持续涨痛,阵发性加重,头晕,无视物旋转及耳鸣。声音嘶哑,无吞咽困难、饮水呛咳。恶心、呕吐数次,为非喷射性,呕吐为胃内容物,不含咖啡样物...
-
女,14岁,突发右侧肢体偏瘫1年
环球医学资讯
2016年05月25日
点击量:841
1小时条评论女,14岁,右利手。 主诉:突发右侧肢体偏瘫1年。 病史:1年前因突发右侧肢体活动障碍被外院诊断为脑梗死,在发病前没有外伤史、感染史(发热、上呼吸道感染、肠道感染),发病时无明显头痛。经保守治疗,保留右侧偏瘫后遗症至今。此后辗转于全国各大医院诊治查找...
-
男55岁 因呕吐2天 意识障碍4小时 急性不完全性肠梗…
环球医学资讯
2016年05月19日
点击量:633
1小时条评论患者男性,55岁,主因腹胀伴恶心、呕吐2天,意识障碍4小时以急性不完全性肠梗阻收入院。 入院前2天无明显诱因出现非喷射性呕吐(胃内容物),共3次,量约200ml,同时伴有腹胀,但无腹痛、呕血、黑便等胃肠症状,亦无头晕、视物旋转、饮水呛咳、肢体无力、意识障碍等...
-
病例34 帕金森、脑卒中和体位性低血压
环球医学资讯
2016年05月13日
点击量:740
1小时条评论男,79岁,右利手。 主诉:眩晕2天。 病史:入院前2天无诱因突然出现持续头晕、视物旋转,伴耳鸣、耳闷,偶尔恶心,无呕吐,症状于活动时加重,休息时好转。查体:卧位血压168/105mmHg,坐位112/65mmHg,高级神经系统检查正常,脑神经(-),面部表情欠丰富,四肢...





会员登录

