-
小卒中背后还有大麻烦
环球医学资讯
2017年03月06日
点击量:364
1小时条评论1 病例简介 患者男,46岁,主因突发左下肢无力伴头晕8日于2010年7月6日收住入院。患者2010年6月28日疲劳后突发左下肢无力,行走略显不稳,伴明显头晕感,无视物旋转、恶心、呕吐,无言语不清,无耳鸣、听力减退,无吞咽困难、饮水呛咳等症状,就诊于土耳其某医院,...
-
青年患者,TIA起病,不可掉以轻心!
环球医学资讯
2017年03月06日
点击量:732
1小时条评论1 病例简介 患者男,38岁。因突发言语不能、右侧肢体无力10天于2010年4月22日入院。2010年4月12日患者吃晚饭时突然出现言语不能,但家人说话患者可以点头表示理解,伴右侧肢体无力,约30分钟后上述症状完全缓解,但患者出现胸痛、腹痛,疼痛剧烈,家属将患者送至当...
-
临床表现符合结核性脑膜炎,MRI却显示脑出血,您能…
环球医学资讯
2017年02月28日
点击量:519
1小时条评论侧窦血栓临床较少见,发病率低,临床表现复杂多样,缺乏特异性,容易误诊和漏诊而影响预后。现将本病例分析如下。 1 病例简介 患者男,21岁,学生,因头痛、呕吐、发热半月余,精神异常3日,于2008年11月10日入我院治疗。患者半月前有上呼吸道感染史,之后一直伴...
-
被误诊为吉兰-巴雷综合征的双侧延髓内侧梗死1例
环球医学资讯
2017年02月22日
点击量:259
1小时条评论1 病例简介 患者女,66岁,以进行性四肢麻木、无力5日于2010年7月11日收住入院。入院前5日无明显诱因于安静休息时突然出现四肢远端麻木,呈针刺样,伴有四肢无力,手指活动不灵活,但双上肢尚平举过肩,可站立,搀扶下可行走。无大小便潴留、意识障碍、四肢酸痛等症...
-
完全符合诊断标准的主动脉粥样硬化复杂斑块致脑栓塞…
环球医学资讯
2017年02月22日
点击量:501
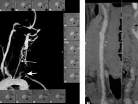
1小时条评论1 病例简介 患者男,74岁。因头晕、视物不清1日于2009年5月28日入院。患者于入院前一天在行走中突然感到头晕、视物不清,无头痛、恶心、呕吐及其他不适,次日到当地医院就诊,检查发现左眼视野中心暗点,颅脑MRI:双侧大脑后动脉和大脑中动脉供血区散在新鲜梗死灶...
-
“总有刁民想害朕”背后竟是……
环球医学资讯
2017年02月17日
点击量:474
1小时条评论一、临床病例及诊疗思路 【病例摘要】 胡某,男性,38岁,干部,已婚。平素内向,做事稳重得体,与同事、领导相处关系好。20天前与领导吵架后突然话多、兴奋,晚上睡眠时间减少,半个月前,彻夜不眠,向中央纪委写信说单位领导有经济问题,认为自己有能力,说领导...
-
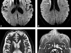
2例大动脉粥样硬化性脑梗死患者合并全身性低灌注后…
环球医学资讯
2017年02月16日
点击量:527
1小时条评论病例简介 例1 患者男,58岁,汉族。主因右上肢无力37日,加重伴意识障碍27日于2010年9月5日入我院。患者于入院前37日无明显诱因突发右上肢无力,伴言语不清,尚能行走,发病当日就诊于当地医院,发病初右侧上肢血压为200/100mmHg,行颅脑CT示左侧半卵圆中心腔隙性...
-
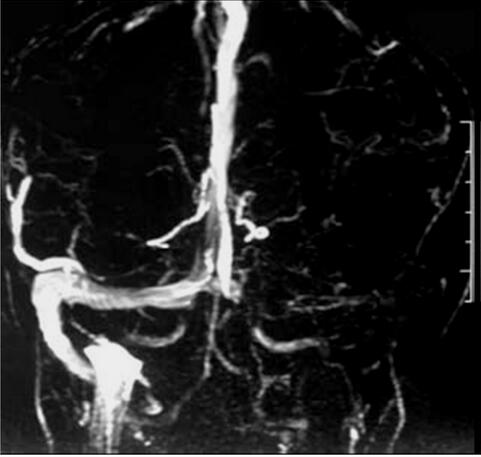
权威专家动脉溶栓联合机械取栓术治疗颈内动脉闭塞患…
环球医学资讯
2017年02月10日
点击量:188
1小时条评论1 病例简介 患者男,40岁,主因突发左侧肢体无力2小时于2011年3月30日入院。患者2小时前安静状态下无明显诱因出现左侧肢体无力,伴言语不清、不能行走、意识模糊。无视物旋转、视物成双、耳鸣、恶心、呕吐,无饮水呛咳及吞咽困难,无流涎,无肢体抽搐,无大小便失...
-
数次双眼暂时性黑矇,眼科检查与脑部CT扫描均正常,…
环球医学资讯
2017年02月10日
点击量:252
1小时条评论多发性大动脉炎为一影响主动脉及其分支的慢性肉芽肿性血管炎症疾病,好发于年轻女性。初期几无明显症状,然而随着疾病的进展,血管狭窄的程度会越来越严重,最后可能会导致梗死性卒中、肠系膜缺血性绞痛、肾源性高血压等。本文简短介绍一位有多发性大动脉炎的年轻女...
-
大脑中动脉慢性闭塞血管再通治疗经典案例1例
环球医学资讯
2017年02月08日
点击量:1329
1小时条评论1 病例简介 患者男,64岁,因头昏、左下肢乏力3日入院。患者入院前3日无明显诱因逐渐出现持续性头部昏沉、伴左下肢乏力,行走时左下肢步态拖曳,无意识障碍,无视物成双,无视物旋转、恶心呕吐、饮水呛咳及肢体麻木等,于2010年1月5日入我院治疗。 既往史:2型糖...










会员登录

