-
对失读症患者阅读功能的随访 发现其康复阶段的3个特点
环球医学资讯
2017年02月08日
点击量:466
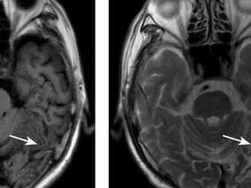
1小时条评论1 病例简介 患者男,74岁,右利手,退休人员,受正式教育15年。患者于2010年6月21日无明显诱因出现心悸、气促,就诊于当地卫生院,诊断为心房颤动,予对症治疗。2010年6月22日晚患者突然出现不认识家人、语言表达障碍、性格改变,伴头晕,无头痛、无恶心呕吐、无四...
-
颅脑DWI异常的短暂性脑缺血发作进展为缺血性卒中经…
环球医学资讯
2017年01月24日
点击量:648
1小时条评论短暂性脑缺血发作(TIA)是指短暂并反复发作的视网膜或脑局部供血障碍,导致短暂性神经功能缺失。TIA后48小时内的缺血性卒中发病率为5%,90日内为10.5%[1,2]。因此及时正确评价和治疗TIA有重要的临床意义。现报告1例弥散加权成像(DWI)异常的经典TIA,并就其诊断...
-
老年女性患者抗栓治疗过程中发生脑卒中2例
环球医学资讯
2017年01月24日
点击量:329
1小时条评论1 病例简介 例1 患者女,80岁,急诊以阵发性心悸胸闷伴头晕1周,加重1日于2006年11月6日入院。患者于2006年10月31日无明显诱因出现心悸,胸闷伴头晕、四肢乏力,活动后加重,休息稍缓解。无黑矇及耳鸣。2006年11月6日心悸胸闷加重,伴恶心呕吐。呕吐物为胃内容物...
-
发作性口角歪斜、左侧肢体无力2日,经典的诊疗过程…
环球医学资讯
2017年01月20日
点击量:326
1小时条评论1 病例简介 患者女,82岁,主因发作性口角歪斜、左侧肢体无力2日于2009年4月10日收入院。患者入院前2日无明显诱因突发口角歪斜、左侧肢体无力,持续1~2分钟后症状完全缓解,共发生2次,入院前1日活动后再次出现上述症状,持续约10分钟后完全缓解,未予药物治疗,...
-
高血压30余年,突发眩晕,但颅脑CT和颅脑MR结果阴性…
环球医学资讯
2017年01月20日
点击量:401
1小时条评论1 病例简介 患者男,70岁,因眩晕4小时来院。患者于2008年9月27日起床刷牙时突然出现眩晕,站立不稳,行走摇晃,需扶行,伴恶心、呕吐,呕吐物为胃内容物,平卧休息时改善,站立行走时明显,病程中无头痛发热,无视物模糊及旋转,无黑矇耳鸣,无明显胸闷心悸,无意...
-
高血压一个月出现眩晕,是脑梗死吗?
环球医学资讯
2017年01月16日
点击量:415
1小时条评论男,50岁,高加索人种,右利手。 主诉:头痛、眩晕5小时。 病史:患者在来急诊室5小时以前正在电脑旁工作,突然出现了后枕部的严重疼痛,随即出现天旋地转感觉,并剧烈地恶心和呕吐,不敢睁眼。没有耳鸣、视物成双和肢体活动的障碍,意识清楚,言语流利。由于休息...
-
死于脑梗死,“罪魁祸首”却另有其人
环球医学资讯
2017年01月05日
点击量:915
1小时条评论女,40岁。 主诉:肢体运动障碍2个月,不能说话10天。 病史:患者于2月前晨起突发左侧上肢活动不灵、麻木、说话吐字不清,在当地中医学院附属医院就诊,头颅MRI:双侧脑室旁及半卵圆中心小片状长T2信号,按脑梗死给予低分子右旋糖苷、川芎等药物治疗,病情进行性加...
-
少年男性行走不稳 患有何种怪病?
环球医学资讯
2017年01月05日
点击量:208
1小时条评论男,10岁,汉族人,右利手。 主诉:头痛、眩晕5小时。 病史:2个月前其父母发现患儿行走不稳,左右摇晃,转身动作迟缓,易跌倒,上述症状渐加重,并出现双手持物不稳,易摔落手中物品,遂来我院神经内科门诊就医。当时首诊医生查体记录如下:身材瘦小,神志清,精...
-
2次石蜡切片活检提示肌源性损害,泼尼松治疗欠佳,…
环球医学资讯
2016年12月23日
点击量:292
1小时条评论男,17岁,汉族人,学生。 主诉:间歇性呕吐6年,肢体无力2年,缓解后复发6个月。 病史:患者6年前无明显诱因出现反复恶心、呕吐,呕吐物为胃内容物,呕吐物内未见隔夜宿食,经补液等对症处理后约1~2天好转,此后于每年秋天均有类似发作,发作时频繁呕吐,每日4~...
-
3次腰穿脑脊液常规细胞计数白细胞为0,1次脑脊液细…
环球医学资讯
2016年12月23日
点击量:661
1小时条评论男性,39岁。 主诉:腰痛、左髋关节痛3月余,发热、憋气1月。 病史:患者2001年12月出现腰痛及左髋关节痛,伴活动受限和弯腰困难,逐渐加重。2002年1月查血沉53mm/h;骶髂关节CT:骶髂关节不光滑; 考虑强直性脊柱炎?。2002年1月30日开始予泼尼松(10mg,每天1次...










会员登录

