-
一例误诊为哮喘的嗜酸性肉芽肿性多血管炎诊治经验分享
环球医学资讯
2025年10月15日
点击量:95
1小时条评论51岁女性,因反复咳嗽、胸闷伴气喘4年,加重半月余入院。患者最初发病即确诊哮喘,期间采用吸入性激素和长效beta;2受体激动剂两种或者更多控制性药物,甚至口服激素6个月以上仍然不能达到良好的控制,故临床上考虑该患者为难治性哮喘。但详细梳理和追问病史,结合相...
-
一例肺朗格汉斯细胞组织细胞增多症诊治经验分享
环球医学资讯
2025年10月14日
点击量:109
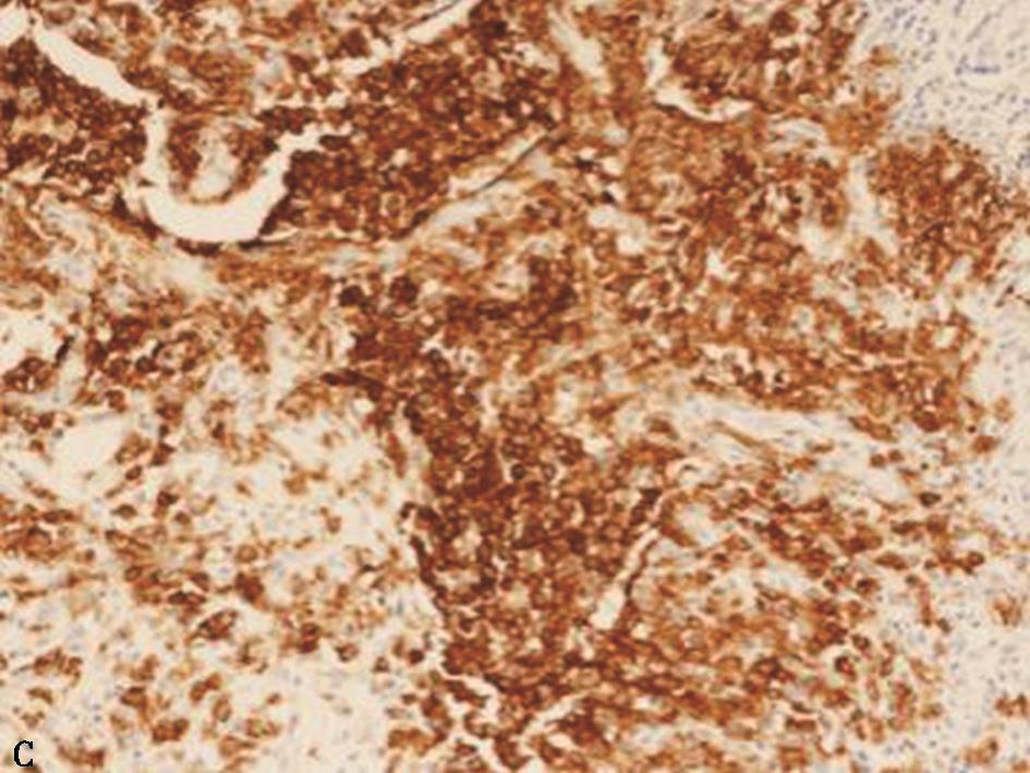
1小时条评论30岁男性,因左侧背痛1个月伴胸痛1周入院。胸部影像学表现为两肺多发斑片状渗出,多发结节伴小空洞形成。是不是感染所致? 一、入院疑诊 (一)病例信息 【病史】 男性患者,30岁,因左侧背痛1个月伴胸痛1周入院。患者于1个月前无明显诱因,出现左侧...
-
一例变应性支气管肺曲霉菌病合并肺微浸润腺癌病例诊…
环球医学资讯
2025年09月29日
点击量:107
1小时条评论中年女性,既往有哮喘病史,咳嗽咳痰1年余,慢性起病,外院行肺CT显示左肺门占位伴左上肺阻塞性肺不张及炎症,左肺上叶炎症,右肺下叶磨玻璃结节,如何诊治? 【病例简介】 患者女性,51岁,家庭主妇。主因咳嗽、咳痰1年余就诊。患者2016年8月无明显诱因下出现间断...
-
一例肺朗格汉斯细胞组织细胞增生症诊治经验分享
环球医学资讯
2025年09月24日
点击量:199
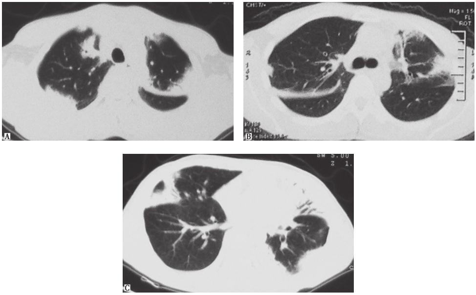
1小时条评论43岁男性,因咳嗽6个月入院治疗。期间自服抗生素、止咳化痰药物后无效。本病例是感染性疾病还是非感染性疾病? 一、入院疑诊 (一)病例信息 【病史】 男性患者,43岁,因咳嗽6个月入院治疗。患者于2009年3月无明显诱因出现咳嗽,间断有少量白痰,无...
-
一例EGFR exon19 del突变阳性小细胞肺癌诊治经验分享
环球医学资讯
2025年09月17日
点击量:79
1小时条评论老年女性,有冠心病支架植入术病史。以咳嗽、痰中带血起病,外院胸部CT提示右肺占位。骨扫描示左前第3、6肋骨局限性浓聚。肿瘤标记物CEA增高。如何诊治? [病例简介] 患者女性,77岁,主因咳嗽,痰中带血5天入院。患者于2018年1月1日无明显诱因间断出现咳嗽,痰中...
-
一例肺炎型肺癌诊治经验分享
环球医学资讯
2025年09月12日
点击量:109
1小时条评论56岁女性,以间断咳嗽、咳痰1年,痰中带血半年入院。外院胸部CT提示双肺多发病灶伴空洞;外院病理报告慢性炎症,可见轻度核异质细胞。患者反复住院抗感染治疗无显效,复查胸部CT提示肺部病灶较前进展。未发现结核、真菌等病原学证据。如何诊治? 【病例简介】 患者...
-
一例表现为咳嗽、发热、肺部多发实变影的隐源性机化…
环球医学资讯
2025年09月10日
点击量:150
1小时条评论44岁男性,病程3个月余,主要症状和体征为发热,咳嗽,咳黄痰,偶发左侧胸部牵拉性疼痛,双下肺呼吸音稍减低。先后使用多种抗感染治疗,均无效,患者仍有发热,而且病情有加重趋势。如何诊治? 一、入院疑诊 (一)病例信息 【病史】 男性患者,44岁...
-
一例肺部非结核分枝杆菌感染诊治经验分享
环球医学资讯
2025年09月05日
点击量:112
1小时条评论老年男性,无肺部及其他基础疾病;反复发热咳嗽伴体重下降2年,病程较长;外院胸部CT提示双肺感染,按社区获得性肺炎及肺结核治疗无显效,且病情进展。该患者所患何病? 【病例简介】 患者男性,73岁,退休。以反复午后低热伴胃纳差2年入院。2015年7月患者无明显诱...
-
一例隐源性机化性肺炎诊治经验分享
环球医学资讯
2025年08月29日
点击量:143
1小时条评论68岁女性患者,40天前无明显诱因出现间断咳嗽,胸部CT提示病变较前加重,可见双肺多发大小不一的结节影,部分呈反晕环状,边缘尚清。以肺多发结节样及反晕环状病灶为主要表现的肺部疾病有哪些? 一、入院疑诊 (一)病例信息 【病史】 女性患者,68...
-
一例以主气道狭窄为主要表现的肉芽肿性多血管炎诊治…
环球医学资讯
2025年08月15日
点击量:167
1小时条评论中年女性,慢性病程。以反复喘憋伴咳嗽为主要症状,肺功能检查提示中度阻塞性通气功能障碍。流速-容量(F-V)曲线环呈吸气相及呼气相双相平台样改变,提示存在主气道固定狭窄。胸部CT增强+气道三维重建示气管壁均匀增厚,伴管腔裂隙样狭窄。患者气管狭窄需要考虑哪些...










会员登录

