-
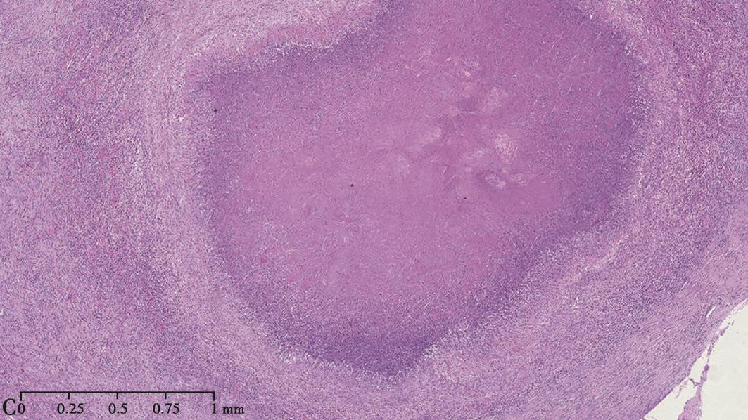
一例肉芽肿性多血管炎导致的发热伴肺部阴影疑难病例…
环球医学资讯
2025年08月08日
点击量:176
1小时条评论49岁女性,因间断发热3个月,双侧胸痛1个月余入院。胸部CT示双肺多发结节影、实变影和空洞影,多在胸膜下分布,有一定的游走性。外院肺穿刺病理示肺组织慢性炎症伴炎性渗出及坏死。外院曾先后予以多种广谱抗生素联合治疗,症状均无改善。该患者所患何病?如何治疗? ...
-
一例肺组织胞浆菌病诊治经验分享
环球医学资讯
2025年08月01日
点击量:134
1小时条评论67岁男性,因间断发热1.5个月,咳嗽1个月余入院。2个余月前于墨西哥某第二次世界大战时期遗留坑道内进行地质勘探,坑道内遍布腐烂生物并有蝙蝠栖息。胸部CT示双肺多发结节斑片影、纵隔淋巴结肿大。既往身体健康。针对临床特点,应该鉴别哪些疾病? 一、入院疑诊 ...
-
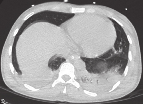
一例侵袭性肺部真菌感染诊治经验分享
环球医学资讯
2025年07月17日
点击量:98
1小时条评论57岁男性,半年前出现活动后气促,伴厌食、体重减轻,未予诊治,气促呈进行性加重。3个月前,行胸部CT提示双肺弥漫病变,诊断为双侧间质性肺炎,予激素治疗、抗感染及对症治疗后,症状未见明显改善,复查胸部CT提示病灶较前进展,气促加重。20天前,患者无诱因出现反...
-
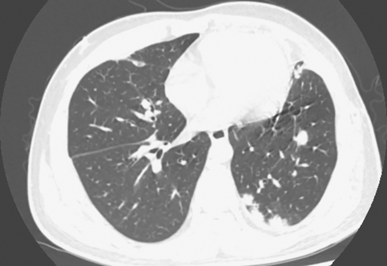
一例肺毛霉菌病诊治经验分享
环球医学资讯
2025年07月02日
点击量:139
1小时条评论54岁男性,50天前开始咳嗽、咳黄痰,病程后期有发热,双肺可闻湿啰音。影像学可见双肺多发片状密度增高影,伴有空洞形成,且短时间内影像学改变明显,由多发斑片影发展为多发空洞,继而出现局部肺不张及实变。需要做哪些检查以明确病因? 一、入院疑诊 (一...
-
一例表现为咳嗽、咯血伴肺部肿块影的肺毛霉菌感染疑…
环球医学资讯
2025年06月20日
点击量:102
1小时条评论48岁男性,2周前出现阵发性咳嗽,伴少量黄白黏痰,偶带血丝,后痰中带血逐渐增多,查胸部CT示肺部块影,予静脉抗感染治疗3天后,症状无明显改善。如何诊治? 一、入院疑诊 (一)病例信息 【病史】 男性患者,48岁,2周前出现阵发性咳嗽,伴少量黄白...
-
一例支气管扩张伴咯血合并急性肺栓塞诊治经验分享
环球医学资讯
2025年06月13日
点击量:147
1小时条评论老年女性,以咯血、胸痛、气短急性起病,既往有支气管扩张病史。急诊给予止血、抗感染和对症处理,咯血缓解,但是胸闷、气短却再次加重。患者胸闷、气短再次加重的原因是什么?如何治疗? 【病例简介】 患者女性,73岁。主因反复咳嗽、咯血伴胸闷、胸痛1周,气喘2...
-
一例鼻病毒肺炎合并肺炎链球菌肺炎诊治经验分享
环球医学资讯
2025年06月06日
点击量:166
1小时条评论34岁男性,2天前出现发热,伴咳嗽、气促,胸部影像学检查提示双肺高密度实变影,应当首先考虑为肺炎。患者出现血压下降,多叶段肺浸润,白细胞、血小板计数降低,BUN升高,呼吸频率加快、严重低氧血症等,符合重症肺炎诊断标准。如何确定感染类型和感染病原体? ...
-
一例慢性阻塞性肺疾病合并气管腔内错构瘤的诊疗经验…
环球医学资讯
2025年05月30日
点击量:94
1小时条评论老年男性,因咳嗽、咳痰伴活动后气促2年余,加重半年入院,初步诊断为慢性阻塞性肺疾病。但是,患者胸闷气促与体位有关,查体双肺可闻及少量呼气相哮鸣音,左下肺明显。这些难以用慢性阻塞性肺疾病急性加重完全解释,需要进一步明确是否合并其他疾病。该患者还合并有...
-
一例马红球菌肺炎的临床诊疗思辨
环球医学资讯
2025年05月23日
点击量:131
1小时条评论27岁男性,无明显诱因出现发热,最高体温为39.5℃,伴有咳嗽、咳痰(痰为白色泡沫状,约50ml/d),左侧胸痛,无咯血,无畏寒。本例患者所患是不是感染性肺部疾病? 一、入院疑诊 (一)病例信息 【病史】 男性患者,27岁,2014年4月28日无明显诱因出...
-
一例肺诺卡菌病患者的诊疗思辨
环球医学资讯
2025年05月09日
点击量:187
1小时条评论41岁男性,体重增加1年,多饮、血糖升高1个月,发热、咳嗽20天。胸部影像学特点为病初见左下肺斑片影,莫西沙星治疗后肺部阴影吸收,停用后肺部阴影短期内再次增多。导致本例患者发病的病原体可能是什么? 一、入院疑诊 (一)病例信息 【病史】 男...










会员登录

