-
一例腹腔巨大囊性胃肠间质瘤(GIST)诊治经验分享
环球医学资讯
2025年09月19日
点击量:163
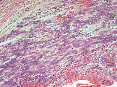
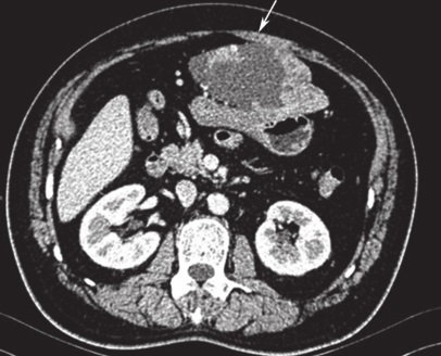
1小时条评论胃肠间质瘤(gastrointestinalnbsp;stromalnbsp;tumor,GIST)大体病理特点多为规则、质软的实质性肿块。虽然有部分GIST呈囊性变,但极少GIST发现时即为显著囊性变,实性部分仅占极低比例。这类呈显著囊性变的GIS...
-
五只螃蟹下肚后进了医院 医生提醒
环球医学资讯
2025年09月08日
点击量:103
1小时条评论9月开始是吃螃蟹的好时节,然而,宁波的吴先生(化名)五只螃蟹下肚后进了医院,这是为什么? 五只螃蟹下肚 凌晨送医 吴先生本想着今年第一波梭子蟹刚上市,多吃几只尝尝鲜。事发当晚,他一顿晚饭吃掉了五只梭...
-
辛伐他汀联合利福昔明治疗失代偿性肝硬化的疗效评估
环球医学资讯
2025年09月05日
点击量:71
1小时条评论辛伐他汀联合利福昔明是否有助于预防肝硬化的严重并发症?2025年3月,发表在JAMA的一项随机对照研究,考察了辛伐他汀联合利福昔明治疗失代偿性肝硬化的效果。 重要性 目前尚无有效的治疗方法来预防肝硬化...
-
一例D842V突变型胃肠间质瘤的诊治经验分享
环球医学资讯
2025年09月03日
点击量:155
1小时条评论PDGFRA基因位于人类第4号染色体上,属于Ⅲ型酪氨酸激酶受体家族。D842V突变是PDGFRA基因编码活化环结构域的第18号外显子(Exon18)上的一种点突变,会导致PDGFRA结构异常,进而致使其下游信号通路的传导出现异常...
-
一例胃、小肠、肾脏淀粉样变性诊治经验分享
环球医学资讯
2025年09月01日
点击量:153
1小时条评论中年女性,病程迁延,反酸、腹胀8个月余,黑便5日,既往病史较复杂。根据患者主诉及胃镜图片,考虑胃癌并发消化道出血可能性大,但事实并非如此,最终经过一步步抽丝剥茧找到真正病因。 一、病例介绍 1.患者基...
-
研究表明:酒精性肝病发病率急剧上升
环球医学资讯
2025年08月22日
点击量:109
1小时条评论研究人员称,尽管美国饮酒率保持稳定,但在过去约20年里,与重度饮酒相关的显著肝纤维化发病率仍增长了一倍多,这或许可由人群中与酒精性肝损伤相关的风险因素来解释。 数据显示,最有可能成为重度饮酒者的人群...
-
一例伴淋巴结转移的c-KIT突变型GIST诊治经验分享
环球医学资讯
2025年08月19日
点击量:173
1小时条评论胃肠间质瘤(gastrointestinalnbsp;stromalnbsp;tumors,GIST)的淋巴结转移较少,特别是在成人GIST患者中罕见。但其在儿童患者中发生率较高,且常见于SDH缺陷型患者。中国GIST诊治专家共识及NCCN指南均推荐,GIS...
-
一项关于慢性肝病患者中他汀类药物使用与肝细胞癌及…
环球医学资讯
2025年08月08日
点击量:93
1小时条评论他汀类药物可能通过减缓肝纤维化进展来降低肝细胞癌(hepatocellular carcinoma,HCC)的发生风险。2025年5月,发表在JAMA Intern Med的一项研究,调查了他汀类药物使用与慢性肝病(chronic liver disease,CLD)...
-
一例琥珀酸脱氢酶缺陷型胃肠间质瘤(GIST)诊治经验…
环球医学资讯
2025年08月08日
点击量:231
1小时条评论琥珀酸脱氢酶(succinate dehydrogenase,SDH)又称为线粒体呼吸链复合物Ⅱ,位于线粒体内膜上,由A、B、C、D 4个亚单位构成,在三羧酸循环中催化琥珀酸盐氧化为延胡索酸盐,并参与电子传递。SDH复合物中任何一个...
-
蔡洪培教授:消化性溃疡的诊断和治疗
环球医学资讯
2025年08月05日
点击量:134
1小时条评论消化性溃疡(peptic ulcer)一般发生在胃或十二指肠球部,偶亦见于食管下端、球部以后的十二指肠(球后溃疡)或胃-空肠吻合口附近(吻合口溃疡)等处。溃疡一般为单个。胃或十二指肠同时有两个或两个以上溃疡称多...










会员登录


网友评论
Yvette05-22
脱发一直是很多人的困扰,希望能广泛应用。
Ada305-22
补碘知识非常全面,获益匪浅。
penelope05-22
“盐重”问题确实需要重视