兄弟二人相继患上这种病 基因检测能尽早发现?
33岁男性患者因“心前区不适、头痛6个月”入院。已知患者哥哥有家族倾向的“双侧肾上腺嗜铬细胞瘤”,再结合患者腹部B超“双侧肾上腺低回声占位病变”诊断为多发性内分泌肿瘤,手术后进一步确诊为MEN-Ⅱa型。此病的临床表现有哪些?依靠基因诊断是否靠谱?如何治疗和预后?详见以下病例——
【病例资料】
主诉:发现双侧肾上腺占位5年,心前区不适、头痛6个月。
现病史:患者1999年因哥哥在外院诊断为“双侧肾上腺嗜铬细胞瘤”进行手术治疗,了解到此病有家族倾向,故来我院内分泌科就诊。患者当时无任何不适症状,查24小时尿儿茶酚胺(CA),肾上腺素水平(E)升高(11.36μg/24h),去甲肾上腺素(NE)、多巴胺(DA)水平正常。CT示双侧肾上腺结节样改变。2000年复查24小时尿CA(NE:65.08μg/24h,E:20.35μg/24h,DA:785.08μg/24h),血CA:633.9pg/ml。患者无明显症状,故不愿意接受手术治疗,一直门诊随诊。2004年6月患者无明显诱因在单位突然出现心前区不适、枕部头痛,当时不伴有心悸,未测血压,2~3小时后自行缓解。上述症状频繁出现,患者为此就诊入院。近5年来大便次数明显增多,2~3次/天,伴有多饮多尿。
【体格检查】
一般情况:体温:37.5℃,心率:80次/分,血压:135/90mmHg,呼吸25次/分,瘦长体形,肢体末梢偏冷,余未见异常。
【辅助检查】
实验室检查:血常规、尿常规、肝肾功能检查未见明显异常,内分泌检查结果见表1。

表 内分泌检查结果
奥曲肽显像:静脉注射示踪剂后1小时、4小时行全身及局部TCT+ECT融合显像,可见:右侧两个及左侧一个肾上腺多发增高区,为生长抑素高表达之病变。全身核素骨扫描:未见异常。
影像学检查:
腹部B超:双侧肾上腺低回声占位病变。甲状腺超声:结节样占位病变。
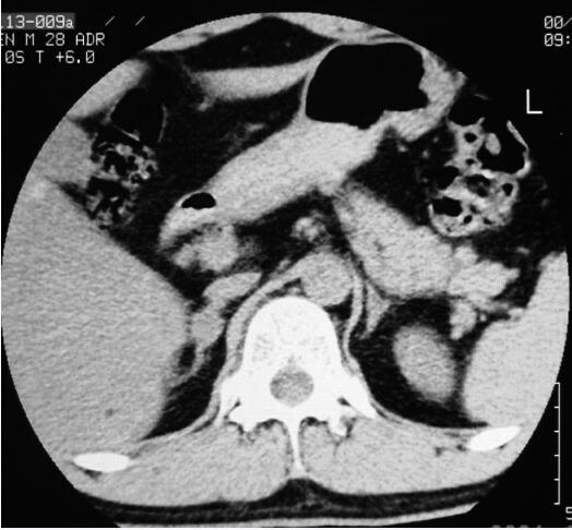
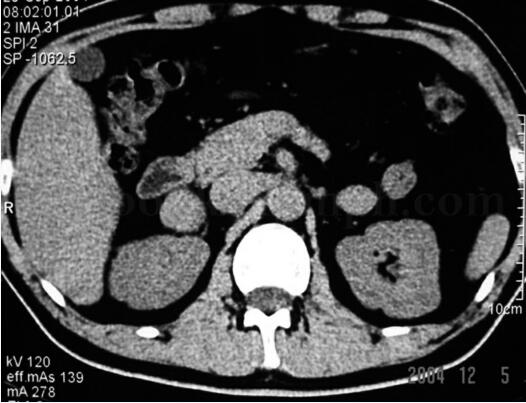
CT:1999年CT:双肾上腺区结节影(图30-1)。2004年CT:双侧肾上腺区均可见类圆形占位,右侧大小约5cm×6cm,左侧大小约3cm×4cm,增强后不均匀强化(图30-2)。

图30-1 4年前肾上腺CT

图30-2 肾上腺CT
【术前诊断】
多发性内分泌肿瘤(MEN-Ⅱ型)
双侧肾上腺嗜铬细胞瘤
甲状腺髓样癌
甲状旁腺功能亢进
【治疗经过】
口服酚苄明30mg/d,进行术前准备3周,体重增加约2公斤,有明显鼻塞症状,肢体末梢变暖。血压及心率稳定。于2004年12月9日行全麻下经腹膜后入路腹腔镜双侧肾上腺嗜铬细胞瘤切除术,术中切除右侧肾上腺肿瘤4枚,左侧肿瘤1枚。病理报告示“嗜铬细胞瘤”,2004年12月13日患者痊愈出院。
2005年1月20日在我院血管外科行甲状腺癌根治术+甲状旁腺次全切除,术后病理报告示“双侧甲状腺髓样癌,双侧甲状旁腺增生”。
【术后诊断】
多发性内分泌肿瘤(MEN-Ⅱa型)
嗜铬细胞瘤(双侧多发)
双侧甲状腺髓样癌
双侧甲状旁腺增生
【讨论内容】
文献综述及专家点评:
多发性内分泌肿瘤(multiple endocrine neoplasms,MEN):为常染色体显性遗传病。分以下四型:
MEN-Ⅰ型,又称Wermer综合征,包括垂体、甲状旁腺和胰腺的肿瘤。
MEN-Ⅱa型,又称Sipple综合征,包括嗜铬细胞瘤(或肾上腺髓质增生),甲状腺髓样癌、甲状旁腺肿瘤。
MEN-Ⅱb型,除MEN-Ⅱa型的肿瘤外,还可以患多发性皮肤或黏膜神经瘤。
MEN-Ⅲ型,甲状旁腺瘤和乳头状甲状腺癌。
以下有关MEN-Ⅱ型进行相关综述:
1. 遗传学特点
MEN-Ⅱ 型可按临床表现分为MEN-Ⅱa型、MEN-Ⅱb型及仅表现为甲状腺髓样癌的亚型。MEN-Ⅱ 型是一种常染色体显性遗传病,其基因定位在第10号染色体上。MEN-Ⅱa型的突变95%发生在5个编码半胱氨酸的密码子上:第10外显子的第609、611、618、620密码子及第11外显子上的第634密码子。其中,第634密码子的突变是主要的,占全部突变的73%~85%。MEN-Ⅱb型的突变多发生在第16外显子上的第918密码子,即在细胞内酪氨酸激酶区域内,使蛋氨酸变成苏氨酸。
2. 临床表现
MEN-Ⅱ型多于青少年发病,其中MEN-Ⅱb型起病更早。MEN-Ⅱa型是最常见的类型,表现为甲状腺髓样癌合并嗜铬细胞瘤和甲状旁腺肿瘤。MEN-Ⅱb型患者还包括特征性的表现,比如马方综合征体形、多发的黏膜神经瘤,以及骨骼肌肉的改变。MEN-Ⅱb型患者很少出现甲状旁腺病变。
MEN-Ⅱ型多有家族史,主要病变是甲状腺髓样癌,约占80%~90%,一般出现在嗜铬细胞瘤和甲状旁腺功能亢进(甲旁亢)之前,其发病的主要特征是双侧和多中心病变。MEN-Ⅱ型患者的嗜铬细胞瘤多为良性,大多数为双侧及多中心病变,典型症状为阵发性高血压,伴有头痛、心悸、多汗。肾上腺外及恶性嗜铬细胞瘤少见。MEN甲旁亢与一般的甲旁亢相似。
3. 诊断
MEN-Ⅱ型的诊断主要依赖于临床表现、内分泌检查及影像学检查。甲状腺髓样癌由于分泌大量降钙素使血浆降钙素水平明显升高,是本病的一个重要特点和标志,所以降钙素的测定,特别是五肽胃泌素刺激试验,可早期诊断原发或复发性的甲状腺髓样癌。
基因诊断已经成为诊断MEN-Ⅱ型可靠的方法,能够做到早期诊断。RET基因检测阳性的患者都会发生甲状腺髓样癌,故主张对RET基因检测阳性的患者进行预防性甲状腺切除手术,而阴性的患者则不再需要进一步的基因和生化检查。
对于肾上腺嗜铬细胞瘤,内分泌检查包括24小时尿儿茶酚胺或其代谢产物-甲氧基-4-羟基-扁桃酸或间甲肾上腺素的测定,血浆间甲肾上腺素的测定具有更高的敏感性。131I-MIBG核素显像可以帮助定性诊断嗜铬细胞瘤。CT和超主要用于定位。
建议对如下可疑病例应进行筛查:①患有甲状腺髓样癌或出现两种或两种以上与MEN-Ⅱ型相关的内分泌肿瘤者;②年龄小于30岁,出现一种与MEN-Ⅱ型相关的内分泌肿瘤者;③有黏膜神经瘤及马方综合征体形者;④有MEN-Ⅱ型或甲状腺肿大或高血压家族史者。
4. 治疗及预后
MEN-Ⅱ型主要依靠手术治疗。如发现有嗜铬细胞瘤,应先行肾上腺手术,否则其他手术可诱发致死性的严重高血压发作。术前需进行α受体阻滞剂准备。MEN-Ⅱ型中的嗜铬细胞瘤多为双侧病变且多为良性,故可只行嗜铬细胞瘤切除,尽量保留正常的肾上腺组织。近来,腹腔镜手术以其微创优势而得到迅猛发展,已经被用于嗜铬细胞瘤的切除,包括双侧切除及部分切除。术中的血流动力学变化及并发症与开放手术没有明显差异。
切除嗜铬细胞瘤后,应及时治疗甲状腺髓样癌及甲状旁腺功能亢进。甲状腺髓样癌应行甲状腺全切或次全切除,使术后降钙素水平正常。术后监测血浆降钙素水平,以了解有无肿瘤残留。血降钙素水平高或刺激试验阳性,说明仍有过多分泌降钙素病变的存在。
MEN-Ⅱ型预后比较好,影响其预后的主要病变是甲状腺髓样癌。甲状腺髓样癌第1次术后,血降钙素水平持续增高不伴有其他疾病者,10年生存率为6%。但如首次手术已有包膜浸润,则提示手术效果不良。
参 考 文 献
1. Mulligan LM,Kwok JB,Healey CS,et al. Germ-line mutations of the RET proto-oncogene in multiple endocrine neoplasia type 2A. Nature,1993,363(6428):458-460
2. Eng C. Seminars in medicine of the Beth Israel Hospital,Boston. The RET proto-oncogene in multiple endocrine neoplasia type 2 and Hirschsprung’s disease. N Engl J Med,1996,335(13):943-951
3. Moley JF1 The molecular genetics of multiple endocrine neoplasia type 2A and related syndromes1. Annu Rev Med,1997,48:409-420
4. Gordon C,Majzoub JA,marsh DJ,et al. Four cases of mucosal neuroma syndrome:multiple endocrine neoplasm 2B or not 2B? J Clin Endocrinol Metab,1998,83(1):17-20
5. Schimke RN. Phenotype of malignancy:the mucosal neuroma syndrome. Pediatrics,1973,52(2):283-284
6. Lips CJ,Landsvater RM,H?ppener JW,et al. Clinical screening as compared with DNA analysis in families with multiple endocrine neoplasia type 2A. N Engl J Med,1994,331(13):828-835
7. Learoyd DL,Marsh DJ,Genetic testing for familial cancer. Consequences of RET proto-oncogene mutation analysis in multiple endocrine neoplasia,type 2. Arch Surg,1997,132(9):1022-1025
8. Sawka AM,Jaeschke R,Singh RJ,et al. A comparison of biochemical tests for pheochromocytoma:measurement of fractionated plasma metanephrines compared with the combination of 24-hour urinary metanephrines and catecholamines. J Clin Endocrinol Metab,2003,88(2):553-558
9. Walther MM,Herring J,Choyke PL,et al. Laparoscopic partial adrenalectomy in patients with hereditary forms of pheochromocytoma. J Urol,2000,164(1):14-17
10. 孟迅吾. 高降钙素血症. 见:史轶蘩.协和内分泌和代谢学.北京:科学出版社,1999
来源:《泌尿外科疑难病例讨论精选》
作者:那彦群 陈山
参编:王建业 王晓峰 李汉忠 万奔 马潞林
页码:137-140
出版:人民卫生出版社
- 评价此内容
- 我要打分
近期推荐
热门关键词
最新会议
- 2013循证医学和实效研究方法学研讨会
- 欧洲心脏病学会年会
- 世界帕金森病和相关疾病2013年会议
- 英国介入放射学学会2013年第25届年会
- 美国血液学会2013年年会
- 美国癫痫学会2013年第67届年会
- 肥胖学会 2013年年会
- 2013年第9届欧洲抗体会议
- 国际精神病学协会 2013年会议
- 妇科肿瘤2013年第18届大会
- 国际创伤压力研究学会2013年第29届…
- 2013年第4届亚太地区骨质疏松症会议
- 皮肤病协会国际2013年会议
- 世界糖尿病2013年大会
- 2013年国际成瘾性药年会
- 彭晓霞---诊断试验的Meta分析
- 武姗姗---累积Meta分析和TSA分析
- 孙凤---Network Meta分析
- 杨智荣---Cochrane综述实战经验分享
- 杨祖耀---疾病频率资料的Meta分析
合作伙伴
Copyright g-medon.com All Rights Reserved 环球医学资讯 未经授权请勿转载!
网络实名:环球医学:京ICP备08004413号-2
关于我们|
我们的服务|版权及责任声明|联系我们
互联网药品信息服务资格证书(京)-经营性-2017-0027
互联网医疗保健信息服务复核同意书 京卫计网审[2015]第0344号




会员登录

