双肺多发结节及肿块患者诊断与鉴别诊断案例分析
61岁女性,无诱因出现阵发性咳嗽,咳少量白痰,未诊治,症状逐渐加重,就诊于当地医院,查胸部CT示双肺多发结节影,考虑双肺多发转移瘤,双侧少量胸腔积液。为进一步诊治收住院。如何诊治?
一、入院疑诊
(一)病例信息
【病史】
女性患者,61岁,2个月前无诱因出现阵发性咳嗽,咳少量白痰,无发热,无胸痛、咯血、气促,无夜间盗汗、食欲减退,起初未在意,未诊治,症状逐渐加重,2天前就诊于当地医院,查胸部CT示双肺多发结节影,考虑双肺多发转移瘤,双侧少量胸腔积液。为进一步诊治收住院。自发病以来,患者精神、食欲尚可,大小便正常,体重无明显变化。
患者6年前因甲状腺结节于当地医院行手术治疗(考虑良性肿瘤,具体病理不详);患高血压病2年,服用苯磺酸氨氯地平,血压控制良好;无烟酒史;否认家族遗传性疾病病史。
【体格检查】
体温36.3℃,血压122/75mmHg,心率78次/分,呼吸18次/分。神志清楚,全身浅表淋巴结未触及,口唇无发绀;胸廓无畸形;双肺呼吸音清晰,未闻干湿啰音;心律齐,未闻病理性杂音;腹部查体无异常;无杵状指(趾),双下肢无水肿。
【实验室检查】
血常规正常。
CRP 21.40mg/L;ESR 55mm/1h。
血气分析(未吸氧):pH 7.393,PaCO2 35.3mmHg,PaO2 69.1mmHg,SaO2 92.9%,HCO3-22.6mmol/L。
肿瘤标志物:癌胚抗原(carcino-embryonic antigen,CEA)、甲胎蛋白(α-fetoprotein,AFP)正常。
甲状腺功能正常。
血糖:空腹血糖8.02mmol/L,餐后2小时血糖16.26mmol/L;糖化血红蛋白(glycosylated hemoglobin A1c,HbA1c)10.2%。
痰培养未检出致病菌,多次痰涂片未检出抗酸杆菌。
PPD试验阴性。
【影像学检查】
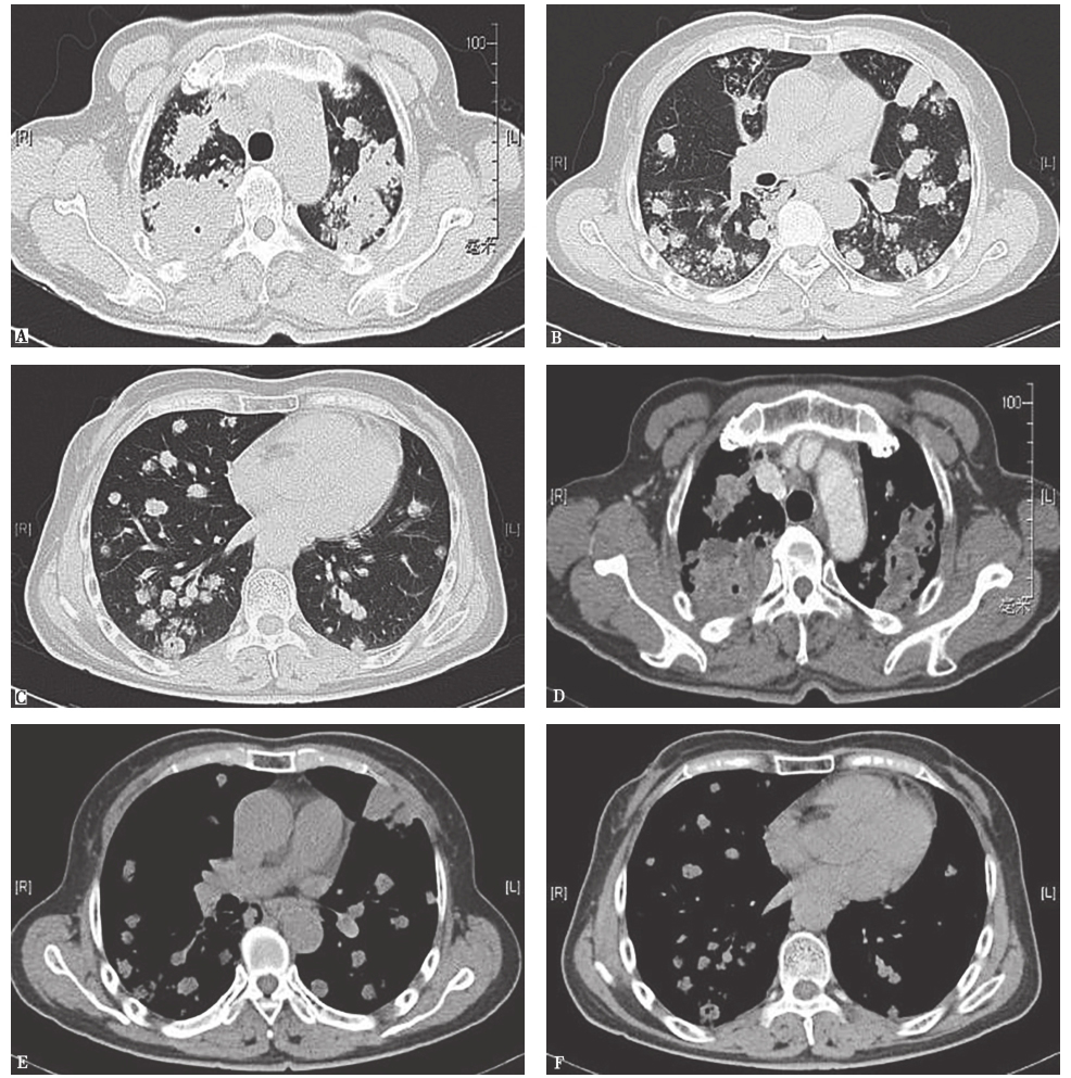
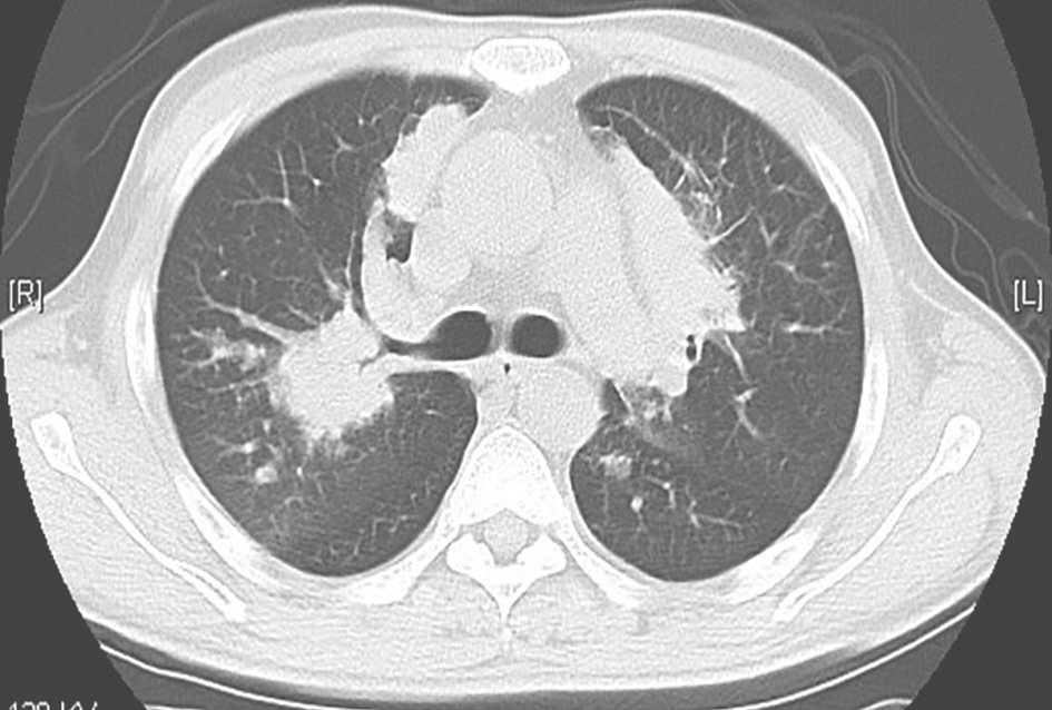
胸部CT平扫和增强扫描示:双肺多发结节及肿块高密度影;纵隔内可见淋巴结轻度增大,无融合趋势(图1)。

图1 胸部CT平扫和增强影像
双肺弥漫多发结节及肿块高密度影(A~F);纵隔内部分淋巴结轻度增大(D~F),无融合趋势
(二)临床思辨
【临床特点】
1.患者为中年女性,既往有高血压及甲状腺手术史,病程呈亚急性。
2.主要症状和体征为咳嗽、咳痰,病程中均无发热、气促,无阳性体征。
3.实验室检查显示炎症指标有升高,肿瘤标志物正常,血糖升高,血气分析提示低氧血症。
4.影像学检查显示双肺弥漫性多发结节和肿块,上肺明显,局部病灶有小空洞,纵隔内淋巴结无明显肿大,肺内病灶增强后无明显强化。
【思辨要点】
本例患者主要症状为咳嗽、咳痰,无阳性体征,临床表现无病因特异性,但胸部影像学表现为双肺多发结节和肿块,因此首先由此入手来鉴别。
1.如何鉴别双肺多发结节和肿块?
所谓双肺多发结节和肿块,即两侧肺野内有两个或更多较局限的球形或类球形病灶,病灶大小各不相同。通常,直径>3cm的圆形或卵圆形肺实质病变称为肿块,1~3cm的类圆形病灶称为结节,<1cm的称为小结节。如果病灶数量无法数清且其直径<3mm,称为粟粒性病变。类似疾病主要分为两大类,即感染性疾病和非感染性疾病。
(1)感染性疾病:
金黄色葡萄球菌感染是常见的细菌感染,可引起血源性肺脓肿(图2),患者多有寒战、高热等全身中毒症状,伴有咳嗽、咳黄脓痰,实验室检查提示血象明显增高。除常见细菌外,特殊病原体感染亦可有双肺多发结节表现,如肺结核、肺真菌感染(曲霉菌、隐球菌、组织胞浆菌等)。肺结核患者多有午后低热、盗汗、咯血、食欲减退等结核中毒症状,病灶常位于上叶尖后段及下叶背段,而双肺多发结节病灶常见于血行播散型肺结核(表现为双肺弥漫性粟粒样结节)及支气管播散性肺结核(表现为小叶中心性结节,即树芽征改变)。肺曲霉菌感染多有免疫力低下的危险因素或肺部原有空洞继发感染,影像表现为结节周围有晕征或空气新月征(图3)。肺隐球菌病常见于社区获得性感染,多表现为咳嗽、咳痰、咯血、胸闷、胸痛、低热等,影像学可表现孤立性结节或双肺多发结节(图4),多近胸膜下分布,有时结节周边也出现晕征。组织胞浆菌病主要经呼吸道感染,人体吸入孢子2~3周后,机体即产生淋巴细胞介导的细胞免疫反应。免疫功能正常者绝大多数病变局限肺内或形成良性播散,病情轻者多可自愈;免疫反应较弱或感染剂量过大者则可病菌通过肺门淋巴结进入血液循环,播散至全身多个脏器,导致进行性播散性组织胞浆菌病,主要累及单核巨噬细胞系统,如肝、脾、骨髓、淋巴结等,影像学表现多样,可有间质性肺炎、渗出性实变、肺门及纵隔淋巴结肿大、结节增殖性病灶、胸腔积液等。

图2 金黄色葡萄球菌性肺脓肿胸部CT表现
CT可见双肺多发肺脓肿伴右侧胸腔积液

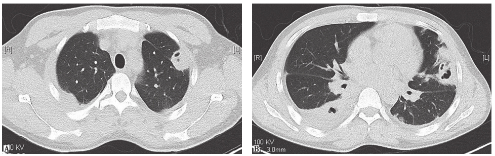
图3 左上肺曲霉菌胸部CT表现
CT可见左上肺结节周围晕征伴空气新月征

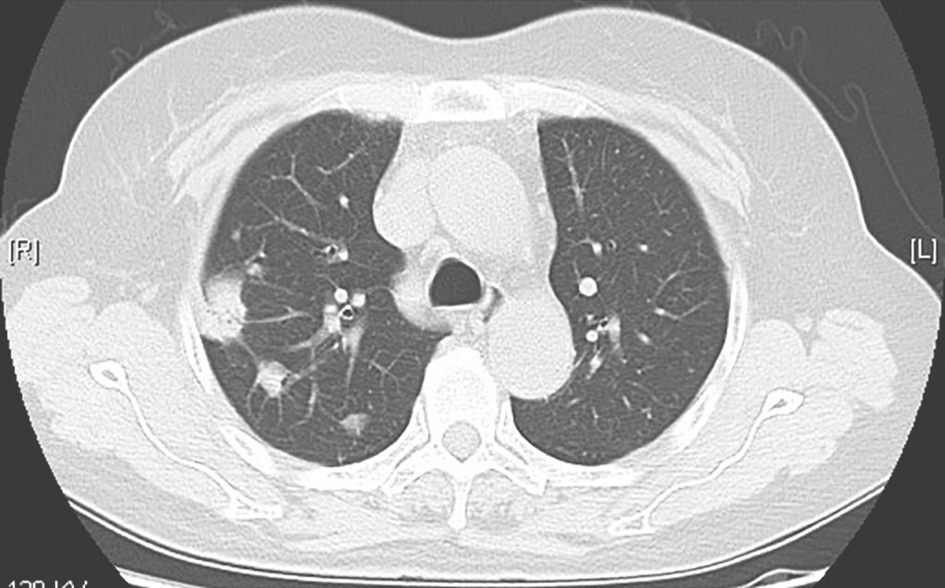
图4 肺隐球菌病胸部CT表现
CT可见右上肺多发结节影
(2)非感染性疾病:
首先,要注意排除肺恶性肿瘤。肺内原发肿瘤病灶常有分叶、毛刺、锯齿征、空泡或支气管充气、血管集束征、胸膜凹陷等表现,同时可伴有纵隔及肺门淋巴结肿大;肺转移瘤多为血行转移,CT显示两肺内多发圆形致密影,大小不一,边缘光整,密度均匀,以中下肺为主,即胸膜下和肺基底部明显(原因是这些部位血流丰富)。肺良性肿瘤亦可有双肺多发结节表现,如炎性假瘤可表现为单发或多个病灶,常边缘光整,无分叶,无毛刺,其内密度均匀,包膜强化,环形强化边缘呈连续性、无中断。CT增强扫描对肺内良、恶性结节的鉴别诊断有重要价值:增强扫描病灶CT值增加在20HU以下,多为良性(准确率>78%);CT值增加超过60HU,多为炎性病灶;CT值增加在两者之间,可为多种病灶的共同表现征象,以恶性肿瘤多见。
其次,一些非肿瘤性疾病也可有肺内多发结节表现。例如,韦格纳肉芽肿病(图5)的特征为上、下气道坏死性肉芽肿性血管炎,弥漫性小血管血管炎与局限性肾小球肾炎,常有cANCA阳性,有全身多系统(如耳、鼻、肺、肾等)受累,典型病变的X线胸片显示一个到数个边界模糊的结节状肿块,直径为2~4cm,高达50%的患者可见空洞。结节状肿块在不同病程阶段表现不同,可见较新、较小的阴影与较大、较陈旧的空洞性病灶。原发性肺淀粉样变为一种罕见疾病,按发生形式可分为3类:气管支气管型、结节性肺实质型、弥漫性肺实质型和肺泡间隔型。典型的气管支气管型病变可引起弥漫性不规则的大气道狭窄并可导致阻塞性肺不张。结节性肺淀粉样变(图6)可表现为肺内单发或多发结节,多位于肺下叶外带,直径为0.5~5cm,偶见有斑点状钙化或胸腔积液,极少有空洞。结节病为一种全身性疾病,可引起多器官非干酪性肉芽肿,包括皮肤、骨、心脏、眼、脑脊膜和肺。结节病的肺内结节表现为边缘不清、多发,直径可达5cm或更大。肺内类风湿结节为一种渐进性坏死性结节,是类风湿关节炎的表现之一,男性多见,结节在病理上与皮下组织内的结节相同,典型的肺内结节可见于进展期类风湿关节炎患者。类风湿性结节在X线胸片上通常表现为一个到数个结节,常有胸膜下发生的倾向。肺淋巴瘤多为全身病变的一部分,极少数仅见于肺,其影像学表现多样,其中结节或肿块型的病灶边缘呈棉絮状或周围呈磨玻璃样,多合并肺内斑片、肺间质变,最终诊断须依靠病理检查结果明确。

图5 韦格纳肉芽肿病胸部CT表现
CT可见双肺多发多形结节影

图6 原发性肺淀粉样变胸部CT表现
CT可见双肺多发密度较为一致的结节影
2.本病例是感染还是非感染性疾病?
本例患者为中老年女性,咳嗽、咳痰长达2个月,症状无特异性,无发热,血象正常,ESR及CRP仅轻-中度升高,但病程长,因此不支持常见急性感染性疾病,而要考虑特殊病原体导致的慢性感染及非感染性疾病。
结合患者住院期间发现有糖尿病,发病前未接受任何治疗,入院后查HbAlc明显升高证实其血糖控制欠佳;影像学检查显示病变主要位于双上肺尖后段,呈团片状实变影,纵隔窗上可见较多坏死低密度区,双肺多发结节,结节边缘不规则,结节周围有卫星灶及树芽征改变,故需警惕肺结核可能,可进一步查抗结核抗体、PPD试验及多次送检痰涂片抗酸染色,同时可进行经支气管肺活检或经皮肺穿刺活检。其次,患者虽否认有鸽粪及鸟禽类等接触史,但仍需注意排除肺隐球菌病,可查气管镜活检协助诊断。
对于非感染性疾病,本例患者双上肺病灶范围大,边缘不规则,有分叶及锯齿征、空泡改变,同时双肺弥漫多发结节,需要考虑肺恶性肿瘤可能。患者无其他系统损害,肺内病灶空洞不明显,因此不考虑韦格纳肉芽肿等非肿瘤性疾病。
3.下一步应进行何种检查以辅助鉴别诊断?
临床上,支气管镜检查对于明确双肺弥漫性病变诊断有重要作用。经支气管肺活检尽管有一定局限性,但由于创伤小、费用低、具有可重复性,在弥漫性肺病诊断中仍具有一定的地位(可对近30%的弥漫性肺疾病确诊),可作为开胸之前的常规筛查手段。对于拟诊肺结核患者,经支气管镜联合活检、刷检涂片、支气管肺泡灌洗液涂片和培养等不同检测方法互为补充,可避免单一检测的局限性,提高检测阳性率。因此,对于本例患者,入院后应尽快安排气管镜检查以协助诊断。
二、诊治过程及确诊
临床信息
【支气管镜检查】
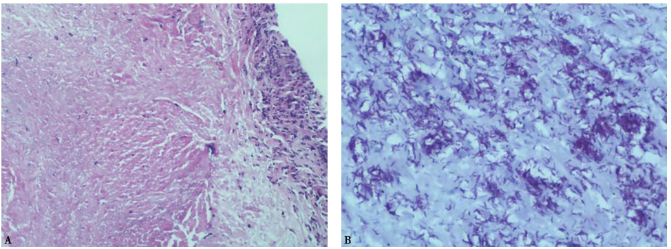
气管及双侧各叶段支气管未见明显异常。于右上叶后段行经支气管肺活检及右肺中叶支气管肺泡灌洗检查。肺组织活检示少量支气管黏膜,可见干酪样坏死,坏死周围呈慢性肉芽肿性炎症反应,抗酸染色阳性(图7)。BALF经分枝杆菌培养/药敏系统培养出分枝杆菌,并通过基因检测确定为结核分枝杆菌。

图7 经支气管肺活检
活检肺组织中可见干酪样坏死(A.HE染色,200×),抗酸染色见大量结核分枝杆菌(B.抗酸染色,1000×)
最后诊断:双肺继发性肺结核。
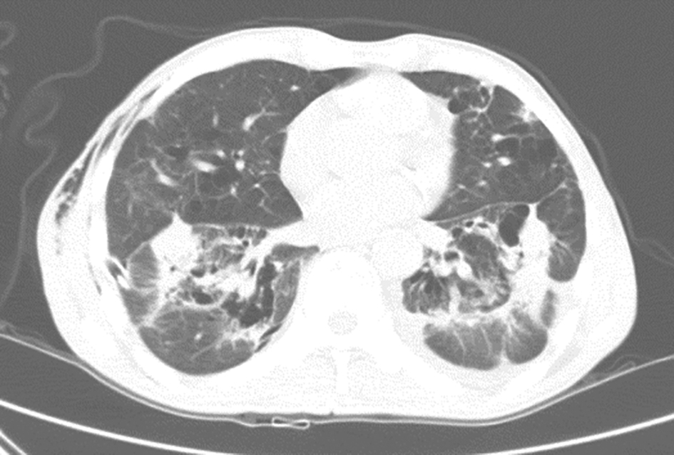
临床确诊后,给予3HRZE/9HRE抗结核治疗,1年后复查胸部CT,示双肺原结节样病灶明显吸收(图8)。

图8 抗结核治疗1年后胸部CT表现
精要回顾与启示
双肺多发结节及肿块是呼吸科临床医师需要仔细甄别的影像学表现之一,可能是感染性疾病,也可能是非感染性疾病,甚至两者皆有。对于此种影像学改变,临床处理原则常根据症状及相关实验室检查指标来初步判断是否为感染性病变,必要时行经验性抗感染治疗,若常规抗感染治疗无效则须进一步深入检查(包括有创性操作)以进一步明确诊断。同时,仔细观察患者胸部影像学显示病灶的部位、大小、形状等特征也可能有助于临床鉴别诊断。
结核病是我国重点防控的传染性疾病之一。及时、准确诊断并彻底治愈患者,不仅能够使患者恢复健康,而且是消除传染源、控制结核病流行的重要措施。而某些特殊肺结核患者可在症状、体征和胸部X线表现及临床经过等诸多方面与一般肺结核患者有许多不同点,即所谓“不典型肺结核”,较易延误诊断,需引起临床重视。其中糖尿病合并肺结核时,X线胸片特点是以渗出、干酪为主,可呈大片状、巨块状,易形成空洞及结节,好发于肺门区及中下肺野,病变进展快(应注意与急性肺炎、肺脓肿、肺癌鉴别)。
不典型肺结核的影像表现多样,给诊断及治疗带来一定困难。仔细观察影像学表现,同时结合临床检验综合评估,对于临床检验阴性的病例应尽早进行组织活检以明确诊断。
参考文献
[1]刘莹,刘蓉,崔建立.支气管镜检查对拟诊肺结核患者的病原学诊断价值[J].中华结核和呼吸杂志,2012,35(5):366-367.
知识来源
人卫知识数字服务体系
- 评价此内容
- 我要打分
近期推荐
热门关键词
最新会议
- 2013循证医学和实效研究方法学研讨会
- 欧洲心脏病学会年会
- 世界帕金森病和相关疾病2013年会议
- 英国介入放射学学会2013年第25届年会
- 美国血液学会2013年年会
- 美国癫痫学会2013年第67届年会
- 肥胖学会 2013年年会
- 2013年第9届欧洲抗体会议
- 国际精神病学协会 2013年会议
- 妇科肿瘤2013年第18届大会
- 国际创伤压力研究学会2013年第29届…
- 2013年第4届亚太地区骨质疏松症会议
- 皮肤病协会国际2013年会议
- 世界糖尿病2013年大会
- 2013年国际成瘾性药年会
- 彭晓霞---诊断试验的Meta分析
- 武姗姗---累积Meta分析和TSA分析
- 孙凤---Network Meta分析
- 杨智荣---Cochrane综述实战经验分享
- 杨祖耀---疾病频率资料的Meta分析
合作伙伴
Copyright g-medon.com All Rights Reserved 环球医学资讯 未经授权请勿转载!
网络实名:环球医学:京ICP备08004413号-2
关于我们|
我们的服务|版权及责任声明|联系我们
互联网药品信息服务资格证书(京)-经营性-2017-0027
互联网医疗保健信息服务复核同意书 京卫计网审[2015]第0344号




会员登录

