朱惠娟、姚勇:颅内生殖细胞肿瘤概述
生殖细胞肿瘤是起源于原始生殖细胞或多能胚胎细胞的恶性肿瘤,好发于儿童青少年患者的生殖腺或生殖腺外(extragonadal germ cell tumor),生殖腺外的生殖细胞肿瘤多位于中线部位,如:松果体、鞍区、基底节区、纵隔、后腹膜和骶尾部等。颅内生殖细胞肿瘤常见于松果体区,而原发鞍区或者多部位病变累及鞍区的颅内生殖细胞肿瘤患者常因出现中枢性尿崩症、垂体前叶功能低减相关症状或少数患者出现性早熟表现而就诊。化疗联合放疗是生殖细胞肿瘤的有效治疗方法,部分患者需要结合手术治疗,术后需要密切随诊监测、激素评估和治疗。因此内分泌科、神经外科、放射治疗科、肿瘤科以及儿科的多学科诊疗能够显著提高颅内生殖细胞肿瘤患者的疗效和长期生存质量。
一、流行病学
目前尚无我国大陆颅内生殖细胞肿瘤患者的流行病学资料。北美儿童和青年患者中生殖细胞肿瘤约占原发颅内肿瘤的1%,诊断中位年龄约16岁。美国生殖细胞肿瘤的总体年发病率约为0.6/1000000;欧洲为1.0/1000000;而日本为2.7/1000000。亚洲报道生殖细胞肿瘤的发生率显著高于北美,台湾儿童青少年原发颅内肿瘤中约10%为生殖细胞肿瘤。
大多数颅内生殖细胞肿瘤发生在松果体(40%~60%)或鞍区(30%~40%),同时约5%~10%患者双部位受累。病变位于鞍区的患者女性稍多于男性,松果体受累的男性患者显著高于女性,男女比为15∶1。颅内生殖细胞肿瘤多于青春期或稍晚些时期发现,但是鞍区肿瘤经常在儿童期就表现出来,除了松果体和鞍区,发生在非典型部位如基底节区和颅后窝的生殖细胞肿瘤患者也有报道。
生殖细胞瘤的病因不明,但通常认为来源于孕3~4周卵黄囊的多潜能原始生殖细胞。颅内生殖细胞肿瘤(cranial germ cell tumor)可分为生殖细胞瘤(germinoma),非生殖细胞瘤性生殖细胞肿瘤(non-germinomatous germ-cell tumours,NGGCT)以及畸胎瘤(teratoma)。目前颅内生殖细胞肿瘤的分类标准是基于组织学、免疫组化以及肿瘤标志物。WHO将颅内生殖细胞肿瘤分为6种类型:生殖细胞瘤、胚胎癌、卵黄囊瘤、绒毛膜癌、畸胎瘤以及混合型生殖细胞肿瘤。畸胎瘤分为成熟畸胎瘤和含有胚胎成分的非成熟畸胎瘤,后者常表现为恶性生物学行为。超过50%的生殖细胞肿瘤为纯生殖细胞瘤,混合型生殖细胞肿瘤和畸胎瘤分别占到10%~20%,剩余的非生殖细胞瘤性生殖细胞肿瘤各占到5%~10%。混合型生殖细胞肿瘤可以含有不同的生殖细胞肿瘤类型,甚至含有生殖细胞瘤和畸胎瘤的成分,增加了临床病理分型的难度。足量的组织学标本,以及组织学和/或肿瘤标志物的评估对于指导治疗至关重要。
生殖细胞肿瘤的组织学类别常以不同方式组合,治疗反应和预后不同,日本学者按照临床预后进行分类:预后良好组、预后中等组和预后不良组,预后良好组包括纯生殖细胞瘤和成熟畸胎瘤,预后中等组包括含有纯生殖细胞瘤和畸胎瘤成分的混合型生殖细胞肿瘤、非成熟畸胎瘤,预后不良组包括卵黄囊瘤、胚胎癌和绒毛膜癌,或含有上述成分的混合型生殖细胞肿瘤。但颅内生殖细胞肿瘤的危险分级仍十分复杂,需密切结合临床实际如肿瘤部位、转移状态和肿瘤标志物分泌情况等。
二、临床表现
颅内生殖细胞肿瘤的临床表现和体征在很大程度上取决于病变的部位、大小、肿瘤类型以及发病年龄。生殖细胞肿瘤发生部位和病理类型异质性较强导致临床表现多样,诊断困难。
患者的临床表现包括:①梗阻性脑积水导致的颅内压升高相关临床表现:包括头痛、恶心和呕吐、视盘水肿甚至意识障碍。少数患者可出现背部中脑综合征,也叫Parinaud综合征,主要表现为双眼同向上视障碍,瞳孔调节与对光反射异常,辐辏式退缩性眼球震颤等;②鞍区病变表现为下丘脑-垂体轴系功能异常:中枢性尿崩症是鞍区生殖细胞肿瘤患者最早也是最常见的临床表现,患者表现为多尿、烦渴和多饮,儿童患者全天尿量超过2L/m2而成人超过3L/d,日夜尿量相当,此症状常被患者及家长忽视。随着病变进展部分患者出现垂体前叶各轴系功能的障碍,表现为生长停滞、性发育停滞甚至后退、怕冷、食欲下降,体重下降等。鞍区肿瘤也可因为视通路压迫表现为视力下降和视野缺损。病变增大累及下丘脑的患者会出现下丘脑综合征,如嗜睡、出汗障碍、体温调节异常、渴感消失甚至出现精神意识障碍,提示病情的加重;③少数患者因肿瘤分泌的绒毛膜促性腺激素(HCG)水平的升高,表现出周围性性早熟的表现,常见于男童,表现为外生殖器的发育和生长加速,骨龄提前等。④基底节区和其他部位的颅内生殖细胞肿瘤患者可以出现相关脑区的功能障碍表现,如:偏身无力、软瘫等。
NGGCT比纯生殖细胞瘤进展更快,易侵袭生长、播散转移和肿瘤出血,所以NGGCT患者病程更短。颅内纯生殖细胞瘤的患者,诊断之前的症状持续时间能够极其长,患者可在尿崩症持续多年后才出现占位相关其他临床表现得以诊断。发生在基底节或丘脑的颅内生殖细胞瘤也被报道存在长时间的癫痫、偏瘫和痴呆。研究报道54%的患者因缺乏特异性临床表现而使延迟诊断的时间常超过6个月以上,北京协和医院回顾性总结53例儿童青少年颅内生殖细胞肿瘤患者,其中83%(44/53)的患者延迟诊断,延迟诊断时间中位数为25个月,首发症状为多尿和生长停滞的患者更易发生延迟诊断。
三、诊断
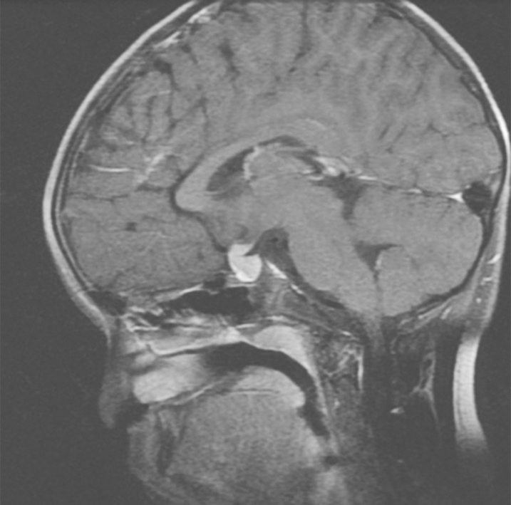
颅内生殖细胞肿瘤的诊断较为困难,结合患者的临床表现,血清和脑脊液的肿瘤标志物、影像学检查,以及手术标本的病理学诊断。对于结合患者临床表现疑诊颅内生殖细胞肿瘤的患者,在完善垂体功能评估和血清及脑脊液中β-hCG、α-甲胎蛋白(AFP)检测的同时,需尽快完善影像学检查。磁共振成像是最优的检查手段,但是CT对了解肿瘤密度、钙化、出血以及脑积水的程度很重要。典型颅内生殖细胞肿瘤T1加权相为底信号或等信号,增强相能被均匀强化(图1)。生殖细胞瘤生长迅速,可以伴有出血坏死表现为核磁影像上的不均一。绒毛膜癌因具有明显的血管化,常表现为肿瘤内出血。畸胎瘤有囊性和实性成分混合,成熟畸胎瘤常表现为可见的脂肪和骨质。大多数生殖细胞肿瘤在影像学上跟松果体和鞍区其他肿瘤难以鉴别,包括松果体室管膜瘤,胶质瘤,郎格汉斯(Langerhans)细胞组织细胞增生症、下丘脑垂体自身免疫炎症以及转移瘤,需要更多的临床线索和诊断证据鉴别诊断。

图1垂体11.2mm×7.8mm×11.2mm,均匀强化,垂体柄横径6.8mm,前后径5.7mm,垂体柄增粗垂体后叶短T1信号未显示,视交叉受压向上移位
引自:内分泌外科学.第1版.ISBN:978-7-117-29197-2.主编:赵玉沛
血和脑脊液肿瘤标志物的检测对部分类型的生殖细胞肿瘤具有重要的诊断价值。临床常用的标记物包括β-hCG和α-甲胎蛋白(AFP);脑脊液的肿瘤标志物在颅内生殖细胞肿瘤的诊断中灵敏度更高。卵黄囊瘤、胚胎癌和非成熟畸胎瘤能够分泌AFP,而β-hCG通常由绒毛膜癌、恶性畸胎瘤和含有滋养层组织的胚胎癌分泌。
目前,无公认的脑脊液和血清对肿瘤标志物诊断界值,当血或/和脑脊液β-hCG > 50mIU/ml AFP > 25μg/L,即可以诊断NGGCT。尽管AFP在纯生殖细胞瘤中不升高,但是β-hCG(常低于50mIU/ml)可见于伴有合体滋养层细胞的生殖细胞瘤,但β-hCG正常不能除外生殖细胞瘤的诊断。虽然胎盘碱性磷酸酶(placental alkaline phosphatase)和s-kit在生殖细胞瘤患者可以检测到升高,但目前并未广泛临床应用。脑脊液细胞学检查发现生殖细胞肿瘤的几率较小,但特异性较强。
对于肿瘤标志物均为阴性的高度疑诊颅内生殖细胞肿瘤的患者,既往采用诊断性放疗的方法观察放疗效果,如果试验性放疗能有效缩小肿瘤高度提示生殖细胞肿瘤的诊断,完成相应的放射治疗剂量。随着神经外科手术技术的发展,曾经难以切除或活检的部位如鞍区、垂体柄等部位,目前都能安全有效的切除或活检占位,对明确病理诊断和生殖细胞肿瘤分型具有重要的意义。北京协和医院脑外科总结61例临床疑诊颅内生殖细胞肿瘤患者,其中65.6%是纯生殖细胞肿瘤,16.4%为含有合体滋养层细胞的生殖细胞瘤,18%为NGGCTs。根据病理结果患者接受化疗及放射治疗。
对于鞍区或鞍上生殖细胞肿瘤的患者都要通过临床和激素水平的检测对垂体前叶功能以及是否合并中枢性尿崩症进行明确的诊断。GCTs能沿着脑脊髓播散,所以通过脑脊液细胞学和脊髓MRI的肿瘤分期对于诊断评估至关重要。除外双病灶,基于影像学或脑脊液细胞学阳性或者两者均在,约10%的患者存在软脑膜或者脑室内肿瘤播散。如超过1个颅内病灶(除外鞍上区和松果体双部位病灶的情况)、脊髓转移、中枢神经系统以外转移或脑脊液肿瘤细胞阳性这几种情况符合其一就考虑为转移期患者。
四、外科治疗
GCTs的外科手术价值由肿瘤组织学类型和肿瘤位置决定。外科干预对于诊断、肿瘤减灭、和(或)脑积水的治疗十分重要。典型的松果体病变表现为梗阻性脑积水,患者出现相关的颅压升高相关症状常需要外科干预。曾经采用脑室-腹膜引流快速解决颅压的问题又可以为肿瘤标志物分析提供样本。但可能会增加患者引流相关肿瘤转移的风险,因此目前不作为一线治疗手段。内镜下第三脑室造瘘术目前作为脑脊液分流的替代方案,既可以获得活检组织,又可为细胞和肿瘤标志物分析留取脑脊液,同时实现内在脑脊液分流。但这种治疗策略不适用于那些有明显第三脑室底肿瘤侵及的患者,这种情况见于大多数鞍区肿瘤。必要时选择暂时性脑室外引流,因为此类肿瘤早期对于放疗或者化疗反应良好。
第二种早期治疗的手术因素是需要组织诊断。对于松果体和鞍区占位高度怀疑GCTs的患者,血清和脑脊液AFP或者β-hCG水平正常,活检是明确诊断和病理分型的重要方法。立体定向和内镜常用来获取标本,尽管有出血风险,因此有的医师倾向于开颅活检。但需要警惕的是活检标本量不足的情况下容易被误诊为自身免疫下丘脑垂体炎,因生殖细胞肿瘤本身大多呈巢样分布,周围有大量的淋巴细胞和浆细胞聚集,导致继发性自身免疫炎症状态。
第三种早期治疗的手术因素是肿瘤减灭。生殖细胞瘤对放疗和化疗极其敏感,因此通常不适用于外科减瘤治疗。特别是对于纯生殖细胞瘤,手术导致的神经功能受损和内分泌功能紊乱的风险超过获益。缺乏明显AFP或者β-hCG升高以及没有包含恶性成分或者缺乏转移扩散证据的良性畸胎瘤对放疗或者化疗反应不佳,常需要肿瘤切除。NGGCTs的患者情况较为复杂可能包含对放化疗不敏感的畸胎瘤,并且混有生殖细胞瘤和非生殖细胞瘤成分。通常建议给予规范的化疗联合放疗的治疗方法,剩余部分最终通过手术切除。在这种情况下,一种所谓的“二次探查手术”被实施,目的是为了活检和切除潜在的化疗后残余组织,这种方法使儿童免遭不必要的手术干预。对于需要手术干预的患者,关于手术方案和技术很大程度上受肿瘤位置和程度的影响。对于松果体病变,多种入路是可行的。中线经小脑上幕下入路主要用于幕下生长的肿瘤,但如果小脑幕角太陡峭,这种就不是最佳方法。经枕部小脑幕入路,可有宽泛视野,但是有风险触及胼胝体压部和枕部视觉皮质,同时半球间经脑室入路方式是否合适,需要取决于肿瘤主体位于Galen静脉上或下,以及肿瘤侵袭第三脑室后部的程度。同样的,鞍上病变的手术方式也是由肿瘤的生长方式所决定,包括翼点、额下、半球间前部,和经脑室入路,以及经鼻内镜方式。
五、化疗和放射治疗
生殖细胞肿瘤特别是生殖细胞瘤是单纯放射治疗就能够有效控制甚至治愈的恶性肿瘤,但是大剂量放射治疗,特别是患者以儿童青少年居多,放疗导致的认知功能下降、脑血管病以及放疗相关的二次肿瘤风险,化疗联合低剂量放疗的新辅助治疗方法逐渐推广。生殖细胞瘤对化疗敏感,通常选择以铂类药物为基础的两药联合化疗方案,每3周重复化疗4~6个疗程。化疗后根据疗效决定后续放射治疗的剂量和范围。放化疗过程中注意监测患者的垂体激素分泌状态以及水电解质平衡,必要时要给予适当的激素替代治疗。
1.生殖细胞瘤
放疗既往已经成为生殖细胞瘤患者的治疗选择,尽管剂量和治疗范围各研究说法不一,过去的研究显示全部原发部位大约5000cGy,伴随全脑脊髓照射(CSI)或者WVRT到2500~3500cGy,伴原发部位增强(PTB)。法国小儿肿瘤学会(SFOP)的一项临床研究,照射前交替使用依托泊苷和卡铂与依托泊苷和异环磷酰胺治疗,随后4000cGy局部放射剂量,照射肿瘤外缘2cm,3年无事件生存率可为96.4%。其中4例复发患者中有3人在照射范围外发生复发,2人诊断超过3年之后发生复发。8年无事件生存率已下降至83%,其中10例患者中有8例在照射边缘或范围外发生复发。此外,日本儿科脑肿瘤研究组的合作小组试验指出,依托泊苷联合卡铂或顺铂的化疗,再加2400cGy局部照射肿瘤外缘1cm的治疗后复发率为12%,其中9例复发患者中有7例在照射范围外发生复发。日本的随访研究显示,涉及部位照射的患者复发率为28%,相比之下,全脑照射治疗患者的复发率为0%,接受扩展范围照射治疗的患者复发率为6%。这些结果证实了接受局部照射的患者脑室复发率较高,化疗与剂量降低的全脑室放疗加局部增强照射的联合治疗具有与传统放射治疗相似的生存结果。北京协和医院放疗科总结了170例颅内生殖细胞瘤患者的预后,5年和10年生存率分别为94.5%和91.3%,无复发生存率分别为91.9%和78.1%。其中38例联合化疗的新辅助治疗患者,化疗后24例完全缓解、11例部分缓解。研究证实全脑照射或脑室照射联合病灶区照射能够有效治疗颅内生殖细胞瘤,化疗联合放疗的治疗方法同样有效。
2.非生殖细胞瘤性生殖细胞肿瘤
NGGCTs患者对放疗和化疗的治疗疗效均不佳,长期生存率常低于40%。多模式治疗方法在不同地区不尽相同,在欧洲和美国,新辅助化疗后的手术通常与放疗联合使用。在日本的最新研究利用手术、放疗和基于顺铂/卡铂的化疗来治疗预后中等和不良的NGGCTs患者,预后中等类型的10年无进展生存率和总生存率分别为100%和85.1%,而预后不良类型的10年无进展生存率和总生存率分别为61%和67%。与先前的研究相比,生存率明显改善,可能是由于更大范围的切除,更高中位数的放射剂量(5400cGy),以及大多数患者接受化疗和全脑脊髓照射。NGGCTs的不同组织学亚型在放疗敏感性方面可能有很大差异。组织学证实的卵黄囊瘤、绒毛膜癌和胚胎癌的生存率不足25%,混合恶性肿瘤的预后更差,但主要成分是生殖细胞瘤并混有畸胎瘤或者NGGCTs成分的肿瘤预后要更好。这样的数据加强了一观点,NGGCTs的最佳治疗可能需要基于组织学或肿瘤标志物的分层治疗方式。而且,NGGCTs的疾病范围很重要,因为这些肿瘤通常与蛛网膜下腔播散相关,此时使用全脑脊髓照射(联合化疗)常常是必须的。
总之,颅内生殖细胞肿瘤是一类诊断和治疗都具有挑战性的疾病,肿瘤病理类型、病变部位和肿瘤大小差异导致临床表现各异,对化疗和放射治疗的反应性也差异巨大,神经外科在疾病的诊断、症状缓解和残余肿瘤切除中都发挥着重要作用。内分泌激素评估和替代治疗能够保证放化疗以及手术治疗的安全性。肿瘤科和放疗科对患者的治疗发挥重要的作用。治疗后密切随访,观察肿瘤的消失、可能的复发以及激素的替代治疗对改善患者的生活质量具有重要意义。
知识来源
人卫知识数字服务体系
作者:朱惠娟,姚勇,中国医学科学院北京协和医院
专家简介
朱惠娟,医学博士,主任医师,教授,博士生导师,内分泌科常务副主任。现任中国垂体瘤协作组委员兼秘书,中国医师协会内分泌代谢医师分会青委会副主任委员、中国医师协会青春期医学专业委员会副主任委员、北京医师协会内分泌代谢学专业委员会干事长。主编矮小症、肥胖症以及糖尿病相关书籍5本。擅长内分泌代谢疾病的诊治。
姚勇,主任医师,教授,博士研究生导师。北京协和医院垂体疾病创新诊疗中心主任,中国垂体腺瘤协作组副组长兼秘书长,中华医学会行为医学分会儿童下丘脑垂体疾病学组组长,中国罕见病联盟下丘脑垂体疾病学组秘书长,主要负责并组织编写多部各亚型垂体腺瘤诊治规范及专家共识。
- 评价此内容
- 我要打分
近期推荐
热门关键词
最新会议
- 2013循证医学和实效研究方法学研讨会
- 欧洲心脏病学会年会
- 世界帕金森病和相关疾病2013年会议
- 英国介入放射学学会2013年第25届年会
- 美国血液学会2013年年会
- 美国癫痫学会2013年第67届年会
- 肥胖学会 2013年年会
- 2013年第9届欧洲抗体会议
- 国际精神病学协会 2013年会议
- 妇科肿瘤2013年第18届大会
- 国际创伤压力研究学会2013年第29届…
- 2013年第4届亚太地区骨质疏松症会议
- 皮肤病协会国际2013年会议
- 世界糖尿病2013年大会
- 2013年国际成瘾性药年会
- 彭晓霞---诊断试验的Meta分析
- 武姗姗---累积Meta分析和TSA分析
- 孙凤---Network Meta分析
- 杨智荣---Cochrane综述实战经验分享
- 杨祖耀---疾病频率资料的Meta分析
合作伙伴
Copyright g-medon.com All Rights Reserved 环球医学资讯 未经授权请勿转载!
网络实名:环球医学:京ICP备08004413号-2
关于我们|
我们的服务|版权及责任声明|联系我们
互联网药品信息服务资格证书(京)-经营性-2017-0027
互联网医疗保健信息服务复核同意书 京卫计网审[2015]第0344号




会员登录

