潘爱军:重症手足口病的诊断和治疗
手足口病(hand foot and mouth disease,HFMD)是由多种肠道病毒(enterovirus,EV)感染引起的常见儿童传染病,又名发疹性水疱性口腔炎。5岁以下儿童多发,患儿症状大多较轻,呈自限性特点,1周内可痊愈。但少数会出现脑炎、无菌性脑膜炎、神经源性肺水肿、急性弛缓性麻痹及心肌炎等重症并发症。个别重症患儿病情进展迅速,甚至导致死亡,致死原因多为脑干脑炎及神经源性肺水肿。HFMD是全球性疾病,我国各地全年均有发生,发病率为37.006/10万~205.057/10万,重症率为0.088/10万~1.573/10万,死亡率为0.007/10万~0.068/10万,占丙类传染病之首。重症HFMD对儿童的身体健康造成了严重威胁,已成为重大公共卫生问题之一。
一、病原学
EV是HFMD的主要病原体,属于小RNA病毒科肠道病毒属,适合在湿热环境下生存。根据抗原结构和宿主范围可将EV分为柯萨奇病毒(Coxsackievirus,CV)、埃可病毒(Echovirus,Echo)、新型肠道病毒和脊髓灰质炎病毒(poliovirus,PV),具有106种血清型。其中CV-A16和EV-A71是HFMD最常见的病原体血清型,而重症及死亡病例多由EV-A71所致。近年来,有报道非CV-A16非EVA71的其他肠道病毒(CV-A6和CA-A10)的分离率逐渐增多,有取代CV-A16和EV-A71成为优势病原体的趋势。此外,肠道病毒和呼吸道相关病毒的共存事件更易发生于HFMD重症患儿。
二、流行病学
(一)传染源
患儿和隐性感染者为主要传染源,主要通过粪便、咽喉分泌物、唾液和疱疹液等传播。流行期间,患儿为主要传染源;散发期间,隐性感染者为主要传染源。
(二)传播途径
引起HFMD的肠道病毒主要经亲密接触传播,污染的手是传播中的关键媒介,接触患儿的排泄物、唾液、疱疹液或由其污染的毛巾、牙刷、水杯、玩具、食物、奶具、床上用品、衣物及医疗器械等,均可间接感染本病。经呼吸道飞沫传播及水污染也是传播途径之一。
(三)易感人群
人群对肠道病毒普遍易感,但以隐性感染为主。显性和隐性感染后均可诱导产生特异性的中和抗体及肠道局部抗体(sIgA)。但肠道病毒各亚型之间无交叉免疫,人群可反复感染,成人大多已通过隐性感染获得免疫。婴儿出生后因获得母传抗体具有短暂的保护力,但1个月内抗体迅速下降。5岁以下的儿童是EV-A71的易感人群,其中3岁以下的婴儿感染率最高,且发生重症和死亡的概率增高。
(四)流行特征
HFMD在世界各地广泛分布,热带和亚热带地区四季均可发生。我国海南、广东、广西、湖南、浙江、福建、上海等地区发病率较高;海南、广东、云南、贵州、湖南、河南等地区重症率相对其他地区高。一般5~7月为发病高峰,冬季明显减少。本病流行期间,常可发生幼儿园和托儿所集体感染和家庭聚集发病,有时可在短时间内造成较大范围流行。男童发病通常较女童多,相对危险度为1.2~1.6。但目前研究大多只纳入患者作为研究对象,故HFMD的发病是否存在性别差异尚不能确定。
三、发病机制和病理
(一)发病机制
肠道病毒引起的HFMD的病理机制基本相似。通过呼吸道或消化道进入体内,在咽部、肠上皮黏膜细胞或淋巴组织中复制增生,进而入侵血液循环,约在感染后第3天形成第1次病毒血症(小病毒血症)。此时,大多数免疫功能健全的患儿成为无症状感染者,并在体内形成特异性抗体。少数感染者因免疫功能低下,病毒在此侵入带有受体的靶组织,在网状内皮组织,深层淋巴结、肝、脾、骨髓等处大量繁殖后再次进入血液循环,导致第二次病毒血症(大病毒血症)。此时机体可出现典型的临床症状和体征。
尽管肠道病毒各血清型发病机制基本相同,不同血清型的肠道病毒亦可引起类似的临床表现,但CV-A组病毒一般情况下不引起细胞病变,故症状较轻。而EV-A71具有嗜神经性并可引起细胞病变,表现为重症病例。同种亚型的病毒在不同宿主间也可表现为不同的症状,这可能与宿主基因、宿主免疫功能及机体炎症反应相关。人类白细胞抗原(human leukocyte antigen,HLA)基因是一种免疫相关基因,其中HLA-A2基因与肺水肿的发生有明显相关性。CTLA4基因是细胞毒性免疫有关的重要调控因子,合并脑膜脑炎的患儿该基因外显子1第49位为G/G基因型的表型频率更高。重症患儿CD4+/CD8+比值的降低程度更加明显,机体产生VP1中和抗体不足会加重病情进展,甚至死亡。重症患儿血清和脑脊液中往往具有更高水平的白细胞介素(interleukin,IL)-1β、IL-6、IL-10、IL-13、γ干扰素(interferon-γ,IFN-γ)和肿瘤坏死因子-α(tumor necrosis factor-α,TNF-α)等炎症介质表达。这些细胞因子表达水平和免疫指标的变化可能预示着HFMD的转归,甚至可以成为早期发现重症患者的重要指标之一。此外,重症HFMD患者存在肠黏膜通透性增加,屏障功能受损有利于肠道病毒及毒素的侵入。
神经源性肺水肿(neurogenic pulmonary edema,NPE)和循环衰竭是导致重症HFMD死亡的主要原因。EV-A71具有高度嗜神经性,通过周围神经轴突运输和血脑屏障侵入直接损伤中枢神经系统,亦可通过免疫损伤和诱导神经细胞凋亡等途径损伤神经细胞,脑干为最易受累部位。目前对EV-A71感染后引起的NPE的发病机制较为公认的学说主要有冲击伤理论和渗透缺陷理论。这2种学说的共同点即是由于中枢神经系统的损伤造成交感神经“瀑布式”反应。机体在应激状态下多个内分泌系统出现变化,在中枢表现为蓝斑-去甲肾上腺素能神经元为特征,外周则以交感神经/肾上腺髓质-儿茶酚胺为特征,导致“儿茶酚胺风暴”。儿茶酚胺类物质水平的增高会进一步导致全身血管收缩,后循环阻力增加,左心室排血量相对减少,从而引起肺水肿、肺出血、循环衰竭等一系列严重的临床症状。此外,在急性感染期,病毒感染和复制直接导致的心肌损伤、机体免疫反应、生化机制等导致的心肌炎也参与了循环衰竭的形成。
(二)病理改变
死亡病例尸检和组织病理检查发现:淋巴细胞变性坏死,以胃肠道和肠系膜淋巴结病变为主;神经组织病理变化主要表现为脑干和脊髓上段有不同程度的炎症反应、嗜神经现象、神经细胞凋亡坏死、单核细胞及小胶质细胞结节状增生、血管套形成、脑水肿、小脑扁桃体疝;肺部主要表现为肺水肿、肺淤血、肺出血伴少量的炎性细胞浸润;还可出现心肌断裂和水肿,坏死性肠炎,肾脏、肾上腺、脾脏和肝脏严重的变性坏死等。
四、临床表现
潜伏期多为2~10天,平均3~5天。根据疾病的发生、发展过程,将HFMD分为1~5期,其中1期为普通病例,2~4期是重症HFMD的典型表现。
第1期(出疹期):起病急、发热,手、足、口、臀等部位出现丘疹、疱疹,疱疹周围有炎性红晕,疱内液体较少,不疼不痒,皮疹恢复时不结痂、不留疤。可伴有咳嗽、流涕、食欲不振等症状。部分病例仅表现为皮疹或疱疹性咽峡炎,个别病例可无皮疹。绝大多数患儿在1周内痊愈,病程在出疹期后即可恢复,预后良好。
第2期(神经系统受累期):少数病例在病程1~5天内可出现中枢神经系统损害,表现为精神差、嗜睡、烦躁、头痛、易惊、颈项强直、吸吮无力、呕吐、肢体抖动、肌无力等。此期属于HFMD重症病例重型,但大多数可痊愈。
第3期(心肺功能衰竭前期):多发生在病程5天内,表现为心率和呼吸增快、出冷汗、四肢末梢发凉、皮肤发花、血压升高。此期属于HFMD重症病例危重型,及时识别并正确治疗,是降低病死率的关键。
第4期(心肺功能衰竭期):可在第3期的基础上迅速进入该期。临床表现为心动过速(个别患儿心动过缓)、呼吸急促、口唇发绀、咳粉红色泡沫痰或血性液体、血压降低甚至休克。亦有病例以严重脑功能衰竭为主要表现,临床可见抽搐、严重意识障碍等。此期属于HFMD重症危重型,病死率较高。
第5期(恢复期):体温逐渐恢复正常,对血管活性药物的依赖逐渐减少,神经系统受累症状和心肺功能逐渐恢复,少数可遗留神经系统后遗症。部分HFMD病例(多见于CV-A6、CV-A10感染者)在病后2~4周有脱甲的症状,新甲于1~2个月长出。
五、辅助检查
(一)实验室检查
1.血常规检查及C反应蛋白
普通病例白细胞计数正常,重症病例白细胞计数、中性粒细胞比例及C反应蛋白(C-reactive protein,CRP)明显升高,其升高程度与疾病严重程度成正比。
2.血生化检查
部分病例谷丙转氨酶、谷草转氨酶、肌酸激酶同工酶轻度升高,并发肝功能损害者谷丙转氨酶甚至可以升至1 000U/L以上;有肾功能损害者血肌酐、尿素氮也可出现不同程度升高;出现神经、精神障碍者血氨明显升高;病情危重者肌钙蛋白、血糖、乳酸也常常升高。
3.脑脊液检查
神经系统受累时,脑脊液符合病毒性脑膜炎和/或脑炎改变,表现为外观清亮,压力增高,白细胞计数增多(危重病例多核细胞可多于单核细胞),蛋白正常或轻度增多,糖和氯化物正常。
4.血气分析
呼吸系统受累时或重症病例可有动脉血氧分压降低、酸碱失衡等。在呼吸频率增快时可表现为呼吸性碱中毒,随病情加重会表现出明显的低氧血症、代谢性酸中毒;并发脑炎、脑水肿引起的中暑性呼吸功能不全时还可出现低氧血症、呼吸性酸中毒、代谢性酸中毒。
5.病原学检查
肠道病毒特异性核酸检测阳性或分离到肠道病毒,咽拭子、粪便或肛拭子、血液等标本阳性率较高。急性期血清相关病毒IgM抗体阳性。
6.血清学检查
恢复期血清CV-A16、EV-A71或其他可引起HFMD的肠道病毒中和抗体比急性期有4倍及以上升高。
(二)影像学检查
1.胸部影像学
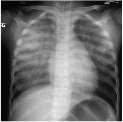
重症及危重症患儿并发神经源性肺水肿时,两肺野透亮度减低,磨玻璃样改变,局限或广泛分布的斑片状、大片状阴影,进展迅速(图 1)。

图1神经源性肺水肿
胸部X线检查提示两肺野透亮度减低,广泛分布的大片状阴影
2.颅脑CT和/或MRI
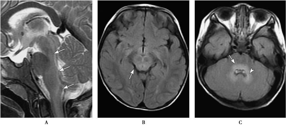
颅脑CT检查可用于鉴别颅内出血、脑疝、颅内占位等病变。神经系统受累者MRI检查可出现异常改变,合并脑干脑炎者可表现为脑桥、延髓及中脑的斑点状或斑片状长T1长T2信号(图2)。并发急性弛缓性麻痹者可显示受累节段脊髓前角区的斑点状对称或不对称的长T1长T2信号。
(三)心电图
重症病例心电图异常率显著高于普通病例,以窦性心动过速、期前收缩、ST-T改变及传导阻滞等为主。
(四)脑电图
神经系统受累者可表现为弥漫性慢波,少数可出现棘(尖)慢波。
(五)超声心动图
重症患儿可出现心肌收缩和/或舒张功能减低,节段性室壁运动异常,射血分数降低等。
六、诊断
(一)临床诊断病例
1.流行病学史
常见于学龄前儿童,婴幼儿多见。好发于夏秋季,但可暴发于任何季节,发病前与HFMD患儿有直接或间接接触史。
2.临床表现
符合上述临床表现。极少数病例皮疹不典型,部分病例仅表现为脑炎或脑膜炎等,诊断需结合病原学或血清学检查结果。
(二)确诊病例
在临床诊断病例基础上,具有下列之一者即可确诊:
1.肠道病毒(CV-A16、EV-A71等)特异性核酸检查阳性。
2.分离出肠道病毒,并鉴定为CV-A16、EVA71或其他可引起HFMD的肠道病毒。

图2脑干脑炎
A.矢状面T2WI显示大脑脚至颈髓的脑干背侧有连续的斑片状高信号(白色箭头);B.FLAIR显示中脑呈高信号(白色箭头);C.FLAIR,在脑桥背部(白箭)和齿状核(白色箭头)显示高信号
3.急性期血清CV-A16、EV-A71或其他科引起HFMD的肠道病毒IgM抗体阳性或恢复期中和抗体比急性期有4倍及以上升高。
(三)重症病例的早期识别
重症病例诊疗关键在于及时准确地识别第2期和第3期,阻止发展为第4期。年龄3岁以下、病程3天以内和EV-A71感染是重症HFMD的主要高危因素,下列指标提示患儿可能发展为重症病例危重型:
1.持续高热
体温大于39℃,常规退热效果不佳。
2.神经系统表现
出现精神萎靡、头痛、易惊、眼球震颤或上翻、呕吐、吸吮无力、肢体抖动、站立或坐立不稳等。
3.呼吸异常
呼吸增快、减慢或节律不整,安静状态下呼吸频率超过30~40次/min。
4.循环功能障碍
心率>160次/min、血压升高、出冷汗、四肢末梢发凉、皮肤发花、毛细血管再充盈时间>2秒。
5.外周血白细胞计数升高
外周血白细胞计数≥15×109/L,除外其他感染因素。
6.血糖升高
出现应激性高血糖(>8.3mmol/L)。
7.血乳酸升高
出现循环功能障碍时,通常血乳酸≥2.0mmol/L,其升高程度可作为判断预后的参考指标。
七、鉴别诊断
1.普通病例需与儿童出疹性疾病,如丘疹性荨麻疹、沙土皮疹、水痘、不典型麻疹、幼儿急疹、带状疱疹、风疹以及川崎病等鉴别;CA所致大疱性皮疹和口周皮疹需分别与水痘和单纯疱疹相鉴别。病原学检查和血清学检查是进行鉴别诊断的重要依据。
2.重症病例常可无HFMD的典型表现。由单纯疱疹病毒、巨细胞病毒、EB病毒等其他病毒引起的脑炎或脑膜炎与HFMD合并中枢神经系统损害的重症病例表现相似。重症病例合并急性弛缓性瘫痪时需与脊髓灰质炎相鉴别,后者主要表现为双峰热,病程第2周退热前或退热过程中出现弛缓性瘫痪,病情多在热退后到达顶点,无皮疹。重症病例可发生神经源性肺水肿,应与肺炎相鉴别。肺炎患儿一般无皮疹,胸片可见肺实变病灶、肺不张及胸腔积液等,病情加重或减轻呈逐渐演变的过程。
八、治疗
(一)普通病例
目前尚无特效抗肠道病毒药物。主要以对症处理为主,积极控制高热,保持患儿安静,惊厥病例需要及时止惊。需严密监测生命体征,做好呼吸支持准备,保持呼吸道通畅,必要时吸氧;注意营养支持,维持水、电解质平衡。做好口腔和皮肤护理。注意隔离,避免交叉感染,加强患儿皮肤护理,做好口腔卫生,饮食以流质及半流质为宜。
(二)重症病例
1.神经系统受累治疗
第2期患者主要为神经系统受累,可用20%甘露醇0.25~1.0g/(kg·次)控制颅内高压,每4~8小时1次,20~30分钟快速静脉注射;严重颅内高压或脑疝时,频次可增加至每2~4小时1次,亦可考虑联合高渗盐水(3%氯化钠)。伴心功能障碍者,可使用利尿剂,如呋塞米1~2mg/kg静脉注射。
2.循环衰竭治疗
重症病例可出现脑水肿、肺水肿及心力衰竭,应控制液体入量,匀速给予生理需要量60~80ml/(kg·d),注意维持血压稳定。休克病例在应用血管活性药物同时,15~30分钟内给予生理盐水5~10ml/(kg·次)进行液体复苏,此后酌情补液,避免短期内大量扩容。仍不能纠正者给予胶体液(如白蛋白或血浆)输注。有条件者可依据中心静脉压(central venous pressure,CVP)、动脉血压等指导补液。
第3期(心肺功能衰竭前期)患儿血流动力学改变为炎症反应引起的应激状态。当高血压为主要表现时,使用扩血管药物,可用酚妥拉明1~20μg/(kg·min),或硝普钠0.5~5μg/(kg·min),由小剂量开始逐渐增加剂量,直至调整至合适剂量,期间密切监测血压并控制在该年龄段严重高血压值以下。
第4期(心肺功能衰竭期)时患儿出现血压下降,可通过血流动力学监测来鉴别休克的类型:若为分布性休克,应用升压药物治疗,如:去甲肾上腺素0.05~2μg/(kg·min)、多巴胺5~20μg/(kg·min),从低剂量开始,以能维持接近正常血压的最小剂量为佳;若为心源性休克应用强心药物,如肾上腺素0.05~2μg/(kg·min)或多巴酚丁胺2.5~20μg/(kg·min)等,或左西孟旦负荷剂量 6~12μg/kg静脉注射,维持量 0.1μg/(kg·min),维持能够满足组织灌注需求的心排血量。
3.呼吸衰竭治疗
(1)机械通气指征
出现以下表现之一者,立即行气管插管接机械通气:
1)呼吸急促、减慢或节律改变。
2)气道分泌物呈淡红色或血性。
3)短期内肺部出现湿啰音。
4)胸部X线检查提示肺部明显渗出性病变。
5)脉搏血氧饱和度(SpO2)或动脉血氧分压(PaO2)下降。
6)面色苍白、发绀、皮温低、皮肤发花、血压下降。
7)频繁抽搐或昏迷。
(2)机械通气模式及参数调节目标
常用压力控制通气,当出现顽固性低氧血症者可考虑使用高频通气。氧合目标,维持PaO2>60mmHg,动脉血氧饱和度(SaO2)>92%。对于出现肺水肿或肺出血者或仅有中枢性呼吸衰竭者,按照机械通气呼吸机初调参数表(表1)进行调节。若肺出血未控制或血氧未改善,可每次增加PEEP 1~2cmH2O,一般不超过20cmH2O,注意同时调节气道峰压(PIP),以保证正常氧合水平。肺水肿及出血控制后,逐步下调呼吸机参数。
(3)机械通气管理
气管插管前需要进行充分的镇静、镇痛处理。药物包括:咪达唑仑静脉泵注,0.1~0.3mg/(kg·h);芬太尼静脉注射,1~2μg/kg,注射时间>60秒;芬太尼静脉泵注,1~4μg/(kg·h)。机械通气过程中避免频繁、长时间吸痰造成气道压力降低,要保持气道通畅,防止血凝块堵塞气管导管。
(4)撤机指征
1)自主呼吸恢复正常,咳嗽反射良好。
2)氧合指数(PaO2/FiO2)≥200mmHg,PEEP<10cmH2O时,开始做撤机评估。
3)血气分析好转,胸片肺部渗出与肺水肿好转。
4)意识状态好转。
5)循环稳定。
4.其他
(1)血液净化
危重症患儿有条件时可开展床旁连续性血液净化治疗,目前尚无具体推荐建议。血液净化辅助治疗有助于减轻炎症反应,协助液体平衡和替代肾功能等,适用于第3期和第4期患儿。
(2)体外生命支持
包括体外膜氧合(ECMO)和体外左心支持(ECLVS)。适用于常规治疗无效的合并心肺衰竭的危重型患儿,其中ECMO+左心减压适用于合并严重肺水肿和左心衰竭的重症患儿。严重脑功能衰竭的患儿不建议使用。
(3)静脉丙种球蛋白和糖皮质激素治疗
当患儿有脑脊髓炎和持续高热等表现者以及危重病例可酌情使用,剂量为1.0g/(kg·d),连用2天。有脑脊髓炎和持续高热等表现者以及危重病例酌情使用。可选用甲泼尼龙龙1~2mg/(kg·d),或氢化可的松3~5mg/(kg·d),或地塞米松0.2~0.5mg/(kg·d),一般疗程3~5天。
(4)恢复期治疗
避免继发呼吸道等感染,促进各脏器功能恢复。积极功能康复治疗或中西医结合治疗。
九、预后
危重症病例大部分经积极抢救后心肺脑功能恢复正常,可完全治愈。但少部分可能会遗留后遗症,尤其是神经系统严重受累者,还有部分患儿因心肺功能衰竭、重症脑炎、肺出血或出现其他并发症而死亡。
表1机械通气治疗时呼吸机初调参数

引自《手足口病诊疗指南(2018年版)》
知识来源
人卫知识数字服务体系
作者:潘爱军,安徽省立医院
专家简介
潘爱军,硕士生导师,主任医师,重症医学科行政副主任(主持工作)。从事重症医学工作20余年,擅长多器官功能不全的床边评价与支持,器官移植围手术期处理,急性呼吸窘迫综合征临床诊断与处理,各类型呼吸机对呼衰患者的个体化通气治疗,床边血液净化技术在肾脏、肾外疾病中的合理应用,ECMO在各类危重症患者中的应用。
- 评价此内容
- 我要打分
近期推荐
热门关键词
最新会议
- 2013循证医学和实效研究方法学研讨会
- 欧洲心脏病学会年会
- 世界帕金森病和相关疾病2013年会议
- 英国介入放射学学会2013年第25届年会
- 美国血液学会2013年年会
- 美国癫痫学会2013年第67届年会
- 肥胖学会 2013年年会
- 2013年第9届欧洲抗体会议
- 国际精神病学协会 2013年会议
- 妇科肿瘤2013年第18届大会
- 国际创伤压力研究学会2013年第29届…
- 2013年第4届亚太地区骨质疏松症会议
- 皮肤病协会国际2013年会议
- 世界糖尿病2013年大会
- 2013年国际成瘾性药年会
- 彭晓霞---诊断试验的Meta分析
- 武姗姗---累积Meta分析和TSA分析
- 孙凤---Network Meta分析
- 杨智荣---Cochrane综述实战经验分享
- 杨祖耀---疾病频率资料的Meta分析
合作伙伴
Copyright g-medon.com All Rights Reserved 环球医学资讯 未经授权请勿转载!
网络实名:环球医学:京ICP备08004413号-2
关于我们|
我们的服务|版权及责任声明|联系我们
互联网药品信息服务资格证书(京)-经营性-2017-0027
互联网医疗保健信息服务复核同意书 京卫计网审[2015]第0344号




会员登录

