-
劳力型心绞痛:支架和药物治疗如何抉择?
环球医学资讯
2017年06月23日
点击量:596
1小时条评论退休男性反复劳力性胸痛3天,住院期间又发作2次心绞痛。在植入支架和药物治疗之间,究竟如何抉择?需要考虑哪些问题? 【一般情况】 男,67岁,退休,汉族。 【主诉】 反复劳力性胸痛3天。 【病史摘要】 患者3天前步行20分钟左右出现心前区疼痛不适,为压迫样...
-
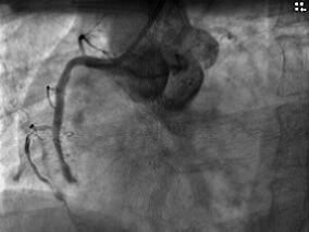
急性心梗给予紧急介入治疗后症状再发 怎么办?
环球医学资讯
2017年06月23日
点击量:457
1小时条评论老年男性因急性下壁心肌梗死给予紧急介入治疗,即刻效果满意,临床症状消失,但术后半个月症状再发,如此危急情况怎样应对? 男性,63岁。 【主诉】 反复胸痛、胸闷4天。 【现病史】 2010年4月19日因急性下壁心肌梗死于外院行急诊PCI 治疗(图062‐1~图062‐3...
-
高龄患者心衰伴呼衰 如何把握PCI术稍纵即逝的时机
环球医学资讯
2017年06月22日
点击量:1150
1小时条评论本病例中为高龄患者,心力衰竭伴有呼吸衰竭,病情复杂,如何把握行起搏器置入术的稍纵即逝的时机?如何在手术前缓解呼吸困难等肺部感染症状?中医疗法有何借鉴之处?请看以下详细回顾: 女性,75岁。 【主诉】 反复咳嗽、咳痰、呼吸困难10 余天。 【现病史】 ...
-
鉴别中老年患者冠状动脉病变还是心脏瓣膜病变 什么…
环球医学资讯
2017年06月22日
点击量:1781
1小时条评论本病例中的患者为中年女性,存在反复胸闷、胸痛、气短、夜间不能平卧等症状,超声心动图均提示心功能明显减低。主因是冠状动脉病变还是心脏瓣膜病变?如何进一步鉴别诊断?如果是心脏瓣膜病变,如何开展治疗?下面让我们来看看专家们是如何处理这些难题的: 病例摘...
-
快来看!甲减性心脏病的鉴别诊断和治疗原则
环球医学资讯
2017年06月16日
点击量:1340
1小时条评论【学习目的】 1﹒了解甲状腺功能减退症的病因和发病机制。 2﹒熟悉甲状腺功能减退症的典型临床表现、甲减性心脏病的诊断与鉴别诊断。 3﹒掌握甲减性心脏病的治疗原则及甲状腺激素替代治疗过程中的注意事项、监测指标及药物调整。 病例介绍 主诉 嗜睡、体重增加4...
-
如何从肥厚型心肌病的心电图表现鉴别分型及预测病程…
环球医学资讯
2017年06月16日
点击量:3708
1小时条评论【示教病例】 患者男性,27岁,体检行心电图检查(图4-7-1)。超声心动图示左室心尖段增厚(图4-7-2)。 图4-7-1 心电图 心电图表现为窦性心律,P-R间期246ms,V3~V5导联T波呈对称性深倒置,酷似冠状T(箭头所示),同时R波明显增高,RV4ge;RV5ge;RV3,并可见...
-
扩张型心肌病常见的心电图改变有哪些?
环球医学资讯
2017年06月12日
点击量:4702
1小时条评论【示教病例】 患者女性,64岁,反复胸闷、气促5年余,加重半个月。行心电图检查 (图4-8-1)。临床诊断:扩张型心肌病,主动脉瓣关闭不全,心房颤动,心力衰竭。 图4-8-1 心电图 心电图示P波消失,代之以f波,R-R间期绝对不规则;长V1导联见4次二联律出现宽大畸...
-
腹憋闷伴室性心动过速不容小觑 如何诊治见真章?
环球医学资讯
2017年06月12日
点击量:1193
1小时条评论病例摘要 男性,61岁。主因上腹憋闷感2天就诊。 现病史 患者2天前进食后感上腹憋闷,无腹痛、恶心、呕吐,无胸痛、心悸、晕厥,当地医院查心电图示 室性心动过速,予以胺碘酮复律,因输注后出现恶心、呕吐停用,心律未转复。遂转诊至我院,复查心电图仍为室性心...
-
心房颤动射频消融术后丧命 真凶是……
环球医学资讯
2017年06月06日
点击量:993
1小时条评论女性,73岁。 【主诉】 喘憋伴双下肢水肿10 余天,加重2天。 【现病史】 10 余天前患者因劳累出现心慌,喘憋,动则喘甚,双下肢水肿,到朝阳医院查心电图提示心房颤动,房颤复律后喘憋较前减轻,在家自行口服利尿剂,患者喘憋、水肿较前有所缓解。2天前患者无明...
-
经皮球囊肺动脉瓣成形术后临时起搏器所致心脏穿孔
环球医学资讯
2017年06月06日
点击量:390
1小时条评论患者,女,53岁,因间断活动后心慌、气短40余年,加重半年于2013年4月25日入院。患者40余年前间断出现活动后心慌、气短,就诊时发现心脏杂音,未予系统治疗;30余年前患者曾于外院诊断为先天性心脏病、肺动脉瓣狭窄(具体检查不详),间断服用地奥心血康等,症状未缓...










会员登录

