-
四类罕见腹膜后肿瘤个案 背后有故事
环球医学资讯
2017年04月05日
点击量:4526
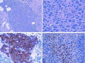
1小时条评论以下列举四类笔者收治的罕见腹膜后肿瘤个案,希望以点代面,经验交流和总结。 (一)罕见的腹膜后促纤维增生性小圆细胞瘤个案 患儿:女,5岁。因阵发性腹痛3个月,加重2天,发现腹部包块1天入院。3个月前出现无明显诱因腹痛,当地对症治疗后缓解,未进一步检查。此...
-
多发性骨髓瘤 如何用药需考量
环球医学资讯
2017年04月05日
点击量:309
1小时条评论基本情况 【病史摘要】 患者,女,52岁,身高158cm,体重65kg,体表面积1.63m2。2011年7月中旬无明显诱因感双侧胸部持续性隐痛,与体位无关,放射至背部,未予以治疗;10月12日PET‐CT示全身多发髂骨骨质破坏,代谢轻度增高;10月18日行骨穿示骨髓瘤细胞占64.5%,1...
-
这个和“日剧天王”名字一样的病 您认识吗?
环球医学资讯
2017年03月30日
点击量:393
1小时条评论(1)病例介绍:患者,男,17岁,发现左上臂肿物9个月。患者9个月前偶然发现左上臂内侧偏下方有一肿物,鸡蛋大小,较光滑,无疼痛、无红肿,于当地医院诊断为脂肪瘤,未做治疗,1个月前再于当地医院就诊,行B 超检查显示左上臂皮下脂肪层内不均质回声区,行穿刺活检...
-
舌部疼痛,自服药物后未见好转,竟是如此恶疾
环球医学资讯
2017年03月30日
点击量:449
1小时条评论患者李某,男性,65岁。祈福医院住院号:058999。患者因左侧舌部疼痛3个月于2009年8月29日入院。患者2009年5月中下旬开始无明显诱因出现左侧舌部疼痛,自服药物(具体不详)后未见好转,后疼痛较前加重,至外院行舌部新生物活检,病理结果示(舌背)高分化鳞状细胞癌...
-
罕见结肠癌合并Trousseau综合征1例
环球医学资讯
2017年03月29日
点击量:198
1小时条评论1 病例简介 患者男,61岁,山东人,因左侧肢体无力20余天于2008年4月24日由当地医院转入我院。 患者于入院前20日在接电话时突发头晕,伴有左侧肢体无力,无视物旋转及视物成双,无耳鸣,持续约20分钟后自行缓解。3日后,患者早晨起床后出现左侧肢体无力,但尚能行...
-
扑朔迷离刑侦案 多学科合作显神通
环球医学资讯
2017年03月07日
点击量:556
1小时条评论患者,男性,61岁,吸烟指数800。 主诉:腹部闷胀感4天。 现病史:患者4天前无明显诱因出现腹部闷胀感,后入住内分泌科,无咳嗽、咯血、胸痛,无高血压、肥胖、紫纹、多毛、女性化或男性化表现,体格检查无特殊发现。 既往史:1994年诊断右上肺结核,抗结核治疗半...
-
气管肿瘤术中肿瘤脱落致病人死亡2例
环球医学资讯
2017年03月07日
点击量:819
1小时条评论气管内肿瘤病人因下呼吸道狭窄而存在不同程度的呼吸困难症状,其手术往往需行气管重建,该类病人的麻醉风险较大,并取决于肿瘤的性质、阻塞的部位与气管狭窄的程度,以及麻醉方法的选择。 【案例回顾】 例1:女性,34岁,55kg。因严重呼吸困难入院,经纤维支气管镜...
-
肺癌病史,反复头痛伴呕吐,癌症再发?
环球医学资讯
2017年02月28日
点击量:670
1小时条评论1 病例介绍 患者男,49岁,主因反复头痛伴呕吐、一过性视物不清1个月余于2007年7月收入院。患者1个月来反复头部胀痛,以后枕颈部为著,每次持续数分钟,发作时常伴喷射性呕吐,为胃内容物,偶有一过性双眼视物不清。患者入院前于外院诊断为脑血管痉挛,予神经...
-
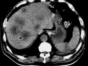
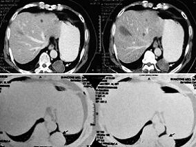
一损俱损!左肺下叶占位半月 病源却不是它
环球医学资讯
2017年02月23日
点击量:360
1小时条评论男性患者,66岁。 主诉:查体发现左肺下叶占位半月。 现病史:患者于半月前入当地医院例行查体,行胸部X 片检查时发现膈上部位,肋膈窦内可见一肿块阴影。患者平素无发热、盗汗,无活动后胸闷、气喘,无刺激性咳嗽,无咳痰及痰中带血,无胸背疼痛,无声嘶、呛咳;...
-
足背部肿物伴行走疼痛 恶性还是良性?
环球医学资讯
2017年02月23日
点击量:517
1小时条评论(1)病例摘要:患者,女,60岁,主因发现右足背部肿物6个月,伴行走疼痛入院。 入院查体:步行入院,轻度跛行。右足背肿胀,局部无破溃,未见静脉曲张,无色素沉着。右足背可触及一包块,约3cmtimes;2cm,不活动,伴压痛。患者各足趾感觉运动正常。 影像学检查:X...










会员登录

