-
无明显诱因腰部胀痛背后竟是这种恶疾
环球医学资讯
2017年01月17日
点击量:361
1小时条评论【病史摘要】 患者,男,64岁,身高164cm,体重60kg,体表面积1.61m2。缘于2个月前无明显诱因出现腰部胀痛,休息后缓解。近几日活动后腰痛加剧,休息后无明显缓解,遂来医院行胸、腹部MRI示:胸腰段椎体、附件及软组织肿胀。CT示:上纵隔多发软组织肿块,互相融合,...
-
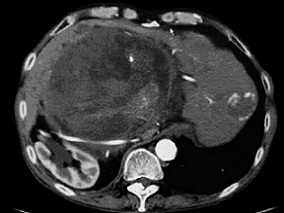
腹部肿物18年,曾手术失败,如何医治?
环球医学资讯
2017年01月17日
点击量:542
1小时条评论【病例介绍】 男,62岁,主因发现腹部肿物18年,腹痛腹胀1年半,加重2个月入院。患者18年前体检时发现腹部肿物,当时无不适症状,肿瘤直径约11cm,于外院行剖腹探查,因肿物位于腹膜后间隙、邻近腹主动脉及下腔静脉,未能切除,仅切取部分肿瘤组织行病理检查,报告...
-
无意中发现左锁骨上肿块 不可掉以轻心
环球医学资讯
2017年01月06日
点击量:12449
1小时条评论病例介绍 主诉 发现左锁骨上淋巴结肿大1月余。 现病史 患者1个月前无意中发现左锁骨上肿块,并渐增大,质硬、活动度差、无压痛。院外使用头孢类抗菌药物抗感染治疗后略有缩小。患者发病以来时有刺激性咳嗽,无痰,无头痛、头晕,无胸闷、憋气,无恶心、呕吐,大...
-
乏力、腹部不适1月余,你能找到幕后“真凶”吗?
环球医学资讯
2017年01月06日
点击量:369
1小时条评论病例介绍 主诉 乏力、腹部不适1月余。 现病史 患者于1月余前无明显诱因出现乏力、左上腹部不适及反酸、胃灼热,进食后腹胀,无活动后心慌、胸闷,无恶心、呕吐、腹泻,无畏寒、发热,无胸痛,无咽痛、咳嗽、咳痰及咯血,有时牙龈出血,无尿频、尿急、尿痛,无皮...
-
吃馒头、粗糙食物“如鲠在喉”,罪魁祸首是……
环球医学资讯
2017年01月05日
点击量:328
1小时条评论病例介绍 主诉 食管癌术后20天。 现病史 患者男性,44岁,于2个月前无明显诱因出现进食馒头、粗糙食物时咽下困难,进流质、半流质饮食无明显异常。于当地医院行电子胃镜检查,结果示:食管癌(胸下段),病理结果示:食管鳞状细胞癌(中分化)。为行进一步治疗至...
-
始料未及!咳嗽背后隐藏重病
环球医学资讯
2017年01月05日
点击量:311
1小时条评论病例介绍 主诉 确诊小细胞肺癌1月余,2周期化疗第19天。 现病史 患者2个月前无明显诱因出现咳嗽,少量白痰,后逐渐出现痰中带血,自服止咳、消炎药效果差(具体不详)。无畏寒、发热,无乏力、盗汗。1个月前,行电子支气管镜检查:隆突尚锐利,左侧支气管开口均...
-
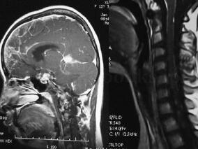
右耳听力渐进性下降伴耳鸣2年余,走路不稳1年,右侧…
环球医学资讯
2016年12月19日
点击量:770
1小时条评论基本资料:患者,女性,50岁,右耳听力渐进性下降伴耳鸣2年余,走路不稳1年,右侧牙痛伴面部麻木、肌肉阵发性抽搐2周余。体检:音叉试验显示右耳感音神经性听力下降。右侧面部感觉减退,角膜反射减退。 问题: 1﹒初步诊断考虑哪些疾病?有哪些依据? 2﹒需要补充...
-
女12岁,右下肢酸胀无力8月,口服泼尼松缓解,视力…
环球医学资讯
2016年12月16日
点击量:536
1小时条评论女,12岁,右利手。 主诉:右下肢酸胀无力8月,视力减退2周。 病史:患者于2004年4月无明显诱因下出现右下肢酸胀,主要为右侧大腿和小腿后部,每逢运动时加重,休息后稍改善。半年后家属发现患者走路时身体向左侧倾斜,右下肢有拖步。外院予地塞米松15mg,每天一次...
-
青年女性,发热、乏力、皮肤瘀斑3周,伴牙龈出血2天…
环球医学资讯
2016年12月13日
点击量:1502
1小时条评论病例介绍 主诉 发热、乏力、皮肤瘀斑3周,伴牙龈出血2天。 现病史 患者3周前无诱因出现发热,最高体温为37.5℃,伴乏力,活动后心慌,皮肤散在瘀斑,同时伴有腹部疼痛、腹泻,无鼻出血及牙龈出血,无头痛、恶心、呕吐,无咳嗽、咳痰、咯血,无尿频、尿急、尿痛,...
-
男56岁,确诊慢性淋巴细胞白血病4年,颈部淋巴结进…
环球医学资讯
2016年12月13日
点击量:1230
1小时条评论病例介绍 主诉 确诊慢性淋巴细胞白血病4年,颈部淋巴结进行性增大10余天。 现病史 患者4年前因乏力、颈部淋巴结肿大就诊,骨髓象及淋巴结活检加免疫组化结果诊断为慢性淋巴细胞白血病,确诊后给予FC(氟达拉滨+环磷酰胺)方案化疗6周期,化疗过程顺利,化疗后颈...










会员登录

