一例EGFR exon19 del突变阳性小细胞肺癌诊治经验分享
老年女性,有冠心病支架植入术病史。以咳嗽、痰中带血起病,外院胸部CT提示右肺占位。骨扫描示左前第3、6肋骨局限性浓聚。肿瘤标记物CEA增高。如何诊治?
[病例简介]
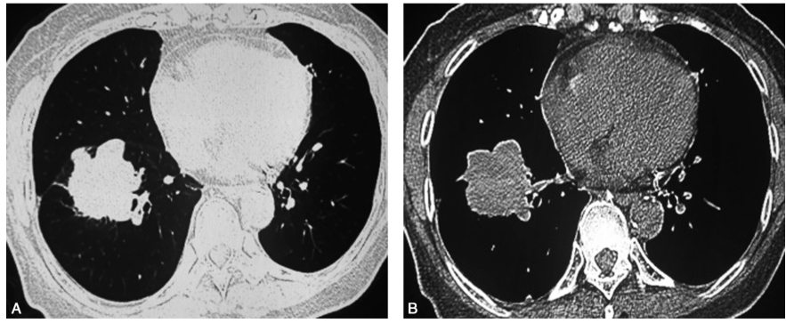
患者女性,77岁,主因“咳嗽,痰中带血5天”入院。患者于2018年1月1日无明显诱因间断出现咳嗽,痰中带鲜血,量不多,无胸闷、气喘,无胸痛、气急,无发热、盗汗和体重下降,于当地医院查血肿瘤标志物CEA增高。外院胸部CT扫描示右肺下叶可见大小约4.3 cm×4.1 cm的不规则软组织影,边缘毛糙,可见毛刺,分叶及胸膜凹陷征;右肺门淋巴结肿大,隆突下淋巴结增大(图1)。骨扫描示左前第3、6肋骨局限性浓聚。头颅MRI未见明显异常。腹部与浅表淋巴结超声检查未见明显异常。为进一步诊治入我科。患病以来精神好,胃纳可,睡眠好,大小便正常,无体重明显下降。

图1外院胸部CT扫描(2018-01-01)示右肺下叶大小约4.3cm×4.1cm的不规则软组织肿块影,边缘毛糙,可见毛刺征及分叶征
A.肺窗;B.纵隔窗
1.入院查体
T 36.7℃,P 75次/min,R 15次/min,BP 130/70mmHg,MEWS 1分,身高151cm,体重40kg,指脉氧饱和度97.1%。神志清楚,发育正常,营养好,步入病房。全身皮肤、黏膜未见异常,全身浅表淋巴结无肿大。头颅无畸形,眼睑正常,睑结膜未见异常,巩膜无黄染。双侧瞳孔等大等圆,对光反射灵敏。耳廓无畸形,外耳道无异常分泌物,无乳突压痛。外鼻无畸形,鼻通气良好,鼻中隔无偏曲,两侧鼻旁窦区无压痛。口唇无发绀。双腮腺区无肿大。颈软,无抵抗,颈静脉无怒张,气管居中,甲状腺无肿大。胸廓对称无畸形,胸骨无压痛。双肺呼吸音清晰,未闻及干、湿性啰音。心率75次/min,律齐,各瓣膜听诊区未闻及杂音。腹平软,全腹无压痛及反跳痛,肝脾肋下未触及,肝肾区无叩击痛。脊柱、四肢无畸形,关节无红肿,无杵状指(趾),双下肢无水肿。肌力正常,肌张力正常,生理反射正常,病理反射未引出。
2.既往史及个人史
否认肝炎、结核史。否认手术、外伤史。否认食物、药物过敏史。既往因冠心病于2017年6月行局麻下冠脉造影及PCI术,术中植入支架3枚。目前服用阿司匹林、氯吡格雷、阿托伐他汀治疗。
3.初步诊断
1.右肺阴影待查:肺癌?
2.冠心病:冠脉支架植入术后,心功能Ⅰ级
[病例解析]
1.如何明确诊断?
患者病情特点如下:①老年女性,有冠心病支架植入术病史;②以咳嗽、痰中带血起病;③外院胸部CT提示右肺占位;骨扫描示左前第3、6肋骨局限性浓聚;④肿瘤标记物CEA增高。综合以上病情特点,考虑周围型肺癌可能性大,拟进一步行支气管镜检查,完善全身评估,明确肺癌分期。
电子支气管镜检查(2018-01-09):镜下未见明显异常。
EBUS-GS检查(2018-01-09):见右下叶前基底段不规则回声区,密度欠均匀,行刷检及活检(图2)。

图2支气管镜EBUS-GS检查见右下叶前基底段不规则回声区,密度欠均匀
支气管镜刷片细胞学病理(2018-01-10)提示:右肺腺癌。
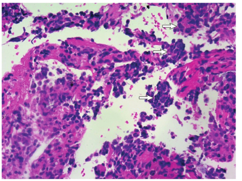
支气管镜活检组织病理和分子病理(2018-01-12)提示:右肺小细胞肺癌(图3,图4)。

图3支气管镜TBLB活检病理(HE,×200):(右下叶前基底段)小细胞癌(白箭)

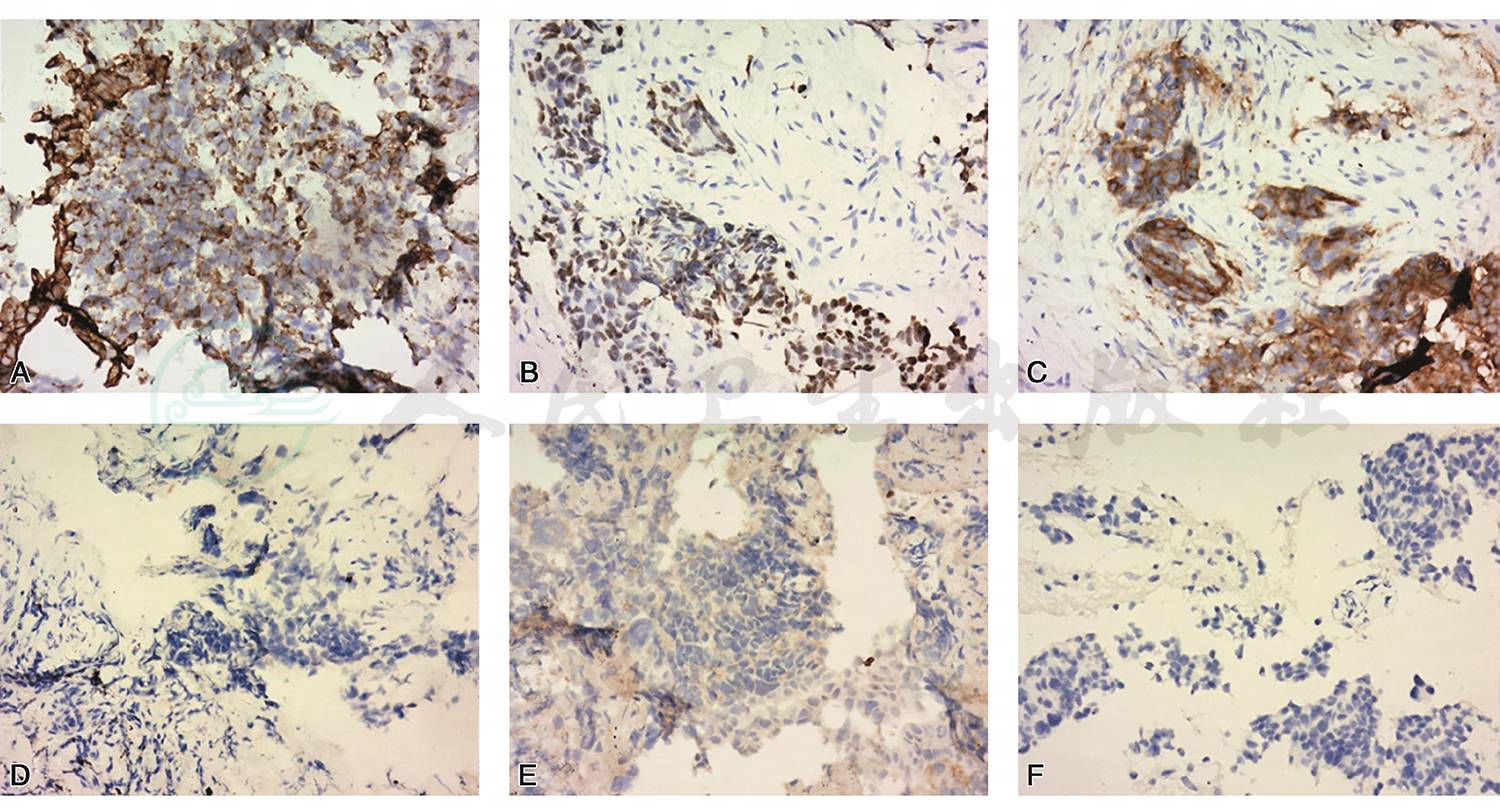
图4免疫组化染色结果(×200)符合小细胞肺癌诊断
A.CK(+);B.TTF-1(+);C.Syn(+);D.Napsin A(-);E.P63(-);F.WT-1(-)
2.患者究竟是肺腺癌还是肺小细胞癌?
国内外肺癌相关指南均将分子病理列为肺癌病理诊断的金标准。该患者分子病理中CK(+)表明其为上皮来源,TTF-1(+)表明其为甲状腺或肺来源,肺来源者多见于腺癌和小细胞肺癌;神经内分泌标记Syn(+),提示肿瘤具有神经内分泌活性,通常为小细胞肺癌的特征性标记物,腺癌标记物NapsinA(-),鳞癌标记物P63(-),P40(-)。分子病理符合小细胞肺癌的诊断。
3.如何解释细胞病理与组织病理不一致?
晚期肺癌具有显著的空间与时间异质性,在同一时间不同部位的活检与同一部位不同时间的活检组织病理都会有较大差异,这种差异可以表现为组织学类型、分化状态与基因突变类型的差异。已有多篇文献报道肺腺癌在治疗过程中可以向小细胞肺癌转化。肿瘤内部异质性与染色体不稳定及突变有关,不同病理类型肺癌的基因突变有明显差异。患者血CEA显著升高,且细胞学病理提示腺癌,表明此患者的肺癌存在很大的异质性。由于患者拒绝化疗,故建议该患者行基因检测了解突变情况以判断能否使用靶向药物。该患者WES检测结果显示EGFR exon19del突变(频率25.91%);PTEN 缺失突变(频率 1.31%);TP53错义突变(频率0.49%),GNAS错义突变(频率0.52%),FBXW7错义突变(频率1.01%)。该患者基因检测结果发现非鳞非小细胞肺癌多见的EGFR敏感突变,临床极为罕见,推测与肺癌异质性有关。
[最终诊断]
1.右肺小细胞癌
T2N2M1b,广泛期,PS 1分,EGFR exon19del (+)
2.冠心病
冠脉支架植入术后,心功能Ⅰ级
如何制定治疗方案?
广泛期小细胞肺癌的一线治疗仍然首选依托泊苷联合铂类的双药方案(EP)化疗。患者WES检测结果显示EGFR exon19del高频突变,对于EGFR靶向药物可能敏感。据既往个案报道小细胞肺癌EGFR靶向治疗有效,故于2018年1月28日起予以靶向治疗。
[治疗]
吉非替尼250mg/d,口服。
[随访]
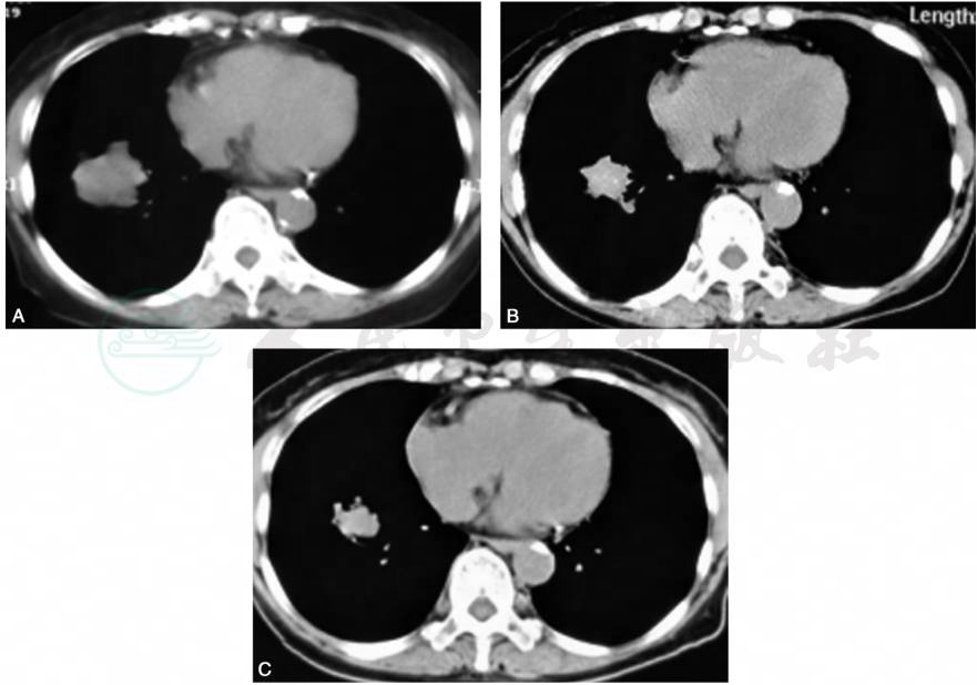
患者用药1个月后咳嗽、咳痰明显好转,CEA降至正常;复查胸部CT(图5)示肿块缩小约41.6%,按照RECIST标准,肺癌部分缓解(PR)。患者口服吉非替尼后的PFS为11个月,总生存期为15个月。

图5吉非替尼治疗前后病灶变化,提示吉非替尼治疗有效,病灶逐渐缩小,部分缓解(PR)
A.吉非替尼治疗前(2018年1月1日)肿块 4.3cm×4.1cm;B.口服吉非替尼2个月后(2018年2月24日)肿块2.7cm×2.9cm;C.口服吉非替尼4个月后(2018年4月3日)肿块2.3cm×2.6cm
[病例点评]
小细胞肺癌(SCLC)恶性程度高,对放疗和化疗均较敏感,局限期SCLC首选同步放化疗;广泛期SCLC首选EP方案全身化疗。基因检测表明不同病理类型肺癌的基因突变谱有差异,小细胞肺癌位于前列的突变基因为TP53,RB1,PTEN和MYC等。常见于非小细胞肺癌的EGFR敏感突变在小细胞肺癌中也有报道,其EGFR敏感突变的检出率约为0%~5%。此例患者口服靶向药物吉非替尼治疗PFS为11个月,与非鳞非小细胞肺癌的PFS数据相近,提示对于检出EGFR敏感突变的肺癌患者,无论是SCLC还是NSCLC的组织学类型,EGFR靶向治疗的临床疗效相近。
知识来源
人卫知识数字服务体系
- 评价此内容
- 我要打分
近期推荐
热门关键词
最新会议
- 2013循证医学和实效研究方法学研讨会
- 欧洲心脏病学会年会
- 世界帕金森病和相关疾病2013年会议
- 英国介入放射学学会2013年第25届年会
- 美国血液学会2013年年会
- 美国癫痫学会2013年第67届年会
- 肥胖学会 2013年年会
- 2013年第9届欧洲抗体会议
- 国际精神病学协会 2013年会议
- 妇科肿瘤2013年第18届大会
- 国际创伤压力研究学会2013年第29届…
- 2013年第4届亚太地区骨质疏松症会议
- 皮肤病协会国际2013年会议
- 世界糖尿病2013年大会
- 2013年国际成瘾性药年会
- 彭晓霞---诊断试验的Meta分析
- 武姗姗---累积Meta分析和TSA分析
- 孙凤---Network Meta分析
- 杨智荣---Cochrane综述实战经验分享
- 杨祖耀---疾病频率资料的Meta分析
合作伙伴
Copyright g-medon.com All Rights Reserved 环球医学资讯 未经授权请勿转载!
网络实名:环球医学:京ICP备08004413号-2
关于我们|
我们的服务|版权及责任声明|联系我们
互联网药品信息服务资格证书(京)-经营性-2017-0027
互联网医疗保健信息服务复核同意书 京卫计网审[2015]第0344号




会员登录

