-
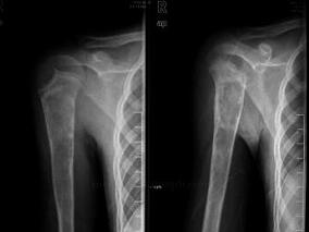
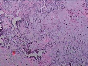
男14岁,右上臂隐痛2年,加重1周伴功能障碍1小时
环球医学资讯
2007年04月16日
点击量:592
1小时条评论患者,男性,14岁,2年前出现右上臂隐痛,呈间歇性。近2年身高增长明显,1周来疼痛加剧,于1小时前扭伤后出现功能障碍。 主诉 右上臂隐痛2年,加重1周伴功能障碍1小时 一、病史询问及思维提示 1. 病程与肿瘤性质的关系。 肿瘤的发展过程、进展速度和病程长短与肿...
-
女36岁,间断发热、四肢乏力、气短、消瘦6个月,加…
环球医学资讯
2007年04月16日
点击量:443
1小时条评论临床资料 患者女性,36岁,主因间断发热、四肢乏力、气短、消瘦6个月,加重7天于2008年3月30日入院。 患者于入院前6个月无明显诱因出现明显四肢无力,当时无头痛、恶心及发热,给予高压氧治疗2次,症状无改善,10天后出现气短、呼吸急促、声音嘶哑、语音低弱、发热...
-
男60岁,右耳反复流脓伴听力下降3年余,近3个月右耳…
环球医学资讯
2006年08月16日
点击量:870
1小时条评论【第一幕】基本资料:男性,60岁,右耳反复流脓伴听力下降3年余,近3个月出现右耳持续性跳痛,间有血性分泌物。PE:右外耳道内1/2见淡红色肉芽样新生物(图4‐1‐31),质脆,触之易出血。右侧鼓膜未窥及。右耳中重度听力下降,右Rinne(-),Weber偏右。双侧面部...
-
男57岁,主因左下腹痛3个月余、腹泻伴腰背痛2个月余…
环球医学资讯
2006年08月16日
点击量:508
1小时条评论患者,男,57岁。主因左下腹痛3个月余,腹泻伴腰背痛2个月余于2012年5月9日入院。 入院情况:患者3个月余前无明显诱因出现左下腹痛,为阵发性绞痛,多于夜间发作,持续数十分钟后自行缓解,无放射痛,无腹胀、腹泻、里急后重,无便血、黑便等不适,当时未诊治,此后...
-
男63岁,因吞咽不适感1年多伴声嘶2个月入院
环球医学资讯
2016年05月24日
点击量:909
1小时条评论基本资料:患者,男,63岁,因吞咽不适感1年多伴声嘶2个月入院。 患者1年多以前无明显诱因出现吞咽不适,当地医院检查咽喉未见明显病变,食管吞钡检查正常,故一直未再重视。2个月前出现声嘶且渐加重,遂再入医院检查。患者有吸烟史,30支/天times;30年。体检见平...
-
男16岁,因复视、左眼眼球运动障碍10个月入院
环球医学资讯
2016年05月24日
点击量:465
1小时条评论患者男,16岁,因复视、左眼眼球运动障碍10个月入院。10个月前患者无明显诱因出现复视,左眼不能外转,当地医院诊断为左眼展神经麻痹,行左眼上直肌、下直肌移位术,术后正视时复视消失,但左眼仍不能外转。术后8个月,患者左眼再次出现上转、下转和内收运动受限,伴...






会员登录

