-
女71岁,以“腹胀、腹痛1月余,加重1天”为主诉入院
环球医学资讯
2016年12月07日
点击量:337
1小时条评论【病例概述】 卵巢肿瘤是常见的妇科肿瘤,在各种年龄均可发病。由于卵巢组织的特殊性,临床上肿瘤组织类型较为复杂,分类较多,良性肿瘤生长缓慢,多为囊性,光滑,无腹水,肿瘤标志物多在正常范围内;而恶性肿瘤往往具有下列临床特征:一般增长迅速,单侧或双侧发...
-
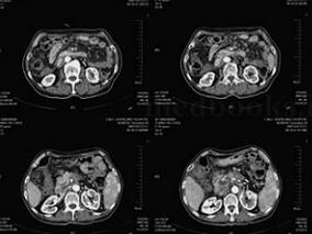
男38岁,两年余前无明显诱因出现左上腹隐痛,伴轻度…
环球医学资讯
2016年12月07日
点击量:1740
1小时条评论【病例介绍】 男,38岁。两年余前无明显诱因出现左上腹隐痛,伴轻度腹胀,无腹泻、便秘,无恶心、呕吐,无寒战、高热,未予特殊诊治。1周前自觉上述症状略加重,遂就诊外院,行腹部超声检查提示左上腹腹主动脉旁混合性包块,考虑腹膜后来源,进一步行上腹部增强CT提...
-
男39岁,进行性肢体疼痛,诊断为腰椎病治疗后症状改…
环球医学资讯
2016年12月06日
点击量:216
1小时条评论男,39岁,汉族。 主诉:进行性肢体疼痛、麻木伴乏力3月余。 病史:患者于1999年8月初出现右小腿外侧疼痛,为针刺样,无压痛,夜间为甚,不能入睡。8月底于外院就诊,诊断为腰椎病,行局麻治疗后症状明显改善,但2周后右下肢疼痛复发,同时觉左上臂外侧针刺样疼痛...
-
男47岁,2月余前无明显诱因出现吞咽困难,不伴恶心…
环球医学资讯
2016年12月01日
点击量:348
1小时条评论病例介绍 主诉 吞咽困难进行性加重2个月。 现病史 患者男性,47岁,2月余前无明显诱因出现吞咽困难,不伴恶心呕吐,自述于当地医院行钡餐检查未见异常,给予输液治疗(具体不详),未见好转,后吞咽困难呈进行性加重,渐出现饮水呛咳,于是1个月前再次至当地某医...
-
血尿8个月,乏力1个月,贝那普利等治疗无效果
环球医学资讯
2016年11月30日
点击量:566
1小时条评论病例介绍 主诉 血尿8个月,乏力1个月。 现病史 患者8个月前查体时,发现尿潜血(3 +),尿蛋白(-)。无症状,未行治疗。4个月前查免疫球蛋白明显增高,达81g/L,血常规示轻度贫血。近3个月尿常规:尿蛋白(-或+),潜血(2 +~3 +),应用贝那普利(洛...
-
男71岁,复发转移性肺鳞癌,癌痛加重1周,药物控制…
环球医学资讯
2016年11月30日
点击量:605
1小时条评论病例介绍 主诉 左肺鳞癌术后7年余复发,2周期化疗后6月余。 现病史 患者,男性,71岁。于7年前行左肺上叶切除术,术后病理示高分化鳞状细胞癌,呈早期浸润(在固有膜内),切缘及送检淋巴结均为阴性,未行辅助治疗。1年后复查CT 示可疑纵隔淋巴结转移,行局部放...
-
女55岁,结肠癌术后2年余,多周期化疗后疾病进展
环球医学资讯
2016年11月25日
点击量:2595
1小时条评论病例介绍 主诉 结肠癌术后2年余,多周期化疗后疾病进展。 现病史 患者3年前因肠梗阻行外院剖腹探查,术中见横结肠近脾区肿物,遂行肿物切除,术后病理:横结肠腺癌,中等分化,部分为黏液腺癌,侵及血管,浸出浆膜,淋巴结1/11 转移。术后行辅助化疗9周期(方案...
-
女54岁,4个月前出现阴道不规则流血,色鲜红,量多
环球医学资讯
2016年11月25日
点击量:308
1小时条评论病例介绍 主诉 宫颈癌术后1个月。 现病史 患者女性,54岁。4个月前出现阴道不规则流血,色鲜红,量多。妇科检查发现:阴道通畅,少量血性分泌物;宫颈质硬,呈结节状增生;绝经后子宫,活动可。妇科B 超示:宫颈增大(大小约5.0c mtimes;4.7c mtimes;4.6c m);...
-
女40岁,乙状结肠癌术后,多发转移,伊立替康治疗期…
环球医学资讯
2016年11月21日
点击量:712
1小时条评论病例介绍 主诉 患者乙状结肠癌术后,多发转移。 现病史 患者2年前查体时发现左侧卵巢囊肿,行微创下卵巢囊肿切除术,术后病理:交界性腺纤维瘤,1个月后行开腹子宫+双附件全切术,术中发现乙状结肠肿物,遂切除部分肠管,肠管内可见2c mtimes;3.5c m 的肿物,术...
-
男54岁,2周前无明显诱因出现上腹痛,活动时加重,…
环球医学资讯
2016年11月21日
点击量:621
1小时条评论病例介绍 主诉 上腹痛2周。 现病史 患者于2周前无明显诱因出现上腹痛,活动时加重,伴有乏力,进食少,厌食油腻,伴烦躁,体重减轻不明显,无反酸及恶心呕吐,无发热,无呕血、黑便,自行服用治胃药物,症状缓解。为进一步明确诊断于2007年6月7日行PET‐CT:肝脏...










会员登录

