-
这个神经科病例几乎都会误诊
环球医学资讯
2017年08月24日
点击量:213
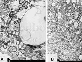
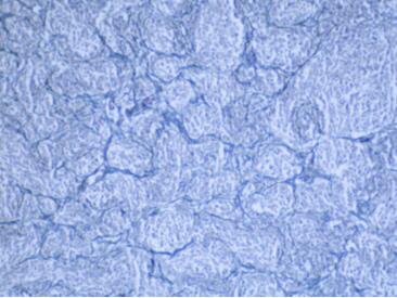
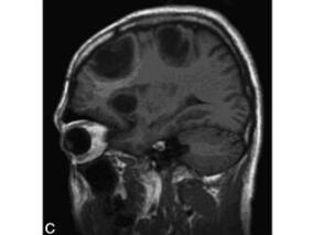
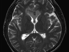
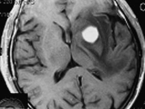
1小时条评论52岁女性,受到惊吓后发生认知障碍且进展迅速。多次检查头颅MRI,显示大脑半球多发性病灶。磁共振波谱分析(MRS)检查显示胆碱(Ch)波峰增高,可见乳酸(La)波峰。提示病灶部位新陈代谢增快,同时伴有组织缺氧表现,提示肿瘤?线粒体脑病?最终左侧开颅颞叶病变活...
-
让人生无可恋的丛集性头痛 您了解多少?
环球医学资讯
2017年08月17日
点击量:222
1小时条评论丛集性头痛发作时,如下地狱般痛苦。对于这一让人生无可恋的疾病,您了解多少呢?遇到这样患者,该如何处理?依托下面这例病例,让专家跟您一一道来。 临床资料 女性,57岁,因发作性头痛伴左眼睑下垂4年,加重3个月于2004年10月13日入院。患者于4年前无明显诱因出...
-
这一恶性疾病貌似颈椎病
环球医学资讯
2017年08月04日
点击量:682
1小时条评论颈椎病广泛发生于中老年,多数患者有头晕症状伴随。若将头晕首先考虑为颈椎病,则容易掩盖小脑肿瘤等实质性疾病。小脑髓母细胞瘤是好发于儿童的小脑恶性肿瘤,成人少见,仅占颅内肿瘤的1%。笔者报道1例临床表现类似颈椎病的成人髓母细胞瘤。 临床资料 患者女性,44...
-
从3个经典病例了解癌性脑膜病的诊断要点
环球医学资讯
2017年08月04日
点击量:292
1小时条评论癌性脑膜病常由于血液系统恶性肿瘤或腺癌弥漫性浸润软脑脊髓、神经鞘或脑实质,引起颅内压增高及局灶性神经损害。这一疾病的特点是什么?确诊需要进行哪些检查?作者通过3例典型病例一一为大家解答。 临床资料 病例1 男性,52岁,干部,内蒙古籍。因头痛3个月于200...
-
罕见病因引起进行性单肢肌萎缩1例
环球医学资讯
2017年07月31日
点击量:291
1小时条评论39岁男性,右上肢无力1年半,加重4个月,体检发现右上肢呈上运动神经元病损,合并感觉障碍。肌萎缩侧索硬化?脊肌萎缩症?颈椎病?还是另有原因? 临床资料 患者男性,39岁,因右上肢无力1年半,加重4个月于2007年9月5日入院。患者1年半前无明显诱因逐渐出现右手握...
-
罕见!以神经根为首发症状的脑胶质瘤脊神经根播散种…
环球医学资讯
2017年07月31日
点击量:289
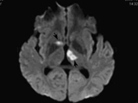
1小时条评论21岁男性大学生,因右下肢疼痛无力2个月余,加重伴头痛1个月前来神经内科就诊。经过抗生素治疗,症状并无显著缓解,脑活检未发现肿瘤。下一步该如何检查以确诊?看专家们如何大胆决策。 临床资料 患者,男性,21岁,大学生,河北籍。主因右下肢疼痛无力2个月余,加...
-
历时3年3次脑活检才确诊该病!
环球医学资讯
2017年07月26日
点击量:557
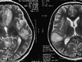
1小时条评论71岁男性,因右侧肢体无力就诊。头颅CT检查左侧基底节区可见一类圆形高密度影。活检报告显示为炎症,给予抗炎、激素治疗后,病变消失无复发。2年半后复查,头颅MRI发现右侧大脑颞叶皮质内一团块状长T1、长T2信号影。无明显主诉,给予激素治疗后,病灶明显缩小,患者...
-
年轻少女因头痛丧命 谁是夺命真凶?
环球医学资讯
2017年07月26日
点击量:222
1小时条评论19岁年轻女性,首先表现为中枢神经系统占位,亚急性起病,进行性颅内高压的表现,无全身淋巴结肿大,无胸腹腔等常见部位的浸润;经过激素、抗结核、抗感染等治疗后未见好转,行小脑部分切除、后颅窝减压术。出院服用土霉素和异烟肼后症状完全消失,几个月后才发生肺...
-
青年男性多发脑卒中 不能解释病因应考虑这一原因
环球医学资讯
2017年07月19日
点击量:458
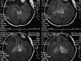
1小时条评论25岁男性,突发右眼视物不清5天,右下肢活动不利伴精神障碍2天。入院前15天曾在突然出现右眼视物不清,随后出现昏睡,叫醒困难。在北京同仁医院眼科诊断为右眼底出血并给予治疗后症状减轻。随后头颅MR检查提示多发性脑梗死。奇怪的是该青年的症状与常见的青年型脑卒...
-
年轻女性无明显诱因四肢无力病因追溯
环球医学资讯
2017年07月19日
点击量:396
1小时条评论36岁女性,入院前6个月无明显诱因出现明显四肢无力,给予高压氧治疗2次症状无改善,10天后出现气短、呼吸急促、声音嘶哑、语音低弱、发热,按神经根炎给予激素治疗后症状有所好转,仍反复出现发热。该如何进一步检查以明确诊断,请看专家如何找出真凶? 临床资料 ...










会员登录

