-
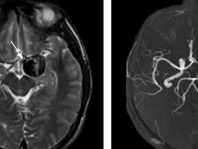
大脑中动脉巨大动脉瘤 鬼斧神工的手术挽救患者
环球医学资讯
2017年04月28日
点击量:406
1小时条评论1 病例简介 例1 患者女,11岁,主因阵发性头痛9年,加重10天于2009年6月15日收入院。患者9年前无明显诱因出现头痛,为右额颞部钝痛,持续1~2小时后缓解,之后每年发作4~5次。10日前再次头痛发作,伴左侧肢体无力,到当地医院就诊,CT示右侧额颞占位,考虑动脉瘤...
-
蛛网膜下腔出血后继发脑血管痉挛治疗 要不要扩容是…
环球医学资讯
2017年04月28日
点击量:275
1小时条评论1 病例简介 患者男,40岁。主因突发头痛、呕吐42小时于2009年11月2日入院。患者于入院前42小时在活动中突发剧烈头痛伴有恶心呕吐。到当地医院就诊,CT示蛛网膜下腔出血(图4.3-1)。为进一步诊治到我院就诊。急诊DSA示前交通动脉瘤(图4.3-2),立即给予血管内动脉...
-
一场车祸引发的严重后遗症8年后才显现出来
环球医学资讯
2017年04月25日
点击量:446
1小时条评论1 病例简介 患者男,37岁,因头痛、记忆力下降6个月于2009年5月31日入院。患者于6个月前无明显诱因感左枕部闷痛,呈持续性,间断有头痛加重,严重时影响睡眠,不伴头晕、恶心,无肢体抽搐、无力,未行特殊处理。发病后自觉反应能力变慢,近记忆力减退,计算能力下降...
-
抽烟酗酒危害真的很大 47岁男性就患这种重病
环球医学资讯
2017年04月25日
点击量:247
1小时条评论1 病例简介 患者男,47岁,因突发右侧肢体麻木无力14日于2010年4月12日入我院。患者2010年3月29日吃午饭时突发右侧肢体麻木无力,根据患者及家属描述右侧肢体抬举无力,右侧肢体感觉麻木,左侧肢体无异常,无头晕、头痛,无恶心、呕吐,无昏厥、眩晕,无大小便失禁...
-
时间上接近的多发梗死灶,除外心脏或主动脉弓栓塞,…
环球医学资讯
2017年04月20日
点击量:175
1小时条评论1 病例简介 患者男,74岁,因头晕、右侧肢体力弱4日于2011年4月26日入院。患者入院前半个月无明显诱因反复出现头晕(呈昏沉感),无视物旋转,站立或坐位头晕明显,平躺后减轻,与转颈和动作姿势无关,每次头晕发作持续1~2小时。头晕时伴视物模糊,视物时先出现闪...
-
经典病例:椎基底动脉延长扩张综合征如何诊断治疗?
环球医学资讯
2017年04月20日
点击量:606
1小时条评论1 病例简介 患者男,51岁,因右上肢麻木,右下肢活动力弱2个月于2009年7月17日就诊于我院门诊。患者2个月前无明显诱因出现右上肢麻木,伴右侧面部发热感,自觉右下肢活动力弱,但不影响行走。左侧肢体均无感觉及活动异常。 既往史:高血压病史10余年,血压最高200...
-
以晕厥为首发表现的脑栓塞 病因很罕见
环球医学资讯
2017年04月17日
点击量:192
1小时条评论1 病例简介 患者女,37岁,主因发作性意识丧失1次,口齿不清3天于2011年4月25日来我院就诊。患者4天前在爬山时无明显诱因的情况下突然晕倒伴意识丧失,持续约数分钟,同伴诉当时患者双眼紧闭、面色苍白,无大汗淋漓与口唇发紫,无肢体抽搐及舌咬伤,无尿便失禁,...
-
2型糖尿病合并罕见疾病导致青年卒中1例
环球医学资讯
2017年04月17日
点击量:546
1小时条评论1 病例简介 患者男,37岁,主因头痛伴右上肢麻木、乏力1日于2011年6月1日收住入院。患者于2011年5月31日夜间开车时突发头痛、恶心、干呕,伴右上肢麻木、乏力,握物不稳,头痛以双侧颞部明显,呈持续性胀痛。患者无意识障碍,无视物旋转、耳鸣、言语不清,无一过性...
-
脑动脉狭窄除了考虑动脉粥样硬化相关的情况 还应该…
环球医学资讯
2017年04月12日
点击量:418
1小时条评论1 病例简介 患者女,41岁。主因突发言语不清、右侧肢体无力2个月余,再发右侧肢体无力10天于2010年11月10日收入我院。 患者入院2个月前在活动中突然出现言语不清,右侧肢体无力,表现为右手持物不能,不能独立站立,须在他人搀扶下行走。不伴头痛、呕吐、...
-
两个锁骨下动脉近心段狭窄但无经椎动脉自颅内“盗血…
环球医学资讯
2017年04月12日
点击量:740
1小时条评论1 病例简介 例1,患者男,60岁。主因头晕不适伴左上肢无力1周于2009年12月15日于本院神经内科就诊。患者于就诊前1周日常活动中出现头晕不适,无意中发现左上肢无力,休息数小时后头晕症状有所缓解,但仍感左上肢轻微无力。初次发作后未予重视,未立即到医院就诊,...










会员登录

