-
祸不单行!脑出血后溺水如何应对?
环球医学资讯
2017年06月08日
点击量:774
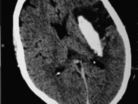
1小时条评论遇到中老年溺水患者,除溺水致呼吸心跳停止之外,要分析在溺水之前是否发生了心、脑、肺的突发疾病,溺水有可能是发生在心、脑、肺等突发疾病之后。本例为脑出血后溺水,为临床提供急症处理的经验。 临床资料 患者女性,67岁。溺水、心肺复苏后昏迷10小时。既往史...
-
超声与CTA、DSA诊断锁骨下动脉盗血结果不符 是谁犯…
环球医学资讯
2017年06月02日
点击量:693
1小时条评论1 病例简介 患者男,58岁,因反复发作性眩晕半个月于2010年7月6日于吉林大学第一医院门诊就诊。1周前患者于活动中突发头晕、伴有视物旋转及视物模糊,站立时加重,平卧位后减轻,但与转颈及头位改变无关,无恶心、呕吐,无饮水呛咳,无吞咽困难,无肢体活动障碍。持...
-
39岁男性突发肢体无力 三维对比增强磁共振血管成像…
环球医学资讯
2017年06月02日
点击量:192
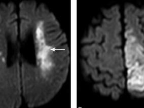
1小时条评论1 病例简介 患者男,39岁,因突发右侧肢体无力、言语不能5日于2010年1月6日收住我院。患者入院前5日无明显诱因活动中突发右侧肢体无力,伴右上肢麻木、持物不稳,尚能行走,但不稳,伴头晕,无视物旋转、耳鸣、听力减退,伴双额部头痛,呈阵发性搏动性,伴不能言语...
-
单侧延髓梗死伴发Ondine’s curse综合征 如何阻止死…
环球医学资讯
2017年05月22日
点击量:2062
1小时条评论Ondinersquo;s curse综合征是中枢性睡眠呼吸暂停综合征(central sleep apnea syndrome)的一种特殊类型,主要表现为睡眠状态时出现的二氧化碳潴留、低氧血症及呼吸暂停[1]。该命名来源于德国的一个古老传说,女神Ondine的惩罚会在夜间降临到那些犯了错误的人身上。 ...
-
卒中后康复仍感觉生不如死 如何让患者摆脱煎熬?
环球医学资讯
2017年05月22日
点击量:436
1小时条评论1 病例简介 患者女,76岁,退休工人,因反复头昏脑涨、胸闷心慌、血压不稳定5个月于2011年10月31日就诊。 患者曾因左上肢无力、麻木10天于2011年5月30日以脑梗死住我科,住院期间,经头颅MRI及脑血管造影检查诊断为右侧放射冠脑梗死,右大脑中动脉M1段狭窄,于2011...
-
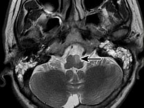
分水岭梗死导致癫痫1例
环球医学资讯
2017年05月17日
点击量:251
1小时条评论1 病例简介 患者男,79岁,急诊以右侧肢体轻度活动不利伴发作性双目无神19日于2009年2月12日入院。 现病史:2009年1月25日晚轻微活动中突发意识丧失、面色苍白,当时无肢体抽搐、两便失禁、两眼上翻,约10分钟自行清醒,立即来我院急诊,行颅脑CT检查为多发性腔隙性...
-
才37岁就双下肢乏力和排尿困难 是谁拨快了生命的时…
环球医学资讯
2017年05月10日
点击量:404
1小时条评论1 病例简介 患者男,37岁,因胸腰束紧感伴双下肢乏力、排尿困难12小时于2007年8月17日收入院。患者于12小时前工作时突感胸腰部束紧感,双下肢无力,以左下肢为甚,并伴有排尿困难,无呼吸困难,无胸闷、心悸,来我院急诊就医,考虑为脊髓病变,遂收入我科。 既往...
-
欺骗性极高的硬脑膜动静脉瘘1例
环球医学资讯
2017年05月10日
点击量:359
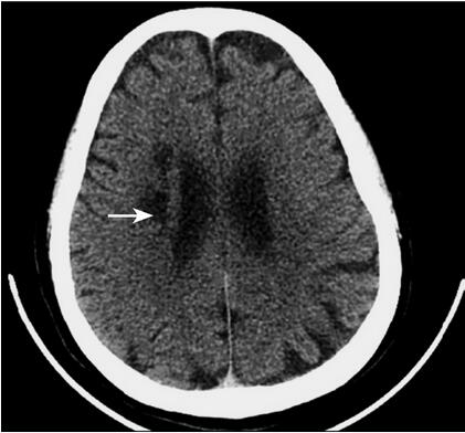
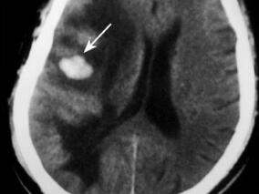
1小时条评论1 病例简介 患者男,65岁,因左侧口角流涎2个月余,左侧肢体无力12日于2008年12月5日以脑出血收入我院。 图4.7-1颅脑CT示右侧颞顶叶片状高密度出血影,周围可见指样低密度水肿影(箭头) 现病史:患者在起病前2个月(2008年9月14日)出现左侧口角歪斜、流涎,...
-
哪种影像学是分析基底动脉巨长夹层动脉瘤的最佳方法?
环球医学资讯
2017年05月04日
点击量:255
1小时条评论1 病例简介 患者男,50岁,主因阵发性头痛1个月余于2012年1月28日收入我院。患者1个月余前与他人争吵后突发头部胀痛,中度疼痛,以右侧枕部明显,可耐受,伴头晕,无头部外伤,无视物旋转,无视力下降,无吞咽困难,无口齿不清,无肢体活动障碍,无肢体抽搐,无意...
-
看似偏侧舞蹈症 谁在“垂帘听政”?
环球医学资讯
2017年05月04日
点击量:688
1小时条评论1 病例简介 患者女,83岁,因右侧肢体不自主运动20余天于2007年1月10日来我院急诊就诊。患者入院前20余天无明显诱因出现右手不自主抖动,症状逐渐加重,出现右侧肢体不自主运动,为快速、无目的、无节律、粗大舞蹈样动作,伴右侧噘嘴、舌部不自主活动,意志不能控制...










会员登录

