-
既有静脉窦血栓形成又有蛛网膜下腔出血 是否该抗凝…
环球医学资讯
2017年07月13日
点击量:268
1小时条评论45岁女性,因头痛6天,右侧肢体麻木力弱伴四肢抽搐3天入院。既有静脉窦血栓形成又有蛛网膜下腔出血,是否该抗凝,这可是一个艰难的抉择。针对这种病例,您会如何选择呢? 临床资料 患者女性,45岁,主因头痛6天,右侧肢体麻木力弱伴四肢抽搐3天于2007年5月17日收入...
-
突然起病的硬脊膜动静脉瘘 谨防误诊!
环球医学资讯
2017年07月07日
点击量:999
1小时条评论硬脊膜动静脉瘘(SDAVF)是脊髓血管畸形最常见的一种类型,多缓慢起病,但本例患者突发双下肢无力伴小便失禁,如何防止误诊? 硬脊膜动静脉瘘(spinal dural arteriovenous fistula,SDAVF)是脊髓血管畸形最常见的一种类型,约占70%[1]。本文报道一例表现为突然...
-
过氧化氢溶液口腔内冲洗竟然有这么严重的副作用
环球医学资讯
2017年07月04日
点击量:1017
1小时条评论37岁女性在用3%过氧化氢溶液冲洗右上颌第一磨牙腭侧牙周袋过程中,突然出现意识模糊、小便失禁。如此突然、急骤的起病,是脑血栓形成或血栓性脑栓塞,还是另有原因,请看专家为你剖析! 临床资料 患者,女性,37岁,教师。主因发热1天,意识不清伴左侧肢体抽搐6小时...
-
高烧后出现双下肢麻木激素治疗病情反加重 如何寻找…
环球医学资讯
2017年06月28日
点击量:329
1小时条评论46岁男性,受凉后高烧 39℃。热退后出现双下肢麻木伴力弱。给予地塞米松治疗后反而双下肢基本完全瘫痪,小便失禁。激素治疗病情反而加重,究竟患有何病?如何进一步寻找诊断线索? 临床资料 患者男性,46岁,主因双下肢麻木7个月,加重伴力弱4个月,尿不畅1周入院...
-
两年前小脑出血 目前并无再次出血却出现饮水呛咳四…
环球医学资讯
2017年06月28日
点击量:191
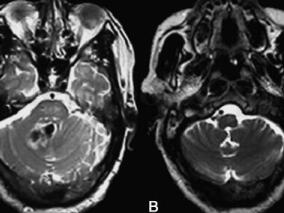
1小时条评论55岁男性,头晕、饮水呛咳、四肢乏力4个月余。头颅MRI提示右侧小脑齿状核陈旧性出血,左侧延髓体积增大。这是何病?该如何治疗? 临床资料 患者男性,55岁,主因头晕、饮水呛咳、四肢乏力4个月余于2008年2月19日入院。于2007年10月出现头晕、饮水呛咳、四肢乏力,...
-
受凉后发热抗感染治疗无效 竟是何病在作怪?
环球医学资讯
2017年06月22日
点击量:567
1小时条评论女性,75岁,入院前5天,受凉后出现发热,咳嗽、咳痰,自服抗感染及祛痰药物后症状无明显缓解。入院后给予多种抗生素抗感染治疗后仍持续发热。究竟是何病在做怪?我们来看专家们如何抽茧剥丝将元凶抓出来。 ANCA相关系统性血管炎(ANCA associated systemic vascul ...
-
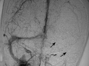
罕见的颈动脉体瘤合并脑静脉窦血栓1例
环球医学资讯
2017年06月22日
点击量:244
1小时条评论脑静脉窦血栓形成(cerebral venous sinus thrombosis,CVST)属于脑血管疾病的一种少见的特殊类型疾病。颈动脉体瘤(carotid body tumor,CBT)在临床上也较少见。一名24岁的女性患者同时发生以上两种疾病,看专家们如何诊断和治疗这一疑难杂症。 脑静脉窦血栓形成...
-
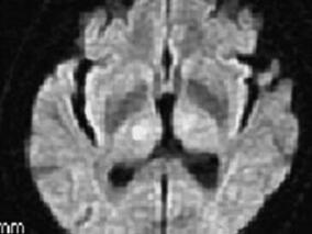
早期诊断基底动脉尖综合征的秘诀
环球医学资讯
2017年06月15日
点击量:392
1小时条评论基底动脉尖综合征(top of the basilar artery syndrome,TOBS)为基底动脉首端区域血液循环障碍所致的以丘脑、枕叶、颞叶内侧面、中脑、脑桥、小脑梗死为主要表现的一组临床综合征。 自1980年Caplan提出TOBS后,已日渐引起重视,国内也已经有较大病例数的报道,但...
-
无高血压病史的老年人脑出血 应考虑这一病因
环球医学资讯
2017年06月15日
点击量:406
1小时条评论临床资料 女性,80岁,因突发言语不能、四肢瘫、意识障碍4小时于2000年2月10日入院。 患者缘于2000年2月10日,10时大便时突发言语不清,四肢活动不能,并迅速出现意识障碍,继之左侧瞳孔散大,急查头颅CT示左侧额、顶、枕大面积脑出血,量约80ml,中线结构右移。经...
-
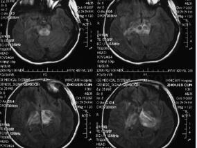
基底动脉尖综合征不稀奇 但这种类型您未必见过
环球医学资讯
2017年06月08日
点击量:419
1小时条评论基底动脉尖综合征并不少见,然而,先天椎动脉变异形成类基底动脉尖样影像学表现的个体却没有相同的。 临床资料 患者男性,50岁,2008年8月8日9:30入院,眩晕、呕吐,左侧肢体无力2小时。患者于入院当日晨起散步后,7:30洗漱中,用力咳嗽清理咽喉时突感天旋地转,...










会员登录

