-
表现为卒中 真凶竟然是……
环球医学资讯
2017年04月01日
点击量:491
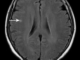
1小时条评论1 病例简介 例1,中年女性,因头晕、言语不清14日于2009年5月1日入院。患者14日前突然出现头晕,自觉言语不清,恶心,未呕吐,饮水偶有呛咳,全身乏力,肢体活动基本同前,在当地卫生室应用丹参、苦碟子注射液静脉点滴治疗14日,病情无缓解,以脑梗死收入院。既往...
-
祸不单行!抗磷脂抗体综合征合并复发性脑梗死1例
环球医学资讯
2017年04月01日
点击量:348
1小时条评论1 病例简介 患者女,40岁,因发作性视物成双2年、言语不利8个月,眩晕伴视物变形20天于2010年1月30日入院。2年前于妊娠期无明确诱因地反复突发性视物成双,每次症状持续约2~3分钟后自行缓解,症状反复发作约10次,发作时肢体活动正常。8个月前,患者于行走时突发...
-
扛重物竟然有这么严重的后果!
环球医学资讯
2017年03月29日
点击量:644
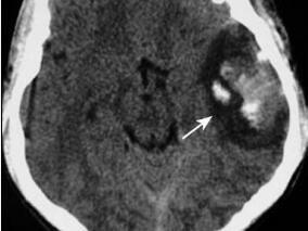
1小时条评论1 病例简介 患者男,68岁,因突发右侧肢体活动不灵伴言语不清2小时于2008年12月7日收入我院神经内科。起病前2小时有反复扛重物史。既往无高血压、糖尿病及冠状动脉粥样硬化性心脏病史。查体:血压120/80mmHg,颈总动脉、椎动脉、锁骨下动脉听诊区未闻及杂音。右侧中...
-
突发右侧肢体无力1个月余 病因罕见
环球医学资讯
2017年03月24日
点击量:2096
1小时条评论1 病例简介 患者女,25岁,蒙古族,以突发右侧肢体无力1个月余于2008年6月10日收入院。患者主诉于入院前1个月余午睡后出现右腿麻木,无明显无力,未在意,次日晨起时发觉右侧肢体麻木加重,自觉没有知觉,伴有右侧肢体无力,易摔倒,需要人扶持方能行走,无头痛头...
-
经颅多普勒超声发现青年女性突发右侧肢体无力的真凶
环球医学资讯
2017年03月24日
点击量:314
1小时条评论烟雾病(Moyamoya disease)具有特征性的经颅多普勒超声(TCD)改变,应用其对疑似患者进行筛查,具有经济、无创及易操作的优点,特别对以缺血或非典型脑血管病为临床表现的患者的检出具有重要意义。笔者2007年12月至2008年2月期间,在对广州市南方医院神经内科所有...
-
中年女性,无明显卒中危险因素,8年内反复发作卒中4…
环球医学资讯
2017年03月21日
点击量:177
1小时条评论1 病例简介 患者女,51岁,以反复发作头昏、右侧肢体无力8年,伴随记忆力减退5年于2008年3月入院。 8年前无明显诱因出现头部不适感和头昏,不伴视物旋转、视物成双及耳鸣,不伴头痛、恶心及呕吐,次日患者出现右侧上、下肢无力,走路不稳,上述症状在住院治疗后出...
-
误诊为病毒性脑炎的烟雾病一例
环球医学资讯
2017年03月21日
点击量:387
1小时条评论1 病例简介 患者女,23岁。因言语不清伴右侧肢体无力10个月,视力下降8个月,头痛2个月于2006年10月27日入院。患者2005年12月下旬突然出现右侧肢体无力,在当地医院就诊,因患者发病3周前有咳嗽、头痛、乏力及发热,体温最高达38.9℃,发病2周前出现口周疱疹,并不...
-
脑-颞肌-动脉贴敷术治疗脑底异常血管网病1例
环球医学资讯
2017年03月15日
点击量:430
1小时条评论1 病例简介 患儿女,7岁,因反复发作性抽搐9个月,左侧肢体乏力6个月于2007年11月17日入院。患儿于9个月前无明显诱因下被发现突发双眼向左凝视,嘴角向右抽动,伴傻笑,对周围事物无反应,约20秒后自行缓解,之后间断出现3次类似症状。约6个月前,家人发现患儿行走...
-
治疗哮喘过程中出现左足力弱:Churg-Strauss综合征…
环球医学资讯
2017年03月10日
点击量:390
1小时条评论1 病例介绍 患者女,43岁,主因左足无力16天,右手麻木无力13天,右下肢近端麻木疼痛3天于2011年3月28日入院。患者于16天前静脉滴注阿奇霉素、氨溴索治疗支气管哮喘过程中逐渐出现左足力弱,伴踝部麻刺样疼痛、尚可耐受,伴左膝以下麻木,可自行站立、行走,无视物...
-
年轻男性,突然出现精神异常,何病?
环球医学资讯
2017年03月10日
点击量:376
1小时条评论侧窦血栓临床较少见,发病率低,临床表现复杂多样,缺乏特异性,容易误诊和漏诊而影响预后。现将本病例分析如下。 1 病例简介 患者男,21岁,学生,因头痛、呕吐、发热半月余,精神异常3日,于2008年11月10日入我院治疗。患者半月前有上呼吸道感染史,之后一直伴...










会员登录

