-
头痛难以忍受,误诊为病毒性脑膜炎,竟是肺炎支原体…
环球医学资讯
2017年01月24日
点击量:608
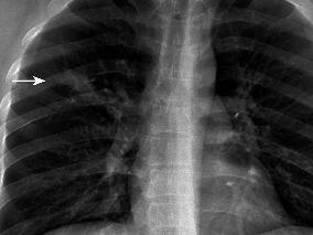
1小时条评论【病例介绍】 男患,31岁,2011年3月22日以头痛3天为主诉入院。患者3天前自觉感冒后出现头痛,以双侧太阳穴部位头痛为主,呈持续性跳痛,头痛与体位无明显关系。伴发热,体温达39℃,恶心,无呕吐。患者入院前一天头痛明显加重,难以忍受,遂来我院急诊科就诊,行头...
-
CAP诊断明确治疗却一波三折 这些“套路”你遇到过吗?
环球医学资讯
2017年01月19日
点击量:290
1小时条评论【病例介绍】 患者,男,15岁,以发热、咳嗽咳痰10天于2011‐4‐12入我院呼吸科住院治疗。患者10天前着凉后出现发热,无畏寒寒战,体温最高达39.8℃,伴有咳嗽咳痰,痰量较少,以白痰为主。当地卫生所予头孢菌素(具体不详)静点治疗4天,未见好转,遂来我院急诊。...
-
反复咳嗽、咳痰、咯血28年,反复对症治疗效果不佳,…
环球医学资讯
2017年01月13日
点击量:209
1小时条评论一、病史摘要 患者,女性,54岁,因反复咳嗽、咯血、咳脓痰28年,再发加重3天于2008年4月8日入住我院。患者28年前开始反复出现咳痰,咳绿色脓痰伴咯血,自服白芨粉、复方甘草片,疗效不佳,症状反复发作,在当地诊所对症治疗。17年前咯血加重,查血红蛋白30g/L,在...
-
咳嗽,脓痰,发热20天,左上肺空洞,肺部感染?
环球医学资讯
2017年01月09日
点击量:902
1小时条评论一、病史摘要 患者,女性,40岁,因咳嗽、咳痰、发热20天,于2011年5月14日入院。患者2011年4月24日受凉后出现咳嗽、咳较多黄色脓痰,痰中带咖啡色硬块,有畏寒发热,体温最高达41℃,伴活动后气促,在当地医院行胸片检查示左上肺渗出性病变并空洞形成,诊断为肺部...
-
青年自幼反复发热、咳嗽、咳黄脓痰、流脓鼻涕,多次…
环球医学资讯
2017年01月03日
点击量:598
1小时条评论病例一 一、病史摘要 患者,女性,17岁,学生。因反复咳嗽、咳黄脓痰10余年,加重伴活动后气促半个月于2010年11月26日来我院就诊。患者自幼即出现咳嗽、咳黄脓痰、流脓鼻涕,以晨起症状明显,痰量较多,每日约有300ml。并有反复发热现象,曾多次在当地医院住院治疗...
-
咳嗽、活动后气促10余年,加重伴胸痛20余天,慢性咽…
环球医学资讯
2016年12月27日
点击量:849
1小时条评论一、病史摘要 患者,女性,64岁,因反复咳嗽、咳痰伴活动后气促10余年,再发伴胸痛20余天于2008年6月16日入院。患者10余年前起病,冬季及受凉感冒后出现咳嗽、咳痰,多为白色泡沫痰,偶有黄脓痰,并感活动后或上坡时气促。20多天前患者感冒后咳嗽、咳痰加重,并出现...
-
咳嗽2年,CT示双肺多发病灶,支气管表面覆盖坏死物…
环球医学资讯
2016年12月26日
点击量:1141
1小时条评论患者,女性,39岁,因咳嗽2年,加重10余天就诊。患者2年前无明显诱因出现刺激性咳嗽,少痰,未重视及就诊,近日咳嗽加重,当地医院查血常规WBC3.0times;109/L,N57.3%,Hb116g/L,PLT110times;109/L,胸片示右下肺占位性病变,我院门诊进一步行肺部CT(图125‐1)...
-
咳嗽2个月余,气促1个月,疑为特发性窦组织细胞增生…
环球医学资讯
2016年12月20日
点击量:440
1小时条评论一、病史摘要 患者,女性,46岁,因咳嗽2个月余,气促1个月余于2012年4月18日就诊。患者2个月前,额头出现脓包,有黄色脓液流出,之后出现清水样鼻涕及阵发性咳嗽,无畏寒、发热,无恶心、呕吐、咽痛、头痛不适。1个月前出现气促,为劳力性气促,至当地医院就诊,血...
-
男39岁,反复咯血3年,CT示肺结核,抗结核治疗无效
环球医学资讯
2016年12月15日
点击量:495
1小时条评论一、病史摘要 患者,男性,39岁,农民。因反复咯血3年,再发加重3周于2008年11月17日入院。患者自诉于3年前无明显诱因出现间断咯血,量不多,一日约10ml左右,鲜红色,伴干咳,胸痛,气促,无发热、盗汗、体重减轻等。2006年9月无明显诱因出现咯鲜血,一次约500ml。...
-
男43岁,咳嗽、活动后气促、间断发热8个月,左肺门…
环球医学资讯
2016年12月15日
点击量:293
1小时条评论一、病史摘要 男,43岁,工人,因咳嗽、活动后气促8个月于2008年7月4日入住我院。患者于2007年11月起无明显诱因出现咳嗽,为刺激性干咳,阵发性发作,伴活动后气促,休息后缓解,间断发热,最高达39℃,服退热药能降至正常。在当地医院CT检查发现右上肺肿块诊断为右...










会员登录

