-
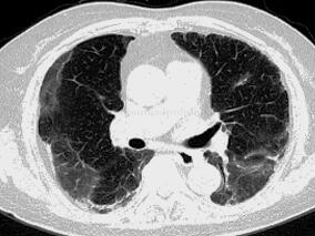
一旦出现胸膜下肺部单发或多发结节影时 要考虑这点
环球医学资讯
2017年03月20日
点击量:14226
1小时条评论一、病史摘要 患者,女性,61岁,护士,因体格检查发现双下肺多发性小结节状阴影9天于2001年7月18日入院。患者于2001年7月9日体检时,胸片发现左下肺结节状致密影,并于7月14日行肺CT扫描发现双下肺多发性小结节病灶而收住入院。起病后无发热、咳嗽、胸痛及咯血等症...
-
咳嗽1年,真菌方面抗原检查、痰培养、肿瘤标志物均…
环球医学资讯
2017年03月15日
点击量:318
1小时条评论一、病史摘要 患者,男性,62岁,因咳嗽、咳痰1年,症状加重伴胸痛10天,咯血2天,于2009年2月21日入院。患者2008年2月间无明显诱因出现反复咳嗽、咳黄痰,量不多,无发热、胸痛、气促等。2009年2月11日咳嗽咳痰加重并出现胸痛,非放射性。到当地医院就诊,诊断为肺...
-
肺部肿块11个月余 因无典型病理和病原学证据一再错…
环球医学资讯
2017年03月09日
点击量:362
1小时条评论一、病史摘要 患者,男性,35岁,因发现肺部肿块11个月余,咳嗽、咯血、胸闷气促10天于2006年12月7日入住我院。患者11个多月前体检时胸片发现肺部肿块,就诊当地医院,诊断肺结核,予抗结核治疗5个月,效果不佳,仍有咳嗽咯血,遂于7个月前到我院介入科就诊,完善胸...
-
非小细胞肺癌分子靶向治疗失败后何去何从?
环球医学资讯
2017年03月01日
点击量:1627
1小时条评论患者女性,湖北武汉人,42岁。 主诉:体检发现右上肺占位1年余。 现病史:患者2009年9月上旬体检时行胸片检查发现右上肺占位,约3 .0cmtimes;2 .5cm 大小,无咳嗽、咳痰、胸痛、呼吸困难等不适。9月15日行PET/CT 示:①右上肺周围性肺癌,纵隔淋巴结转移;②右锁...
-
非小细胞肺癌复杂病例:治疗需多思量
环球医学资讯
2017年03月01日
点击量:704
1小时条评论学习目标: 1﹒掌握晚期非小细胞肺癌的化疗适应证和禁忌证。 2﹒熟悉抗肿瘤药物不良反应的分度标准。 3﹒了解非小细胞肺癌的联合化疗方案。 病例介绍 主诉 右肺癌术后6年余,多程治疗后,刺激性咳嗽1个月。 现病史 患者6年(2005年初)前因发现右肺占位病变...
-
发热头痛 不是只有感冒那么简单!
环球医学资讯
2017年02月27日
点击量:194
1小时条评论【病情介绍】 患者,女,60岁,退休工人。因发热、头痛1天于2009年3月31日就诊于大连医科大学附属第一医院呼吸科。既往史:胆囊切除术后15年,鼻息肉病史10 余年。 患者入院前1天无诱因出现畏寒、发热,体温最高达40℃,伴寒战、头痛、恶心、呕吐,于社区医院静脉...
-
服食除草剂百草枯后……
环球医学资讯
2017年02月21日
点击量:305
1小时条评论一、病史摘要 患者,男性,27岁,工人,因服食百草枯后反复呕吐、咳痰6天,气促2天于2012年3月10日入住我院。患者2012年3月4日因与家人争吵后服食百草枯一口(量不详)随即吐出,当即出现反复恶心、呕吐、反酸症状,非喷射性,继而出现持续性咳嗽、咳痰,为黄白色浓...
-
发热、嗜酸性粒细胞增高、肺间质改变,嗜酸性粒细胞…
环球医学资讯
2017年02月15日
点击量:539
1小时条评论【病例介绍】 女患,72岁,以反复发热伴气短1个半月为主诉入院。 患者1个半月前无明显诱因出现发热,体温37~38℃左右,伴有活动后气短,于当地医院行肺CT检查,诊断为肺炎,予以抗生素(具体不详)治疗7天,未见好转,体温上升至39.2℃,伴有发冷寒战,周身肌肉关...
-
肺内影像实变影,抗生素治疗无效,激素治疗部分病灶…
环球医学资讯
2017年02月09日
点击量:696
1小时条评论【病例介绍】 患者,女,32岁,农民,2009年2月26日因咳嗽4个月,发热、咳痰伴呼吸困难2个月为主诉入院。患者于入院前4个月无明显诱因出现咳嗽,无痰,不伴发热及咯血,当时未系统治疗。入院前2个月因咳嗽加重,咳黄痰,发热,体温达39℃,且出现乏力、气短,于当地...
-
反复咳嗽、咳痰三十余年,支气管扩张合并感染?
环球医学资讯
2017年02月04日
点击量:736
1小时条评论【病例介绍】 男患,53岁,2010年2月2日以反复咳嗽、咳痰三十余年,加重伴发热2天为主诉入院。 患者三十余年来反复出现咳嗽、咳痰,时为脓性痰,无明显季节性,无咯血,无胸闷胸痛,无呼吸困难,曾于外院诊断肺内感染、支气管扩张等疾病,未做系统治疗。2天前无明...










会员登录

