-
女61岁,反复发作性喘息56年,咳嗽、咳痰20余年,加…
环球医学资讯
2016年09月14日
点击量:574
1小时条评论一、病史摘要 患者,女性,61岁,因反复发作性喘息56年,咳嗽、咳痰20余年,加重6天于2008年4月16日入住我院。患者于1958年开始无明显诱因出现发作性喘息、胸闷,当时症状不重,可自行缓解,未作任何诊治;20余年前症状开始加重,每次受凉后发作喘息伴咳嗽、咳痰,...
-
女54岁,因食管异物11天,胸痛伴胸闷气促8天入院
环球医学资讯
2016年09月14日
点击量:401
1小时条评论一、病史摘要 患者,女性,54岁,因食管异物11天,胸痛伴胸闷气促8天于2011年9月8日入院。患者于2011年8月29日晚餐后感咽喉部有异物梗阻,吞咽时疼痛,未予重视,9月1日因疼痛加重在当地医院就诊,胸片示食管异物,胃镜检查见食管壁大量脓性分泌物,未见异物。当晚...
-
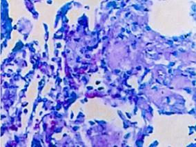
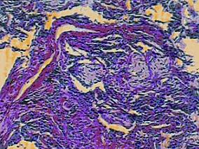
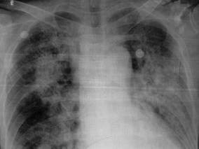
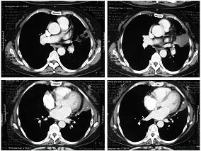
男67岁,咳嗽、咳痰、气促40余天,间断发热20余天
环球医学资讯
2016年08月22日
点击量:447
1小时条评论一、病史摘要 患者,男性,67岁,退休工人,因咳嗽、咳痰、气促40余天,间断发热20余天于2010年7月28日入院。患者入院前40天受凉后出现咳嗽、咳白色泡沫痰,活动后气促,自服消炎药治疗10天无效,至6月29日病情加剧,在当地医院诊断为社区获得性肺炎,住院予左氧氟...
-
女35岁,反复发作胸闷、气喘20年,复发伴呼吸困难2天
环球医学资讯
2016年08月22日
点击量:2373
1小时条评论患者女性,35岁,于2007年12月6日入院。 一、主诉 反复发作胸闷、气喘20年,复发伴呼吸困难2天。 二、病史询问 (一)初步诊断思路及问诊目的 患者虽然年龄相对较轻,但是呼吸道症状胸闷、气喘反复发作有20年,按照常见病优先考虑的原则应将支气管哮喘放在首位...
-
女31岁,咽痛、干咳伴头晕、乏力10 余天,加重3天
环球医学资讯
2016年08月04日
点击量:857
1小时条评论一、病历摘要 患者女性,31岁,因咽痛、干咳伴头晕、乏力10 余天,加重3天于2008年9月29日入院。 现病史:患者于10 余天前受凉后开始出现咽痛,伴咽喉异物感,夜间明显;伴有刺激性干咳、呼吸困难,无咳痰,高枕卧位稍好转,影响其睡眠质量,白天症状较轻;伴头晕...
-
男50岁,发热10天,病情反复,精神欠佳
环球医学资讯
2016年08月04日
点击量:685
1小时条评论一、病历摘要 患者男性,50岁,因发热10天于2006年10月24日入院。 现病史:患者于10天前起无明显诱因出现畏寒、发热,体温最高达40℃,伴全身肌肉酸痛、疲倦、乏力、口干、食欲下降,稍咳嗽,无鼻塞、流涕,无胸痛、气促,无腹痛、呕吐,无尿频、尿急、尿痛、血尿...
-
男31岁,鼾声响亮、白日困倦3个月
环球医学资讯
2016年07月22日
点击量:434
1小时条评论患者男性,31岁,于2006年6月9日来诊。 一、主诉 鼾声响亮、白日困倦3个月。 二、病史询问 (一)初步诊断思路及问诊目的 患者年龄较轻,新近出现鼾声响亮,且鼾声时断时续,应注意有无上气道病变。患者的打鼾主要发生于睡眠时,因此,问诊时不应仅限于患者本人...
-
男75岁,急性阑尾炎术后第二天,突发呼吸困难2小时
环球医学资讯
2016年07月22日
点击量:586
1小时条评论患者男性,75岁,于2008年4月15日入院。 一、主诉 急性阑尾炎术后第二天,突发呼吸困难2小时。 二、病史询问 (一)初步诊断思路及问诊目的 患者为老年男性,急性阑尾炎术后,急性起病,以呼吸困难为突出的临床表现而请求会诊。首先想到的是患者的呼吸困难是心...
-
女58岁,因畏寒、发热5天,胸闷、气促4天入院
环球医学资讯
2016年07月06日
点击量:475
1小时条评论一、病史摘要 患者,女性,58岁,畏寒、发热5天,胸闷、气促4天于2009年7月15日入院。患者入院前5天无明显诱因出现畏寒、发热,体温达38.6℃,伴头晕、咽部不适,咳嗽、咳白黄痰,无头痛、恶心呕吐,自服退热药后体温降至正常;4天前出现胸闷气促,伴头晕、无胸痛,...
-
女63岁,因咳嗽、喘息11天入院
环球医学资讯
2016年06月30日
点击量:183
1小时条评论一、病史摘要 患者,女性,63岁,因咳嗽、喘息11天于2011年3月2日入院。患者2月20日晚因反酸、呕吐后出现咳嗽、喘息、气促,不能平卧,伴全身大汗,持续约1小时后自行缓解。数日来喘息症状反复发作,多在活动或进食后诱发或加重。2月24日至当地医院诊断为喘息性支气...










会员登录

